JavaScript is disabled in your browser. Please enable JavaScript to view this website.
AB97533

Anti-USP15 antibody

Be the first to review this product! Submit a review

|

(6 Publications)

Rabbit Polyclonal USP15 antibody. Suitable for WB, IHC-P, ICC/IF and reacts with Human samples. Cited in 6 publications. Immunogen corresponding to Synthetic Peptide within Human USP15 aa 900 to C-terminus.

View Alternative Names

KIAA0529, USP15, Ubiquitin carboxyl-terminal hydrolase 15, Deubiquitinating enzyme 15, Ubiquitin thioesterase 15, Ubiquitin-specific-processing protease 15, Unph-2, Unph4

4 Images
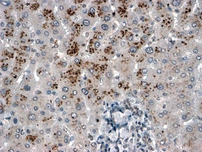
Immunohistochemistry (Formalin/PFA-fixed paraffin-embedded sections) - Anti-USP15 antibody (AB97533)
  • IHC-P

Unknown

Immunohistochemistry (Formalin/PFA-fixed paraffin-embedded sections) - Anti-USP15 antibody (AB97533)

Immunohistochemical analysis of USP15 in paraffin embedded N87 xenograft, using ab97533 at a 1/100 dilution.

Immunocytochemistry/ Immunofluorescence - Anti-USP15 antibody (AB97533)
  • ICC/IF

Supplier Data

Immunocytochemistry/ Immunofluorescence - Anti-USP15 antibody (AB97533)

Immunofluorescence analysis of HeLa cells fixed in 4% paraformaldehyde at RT for 15 min labelling USP15 protein using ab97533 at a 1/500 dilution (Green). Hoechst 33342 was used for nuclear staining (Blue).

Western blot - Anti-USP15 antibody (AB97533)
  • WB

Supplier Data

Western blot - Anti-USP15 antibody (AB97533)

Samples were separated by 7.5% SDS PAGE.

All lanes:

Western blot - Anti-USP15 antibody (ab97533) at 1/1000 dilution

Lane 1:

K562 whole cell extracts at 30 µg

Lane 2:

THP-1 whole cell extracts at 30 µg

Lane 3:

HL-60 whole cell extracts at 30 µg

Secondary

All lanes:

HRP-conjugated anti-rabbit IgG antibody

Predicted band size: 112 kDa

false

Western blot - Anti-USP15 antibody (AB97533)
  • WB

Supplier Data

Western blot - Anti-USP15 antibody (AB97533)

Samples were separated by 5% SDS-PAGE.

All lanes:

Western blot - Anti-USP15 antibody (ab97533) at 1/1000 dilution

Lane 1:

Wild-type (WT) HeLa cell extracts at 30 µg

Lane 2:

USP15 knockout (KO) HeLa cell extracts at 30 µg

Secondary

All lanes:

HRP-conjugated anti-rabbit IgG antibody

Predicted band size: 112 kDa

false

Key facts

Host species

Rabbit

Clonality

Polyclonal

Isotype

IgG

Carrier free

No

Reacts with

Human

Applications

IHC-P, WB, ICC/IF

applications

Immunogen

Synthetic Peptide within Human USP15 aa 900 to C-terminus. The exact immunogen used to generate this antibody is proprietary information.

Q9Y4E8

Reactivity data

{ "title": "Reactivity Data", "filters": { "stats": ["", "Species", "Dilution Info", "Notes"], "tabs": { "all-applications": {"fullname" : "All Applications", "shortname": "All Applications"}, "WB" : {"fullname" : "Western blot", "shortname":"WB"}, "IHCP" : {"fullname" : "Immunohistochemistry (Formalin/PFA-fixed paraffin-embedded sections)", "shortname":"IHC-P"}, "ICCIF" : {"fullname" : "Immunocytochemistry/ Immunofluorescence", "shortname":"ICC/IF"} }, "product-promise": { "all": "all", "testedAndGuaranteed": "tested", "guaranteed": "expected", "predicted": "predicted", "notRecommended": "not-recommended" } }, "values": { "Human": { "WB-species-checked": "testedAndGuaranteed", "WB-species-dilution-info": "1/500 - 1/3000", "WB-species-notes": "<p></p>", "IHCP-species-checked": "testedAndGuaranteed", "IHCP-species-dilution-info": "1/100 - 1/1000", "IHCP-species-notes": "<p></p>", "ICCIF-species-checked": "testedAndGuaranteed", "ICCIF-species-dilution-info": "1/100 - 1/1000", "ICCIF-species-notes": "<p></p>" } } }

