JavaScript is disabled in your browser. Please enable JavaScript to view this website.
AB237510

Anti-USP33 antibody

Be the first to review this product! Submit a review

|

(5 Publications)

Rabbit Polyclonal USP33 antibody. Suitable for WB, IHC-P, ICC/IF and reacts with Human samples. Cited in 5 publications. Immunogen corresponding to Recombinant Fragment Protein within Human USP33 aa 250-550.

View Alternative Names

KIAA1097, VDU1, USP33, Ubiquitin carboxyl-terminal hydrolase 33, Deubiquitinating enzyme 33, Ubiquitin thioesterase 33, Ubiquitin-specific-processing protease 33, VHL-interacting deubiquitinating enzyme 1, hVDU1

3 Images
Immunocytochemistry/ Immunofluorescence - Anti-USP33 antibody (AB237510)
  • ICC/IF

Supplier Data

Immunocytochemistry/ Immunofluorescence - Anti-USP33 antibody (AB237510)

HepG2 (human liver hepatocellular carcinoma cell line) cells stained for USP33 (green) at 1/100 dilution in ICC/IF, followed by Alexa Fluor 488-congugated Goat Anti-Rabbit IgG (H+L) secondary antibody.

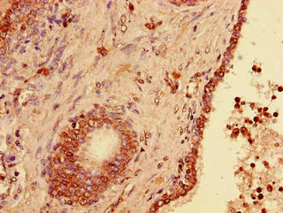
Immunohistochemistry (Formalin/PFA-fixed paraffin-embedded sections) - Anti-USP33 antibody (AB237510)
  • IHC-P

Supplier Data

Immunohistochemistry (Formalin/PFA-fixed paraffin-embedded sections) - Anti-USP33 antibody (AB237510)

Paraffin-embedded human prostate cancer tissue stained for USP33 at 1/100 dilution in immunohistochemical analysis.

Western blot - Anti-USP33 antibody (AB237510)
  • WB

Supplier Data

Western blot - Anti-USP33 antibody (AB237510)

All lanes:

Western blot - Anti-USP33 antibody (ab237510) at 1/500 dilution

All lanes:

HeLa (human epithelial cell line from cervix adenocarcinoma) whole cell lysate

Secondary

All lanes:

Goat polyclonal to rabbit IgG at 1/50000 dilution

Predicted band size: 107 kDa

false

Key facts

Host species

Rabbit

Clonality

Polyclonal

Isotype

IgG

Carrier free

No

Reacts with

Human

Applications

ICC/IF, IHC-P, WB

applications

Immunogen

Recombinant Fragment Protein within Human USP33 aa 250-550. The exact immunogen used to generate this antibody is proprietary information.

Q8TEY7

Reactivity data

{ "title": "Reactivity Data", "filters": { "stats": ["", "Species", "Dilution Info", "Notes"], "tabs": { "all-applications": {"fullname" : "All Applications", "shortname": "All Applications"}, "WB" : {"fullname" : "Western blot", "shortname":"WB"}, "IHCP" : {"fullname" : "Immunohistochemistry (Formalin/PFA-fixed paraffin-embedded sections)", "shortname":"IHC-P"}, "ICCIF" : {"fullname" : "Immunocytochemistry/ Immunofluorescence", "shortname":"ICC/IF"} }, "product-promise": { "all": "all", "testedAndGuaranteed": "tested", "guaranteed": "expected", "predicted": "predicted", "notRecommended": "not-recommended" } }, "values": { "Human": { "WB-species-checked": "testedAndGuaranteed", "WB-species-dilution-info": "1/500 - 1/5000", "WB-species-notes": "<p></p>", "IHCP-species-checked": "testedAndGuaranteed", "IHCP-species-dilution-info": "1/20 - 1/200", "IHCP-species-notes": "<p></p>", "ICCIF-species-checked": "testedAndGuaranteed", "ICCIF-species-dilution-info": "1/50 - 1/200", "ICCIF-species-notes": "<p></p>" } } }

Properties and storage information

Form
Liquid
Purification technique
Affinity purification Protein G
Purification notes
Purity greater than 95%.
Storage buffer
pH: 7.4 Preservative: 0.03% Proclin 300 Constituents: PBS, 50% Glycerol (glycerin, glycerine)
Shipped at conditions
Blue Ice
Appropriate short-term storage duration
1-2 weeks
Appropriate short-term storage conditions
+4°C
Appropriate long-term storage conditions
-20°C
Aliquoting information
Upon delivery aliquot
Storage information
Avoid freeze / thaw cycle

Supplementary information

This supplementary information is collated from multiple sources and compiled automatically.

USP33 also known as ubiquitin-specific peptidase 33 is an important enzyme involved in the ubiquitin-proteasome system. It has a molecular mass of about 105 kDa. USP33 acts as a deubiquitinating enzyme meaning it removes ubiquitin from target proteins which stabilizes or changes their function. You find USP33 expressed in various tissues with significant levels in the brain lung and heart. Alternate names include VDU1 and a few other names reflecting variations in biological contexts.
Biological function summary

USP33 plays roles in cellular processes like signal transduction and intracellular trafficking often as part of protein complexes. Its enzymatic activity influences the regulation of proteins tasked with moving cellular components cytoskeletal dynamics and response to hypoxia. Acting on proteins such as beta-arrestin2 USP33 influences the endocytosis and recycling of G-protein-coupled receptors (GPCRs). This role allows it to impact multiple receptor-mediated signaling pathways.

