JavaScript is disabled in your browser. Please enable JavaScript to view this website.
AB239953

Anti-USP10 antibody [EPR4261] - BSA and Azide free

Be the first to review this product! Submit a review

|

(1 Publication)

Rabbit Recombinant Monoclonal USP10 antibody. Carrier free. Suitable for IHC-P, IP, WB, ICC/IF and reacts with Human samples. Cited in 1 publication.

View Alternative Names

KIAA0190, USP10, Ubiquitin carboxyl-terminal hydrolase 10, Deubiquitinating enzyme 10, Ubiquitin thioesterase 10, Ubiquitin-specific-processing protease 10

3 Images
Immunocytochemistry/ Immunofluorescence - Anti-USP10 antibody [EPR4261] - BSA and Azide free (AB239953)
  • ICC/IF

Unknown

Immunocytochemistry/ Immunofluorescence - Anti-USP10 antibody [EPR4261] - BSA and Azide free (AB239953)

ICC/IF image of ab109219 stained MCF-7 cells. The cells were 100% methanol fixed (5 min) and then incubated in 1%BSA / 10% normal goat serum / 0.3M glycine in 0.1% PBS-Tween for 1h to permeabilise the cells and block non-specific protein-protein interactions. The cells were then incubated with the antibody ab109219 at 1/50 dilution overnight at +4°C. The secondary antibody (pseudo-colored green) was Alexa Fluor® 488 goat anti- rabbit (ab150081) IgG (H+L) preadsorbed, used at a 1/1000 dilution for 1h. Alexa Fluor® 594 WGA was used to label plasma membranes (pseudo-colored red) at a 1/200 dilution for 1h at room temperature. DAPI was used to stain the cell nuclei (pseudo-colored blue) at a concentration of 1.43µM for 1hour at room temperature.

This data was developed using the same antibody clone in a different buffer formulation containing PBS, BSA, glycerol, and sodium azide (ab109219).

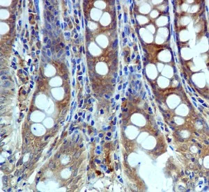
Immunohistochemistry (Formalin/PFA-fixed paraffin-embedded sections) - Anti-USP10 antibody [EPR4261] - BSA and Azide free (AB239953)
  • IHC-P

Unknown

Immunohistochemistry (Formalin/PFA-fixed paraffin-embedded sections) - Anti-USP10 antibody [EPR4261] - BSA and Azide free (AB239953)

ab109219, at a 1/250 dilution, staining USP10 in paraffin embedded Human colon tissue by Immunohistochemistry.

This data was developed using the same antibody clone in a different buffer formulation containing PBS, BSA, glycerol, and sodium azide (ab109219).

Perform heat mediated antigen retrieval with citrate buffer pH 6 before commencing with IHC staining protocol.

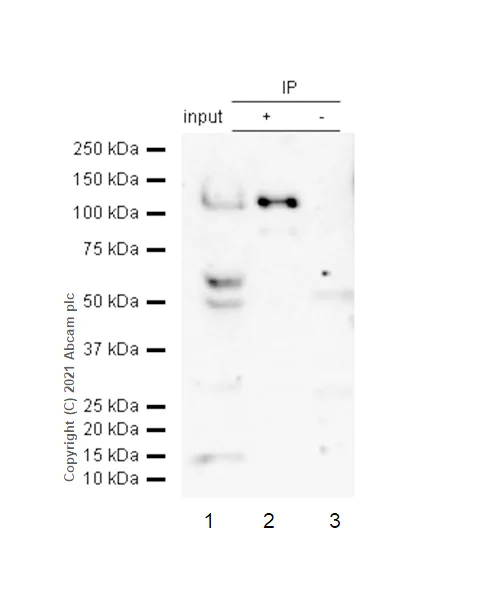
Immunoprecipitation - Anti-USP10 antibody [EPR4261] - BSA and Azide free (AB239953)
  • IP

Lab

Immunoprecipitation - Anti-USP10 antibody [EPR4261] - BSA and Azide free (AB239953)

This data was developed using ab109219, the same antibody clone in a different buffer formulation.USP10 was immunoprecipitated from 0.35 mg HeLa (Human cervix adenocarcinoma epithelial cell) whole cell lysate 10 µg with ab109219 at 1/30 dilution (2µg) . VeriBlot for IP Detection Reagent (HRP)(ab131366) was used at 1/5000 dilution.

Lane 1 : HeLa (Human cervix adenocarcinoma epithelial cell) whole cell lysate 10 µg

Lane 2 : abab109219 IP in HeLa whole cell lysate

Lane 3 : Rabbit monoclonal IgG (ab172730) instead of ab109219 in HeLa whole cell lysate

Blocking and dilution buffer and concentration : 5% NFDM/TBST.

Fresh lysate should be used to minimize protein degradation.