Properties and storage information

Form
Liquid
Purification technique
Affinity purification Immunogen
Storage buffer
pH: 7 Preservative: 0.025% Proclin 300 Constituents: PBS, 20% Glycerol (glycerin, glycerine)
Shipped at conditions
Blue Ice
Appropriate short-term storage conditions
+4°C
Appropriate long-term storage conditions
-20°C
Aliquoting information
Upon delivery aliquot
Storage information
Avoid freeze / thaw cycle

Supplementary information

This supplementary information is collated from multiple sources and compiled automatically.

USP15 also known as Ubiquitin Specific Peptidase 15 is a deubiquitinating enzyme that removes ubiquitin from target proteins a process integral to protein degradation and regulation. It has a molecular mass of approximately 107 kDa. USP15 regulates protein turnover and stability through its enzymatic activity and is predominantly cytoplasmic expressed in various tissues including the brain heart and liver. Its expression pattern suggests widespread functionality across different physiological contexts.
Biological function summary

USP15 is involved in numerous cellular processes through its role in protein homeostasis. It associates with several protein complexes to regulate signaling pathways and cellular responses. USP15 plays a central role in the regulation of TGF-β signaling by deubiquitinating and stabilizing SMAD proteins that are important for signal transduction. In addition to TGF-β modulation USP15 also participates in endocytic trafficking by associating with the ESCRT complex impacting receptor degradation and cell signaling.

Pathways

The function of USP15 is critical in integrating cellular signaling networks such as the TGF-β and NF-kB pathways. Within the TGF-β pathway USP15 deubiquitinates receptor-regulated SMADs maintaining their stability and enhancing signal transduction. In the NF-kB pathway USP15 influences the activation by regulating the degradation of IκBα an inhibitor of NF-kB which indicates its role in immune response and inflammation. Through these pathways USP15 interacts with proteins like SMAD2/3 in TGF-β signaling and IκBα in NF-kB regulation.

USP15 has associations with cancer and neurodegenerative diseases. In cancer altered USP15 activity leads to dysregulation of TGF-β signaling influencing tumor progression and metastasis. The enzyme interacts with proteins such as MDM2 in neurodegenerative disorders affecting p53 stability and neuronal cell survival. This suggests a role in processes like apoptosis and DNA repair critical in the onset and progression of neurodegenerative conditions. But current research continues aiming for better understanding of USP15's connections with these disorders.

Product protocols

For this product, it's our understanding that no specific protocols are required. You can visit:

Target data

Hydrolase that removes conjugated ubiquitin from target proteins and regulates various pathways such as the TGF-beta receptor signaling, NF-kappa-B and RNF41/NRDP1-PRKN pathways (PubMed : 16005295, PubMed : 17318178, PubMed : 19576224, PubMed : 19826004, PubMed : 21947082, PubMed : 22344298, PubMed : 24852371). Acts as a key regulator of TGF-beta receptor signaling pathway, but the precise mechanism is still unclear : according to a report, acts by promoting deubiquitination of monoubiquitinated R-SMADs (SMAD1, SMAD2 and/or SMAD3), thereby alleviating inhibition of R-SMADs and promoting activation of TGF-beta target genes (PubMed : 21947082). According to another reports, regulates the TGF-beta receptor signaling pathway by mediating deubiquitination and stabilization of TGFBR1, leading to an enhanced TGF-beta signal (PubMed : 22344298). Able to mediate deubiquitination of monoubiquitinated substrates, 'Lys-27'-, 'Lys-48'- and 'Lys-63'-linked polyubiquitin chains (PubMed : 33093067). May also regulate gene expression and/or DNA repair through the deubiquitination of histone H2B (PubMed : 24526689). Acts as an inhibitor of mitophagy by counteracting the action of parkin (PRKN) : hydrolyzes cleavage of 'Lys-48'- and 'Lys-63'-linked polyubiquitin chains attached by parkin on target proteins such as MFN2, thereby reducing parkin's ability to drive mitophagy (PubMed : 24852371). Acts as an associated component of COP9 signalosome complex (CSN) and regulates different pathways via this association : regulates NF-kappa-B by mediating deubiquitination of NFKBIA and deubiquitinates substrates bound to VCP (PubMed : 16005295, PubMed : 17318178, PubMed : 19576224, PubMed : 19826004). Involved in endosome organization by mediating deubiquitination of SQSTM1 : ubiquitinated SQSTM1 forms a molecular bridge that restrains cognate vesicles in the perinuclear region and its deubiquitination releases target vesicles for fast transport into the cell periphery (PubMed : 27368102). Acts as a negative regulator of antifungal immunity by mediating 'Lys-27'-linked deubiquitination of CARD9, thereby inactivating CARD9 (PubMed : 33093067).. (Microbial infection) Protects APC and human papillomavirus type 16 protein E6 against degradation via the ubiquitin proteasome pathway.
See full target information USP15

