JavaScript is disabled in your browser. Please enable JavaScript to view this website.
AB320632

Anti-USP31 + USP43 antibody [EPR26029-42]

5

(1 Review)

|

(0 Publication)

Rabbit Recombinant Monoclonal USP43 antibody. Suitable for WB and reacts with Transfected cell lysate - Human, Human samples.

View Alternative Names

Ubiquitin carboxyl-terminal hydrolase 43, Deubiquitinating enzyme 43, Ubiquitin thioesterase 43, Ubiquitin-specific-processing protease 43, USP43

3 Images
Western blot - Anti-USP31 + USP43 antibody [EPR26029-42] (AB320632)
  • WB

Supplier Data

Western blot - Anti-USP31 + USP43 antibody [EPR26029-42] (AB320632)

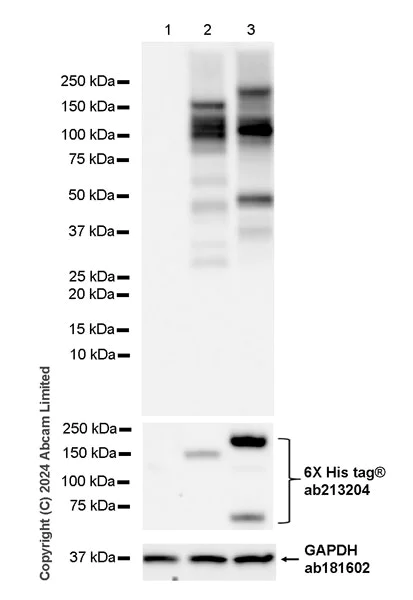
Blocking and diluting buffer and concentration : 5% NFDM/TBST. This antibody cross-reacts with overexpressed human USP31 (Q70CQ4) by WB In Western blot, Anti-GAPDH antibody [EPR16891] - Loading Control (ab181602) staining at 1/200000 dilution. In Western blot, Anti-6X His tag® antibody [EPR20547] - ChIP Grade (ab213204) staining at 1/5000 dilution.

All lanes:

Western blot - Anti-USP31 + USP43 antibody [EPR26029-42] (ab320632) at 1/1000 dilution

Lane 1:

293T (human embryonic kidney epithelial cell) transfected with an empty vector containing a myc-his tag whole cell lysate at 2 µg

Lane 2:

293T cells transfected with a human USP43 expression vector containing a myc-his tag whole cell lysate at 2 µg

Lane 3:

293T cells transfected with a human USP1 expression vector containing a myc-his tag whole cell lysate at 2 µg

Secondary

All lanes:

Western blot - Goat Anti-Rabbit IgG H&L (HRP) (<a href='/en-us/products/secondary-antibodies/goat-rabbit-igg-h-l-hrp-ab97051'>ab97051</a>) at 1/100000 dilution

Observed band size: 123 kDa,36 kDa,15 kDa

false

Exposure time: 10s

Western blot - Anti-USP31 + USP43 antibody [EPR26029-42] (AB320632)
  • WB

Supplier Data

Western blot - Anti-USP31 + USP43 antibody [EPR26029-42] (AB320632)

Blocking and diluting buffer and concentration : 5% NFDM/TBST. To minimize protein degradation, cells were lysed immediately after harvest and then applied to a gel and transfer membrane for Western blotting as soon as possible. The identity of the higher MW band at approximately 250 kDa is unknown.