All lanes:

Immunoprecipitation - Anti-USP10 antibody [EPR4261] (<a href='/en-us/products/primary-antibodies/usp10-antibody-epr4261-ab109219'>ab109219</a>)

Predicted band size: 87 kDa

Observed band size: 110 kDa

false

Key facts

Host species

Rabbit

Clonality

Monoclonal

Clone number

EPR4261

Isotype

IgG

Carrier free

Yes

Reacts with

Human

Applications

WB, ICC/IF, IP, IHC-P

applications

Immunogen

The exact immunogen used to generate this antibody is proprietary information.

Reactivity data

{ "title": "Reactivity Data", "filters": { "stats": ["", "Species", "Dilution Info", "Notes"], "tabs": { "all-applications": {"fullname" : "All Applications", "shortname": "All Applications"}, "IHCP" : {"fullname" : "Immunohistochemistry (Formalin/PFA-fixed paraffin-embedded sections)", "shortname":"IHC-P"}, "IP" : {"fullname" : "Immunoprecipitation", "shortname":"IP"}, "FlowCyt" : {"fullname" : "Flow Cytometry", "shortname":"Flow Cyt"}, "WB" : {"fullname" : "Western blot", "shortname":"WB"}, "ICCIF" : {"fullname" : "Immunocytochemistry/ Immunofluorescence", "shortname":"ICC/IF"} }, "product-promise": { "all": "all", "testedAndGuaranteed": "tested", "guaranteed": "expected", "predicted": "predicted", "notRecommended": "not-recommended" } }, "values": { "Human": { "IHCP-species-checked": "testedAndGuaranteed", "IHCP-species-dilution-info": "", "IHCP-species-notes": "<p>Antigen retrieval is recommended.</p> Perform heat-mediated antigen retrieval with citrate buffer pH 6 before commencing with IHC staining protocol.", "IP-species-checked": "testedAndGuaranteed", "IP-species-dilution-info": "", "IP-species-notes": "<p></p>", "FlowCyt-species-checked": "notRecommended", "FlowCyt-species-dilution-info": "", "FlowCyt-species-notes": "<p></p>", "WB-species-checked": "guaranteed", "WB-species-dilution-info": "", "WB-species-notes": "<p></p>", "ICCIF-species-checked": "testedAndGuaranteed", "ICCIF-species-dilution-info": "", "ICCIF-species-notes": "<p></p>" } } }

Product details

ab239953 is the carrier-free version of ab109219.

Species reactivity
Mouse, Rat: We have preliminary internal testing data to indicate this antibody may not react with these species.
Please contact us for more information.

Patented technology
Our RabMAb® technology is a patented hybridoma-based technology for making rabbit monoclonal antibodies. For details on our patents, please refer to RabMAb® patents.

What are the advantages of a recombinant monoclonal antibody?
This product is a recombinant monoclonal antibody, which offers several advantages including:

  • - High batch-to-batch consistency and reproducibility
  • - Improved sensitivity and specificity
  • - Long-term security of supply
  • - Animal-free batch production

For more information, read more on recombinant antibodies.

Conjugation ready
Our carrier-free antibodies are typically supplied in a PBS-only formulation, purified and free of BSA, sodium azide and glycerol. This conjugation-ready format is designed for use with fluorochromes, metal isotopes, oligonucleotides, and enzymes, which makes them ideal for antibody labelling, functional and cell-based assays, flow-based assays (e.g. mass cytometry) and Multiplex Imaging applications.

Use our conjugation kits for antibody conjugates that are ready-to-use in as little as 20 minutes with 1 minute hands-on-time and 100% antibody recovery: available for fluorescent dyes, HRP, biotin and gold.

Compatibility
This product is compatible with the Maxpar® Antibody Labeling Kit from Fluidigm, without the need for antibody preparation. Maxpar® is a trademark of Fluidigm Canada Inc.

Properties and storage information

Form
Liquid
Purification technique
Affinity purification Protein A
Storage buffer
pH: 7.2 - 7.4 Constituents: PBS
Shipped at conditions
Blue Ice
Appropriate short-term storage conditions
+4°C
Appropriate long-term storage conditions
+4°C
Storage information
Do Not Freeze

Supplementary information

This supplementary information is collated from multiple sources and compiled automatically.

USP10 also known as ubiquitin-specific peptidase 10 is a deubiquitinating enzyme with a mass of approximately 94 kDa. It primarily functions to cleave ubiquitin from protein substrates controlling protein degradation localization and activity. USP10 is widely expressed in various tissues with significant expression in the cytoplasm. This enzyme helps maintain protein homeostasis and regulates various cellular processes such as cell cycle progression and apoptosis.
Biological function summary

Ubiquitin-specific peptidase 10 serves an important role in stabilizing and regulating proteins. USP10 interacts with and stabilizes several substrates including p53 an important tumor suppressor. It often operates in concert with other proteins as part of several protein complexes enabling cellular responses to stress. The enzyme's ability to control the stability of multiple proteins allows it to influence cell survival and DNA repair mechanisms significantly.