Publications (6)

Recent publications for all applications. Explore the full list and refine your search

Experimental & molecular medicine 55:1520-1530 PubMed37394587

2023

Ablation of the deubiquitinase USP15 ameliorates nonalcoholic fatty liver disease and nonalcoholic steatohepatitis.

Applications

Unspecified application

Species

Unspecified reactive species

Jung-Hwan Baek,Myung Sup Kim,Hye Ryeon Jung,Min-Seon Hwang,Chan-Ho Lee,Dai Hoon Han,Yong-Ho Lee,Eugene C Yi,Seung-Soon Im,Ilseon Hwang,Kyungeun Kim,Joon-Yong Chung,Kyung-Hee Chun

iScience 25:104952 PubMed36065190

2022

GINS1 promotes the proliferation and migration of glioma cells through USP15-mediated deubiquitination of TOP2A.

Applications

Unspecified application

Species

Unspecified reactive species

Hui Yang,Xiaocen Liu,Xiaolong Zhu,Mengying Zhang,Yingying Wang,Mingzhe Ma,Kun Lv

Cell death & disease 13:348 PubMed35422093

2022

USP15 negatively regulates lung cancer progression through the TRAF6-BECN1 signaling axis for autophagy induction.

Applications

Unspecified application

Species

Unspecified reactive species

Mi-Jeong Kim,Yoon Min,Soo-Kyung Jeong,Juhee Son,Ji Young Kim,Ji Su Lee,Duk-Hwan Kim,Joo Sang Lee,Eunyoung Chun,Ki-Young Lee

Structure (London, England : 1993) 27:590-605.e5 PubMed30713027

2019

Structural and Functional Characterization of Ubiquitin Variant Inhibitors of USP15.

Applications

Unspecified application

Species

Unspecified reactive species

Joan Teyra,Alex U Singer,Frank W Schmitges,Patrick Jaynes,Sarah Kit Leng Lui,Maria J Polyak,Nassima Fodil,Jonathan R Krieger,Jiefei Tong,Carsten Schwerdtfeger,Bradley B Brasher,Derek F J Ceccarelli,Jason Moffat,Frank Sicheri,Michael F Moran,Philippe Gros,Pieter J A Eichhorn,Martin Lenter,Guido Boehmelt,Sachdev S Sidhu

Acta virologica 62:147-156 PubMed29895155

2018

USP15 inhibits HPV16 E6 degradation and catalytically inactive USP15 has reduced inhibitory activity.

Applications

Unspecified application

Species

Unspecified reactive species

Y Yaginuma,M Yoshimoto,A Tokuda

Nature medicine 18:429-35 PubMed22344298

2012

USP15 stabilizes TGF-β receptor I and promotes oncogenesis through the activation of TGF-β signaling in glioblastoma.

Applications

Unspecified application

Species

Unspecified reactive species

Pieter J A Eichhorn,Laura Rodón,Alba Gonzàlez-Juncà,Annette Dirac,Magüi Gili,Elena Martínez-Sáez,Claudia Aura,Ignasi Barba,Vicente Peg,Aleix Prat,Isabel Cuartas,Jose Jimenez,David García-Dorado,Juan Sahuquillo,Réné Bernards,José Baselga,Joan Seoane
View all publications

Product promise

We are committed to supporting your work with high-quality reagents, and we're here for you every step of the way. In the unlikely event that one of our products does not perform as expected, you're protected by our Product Promise.
For full details, please see our Terms & Conditions

Please note: All products are 'FOR RESEARCH USE ONLY. NOT FOR USE IN DIAGNOSTIC OR THERAPEUTIC PROCEDURES'.

For licensing inquiries, please contact partnerships@abcam.com