JavaScript is disabled in your browser. Please enable JavaScript to view this website.
AB314749

Anti-USP30 antibody [EPR27024-81]

  • 20ul selling size
  • RabMAb
  • Recombinant
  • KO Validated
  • What is this?

Be the first to review this product! Submit a review

|

(0 Publication)

Rabbit Recombinant Monoclonal USP30 antibody. Suitable for WB and reacts with Human, Mouse, Rat samples.

View Alternative Names

Ubiquitin carboxyl-terminal hydrolase 30, Deubiquitinating enzyme 30, Ubiquitin thioesterase 30, Ubiquitin-specific-processing protease 30, Ub-specific protease 30, USP30

6 Images
Western blot - Anti-USP30 antibody [EPR27024-81] (AB314749)
  • WB

Supplier Data

Western blot - Anti-USP30 antibody [EPR27024-81] (AB314749)

Blocking and diluting buffer and concentration : 5% NFDM/TBST Lysates were freshly made and used for Western blotting immediately to minimize protein degradation. This blot was developed using a high sensitivity ECL substrate.

All lanes:

Western blot - Anti-USP30 antibody [EPR27024-81] (ab314749) at 1/1000 dilution

Lane 1:

Neuro-2a (mouse neuroblastoma neuroblast) whole cell lysate at 20 µg

Lane 2:

SH-SY5Y (human neuroblastoma epithelial cell) whole cell lysate at 20 µg

Secondary

All lanes:

Western blot - Goat Anti-Rabbit IgG H&L (HRP) (<a href='/en-us/products/secondary-antibodies/goat-rabbit-igg-h-l-hrp-ab97051'>ab97051</a>) at 1/100000 dilution

Observed band size: 58 kDa

true

Exposure time: 180s

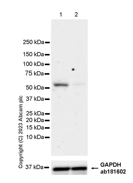
Western blot - Anti-USP30 antibody [EPR27024-81] (AB314749)
  • WB

Supplier Data

Western blot - Anti-USP30 antibody [EPR27024-81] (AB314749)

Blocking and diluting buffer and concentration : 5% NFDM/TBST Lysates were freshly made and used for Western blotting immediately to minimize protein degradation. In Western blot, Anti-GAPDH antibody [EPR16891] - Loading Control (ab181602) staining at 1/200000 dilution.

All lanes:

Western blot - Anti-USP30 antibody [EPR27024-81] (ab314749) at 1/1000 dilution

Lane 1:

293T (human embryonic kidney epithelial cell) transfected with scrambled siRNA control whole cell lysate at 20 µg

Lane 2:

293T transfected with siRNA specifically target USP30 whole cell lysate at 20 µg

Secondary

All lanes:

Western blot - Goat Anti-Rabbit IgG H&L (HRP) (<a href='/en-us/products/secondary-antibodies/goat-rabbit-igg-h-l-hrp-ab97051'>ab97051</a>) at 1/100000 dilution

Observed band size: 58 kDa

false

Exposure time: 180s

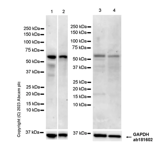
Western blot - Anti-USP30 antibody [EPR27024-81] (AB314749)
  • WB

Supplier Data

Western blot - Anti-USP30 antibody [EPR27024-81] (AB314749)

Blocking and diluting buffer and concentration : 5% NFDM/TBST Lysates were freshly made and used for Western blotting immediately to minimize protein degradation. This blot was developed using a high sensitivity ECL substrate. In Western blot, Anti-GAPDH antibody [EPR16891] - Loading Control (ab181602) staining at 1/200000 dilution.

All lanes:

Western blot - Anti-USP30 antibody [EPR27024-81] (ab314749) at 1/1000 dilution

Lane 1:

Human cerebellum tissue lysate at 20 µg

Lane 2:

Human kidney tissue lysate at 20 µg

Lane 3:

Rat brain tissue lysate at 20 µg

Lane 4:

Rat liver tissue lysate at 20 µg

Secondary

Lanes 1 - 2:

Western blot - Goat Anti-Rabbit IgG H&L (HRP) (<a href='/en-us/products/secondary-antibodies/goat-rabbit-igg-h-l-hrp-ab97051'>ab97051</a>) at 1/2000 dilution

Lanes 3 - 4:

Goat Anti-Rabbit IgG (HRP) with minimal cross-reactivity with human IgG at 1/100000 dilution