Pathways

USP10 plays a significant role in pivotal pathways such as the p53 signaling pathway and the NF-kB signaling pathway. It interacts closely with proteins like MDM2 a major regulator of p53 directly affecting p53's stability and activity. In the NF-kB pathway USP10 regulates the deubiquitination of receptor-interacting serine/threonine-protein kinase 1 (RIPK1) playing a part in controlling immune responses and inflammation.

The activity of USP10 impacts cancer progression and neurodegenerative conditions like Alzheimer's disease. In cancer alterations in USP10 levels can lead to abnormal p53 regulation which can facilitate tumorigenesis. Regarding Alzheimer's disease USP10 may influence the aggregation and accumulation of proteins such as tau linked to neurodegenerative pathology by regulating their degradation pathway.

Product protocols

For this product, it's our understanding that no specific protocols are required. You can visit:

Target data

Hydrolase that can remove conjugated ubiquitin from target proteins such as p53/TP53, RPS2/us5, RPS3/us3, RPS10/eS10, BECN1, SNX3 and CFTR (PubMed : 11439350, PubMed : 18632802, PubMed : 31981475). Acts as an essential regulator of p53/TP53 stability : in unstressed cells, specifically deubiquitinates p53/TP53 in the cytoplasm, leading to counteract MDM2 action and stabilize p53/TP53 (PubMed : 20096447). Following DNA damage, translocates to the nucleus and deubiquitinates p53/TP53, leading to regulate the p53/TP53-dependent DNA damage response (PubMed : 20096447). Component of a regulatory loop that controls autophagy and p53/TP53 levels : mediates deubiquitination of BECN1, a key regulator of autophagy, leading to stabilize the PIK3C3/VPS34-containing complexes (PubMed : 21962518). In turn, PIK3C3/VPS34-containing complexes regulate USP10 stability, suggesting the existence of a regulatory system by which PIK3C3/VPS34-containing complexes regulate p53/TP53 protein levels via USP10 and USP13 (PubMed : 21962518). Does not deubiquitinate MDM2 (PubMed : 20096447). Plays a key role in 40S ribosome subunit recycling when a ribosome has stalled during translation : acts both by inhibiting formation of stress granules, which store stalled translation pre-initiation complexes, and mediating deubiquitination of 40S ribosome subunits (PubMed : 27022092, PubMed : 31981475, PubMed : 34348161, PubMed : 34469731). Acts as a negative regulator of stress granules formation by lowering G3BP1 and G3BP2 valence, thereby preventing G3BP1 and G3BP2 ability to undergo liquid-liquid phase separation (LLPS) and assembly of stress granules (PubMed : 11439350, PubMed : 27022092, PubMed : 32302570). Promotes 40S ribosome subunit recycling following ribosome dissociation in response to ribosome stalling by mediating deubiquitination of 40S ribosomal proteins RPS2/us5, RPS3/us3 and RPS10/eS10, thereby preventing their degradation by the proteasome (PubMed : 31981475, PubMed : 34348161, PubMed : 34469731). Part of a ribosome quality control that takes place when ribosomes have stalled during translation initiation (iRQC) : USP10 acts by removing monoubiquitination of RPS2/us5 and RPS3/us3, promoting 40S ribosomal subunit recycling (PubMed : 34469731). Deubiquitinates CFTR in early endosomes, enhancing its endocytic recycling (PubMed : 19398555). Involved in a TANK-dependent negative feedback response to attenuate NF-kappa-B activation via deubiquitinating IKBKG or TRAF6 in response to interleukin-1-beta (IL1B) stimulation or upon DNA damage (PubMed : 25861989). Deubiquitinates TBX21 leading to its stabilization (PubMed : 24845384). Plays a negative role in the RLR signaling pathway upon RNA virus infection by blocking the RIGI-mediated MAVS activation. Mechanistically, removes the unanchored 'Lys-63'-linked polyubiquitin chains of MAVS to inhibit its aggregation, essential for its activation (PubMed : 37582970).
See full target information USP10

Publications (1)

Recent publications for all applications. Explore the full list and refine your search

International journal of oncology 63: PubMed37449524

2023

circRPS19 affects HK2‑mediated aerobic glycolysis and cell viability via the miR‑125a‑5p/USP7 pathway in gastric cancer.

Applications

Unspecified application

Species

Unspecified reactive species

Xia Zheng,Jie Shao,Jun Qian,Shenlin Liu
View all publications

Product promise

We are committed to supporting your work with high-quality reagents, and we're here for you every step of the way. In the unlikely event that one of our products does not perform as expected, you're protected by our Product Promise.
For full details, please see our Terms & Conditions

Please note: All products are 'FOR RESEARCH USE ONLY. NOT FOR USE IN DIAGNOSTIC OR THERAPEUTIC PROCEDURES'.

For licensing inquiries, please contact partnerships@abcam.com