JavaScript is disabled in your browser. Please enable JavaScript to view this website.
AB248387

Anti-USP39 antibody [EPR8683] - BSA and Azide free

Be the first to review this product! Submit a review

|

(1 Publication)

Rabbit Recombinant Monoclonal USP39 antibody. Carrier free. Suitable for IHC-P, ICC/IF, WB and reacts with Human samples. Cited in 1 publication.

View Alternative Names

CGI-21, HSPC332, PRO2855, USP39, Ubiquitin carboxyl-terminal hydrolase 39, SAD1 homolog, U4/U6.U5 tri-snRNP-associated 65 kDa protein

4 Images
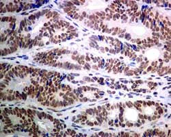
Immunohistochemistry (Formalin/PFA-fixed paraffin-embedded sections) - Anti-USP39 antibody [EPR8683] - BSA and Azide free (AB248387)
  • IHC-P

Unknown

Immunohistochemistry (Formalin/PFA-fixed paraffin-embedded sections) - Anti-USP39 antibody [EPR8683] - BSA and Azide free (AB248387)

This data was developed using ab131244, the same antibody clone in a different buffer formulation.

Immunohistochemical analysis of paraffin-embedded Human colonic adenocarcinoma tissue labelling USP39 with ab131244 at 1/100 dilution.

Perform heat mediated antigen retrieval with citrate buffer pH 6 before commencing with IHC staining protocol.

Immunocytochemistry/ Immunofluorescence - Anti-USP39 antibody [EPR8683] - BSA and Azide free (AB248387)
  • ICC/IF

Unknown

Immunocytochemistry/ Immunofluorescence - Anti-USP39 antibody [EPR8683] - BSA and Azide free (AB248387)

This data was developed using ab131244, the same antibody clone in a different buffer formulation.Immunofluorescence analysis of HeLa cells labelling USP39 with ab131244 at 1/100 dilution.

Western blot - Anti-USP39 antibody [EPR8683] - BSA and Azide free (AB248387)
  • WB

Unknown

Western blot - Anti-USP39 antibody [EPR8683] - BSA and Azide free (AB248387)

This data was developed using ab131244, the same antibody clone in a different buffer formulation.

All lanes:

Western blot - Anti-USP39 antibody [EPR8683] (<a href='/en-us/products/primary-antibodies/usp39-antibody-epr8683-ab131244'>ab131244</a>) at 1/1000 dilution

Lane 1:

HeLa cell lysate at 10 µg

Lane 2:

293T cell lysate at 10 µg

Lane 3:

K562 cell lysate at 10 µg

Lane 4:

Jurkat cell lysate at 10 µg

Secondary

All lanes:

HRP labelled goat anti-rabbit at 1/2000 dilution

Predicted band size: 65 kDa

false

OI-RD Scanning - Anti-USP39 antibody [EPR8683] - BSA and Azide free (AB248387)
  • OI-RD Scanning

Unknown

OI-RD Scanning - Anti-USP39 antibody [EPR8683] - BSA and Azide free (AB248387)

We have systematically measured KD (the equilibrium dissociation constant between the antibody and its antigen), of more than 840 recombinant antibodies to assess not only their individual KD values but also to see the average affinity of antibody. Based on the comparison with published literature values for mouse monoclonal antibodies, Recombinant antibodies appear to be on average 1-2 order of magnitude higher affinity.

Key facts

Host species

Rabbit

Clonality

Monoclonal

Clone number

EPR8683

Isotype

IgG

Carrier free

Yes

Reacts with

Human

Applications

WB, ICC/IF, IHC-P

applications

Immunogen

The exact immunogen used to generate this antibody is proprietary information.