Observed band size: 58 kDa

true

Exposure time: 180s

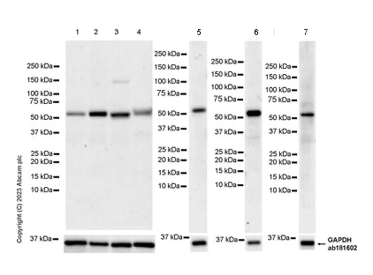
Western blot - Anti-USP30 antibody [EPR27024-81] (AB314749)
  • WB

Supplier Data

Western blot - Anti-USP30 antibody [EPR27024-81] (AB314749)

Blocking and diluting buffer and concentration : 5% NFDM/TBST Lysates were freshly made and used for Western blotting immediately to minimize protein degradation. This blot was developed using a high sensitivity ECL substrate. In Western blot, Anti-GAPDH antibody [EPR16891] - Loading Control (ab181602) staining at 1/200000 dilution.

All lanes:

Western blot - Anti-USP30 antibody [EPR27024-81] (ab314749) at 1/1000 dilution

Lane 1:

HeLa (human cervix adenocarcinoma epithelial cell) whole cell lysate at 20 µg

Lane 2:

293T (human embryonic kidney epithelial cell) whole cell lysate at 20 µg

Lane 3:

NIH/3T3 (mouse embryonic fibroblast) whole cell lysate at 20 µg

Lane 4:

PC-12 (rat adrenal gland pheochromocytoma) whole cell lysate at 20 µg

Lane 5:

HepG2 (human hepatocellular carcinoma epithelial cell) whole cell lysate at 20 µg

Lane 6:

T47D (human ductal breast epithelial tumor epithelial cell) whole cell lysate at 20 µg

Lane 7:

U-2 OS (human bone osteosarcoma epithelial cell) whole cell lysate at 20 µg

Secondary

All lanes:

Western blot - Goat Anti-Rabbit IgG H&L (HRP) (<a href='/en-us/products/secondary-antibodies/goat-rabbit-igg-h-l-hrp-ab97051'>ab97051</a>) at 1/100000 dilution

Observed band size: 58 kDa

true

Exposure time: 180s

Western blot - Anti-USP30 antibody [EPR27024-81] (AB314749)
  • WB

Lab

Western blot - Anti-USP30 antibody [EPR27024-81] (AB314749)

Western blot : Rabbit Monoclonal [EPR27024-81] to USP30 ab314749 staining at 1/1000 dilution, shown in green; Mouse anti GAPDH (ab8245) loading control staining at 1/20,000 dilution, shown in magenta. A band was observed at 59 kDa in Wild-type A549 ab288558 cell lysates with no signal observed at this size in USP30 knockout A549 cell line. To generate this image, samples were run on an SDS-PAGE gel then transferred onto a nitrocellulose membrane. Membranes were blocked in 3pc Milk in TBS-0.1 % Tween® 20 (TBS-T) before incubation with primary antibodies overnight at 4 °C. Blots were washed four times in TBS-T, incubated with secondary antibodies for 1 h at room temperature, washed again four times then imaged. Secondary antibodies used were Goat anti-Rabbit 800CW & Goat anti-Mouse 680RD at 1/20,000 dilution.

All lanes:

Western blot - Anti-USP30 antibody [EPR27024-81] (ab314749) at 1/1000 dilution

Lane 1:

Wild-type A549 cell lysate at 20 µg

Lane 2:

Western blot - Human USP30 Knockout A549 cell line (<a href='/en-us/products/cell-lines/human-usp30-knockout-a549-cell-line-ab324260'>ab324260</a>) at 20 µg

Lane 3:

HepG2 cell lysate at 20 µg

Lane 4:

HeLa cell lysate at 20 µg

Secondary

All lanes:

Goat anti-Rabbit 800CW & Goat anti-Mouse 680RD at 1/20000 dilution

Predicted band size: 59 kDa

Observed band size: 59 kDa

false

Western blot - Anti-USP30 antibody [EPR27024-81] (AB314749)
  • WB

Supplier Data

Western blot - Anti-USP30 antibody [EPR27024-81] (AB314749)

Blocking and diluting buffer and concentration : 5% NFDM/TBST Lysates were freshly made and used for Western blotting immediately to minimize protein degradation. This blot was developed using a high sensitivity ECL substrate. In Western blot, Anti-GAPDH antibody [EPR16891] - Loading Control (ab181602) staining at 1/200000 dilution.