Pathways

USP33 participates in critical cellular pathways including the hypoxia response and Wnt signaling. It interacts with hypoxia-inducible factor 1-alpha (HIF-1α) modifying its stability and affecting cellular response to low oxygen levels. In the Wnt signaling pathway it modulates the activity of beta-catenin through deubiquitination which is essential for cell proliferation and differentiation. These roles highlight USP33's position within wide networks of cellular regulation influencing different proteomic interactions and outcomes.

USP33 has been linked to certain cancers and neurodegenerative diseases. Its interaction with HIF-1α connects it to tumor progression as altered USP33 expression can influence cancer cell survival in hypoxic conditions. In neurodegenerative diseases like Parkinson's changes in the deubiquitination activity of USP33 may lead to protein aggregation. Its interactions with proteins such as alpha-synuclein are relevant as these proteins play a significant role in disease pathology. Understanding USP33's functions and associations offers insight into potential therapeutic targets.

Product protocols

For this product, it's our understanding that no specific protocols are required. You can visit:

Target data

Deubiquitinating enzyme involved in various processes such as centrosome duplication, cellular migration and beta-2 adrenergic receptor/ADRB2 recycling. Involved in regulation of centrosome duplication by mediating deubiquitination of CCP110 in S and G2/M phase, leading to stabilize CCP110 during the period which centrioles duplicate and elongate. Involved in cell migration via its interaction with intracellular domain of ROBO1, leading to regulate the Slit signaling. Plays a role in commissural axon guidance cross the ventral midline of the neural tube in a Slit-dependent manner, possibly by mediating the deubiquitination of ROBO1. Acts as a regulator of G-protein coupled receptor (GPCR) signaling by mediating the deubiquitination of beta-arrestins (ARRB1 and ARRB2) and beta-2 adrenergic receptor (ADRB2). Plays a central role in ADRB2 recycling and resensitization after prolonged agonist stimulation by constitutively binding ADRB2, mediating deubiquitination of ADRB2 and inhibiting lysosomal trafficking of ADRB2. Upon dissociation, it is probably transferred to the translocated beta-arrestins, leading to beta-arrestins deubiquitination and disengagement from ADRB2. This suggests the existence of a dynamic exchange between the ADRB2 and beta-arrestins. Deubiquitinates DIO2, thereby regulating thyroid hormone regulation. Mediates deubiquitination of both 'Lys-48'- and 'Lys-63'-linked polyubiquitin chains.
See full target information USP33

Publications (5)

Recent publications for all applications. Explore the full list and refine your search

Molecular and cellular biochemistry 479:929-940 PubMed37256445

2023

miR-206 alleviates LPS-induced inflammatory injury in cardiomyocytes via directly targeting USP33 to inhibit the JAK2/STAT3 signaling pathway.

Applications

Unspecified application

Species

Unspecified reactive species

Wei Dong,Jin Chen,Yadong Wang,Junfei Weng,Xingxiang Du,Xu Fang,Wenyu Liu,Tao Long,Jiaxiang You,Wensheng Wang,Xiaoping Peng

American journal of cancer research 13:922-935 PubMed37034227

2023

Deubiquitinase USP33 promotes the glycolysis and growth of osteosarcoma by modifying PFKFB3 ubiquitination and degradation.

Applications

Unspecified application

Species

Unspecified reactive species

Bin Zhou,Nanye Wang,Qirui Chen,Juntao Ren,Xiaoling Fu,Xigao Cheng

Nature communications 13:7677 PubMed36509766

2022

PRDM1/BLIMP1 induces cancer immune evasion by modulating the USP22-SPI1-PD-L1 axis in hepatocellular carcinoma cells.

Applications

Unspecified application

Species

Unspecified reactive species

Qing Li,Liren Zhang,Wenhua You,Jiali Xu,Jingjing Dai,Dongxu Hua,Ruizhi Zhang,Feifan Yao,Suiqing Zhou,Wei Huang,Yongjiu Dai,Yu Zhang,Tasiken Baheti,Xiaofeng Qian,Liyong Pu,Jing Xu,Yongxiang Xia,Chuanyong Zhang,Jinhai Tang,Xuehao Wang

Cell cycle (Georgetown, Tex.) 20:2066-2076 PubMed34470581

2021

Ubiquitin specific peptidase 33 promotes cell proliferation and reduces apoptosis through regulation of the SP1/PI3K/AKT pathway in retinoblastoma.

Applications

Unspecified application

Species

Unspecified reactive species

Hao Wang,Zhinan Liu,Zhuo Sun,Dong Zhou,Hanyan Mao,Guohua Deng

Oncotarget 11:2906-2918 PubMed32774771

2020

Biomarker analysis to predict the pathological response to neoadjuvant chemotherapy in locally advanced gastric cancer: An exploratory biomarker study of COMPASS, a randomized phase II trial.

Applications

Unspecified application

Species

Unspecified reactive species

Takashi Oshima,Takaki Yoshikawa,Yohei Miyagi,Satoshi Morita,Michio Yamamoto,Kazuaki Tanabe,Kazuhiro Nishikawa,Yuichi Ito,Takanori Matsui,Yutaka Kimura,Tomoyuki Yokose,Yukihiko Hiroshima,Toru Aoyama,Tsutomu Hayashi,Takashi Ogata,Haruhiko Cho,Yasushi Rino,Munetaka Masuda,Akira Tsuburaya,Junichi Sakamoto
View all publications

Product promise

We are committed to supporting your work with high-quality reagents, and we're here for you every step of the way. In the unlikely event that one of our products does not perform as expected, you're protected by our Product Promise.
For full details, please see our Terms & Conditions

Please note: All products are 'FOR RESEARCH USE ONLY. NOT FOR USE IN DIAGNOSTIC OR THERAPEUTIC PROCEDURES'.

For licensing inquiries, please contact partnerships@abcam.com