Reactivity data

{ "title": "Reactivity Data", "filters": { "stats": ["", "Species", "Dilution Info", "Notes"], "tabs": { "all-applications": {"fullname" : "All Applications", "shortname": "All Applications"}, "IHCP" : {"fullname" : "Immunohistochemistry (Formalin/PFA-fixed paraffin-embedded sections)", "shortname":"IHC-P"}, "ICCIF" : {"fullname" : "Immunocytochemistry/ Immunofluorescence", "shortname":"ICC/IF"}, "IP" : {"fullname" : "Immunoprecipitation", "shortname":"IP"}, "FlowCyt" : {"fullname" : "Flow Cytometry", "shortname":"Flow Cyt"}, "WB" : {"fullname" : "Western blot", "shortname":"WB"} }, "product-promise": { "all": "all", "testedAndGuaranteed": "tested", "guaranteed": "expected", "predicted": "predicted", "notRecommended": "not-recommended" } }, "values": { "Human": { "IHCP-species-checked": "testedAndGuaranteed", "IHCP-species-dilution-info": "", "IHCP-species-notes": "<p></p>", "ICCIF-species-checked": "testedAndGuaranteed", "ICCIF-species-dilution-info": "", "ICCIF-species-notes": "<p></p>", "IP-species-checked": "notRecommended", "IP-species-dilution-info": "", "IP-species-notes": "<p></p>", "FlowCyt-species-checked": "notRecommended", "FlowCyt-species-dilution-info": "", "FlowCyt-species-notes": "<p></p>", "WB-species-checked": "testedAndGuaranteed", "WB-species-dilution-info": "", "WB-species-notes": "<p></p>" }, "Mouse": { "IHCP-species-checked": "predicted", "IHCP-species-dilution-info": "", "IHCP-species-notes": "", "ICCIF-species-checked": "predicted", "ICCIF-species-dilution-info": "", "ICCIF-species-notes": "", "IP-species-checked": "notRecommended", "IP-species-dilution-info": "", "IP-species-notes": "", "FlowCyt-species-checked": "notRecommended", "FlowCyt-species-dilution-info": "", "FlowCyt-species-notes": "", "WB-species-checked": "predicted", "WB-species-dilution-info": "", "WB-species-notes": "" } } }

Product details

ab248387 is the carrier-free version of ab131244.

Patented technology
Our RabMAb® technology is a patented hybridoma-based technology for making rabbit monoclonal antibodies. For details on our patents, please refer to RabMAb® patents.

What are the advantages of a recombinant monoclonal antibody?
This product is a recombinant monoclonal antibody, which offers several advantages including:

  • - High batch-to-batch consistency and reproducibility
  • - Improved sensitivity and specificity
  • - Long-term security of supply
  • - Animal-free batch production

For more information, read more on recombinant antibodies.

Species reactivity
Rat: We have preliminary internal testing data to indicate this antibody may not react with this species.
Please contact us for more information.

Conjugation ready
Our carrier-free antibodies are typically supplied in a PBS-only formulation, purified and free of BSA, sodium azide and glycerol. This conjugation-ready format is designed for use with fluorochromes, metal isotopes, oligonucleotides, and enzymes, which makes them ideal for antibody labelling, functional and cell-based assays, flow-based assays (e.g. mass cytometry) and Multiplex Imaging applications.

Use our conjugation kits for antibody conjugates that are ready-to-use in as little as 20 minutes with 1 minute hands-on-time and 100% antibody recovery: available for fluorescent dyes, HRP, biotin and gold.

Compatibility
This product is compatible with the Maxpar® Antibody Labeling Kit from Fluidigm, without the need for antibody preparation. Maxpar® is a trademark of Fluidigm Canada Inc.

Properties and storage information

Form
Liquid
Purification technique
Affinity purification Protein A
Storage buffer
pH: 7.2 - 7.4 Constituents: PBS
Shipped at conditions
Blue Ice
Appropriate short-term storage conditions
+4°C
Appropriate long-term storage conditions
+4°C
Storage information
Do Not Freeze

Supplementary information

This supplementary information is collated from multiple sources and compiled automatically.