All lanes:

Western blot - Anti-USP30 antibody [EPR27024-81] (ab314749) at 1/1000 dilution

Lane 1:

Mouse brain tissue lysate at 20 µg

Lane 2:

Mouse testis tissue lysate at 20 µg

Secondary

All lanes:

Western blot - Goat Anti-Rabbit IgG H&L (HRP) (<a href='/en-us/products/secondary-antibodies/goat-rabbit-igg-h-l-hrp-ab97051'>ab97051</a>) at 1/100000 dilution

Observed band size: 58 kDa

true

Exposure time: 180s

  • Carrier free

    Anti-USP30 antibody [EPR27024-81] - BSA and Azide free

Key facts

Host species

Rabbit

Clonality

Monoclonal

Clone number

EPR27024-81

Isotype

IgG

Carrier free

No

Reacts with

Human, Mouse, Rat

Applications

WB

applications

Immunogen

The exact immunogen used to generate this antibody is proprietary information.

Reactivity data

{ "title": "Reactivity Data", "filters": { "stats": ["", "Species", "Dilution Info", "Notes"], "tabs": { "all-applications": {"fullname" : "All Applications", "shortname": "All Applications"}, "WB" : {"fullname" : "Western blot", "shortname":"WB"}, "IP" : {"fullname" : "Immunoprecipitation", "shortname":"IP"}, "IHCP" : {"fullname" : "Immunohistochemistry (Formalin/PFA-fixed paraffin-embedded sections)", "shortname":"IHC-P"}, "ICCIF" : {"fullname" : "Immunocytochemistry/ Immunofluorescence", "shortname":"ICC/IF"}, "FlowCytIntra" : {"fullname" : "Flow Cytometry (Intracellular)", "shortname":"Flow Cyt (Intra)"}, "IHCFr" : {"fullname" : "Immunohistochemistry (Frozen sections)", "shortname":"IHC-Fr"} }, "product-promise": { "all": "all", "testedAndGuaranteed": "tested", "guaranteed": "expected", "predicted": "predicted", "notRecommended": "not-recommended" } }, "values": { "Human": { "WB-species-checked": "testedAndGuaranteed", "WB-species-dilution-info": "1/1000", "WB-species-notes": "<p></p>", "IP-species-checked": "notRecommended", "IP-species-dilution-info": "", "IP-species-notes": "<p></p>", "IHCP-species-checked": "notRecommended", "IHCP-species-dilution-info": "", "IHCP-species-notes": "<p></p> Perform heat-mediated antigen retrieval with Tris/EDTA buffer pH 9.0 before commencing with IHC staining protocol.", "ICCIF-species-checked": "notRecommended", "ICCIF-species-dilution-info": "", "ICCIF-species-notes": "<p></p>", "FlowCytIntra-species-checked": "notRecommended", "FlowCytIntra-species-dilution-info": "", "FlowCytIntra-species-notes": "<p></p>", "IHCFr-species-checked": "notRecommended", "IHCFr-species-dilution-info": "", "IHCFr-species-notes": "" }, "Mouse": { "WB-species-checked": "testedAndGuaranteed", "WB-species-dilution-info": "1/1000", "WB-species-notes": "<p></p>", "IP-species-checked": "notRecommended", "IP-species-dilution-info": "", "IP-species-notes": "", "IHCP-species-checked": "notRecommended", "IHCP-species-dilution-info": "", "IHCP-species-notes": "<p></p> Perform heat-mediated antigen retrieval with Tris/EDTA buffer pH 9.0 before commencing with IHC staining protocol.", "ICCIF-species-checked": "notRecommended", "ICCIF-species-dilution-info": "", "ICCIF-species-notes": "", "FlowCytIntra-species-checked": "notRecommended", "FlowCytIntra-species-dilution-info": "", "FlowCytIntra-species-notes": "", "IHCFr-species-checked": "notRecommended", "IHCFr-species-dilution-info": "", "IHCFr-species-notes": "<p></p>" }, "Rat": { "WB-species-checked": "testedAndGuaranteed", "WB-species-dilution-info": "1/1000", "WB-species-notes": "<p></p>", "IP-species-checked": "notRecommended", "IP-species-dilution-info": "", "IP-species-notes": "", "IHCP-species-checked": "notRecommended", "IHCP-species-dilution-info": "", "IHCP-species-notes": "<p></p> Perform heat-mediated antigen retrieval with Tris/EDTA buffer pH 9.0 before commencing with IHC staining protocol.", "ICCIF-species-checked": "notRecommended", "ICCIF-species-dilution-info": "", "ICCIF-species-notes": "", "FlowCytIntra-species-checked": "notRecommended", "FlowCytIntra-species-dilution-info": "", "FlowCytIntra-species-notes": "", "IHCFr-species-checked": "notRecommended", "IHCFr-species-dilution-info": "", "IHCFr-species-notes": "" } } }

Product details

Patented technology
Our RabMAb® technology is a patented hybridoma-based technology for making rabbit monoclonal antibodies. For details on our patents, please refer to RabMAb® patents.

