JavaScript is disabled in your browser. Please enable JavaScript to view this website.
AB255744

Anti-Uroplakin IIIB antibody [C362] - BSA and Azide free

Be the first to review this product! Submit a review

|

(0 Publication)

Mouse Recombinant Monoclonal Uroplakin IIIB antibody. Carrier free. Suitable for IHC-P, WB and reacts with Mouse samples.

View Alternative Names

Uroplakin-3b, UP3b, Uroplakin IIIb, p35, UPIIIb, Upk3b

3 Images
Immunohistochemistry (Formalin/PFA-fixed paraffin-embedded sections) - Anti-Uroplakin IIIB antibody [C362] - BSA and Azide free (AB255744)
  • IHC-P

Supplier Data

Immunohistochemistry (Formalin/PFA-fixed paraffin-embedded sections) - Anti-Uroplakin IIIB antibody [C362] - BSA and Azide free (AB255744)

This data was developed using ab237778 the same antibody clone in a different buffer formulation.

Immunohistochemical analysis of paraffin-embedded Mouse bladder tissue labeling Uroplakin IIIB with ab237778 at 1/5000 dilution followed by a ready to use Goat Anti-Mouse IgG H&L (HRP polymer) (ab214879). Cytoplasmic staining in mouse urothelium.The section was incubated with ab237778 for 30 mins at room temperature. The immunostaining was performed on a Leica Biosystems BOND® RX instrument Counterstained with Hematoxylin.

Secondary antibody only control : Secondary antibody is a ready to use Goat Anti-Mouse IgG H&L (HRP polymer) (ab214879).

Heat mediated antigen retrieval with Citrate buffer (pH 6.0, epitope retrieval solution 1) for 20 mins

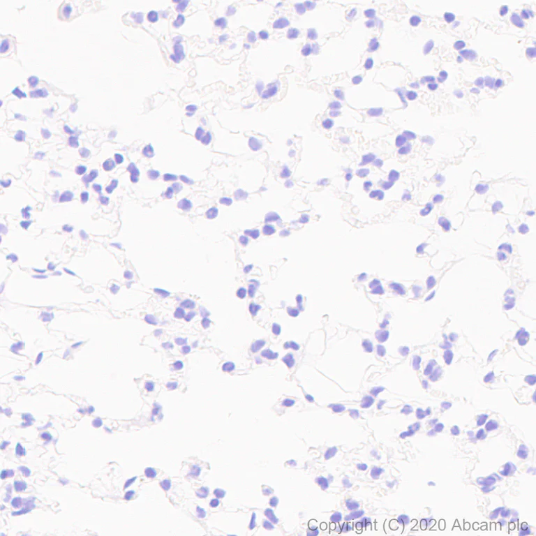
Immunohistochemistry (Formalin/PFA-fixed paraffin-embedded sections) - Anti-Uroplakin IIIB antibody [C362] - BSA and Azide free (AB255744)
  • IHC-P

Supplier Data

Immunohistochemistry (Formalin/PFA-fixed paraffin-embedded sections) - Anti-Uroplakin IIIB antibody [C362] - BSA and Azide free (AB255744)

This data was developed using ab237778 the same antibody clone in a different buffer formulation.

Immunohistochemical analysis of paraffin-embedded Mouse lung tissue labeling Uroplakin IIIB with ab237778 at 1/5000 dilution followed by a ready to use Goat Anti-Mouse IgG H&L (HRP polymer) (ab214879). Negative control : No staining in mouse lung.The section was incubated with ab237778 for 30 mins at room temperature. The immunostaining was performed on a Leica Biosystems BOND® RX instrument Counterstained with Hematoxylin.

Secondary antibody only control : Secondary antibody is a ready to use Goat Anti-Mouse IgG H&L (HRP polymer) (ab214879).

Heat mediated antigen retrieval with Citrate buffer (pH 6.0, epitope retrieval solution 1) for 20 mins.

Western blot - Anti-Uroplakin IIIB antibody [C362] - BSA and Azide free (AB255744)
  • WB

Supplier Data

Western blot - Anti-Uroplakin IIIB antibody [C362] - BSA and Azide free (AB255744)

This data was developed using ab237778, the same antibody clone in a different buffer formulation.

Blocking and diluting buffer and concentration : 5% NFDM/TBST

Negative control : mouse lung (PMID : 12446744).
The expression profile/ molecular weight observed is consistent with what has been described in the literature (PMID : 12446744).

Exposure time : 26 seconds

All lanes:

Western blot - Anti-Uroplakin IIIB antibody [C362] (<a href='/en-us/products/primary-antibodies/uroplakin-iiib-antibody-c362-ab237778'>ab237778</a>) at 1/1000 dilution

Lane 1:

Mouse bladder tissue lysate at 20 µg

Lane 2:

Mouse lung tissue lysate at 20 µg

Secondary

All lanes:

Peroxidase-Conjugated Goat anti-Mouse IgG (H+L) at 1/10000 dilution

Predicted band size: 34 kDa

Observed band size: 35 kDa

false

Key facts

Host species

Mouse

Clonality

Monoclonal

Clone number

C362

Isotype

IgG2b

Carrier free

Yes

Reacts with

Mouse

Applications

WB, IHC-P

applications

Reactivity data

{ "title": "Reactivity Data", "filters": { "stats": ["", "Species", "Dilution Info", "Notes"], "tabs": { "all-applications": {"fullname" : "All Applications", "shortname": "All Applications"}, "IHCP" : {"fullname" : "Immunohistochemistry (Formalin/PFA-fixed paraffin-embedded sections)", "shortname":"IHC-P"}, "WB" : {"fullname" : "Western blot", "shortname":"WB"} }, "product-promise": { "all": "all", "testedAndGuaranteed": "tested", "guaranteed": "expected", "predicted": "predicted", "notRecommended": "not-recommended" } }, "values": { "Human": { "IHCP-species-checked": "notRecommended", "IHCP-species-dilution-info": "", "IHCP-species-notes": "<p></p>", "WB-species-checked": "notRecommended", "WB-species-dilution-info": "", "WB-species-notes": "<p></p>" }, "Mouse": { "IHCP-species-checked": "testedAndGuaranteed", "IHCP-species-dilution-info": "", "IHCP-species-notes": "<p></p>", "WB-species-checked": "testedAndGuaranteed", "WB-species-dilution-info": "", "WB-species-notes": "<p></p>" }, "Rat": { "IHCP-species-checked": "notRecommended", "IHCP-species-dilution-info": "", "IHCP-species-notes": "<p></p>", "WB-species-checked": "notRecommended", "WB-species-dilution-info": "", "WB-species-notes": "<p></p>" } } }

Product details

ab255744 is the carrier-free version of ab237778.

What are the advantages of a recombinant monoclonal antibody?
This product is a recombinant monoclonal antibody, which offers several advantages including:

  • - High batch-to-batch consistency and reproducibility
  • - Improved sensitivity and specificity
  • - Long-term security of supply
  • - Animal-free batch production

For more information, read more on recombinant antibodies.

Conjugation ready
Our carrier-free antibodies are typically supplied in a PBS-only formulation, purified and free of BSA, sodium azide and glycerol. This conjugation-ready format is designed for use with fluorochromes, metal isotopes, oligonucleotides, and enzymes, which makes them ideal for antibody labelling, functional and cell-based assays, flow-based assays (e.g. mass cytometry) and Multiplex Imaging applications.

Use our conjugation kits for antibody conjugates that are ready-to-use in as little as 20 minutes with 1 minute hands-on-time and 100% antibody recovery: available for fluorescent dyes, HRP, biotin and gold.

Compatibility
This product is compatible with the Maxpar® Antibody Labeling Kit from Fluidigm, without the need for antibody preparation. Maxpar® is a trademark of Fluidigm Canada Inc.

Properties and storage information

Form
Liquid
Purification technique
Affinity purification Protein A
Storage buffer
Constituents: PBS
Shipped at conditions
Blue Ice
Appropriate short-term storage conditions
+4°C
Appropriate long-term storage conditions
+4°C
Storage information
Do Not Freeze

Supplementary information

This supplementary information is collated from multiple sources and compiled automatically.

Uroplakin IIIB also known as UPK3B is a specific protein that is part of the family of uroplakins found in the urothelial plaques of bladder epithelium. It has a notable molecular mass of approximately 25 kDa. This protein is mainly expressed in the apical membrane of umbrella cells located in the bladder and other parts of the urinary tract. The expression pattern suggests a role in urothelial differentiation and barrier formation contributing to the impermeability and structural integrity of the urothelium.
Biological function summary

Uroplakin IIIB is an integral part of the urothelial plaque complex. This complex consists of other proteins including Uroplakin Ia Ib and Uroplakin III which work collectively to stabilize the urothelial membrane. Uroplakin IIIB plays an important role in maintaining the barrier function that prevents urine from penetrating deeper layers of tissue thereby protecting underlying tissues from the toxic properties of urine. Its structural contributions are essential in preserving the function and health of the urinary bladder epithelium.

Pathways

Uroplakin IIIB participates in pathways related to epithelial cell differentiation and tight junction formation essential for urothelial homeostasis. It interacts with other uroplakins and is linked to pathways that involve cell adhesion mechanisms. These pathways are important for the establishment of tight junctions necessary for the barrier function of urothelial cells. The coordination and expression of Uroplakin Ia Ib and III in these processes highlight their relationship with Uroplakin IIIB in ensuring cellular cohesion and impermeability.

Alterations in Uroplakin IIIB expression are associated with conditions such as bladder cancer and interstitial cystitis. Dysfunction in the uroplakin protein complex can lead to compromised bladder function and structural abnormalities. In bladder cancer specifically changes in Uroplakin IIIB along with its related proteins like Uroplakin III have been observed and studied as potential biomarkers for tumorigenesis. Understanding these connections provides insights into disease mechanisms and possible therapeutic targets.

Product protocols

For this product, it's our understanding that no specific protocols are required. You can visit:

Target data

Component of the asymmetric unit membrane (AUM); a highly specialized biomembrane elaborated by terminally differentiated urothelial cells. May play an important role in AUM-cytoskeleton interaction in terminally differentiated urothelial cells. It also contributes to the formation of urothelial glycocalyx which may play an important role in preventing bacterial adherence (By similarity).
See full target information Uroplakin-3b

Product promise

We are committed to supporting your work with high-quality reagents, and we're here for you every step of the way. In the unlikely event that one of our products does not perform as expected, you're protected by our Product Promise.
For full details, please see our Terms & Conditions

Please note: All products are 'FOR RESEARCH USE ONLY. NOT FOR USE IN DIAGNOSTIC OR THERAPEUTIC PROCEDURES'.

For licensing inquiries, please contact partnerships@abcam.com