USP39 also known as U4/U6.U5 tri-snRNP-associated protein or Sad1 homologue functions as a deubiquitinating enzyme which is essential for the ubiquitin-proteasome system in cells. This protein has a molecular mass of approximately 65 kDa and is expressed abundantly in the nucleus. It participates in the regulation of pre-mRNA splicing by facilitating the assembly of the spliceosome an intricate molecular machine.
Biological function summary

USP39 plays a significant role in pre-mRNA splicing a process critical for the maturation of messenger RNA. It forms part of the U4/U6.U5 tri-snRNP complex which is essential for spliceosome assembly. This protein ensures proper spliceosome cycling by stabilizing snRNPs contributing to the accurate removal of introns from pre-mRNA sequences. Its involvement in RNA processing highlights its importance in gene expression regulation.

Pathways

USP39 integrates into the spliceosome pathway and is also linked to the mRNA surveillance pathway. These pathways are important for correct mRNA synthesis and degradation. USP39 functions alongside other splicing factors such as PRPF8 and EFTUD2 which are important components of the spliceosome machinery. By working synchronously with these proteins it maintains efficient RNA processing and cellular homeostasis.

USP39 has associations with various cancer types including breast and prostate cancer. Alterations in its expression or function can disrupt normal splicing and gene expression contributing to oncogenesis. In breast cancer for instance USP39 interacts with the BRCA1 protein influencing pathways linked to DNA repair and tumor suppression. In prostate cancer defects in its deubiquitination activity can lead to aberrant cell cycles and resistance to apoptosis highlighting its role in maintaining cellular health.

Product protocols

For this product, it's our understanding that no specific protocols are required. You can visit:

Target data

Deubiquitinating enzyme that plays a role in many cellular processes including cellular antiviral response, epithelial morphogenesis, DNA repair or B-cell development (PubMed : 33127822, PubMed : 34614178). Plays a role in pre-mRNA splicing as a component of the U4/U6-U5 tri-snRNP, one of the building blocks of the precatalytic spliceosome (PubMed : 11350945, PubMed : 26912367). Specifically regulates immunoglobulin gene rearrangement in a spliceosome-dependent manner, which involves modulating chromatin interactions at the Igh locus and therefore plays an essential role in B-cell development (By similarity). Regulates AURKB mRNA levels, and thereby plays a role in cytokinesis and in the spindle checkpoint (PubMed : 18728397). Regulates apoptosis and G2/M cell cycle checkpoint in response to DNA damage by deubiquitinating and stabilizing CHK2 (PubMed : 30771428). Plays also an important role in DNA repair by controlling the recruitment of XRCC4/LIG4 to DNA double-strand breaks for non-homologous end-joining repair (PubMed : 34614178). Participates in antiviral activity by affecting the type I IFN signaling by stabilizing STAT1 and decreasing its 'Lys-6'-linked ubiquitination (PubMed : 33127822). Contributes to non-canonical Wnt signaling during epidermal differentiation (By similarity). Acts as a negative regulator NF-kappa-B activation through deubiquitination of 'Lys-48'-linked ubiquitination of NFKBIA (PubMed : 36651806).
See full target information USP39

Publications (1)

Recent publications for all applications. Explore the full list and refine your search

Oncology letters 24:457 PubMed36380881

2022

Suppressive effect of YY1-mediated RGS22 regulation on the proliferation, migration and invasion of pancreatic ductal adenocarcinoma.

Applications

Unspecified application

Species

Unspecified reactive species

Shou-Ji Cao,Wan-Li Ge,Ling-Dong Meng,Qun Chen,Yi Miao,Kui-Rong Jiang,Jing-Jing Zhang
View all publications

Product promise

We are committed to supporting your work with high-quality reagents, and we're here for you every step of the way. In the unlikely event that one of our products does not perform as expected, you're protected by our Product Promise.
For full details, please see our Terms & Conditions

Please note: All products are 'FOR RESEARCH USE ONLY. NOT FOR USE IN DIAGNOSTIC OR THERAPEUTIC PROCEDURES'.

For licensing inquiries, please contact partnerships@abcam.com