JavaScript is disabled in your browser. Please enable JavaScript to view this website.
AB180191

Anti-USP9x antibody [EPR13809(B)] - N-terminal

5

(1 Review)

|

(8 Publications)

Rabbit Recombinant Monoclonal USP9X antibody. N-terminal. Suitable for IP, WB, ICC/IF, Flow Cyt (Intra), IHC-P and reacts with Mouse, Human samples. Cited in 8 publications.

View Alternative Names

DFFRX, FAM, USP9, USP9X, Ubiquitin carboxyl-terminal hydrolase 9X, Deubiquitinating enzyme FAF-X, Fat facets in mammals, Ubiquitin thioesterase FAF-X, Ubiquitin-specific-processing protease FAF-X, hFAM

9 Images
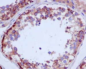
Immunohistochemistry (Formalin/PFA-fixed paraffin-embedded sections) - Anti-USP9x antibody [EPR13809(B)] - N-terminal (AB180191)
  • IHC-P

Supplier Data

Immunohistochemistry (Formalin/PFA-fixed paraffin-embedded sections) - Anti-USP9x antibody [EPR13809(B)] - N-terminal (AB180191)

Immunohistochemical analysis of paraffin embedded Human testis tissue labeling USP9x with ab180191 at 1/50.

Perform heat mediated antigen retrieval with EDTA buffer pH 9 before commencing with IHC staining protocol.

Immunocytochemistry/ Immunofluorescence - Anti-USP9x antibody [EPR13809(B)] - N-terminal (AB180191)
  • ICC/IF

Supplier Data

Immunocytochemistry/ Immunofluorescence - Anti-USP9x antibody [EPR13809(B)] - N-terminal (AB180191)

Immunofluorescent analysis of HeLa cells labeling USP9x with ab180191 at 1/100 (green) and DAPI staining (blue).

Immunohistochemistry (Formalin/PFA-fixed paraffin-embedded sections) - Anti-USP9x antibody [EPR13809(B)] - N-terminal (AB180191)
  • IHC-P

Supplier Data

Immunohistochemistry (Formalin/PFA-fixed paraffin-embedded sections) - Anti-USP9x antibody [EPR13809(B)] - N-terminal (AB180191)

Immunohistochemical analysis of paraffin embedded Human kidney tissue labeling USP9x with ab180191 at 1/50.

Perform heat mediated antigen retrieval with EDTA buffer pH 9 before commencing with IHC staining protocol.

Flow Cytometry (Intracellular) - Anti-USP9x antibody [EPR13809(B)] - N-terminal (AB180191)
  • Flow Cyt (Intra)

Supplier Data

Flow Cytometry (Intracellular) - Anti-USP9x antibody [EPR13809(B)] - N-terminal (AB180191)

Intracellular flow cytometrical analysis of permeabilized Jurkat cells labeling USP9x with ab180191 at 1/10 (red) or a rabbit IgG negative (green).

Immunoprecipitation - Anti-USP9x antibody [EPR13809(B)] - N-terminal (AB180191)
  • IP

Lab

Immunoprecipitation - Anti-USP9x antibody [EPR13809(B)] - N-terminal (AB180191)

ab180191 (purified) at 1/20 dilution immunoprecipitating ETS2 in HeLa (human cervix adenocarcinoma epithelial cell) whole cell lysate 10 μg.
Lane 1 (input) : HeLa (human cervix adenocarcinoma epithelial cell) whole cell lysate 10 μg
Lane 2 (+) : ab180191 & HeLa whole cell lysate
Lane 3 (-) : Rabbit monoclonal IgG (ab172730) instead of ab180191 in HeLa whole cell lysate

For western blotting, ab180191 at 1/500 dilution (0.23 μg/mL) and veriBlot for IP secondary antibody (HRP) (ab131366) at 1/1000 dilution was used.

Blocking and diluting buffer : 5% NFDM /TBST.

All lanes:

Immunoprecipitation - Anti-USP9x antibody [EPR13809(B)] - N-terminal (ab180191)

Predicted band size: 292 kDa

false

Immunoprecipitation - Anti-USP9x antibody [EPR13809(B)] - N-terminal (AB180191)
  • IP

Lab

Immunoprecipitation - Anti-USP9x antibody [EPR13809(B)] - N-terminal (AB180191)

ab180191 (purified) at 1/20 dilution immunoprecipitating ETS2 in NIH/3T3 (Mouse embryonic fibroblast) whole cell lysate 10 μg.

Lane 1 (input) : NIH/3T3 (Mouse embryonic fibroblast) whole cell lysate 10 μg.
Lane 2 (+) : ab180191 & NIH/3T3 whole cell lysate
Lane 3 (-) : Rabbit monoclonal IgG (ab172730) instead of ab180191 in NIH/3T3 whole cell lysate

For western blotting, ab180191 at 1/500 dilution (0.23 μg/mL) and veriBlot for IP secondary antibody (HRP) (ab131366) at 1/1000 dilution was used.

Blocking and diluting buffer : 5% NFDM /TBST.