All lanes:

Western blot - Anti-USP31 + USP43 antibody [EPR26029-42] (ab320632) at 1/1000 dilution

Lane 1:

HeLa (human cervical adenocarcinoma epithelial cell) whole cell lysate at 20 µg

Lane 2:

293T (human embryonic kidney epithelial cell) whole cell lysate at 20 µg

Secondary

All lanes:

Western blot - Goat Anti-Rabbit IgG H&L (HRP) (<a href='/en-us/products/secondary-antibodies/goat-rabbit-igg-h-l-hrp-ab97051'>ab97051</a>) at 1/20000 dilution

Observed band size: 123 kDa

false

Exposure time: 180s

Western blot - Anti-USP31 + USP43 antibody [EPR26029-42] (AB320632)
  • WB

Supplier Data

Western blot - Anti-USP31 + USP43 antibody [EPR26029-42] (AB320632)

Blocking and diluting buffer and concentration : 5% NFDM/TBST. Lysate was freshly made and used for Western Blotting immediately to minimize protein degradation. The identity of the higher MW band at approximately 250 kDa is unknown. In Western blot, Anti-GAPDH antibody [EPR16891] - Loading Control (ab181602) staining at 1/200000 dilution.

All lanes:

Western blot - Anti-USP31 + USP43 antibody [EPR26029-42] (ab320632) at 1/1000 dilution

Lane 1:

HCT 116 (human colorectal carcinoma epithelial cell) transfected with scrambled siRNA control whole cell lysate at 20 µg

Lane 2:

HCT 116 transfected with siRNA specifically targeting USP43 whole cell lysate at 20 µg

Secondary

All lanes:

Western blot - Goat Anti-Rabbit IgG H&L (HRP) (<a href='/en-us/products/secondary-antibodies/goat-rabbit-igg-h-l-hrp-ab97051'>ab97051</a>) at 1/20000 dilution

Observed band size: 123 kDa,36 kDa

false

Exposure time: 180s

Key facts

Host species

Rabbit

Clonality

Monoclonal

Clone number

EPR26029-42

Isotype

IgG

Carrier free

No

Reacts with

Human

Applications

WB

applications

Immunogen

The exact immunogen used to generate this antibody is proprietary information.

Specificity

This antibody cross-reacts with overexpressed human USP31 (Q70CQ4) by WB.

Reactivity data

{ "title": "Reactivity Data", "filters": { "stats": ["", "Species", "Dilution Info", "Notes"], "tabs": { "all-applications": {"fullname" : "All Applications", "shortname": "All Applications"}, "WB" : {"fullname" : "Western blot", "shortname":"WB"}, "IHCP" : {"fullname" : "Immunohistochemistry (Formalin/PFA-fixed paraffin-embedded sections)", "shortname":"IHC-P"}, "ICCIF" : {"fullname" : "Immunocytochemistry/ Immunofluorescence", "shortname":"ICC/IF"} }, "product-promise": { "all": "all", "testedAndGuaranteed": "tested", "guaranteed": "expected", "predicted": "predicted", "notRecommended": "not-recommended" } }, "values": { "Human": { "WB-species-checked": "testedAndGuaranteed", "WB-species-dilution-info": "1/1000", "WB-species-notes": "<p></p>", "IHCP-species-checked": "notRecommended", "IHCP-species-dilution-info": "", "IHCP-species-notes": "<p></p>", "ICCIF-species-checked": "notRecommended", "ICCIF-species-dilution-info": "", "ICCIF-species-notes": "<p></p>" }, "Mouse": { "WB-species-checked": "notRecommended", "WB-species-dilution-info": "", "WB-species-notes": "<p></p>", "IHCP-species-checked": "notRecommended", "IHCP-species-dilution-info": "", "IHCP-species-notes": "<p></p>", "ICCIF-species-checked": "notRecommended", "ICCIF-species-dilution-info": "", "ICCIF-species-notes": "<p></p>" }, "Rat": { "WB-species-checked": "notRecommended", "WB-species-dilution-info": "", "WB-species-notes": "<p></p>", "IHCP-species-checked": "notRecommended", "IHCP-species-dilution-info": "", "IHCP-species-notes": "<p></p>", "ICCIF-species-checked": "notRecommended", "ICCIF-species-dilution-info": "", "ICCIF-species-notes": "" }, "Transfected cell lysate - Human": { "WB-species-checked": "testedAndGuaranteed", "WB-species-dilution-info": "1/1000", "WB-species-notes": "<p></p>", "IHCP-species-checked": "notRecommended", "IHCP-species-dilution-info": "", "IHCP-species-notes": "", "ICCIF-species-checked": "notRecommended", "ICCIF-species-dilution-info": "", "ICCIF-species-notes": "" } } }

Product details

Patented technology
Our RabMAb® technology is a patented hybridoma-based technology for making rabbit monoclonal antibodies. For details on our patents, please refer to RabMAb® patents.

