JavaScript is disabled in your browser. Please enable JavaScript to view this website.
AB70893

Anti-USP28 antibody

Be the first to review this product! Submit a review

|

(1 Publication)

Rabbit Polyclonal USP28 antibody. Suitable for IHC-P, IP, WB and reacts with Human samples. Cited in 1 publication. Immunogen corresponding to Synthetic Peptide within Human USP28.

View Alternative Names

KIAA1515, USP28, Ubiquitin carboxyl-terminal hydrolase 28, Deubiquitinating enzyme 28, Ubiquitin thioesterase 28, Ubiquitin-specific-processing protease 28

3 Images
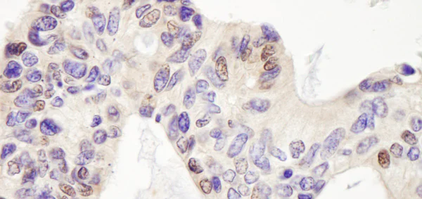
Immunohistochemistry (Formalin/PFA-fixed paraffin-embedded sections) - Anti-USP28 antibody (AB70893)
  • IHC-P

Unknown

Immunohistochemistry (Formalin/PFA-fixed paraffin-embedded sections) - Anti-USP28 antibody (AB70893)

Immunohistochemistry (Formalin/PFA-fixed paraffin-embedded sections) analysis of human ovarian carcinoma tissue labelling USP28 with ab70893 at 1/1000 (0.2µg/ml). Detection : DAB.

Immunoprecipitation - Anti-USP28 antibody (AB70893)
  • IP

Unknown

Immunoprecipitation - Anti-USP28 antibody (AB70893)

Detection of Human USP28 by Immunoprecipitation in Whole cell lysate from HeLa cells (1 mg for IP, 20% of IP loaded), using ab70893 at 3 µg/mg lysate for IP and at 1 µg/ml for subsequent Western blot detection. Note : bands between 55 and 71 kDa represent the IgG chains.

All lanes:

Immunoprecipitation - Anti-USP28 antibody (ab70893)

Predicted band size: 122 kDa

false

Western blot - Anti-USP28 antibody (AB70893)
  • WB

Unknown

Western blot - Anti-USP28 antibody (AB70893)

All lanes:

Western blot - Anti-USP28 antibody (ab70893) at 0.04 µg/mL

Lane 1:

Whole cell lysate from 293T cells at 50 µg

Lane 2:

Whole cell lysate from 293T cells at 15 µg

Lane 3:

Whole cell lysate from 293T cells at 5 µg

Predicted band size: 122 kDa

Observed band size: 110 kDa,140 kDa

true

Exposure time: 3min

Key facts

Host species

Rabbit

Clonality

Polyclonal

Isotype

IgG

Carrier free

No

Reacts with

Human

Applications

IP, WB, IHC-P

applications

Immunogen

Synthetic Peptide within Human USP28. The exact immunogen used to generate this antibody is proprietary information.

Q96RU2

Reactivity data

{ "title": "Reactivity Data", "filters": { "stats": ["", "Species", "Dilution Info", "Notes"], "tabs": { "all-applications": {"fullname" : "All Applications", "shortname": "All Applications"}, "IHCP" : {"fullname" : "Immunohistochemistry (Formalin/PFA-fixed paraffin-embedded sections)", "shortname":"IHC-P"}, "IP" : {"fullname" : "Immunoprecipitation", "shortname":"IP"}, "WB" : {"fullname" : "Western blot", "shortname":"WB"} }, "product-promise": { "all": "all", "testedAndGuaranteed": "tested", "guaranteed": "expected", "predicted": "predicted", "notRecommended": "not-recommended" } }, "values": { "Human": { "IHCP-species-checked": "testedAndGuaranteed", "IHCP-species-dilution-info": "1/500 - 1/2000", "IHCP-species-notes": "<p></p> Perform heat-mediated antigen retrieval with citrate buffer pH 6 before commencing with IHC staining protocol.", "IP-species-checked": "testedAndGuaranteed", "IP-species-dilution-info": "2-5 µg/mg of lysate", "IP-species-notes": "<p></p>", "WB-species-checked": "testedAndGuaranteed", "WB-species-dilution-info": "1/2000 - 1/10000", "WB-species-notes": "<p></p>" }, "Dog": { "IHCP-species-checked": "predicted", "IHCP-species-dilution-info": "", "IHCP-species-notes": "", "IP-species-checked": "predicted", "IP-species-dilution-info": "", "IP-species-notes": "", "WB-species-checked": "predicted", "WB-species-dilution-info": "", "WB-species-notes": "" }, "Gorilla": { "IHCP-species-checked": "predicted", "IHCP-species-dilution-info": "", "IHCP-species-notes": "", "IP-species-checked": "predicted", "IP-species-dilution-info": "", "IP-species-notes": "", "WB-species-checked": "predicted", "WB-species-dilution-info": "", "WB-species-notes": "" }, "Orangutan": { "IHCP-species-checked": "predicted", "IHCP-species-dilution-info": "", "IHCP-species-notes": "", "IP-species-checked": "predicted", "IP-species-dilution-info": "", "IP-species-notes": "", "WB-species-checked": "predicted", "WB-species-dilution-info": "", "WB-species-notes": "" }, "Rabbit": { "IHCP-species-checked": "predicted", "IHCP-species-dilution-info": "", "IHCP-species-notes": "", "IP-species-checked": "predicted", "IP-species-dilution-info": "", "IP-species-notes": "", "WB-species-checked": "predicted", "WB-species-dilution-info": "", "WB-species-notes": "" }, "Rhesus monkey": { "IHCP-species-checked": "predicted", "IHCP-species-dilution-info": "", "IHCP-species-notes": "", "IP-species-checked": "predicted", "IP-species-dilution-info": "", "IP-species-notes": "", "WB-species-checked": "predicted", "WB-species-dilution-info": "", "WB-species-notes": "" } } }

