JavaScript is disabled in your browser. Please enable JavaScript to view this website.
AB197368

Anti-Uroplakin IIIB antibody

Be the first to review this product! Submit a review

|

(1 Publication)

Rabbit Polyclonal Uroplakin IIIB antibody. Suitable for WB, IHC-P and reacts with Human samples. Cited in 1 publication. Immunogen corresponding to Fusion protein corresponding to Uroplakin-3b, fused to Uroplakin-3b.

View Alternative Names

Uroplakin-3b, UP3b, Uroplakin IIIb, p35, UPIIIb, UPK3B

2 Images
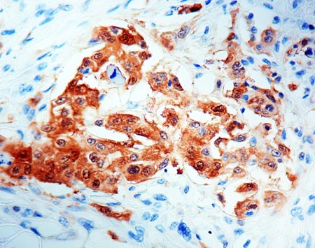
Immunohistochemistry (Formalin/PFA-fixed paraffin-embedded sections) - Anti-Uroplakin IIIB antibody (AB197368)
  • IHC-P

Supplier Data

Immunohistochemistry (Formalin/PFA-fixed paraffin-embedded sections) - Anti-Uroplakin IIIB antibody (AB197368)

Immunohistochemical analysis of paraffin-embedded Human lung cancer tissue labeling Uroplakin IIIB with ab197368 at 1/10 dilution.

Western blot - Anti-Uroplakin IIIB antibody (AB197368)
  • WB

Supplier Data

Western blot - Anti-Uroplakin IIIB antibody (AB197368)

10% SDS-PAGE.

All lanes:

Western blot - Anti-Uroplakin IIIB antibody (ab197368) at 1/1000 dilution

All lanes:

293T cell lysate at 40 µg

Predicted band size: 34 kDa

true

Exposure time: 1min

Key facts

Host species

Rabbit

Clonality

Polyclonal

Isotype

IgG

Carrier free

No

Reacts with

Human

Applications

WB, IHC-P

applications

Immunogen

Fusion protein corresponding to Uroplakin-3b, fused to Uroplakin-3b. The exact immunogen used to generate this antibody is proprietary information.

Q9BT76

Reactivity data

{ "title": "Reactivity Data", "filters": { "stats": ["", "Species", "Dilution Info", "Notes"], "tabs": { "all-applications": {"fullname" : "All Applications", "shortname": "All Applications"}, "WB" : {"fullname" : "Western blot", "shortname":"WB"}, "IHCP" : {"fullname" : "Immunohistochemistry (Formalin/PFA-fixed paraffin-embedded sections)", "shortname":"IHC-P"} }, "product-promise": { "all": "all", "testedAndGuaranteed": "tested", "guaranteed": "expected", "predicted": "predicted", "notRecommended": "not-recommended" } }, "values": { "Human": { "WB-species-checked": "testedAndGuaranteed", "WB-species-dilution-info": "1/1000 - 1/4000", "WB-species-notes": "<p></p>", "IHCP-species-checked": "testedAndGuaranteed", "IHCP-species-dilution-info": "1/10 - 1/50", "IHCP-species-notes": "<p></p>" } } }

Properties and storage information

Form
Liquid
Purification technique
Affinity purification Immunogen
Storage buffer
pH: 7.4 Preservative: 0.05% Sodium azide Constituents: PBS, 50% Glycerol (glycerin, glycerine)
Shipped at conditions
Blue Ice
Appropriate short-term storage duration
1-2 weeks
Appropriate short-term storage conditions
+4°C
Appropriate long-term storage conditions
-20°C
Aliquoting information
Upon delivery aliquot
Storage information
Avoid freeze / thaw cycle

Supplementary information

This supplementary information is collated from multiple sources and compiled automatically.

Uroplakin IIIB also known as UPK3B is a specific protein that is part of the family of uroplakins found in the urothelial plaques of bladder epithelium. It has a notable molecular mass of approximately 25 kDa. This protein is mainly expressed in the apical membrane of umbrella cells located in the bladder and other parts of the urinary tract. The expression pattern suggests a role in urothelial differentiation and barrier formation contributing to the impermeability and structural integrity of the urothelium.
Biological function summary

Uroplakin IIIB is an integral part of the urothelial plaque complex. This complex consists of other proteins including Uroplakin Ia Ib and Uroplakin III which work collectively to stabilize the urothelial membrane. Uroplakin IIIB plays an important role in maintaining the barrier function that prevents urine from penetrating deeper layers of tissue thereby protecting underlying tissues from the toxic properties of urine. Its structural contributions are essential in preserving the function and health of the urinary bladder epithelium.

Pathways

Uroplakin IIIB participates in pathways related to epithelial cell differentiation and tight junction formation essential for urothelial homeostasis. It interacts with other uroplakins and is linked to pathways that involve cell adhesion mechanisms. These pathways are important for the establishment of tight junctions necessary for the barrier function of urothelial cells. The coordination and expression of Uroplakin Ia Ib and III in these processes highlight their relationship with Uroplakin IIIB in ensuring cellular cohesion and impermeability.

Alterations in Uroplakin IIIB expression are associated with conditions such as bladder cancer and interstitial cystitis. Dysfunction in the uroplakin protein complex can lead to compromised bladder function and structural abnormalities. In bladder cancer specifically changes in Uroplakin IIIB along with its related proteins like Uroplakin III have been observed and studied as potential biomarkers for tumorigenesis. Understanding these connections provides insights into disease mechanisms and possible therapeutic targets.

Product protocols

For this product, it's our understanding that no specific protocols are required. You can visit:

Target data

Component of the asymmetric unit membrane (AUM); a highly specialized biomembrane elaborated by terminally differentiated urothelial cells. May play an important role in AUM-cytoskeleton interaction in terminally differentiated urothelial cells. It also contributes to the formation of urothelial glycocalyx which may play an important role in preventing bacterial adherence (By similarity).
See full target information Uroplakin-3b

Publications (1)

Recent publications for all applications. Explore the full list and refine your search

Human molecular genetics 28:258-268 PubMed30285085

2018

Instability of the mitochondrial alanyl-tRNA synthetase underlies fatal infantile-onset cardiomyopathy.

Applications

Unspecified application

Species

Unspecified reactive species

Ewen W Sommerville,Xiao-Long Zhou,Monika Oláhová,Janda Jenkins,Liliya Euro,Svetlana Konovalova,Taru Hilander,Angela Pyle,Langping He,Sultan Habeebu,Carol Saunders,Anna Kelsey,Andrew A M Morris,Robert McFarland,Anu Suomalainen,Gráinne S Gorman,En-Duo Wang,Isabelle Thiffault,Henna Tyynismaa,Robert W Taylor
View all publications

Product promise

We are committed to supporting your work with high-quality reagents, and we're here for you every step of the way. In the unlikely event that one of our products does not perform as expected, you're protected by our Product Promise.
For full details, please see our Terms & Conditions

Please note: All products are 'FOR RESEARCH USE ONLY. NOT FOR USE IN DIAGNOSTIC OR THERAPEUTIC PROCEDURES'.

For licensing inquiries, please contact partnerships@abcam.com