What are the advantages of a recombinant monoclonal antibody?
This product is a recombinant monoclonal antibody, which offers several advantages including:

  • - High batch-to-batch consistency and reproducibility
  • - Improved sensitivity and specificity
  • - Long-term security of supply
  • - Animal-free batch production

For more information, read more on recombinant antibodies.

Properties and storage information

Form
Liquid
Purification technique
Affinity purification Protein A
Storage buffer
pH: 7.2 - 7.4 Preservative: 0.01% Sodium azide Constituents: PBS, 40% Glycerol (glycerin, glycerine), 0.05% BSA
Shipped at conditions
Blue Ice
Appropriate short-term storage duration
1-2 weeks
Appropriate short-term storage conditions
+4°C
Appropriate long-term storage conditions
-20°C
Aliquoting information
Upon delivery aliquot
Storage information
Avoid freeze / thaw cycle

Supplementary information

This supplementary information is collated from multiple sources and compiled automatically.

USP43 and USP31 are deubiquitinating enzymes that play critical roles in the regulation of protein ubiquitination. These proteins remove ubiquitin molecules from specific substrates controlling their degradation and function. USP43 also known as Ubiquitin-Specific Protease 43 weighs approximately 92 kDa and is mainly expressed in tissues such as the brain and skeletal muscle. USP31 or Ubiquitin-Specific Protease 31 has a mass of around 90 kDa and is found in various tissues including the heart and liver. Both enzymes contribute to maintaining protein homeostasis by modulating the ubiquitin-proteasome system.
Biological function summary

The deubiquitination activity of USP43 and USP31 influences cellular processes like cell cycle progression DNA repair and signal transduction. These enzymes are part of larger multi-protein complexes that facilitate their action on specific substrates. The involvement of USP31 in cell signaling pathways can impact transcriptional regulation while USP43 can influence processes related to neuronal development and function. Their activity ensures precise cellular responses to internal and external cues maintaining overall cellular integrity.

Pathways

Both USP43 and USP31 integrate into important cellular mechanisms such as the NF-kB signaling pathway and the Wnt signaling pathway. In the NF-kB pathway USP31 interacts with proteins like TRAF proteins which are key to regulating inflammation and immune response. USP43 within the Wnt pathway may modulate the stability of beta-catenin influencing cell fate decisions during development. The activity of these proteins highlights their important roles in signal transduction and maintaining cellular equilibrium.

Alterations in the function or expression of USP43 and USP31 can associate with conditions like cancer and neurodegenerative diseases. For instance dysregulation of USP31 could contribute to the malignant transformation in various cancers potentially through its interactions with NF-kB signaling partners like IKK. Similarly altered function of USP43 may link to neurodegenerative disorders due to its role in maintaining neuronal health. Understanding these relationships allows for potential therapeutic targeting of these proteins in disease treatment strategies.

Product protocols

For this product, it's our understanding that no specific protocols are required. You can visit:

Target data

May recognize and hydrolyze the peptide bond at the C-terminal Gly of ubiquitin. Involved in the processing of poly-ubiquitin precursors as well as that of ubiquitinated proteins (By similarity).
See full target information USP43

Additional targets

USP31

Product promise

We are committed to supporting your work with high-quality reagents, and we're here for you every step of the way. In the unlikely event that one of our products does not perform as expected, you're protected by our Product Promise.
For full details, please see our Terms & Conditions

Please note: All products are 'FOR RESEARCH USE ONLY. NOT FOR USE IN DIAGNOSTIC OR THERAPEUTIC PROCEDURES'.

For licensing inquiries, please contact partnerships@abcam.com