What are the advantages of a recombinant monoclonal antibody?
This product is a recombinant monoclonal antibody, which offers several advantages including:

  • - High batch-to-batch consistency and reproducibility
  • - Improved sensitivity and specificity
  • - Long-term security of supply
  • - Animal-free batch production

For more information, read more on recombinant antibodies.

Properties and storage information

Form
Liquid
Purification technique
Affinity purification Protein A
Storage buffer
pH: 7.2 - 7.4 Preservative: 0.01% Sodium azide Constituents: PBS, 40% Glycerol (glycerin, glycerine), 0.05% BSA
Shipped at conditions
Blue Ice
Appropriate short-term storage duration
1-2 weeks
Appropriate short-term storage conditions
+4°C
Appropriate long-term storage conditions
-20°C
Aliquoting information
Upon delivery aliquot
Storage information
Avoid freeze / thaw cycle

Supplementary information

This supplementary information is collated from multiple sources and compiled automatically.

USP30 also known as ubiquitin specific peptidase 30 functions as a deubiquitinating enzyme. It has a mass of about 59 kilodaltons. This enzyme removes ubiquitin from protein substrates playing an important role in the regulation of protein degradation. USP30 is normally expressed in mitochondria where it participates in maintaining protein homeostasis by removing polyubiquitin chains.
Biological function summary

The deubiquitinating activity of USP30 helps maintain mitochondrial integrity. It is part of the endoplasmic reticulum-associated degradation (ERAD) complex that ensures the removal of misfolded proteins. Without USP30's activity cells may accumulate damaged proteins leading to cellular stress and dysfunction. This activity influences mitochondrial dynamics by counteracting the ubiquitination activities within cells.

Pathways

USP30 plays a significant role in the mitochondrial quality control pathway and the ubiquitin-proteasome pathway. It regulates Parkin-mediated mitophagy by removing ubiquitin from mitochondrial substrates impacting processes that involve protein turnover and energy balance. USP30 works in conjunction with proteins like Parkin and PINK1 to maintain mitochondrial health by controlling the balance between ubiquitination and deubiquitination.

Deficiencies of USP30 associate with neurodegenerative diseases like Parkinson’s disease where impaired mitophagy and protein accumulation occur. It also connects with mitochondrial disorders as improper regulation of mitochondrial proteins by USP30 leads to energy production issues. In these conditions USP30's interaction with proteins Parkin and PINK1 becomes important for preventing cellular and mitochondrial dysfunction.

Product protocols

For this product, it's our understanding that no specific protocols are required. You can visit:

Target data

Deubiquitinating enzyme tethered to the mitochondrial outer membrane that acts as a key inhibitor of mitophagy by counteracting the action of parkin (PRKN) : hydrolyzes ubiquitin attached by parkin on target proteins, such as RHOT1/MIRO1 and TOMM20, thereby blocking parkin's ability to drive mitophagy (PubMed : 18287522, PubMed : 24896179, PubMed : 25527291, PubMed : 25621951). Preferentially cleaves 'Lys-6'- and 'Lys-11'-linked polyubiquitin chains, 2 types of linkage that participate in mitophagic signaling (PubMed : 25621951). Does not cleave efficiently polyubiquitin phosphorylated at 'Ser-65' (PubMed : 25527291). Acts as a negative regulator of mitochondrial fusion by mediating deubiquitination of MFN1 and MFN2 (By similarity).
See full target information USP30

Product promise

We are committed to supporting your work with high-quality reagents, and we're here for you every step of the way. In the unlikely event that one of our products does not perform as expected, you're protected by our Product Promise.
For full details, please see our Terms & Conditions

Please note: All products are 'FOR RESEARCH USE ONLY. NOT FOR USE IN DIAGNOSTIC OR THERAPEUTIC PROCEDURES'.

For licensing inquiries, please contact partnerships@abcam.com