Properties and storage information

Form
Liquid
Purification technique
Affinity purification Immunogen
Storage buffer
pH: 6.8 - 7.4 Preservative: 0.09% Sodium azide Constituents: Tris buffered saline, 0.1% BSA
Shipped at conditions
Blue Ice
Appropriate short-term storage conditions
+4°C
Appropriate long-term storage conditions
+4°C
Aliquoting information
Upon delivery aliquot
Storage information
Avoid freeze / thaw cycle

Supplementary information

This supplementary information is collated from multiple sources and compiled automatically.

USP28 also known as Ubiquitin Specific Peptidase 28 is a deubiquitinating enzyme responsible for removing ubiquitin from protein substrates. It belongs to the cysteine protease family and has a molecular mass of approximately 120 kDa. USP28 is mainly expressed in the nucleus and cytoplasm of cells and appears in various tissues including the lung liver and gastrointestinal tract. It plays a role in regulating protein stability by counteracting ubiquitination an important process for protein degradation.
Biological function summary

This deubiquitinase regulates several cellular processes such as DNA damage response cell cycle progression and apoptosis. USP28 influences protein stability by directly associating with components of the c-MYC signaling pathway. It is known to interact with and stabilize Fbw7 which is part of the ubiquitin ligase complex thereby affecting the turnover of proteins like c-MYC and cyclin E. Through these interactions USP28 helps maintain normal levels of these important regulators for healthy cellular functions.

Pathways

The enzyme plays an important part in the DNA damage response and MAPK signaling pathways. These pathways ensure proper genomic integrity and cell proliferation. USP28 enhances the stability of the key regulatory protein c-MYC in the p53 pathway emphasizing its role in cell cycle regulation. Its interaction with other proteins like Fbw7 and c-MYC allows it to modulate the rate of cell growth and division indicating its importance in controlled cellular pathways.

USP28 has connections to cancer and neurodegenerative diseases. Its interactions with c-MYC are implicated in tumorigenesis particularly in colorectal and breast cancers due to the stabilization of oncogenic proteins that promote uncontrollable cell proliferation. Additionally USP28 might contribute to neurodegenerative disorders by affecting protein aggregates commonly seen in such diseases although studies are less established in this area. The enzyme's strong connection with proteins like Fbw7 and c-MYC highlights its relevance in these disease situations making it a potential target for therapeutic intervention.

Product protocols

For this product, it's our understanding that no specific protocols are required. You can visit:

Target data

Deubiquitinase involved in DNA damage response checkpoint and MYC proto-oncogene stability. Involved in DNA damage induced apoptosis by specifically deubiquitinating proteins of the DNA damage pathway such as CLSPN. Also involved in G2 DNA damage checkpoint, by deubiquitinating CLSPN, and preventing its degradation by the anaphase promoting complex/cyclosome (APC/C). In contrast, it does not deubiquitinate PLK1. Specifically deubiquitinates MYC in the nucleoplasm, leading to prevent MYC degradation by the proteasome : acts by specifically interacting with isoform 1 of FBXW7 (FBW7alpha) in the nucleoplasm and counteracting ubiquitination of MYC by the SCF(FBW7) complex. In contrast, it does not interact with isoform 4 of FBXW7 (FBW7gamma) in the nucleolus, allowing MYC degradation and explaining the selective MYC degradation in the nucleolus. Deubiquitinates ZNF304, hence preventing ZNF304 degradation by the proteasome and leading to the activated KRAS-mediated promoter hypermethylation and transcriptional silencing of tumor suppressor genes (TSGs) in a subset of colorectal cancers (CRC) cells (PubMed : 24623306).
See full target information USP28

Publications (1)

Recent publications for all applications. Explore the full list and refine your search

PLoS biology 23:e3003362 PubMed40934285

2025

The mTORC2 subunit RICTOR drives breast cancer progression by promoting ganglioside biosynthesis through transcriptional and epigenetic mechanisms.

Applications

Unspecified application

Species

Unspecified reactive species

Mohammad Nafees Ansari,Somesh K Jha,Ali Khan,Kajal Rajput,Nishant Pandey,Dolly Jain,Rajeshwari Tripathi,Nihal Medatwal,Pankaj Sharma,Sudeshna Datta,Animesh Kar,Trishna Pani,Sk Asif Ali,Kaushavi Cholke,Kajal Rana,Valiya P Snijesh,Geetashree Mukherjee,Suryanarayana V S Deo,Soumen Basak,Ashutosh Mishra,Jyothi S Prabhu,Arnab Mukhopadhyay,Avinash Bajaj,Ujjaini Dasgupta
View all publications

Product promise

We are committed to supporting your work with high-quality reagents, and we're here for you every step of the way. In the unlikely event that one of our products does not perform as expected, you're protected by our Product Promise.
For full details, please see our Terms & Conditions

Please note: All products are 'FOR RESEARCH USE ONLY. NOT FOR USE IN DIAGNOSTIC OR THERAPEUTIC PROCEDURES'.

For licensing inquiries, please contact partnerships@abcam.com