All lanes:

Immunoprecipitation - Anti-USP9x antibody [EPR13809(B)] - N-terminal (ab180191)

Predicted band size: 292 kDa

false

Western blot - Anti-USP9x antibody [EPR13809(B)] - N-terminal (AB180191)
  • WB

Lab

Western blot - Anti-USP9x antibody [EPR13809(B)] - N-terminal (AB180191)

Lane 1 : Wild-type HAP1 cell lysate (20 μg)
Lane 2 : USP9x knockout HAP1 cell lysate (20 μg)
Lane 3 : T84 cell lysate (20 μg)
Lane 4 : NIH3T3 cell lysate (20 μg)
Lanes 1 - 4 : Merged signal (red and green). Green - ab180191 observed at 270 kDa. Red - loading control, ab18058, observed at 117 kDa.

ab180191 was shown to specifically react with USP9x when USP9x knockout samples were used. Wild-type and USP9x knockout samples were subjected to SDS-PAGE. ab180191 and ab18058 (loading control to Vinculin) were diluted at 1 μg/ml and 1/10 000 respectively and incubated overnight at 4°C. Blots were developed with Goat anti-Rabbit IgG H&L (IRDye® 800CW) preadsorbed (ab216773) and Goat anti-Mouse IgG H&L (IRDye® 680RD) preadsorbed (ab216776) secondary antibodies at 1/10 000 dilution for 1 h at room temperature before imaging.

All lanes:

Western blot - Anti-USP9x antibody [EPR13809(B)] - N-terminal (ab180191)

Predicted band size: 292 kDa

false

Western blot - Anti-USP9x antibody [EPR13809(B)] - N-terminal (AB180191)
  • WB

Supplier Data

Western blot - Anti-USP9x antibody [EPR13809(B)] - N-terminal (AB180191)

All lanes:

Western blot - Anti-USP9x antibody [EPR13809(B)] - N-terminal (ab180191) at 1/1000 dilution

Lane 1:

Jurkat cell lysate at 10 µg

Lane 2:

HeLa cell lysate at 10 µg

Lane 3:

HepG2 cell lysate at 10 µg

Secondary

All lanes:

HRP labelled goat anti-rabbit at 1/2000 dilution

Predicted band size: 292 kDa

false

Western blot - Anti-USP9x antibody [EPR13809(B)] - N-terminal (AB180191)
  • WB

Lab

Western blot - Anti-USP9x antibody [EPR13809(B)] - N-terminal (AB180191)

Lanes 1- 2 : Merged signal (red and green). Green - ab180191 observed at 290 kDa. Red - Anti-alpha Tubulin antibody [DM1A] - Loading Control (ab7291) observed at 50 kDa.

ab180191 was shown to react with USP9x in wild-type HeLa cells in western blot. Loss of signal was observed when knockout cell line ab265665 (knockout cell lysate ab257790) was used. Wild-type HeLa and USP9X knockout HeLa cell lysates were subjected to SDS-PAGE. Membrane was blocked for 1 hour at room temperature in 0.1% TBST with 3% non-fat dried milk. ab180191 and Anti-alpha Tubulin antibody [DM1A] - Loading Control (ab7291) were incubated overnight at 4°C at a 1 in 1000 dilution and a 1 in 20000 dilution respectively. Blots were developed with Goat anti-Rabbit IgG H&L (IRDye®800CW) preadsorbed (ab216773) and Goat anti-Mouse IgG H&L (IRDye®680RD) preadsorbed (ab216776) secondary antibodies at 1 in 20000 dilution for 1 hour at room temperature before imaging.

All lanes:

Western blot - Anti-USP9x antibody [EPR13809(B)] - N-terminal (ab180191) at 1/1000 dilution

Lane 1:

Wild-type HeLa cell lysate at 20 µg

Lane 2:

USP9X knockout HeLa cell lysate at 20 µg

Lane 2:

Western blot - Human USP9X knockout HeLa cell line (<a href='/en-us/products/cell-lines/human-usp9x-knockout-hela-cell-line-ab265665'>ab265665</a>)

Predicted band size: 140 kDa,292 kDa

Observed band size: 220 kDa,290 kDa

false

  • 775 Alexa Fluor® 750

    Alexa Fluor® 750 Anti-USP9x antibody [EPR13809(B)] - N-terminal

Key facts

Host species

Rabbit

Clonality

Monoclonal

Clone number

EPR13809(B)

Isotype

IgG

Carrier free

No

Reacts with

Mouse, Human

Applications

Flow Cyt (Intra), ICC/IF, IP, IHC-P, WB

applications

Immunogen

The exact immunogen used to generate this antibody is proprietary information.

Reactivity data

{ "title": "Reactivity Data", "filters": { "stats": ["", "Species", "Dilution Info", "Notes"], "tabs": { "all-applications": {"fullname" : "All Applications", "shortname": "All Applications"}, "IP" : {"fullname" : "Immunoprecipitation", "shortname":"IP"}, "WB" : {"fullname" : "Western blot", "shortname":"WB"}, "ICCIF" : {"fullname" : "Immunocytochemistry/ Immunofluorescence", "shortname":"ICC/IF"}, "FlowCytIntra" : {"fullname" : "Flow Cytometry (Intracellular)", "shortname":"Flow Cyt (Intra)"}, "IHCP" : {"fullname" : "Immunohistochemistry (Formalin/PFA-fixed paraffin-embedded sections)", "shortname":"IHC-P"} }, "product-promise": { "all": "all", "testedAndGuaranteed": "tested", "guaranteed": "expected", "predicted": "predicted", "notRecommended": "not-recommended" } }, "values": { "Human": { "IP-species-checked": "testedAndGuaranteed", "IP-species-dilution-info": "1/20", "IP-species-notes": "<p></p>", "WB-species-checked": "testedAndGuaranteed", "WB-species-dilution-info": "1/1000 - 1/10000", "WB-species-notes": "<p></p>", "ICCIF-species-checked": "testedAndGuaranteed", "ICCIF-species-dilution-info": "1/100 - 1/250", "ICCIF-species-notes": "<p></p>", "FlowCytIntra-species-checked": "testedAndGuaranteed", "FlowCytIntra-species-dilution-info": "1/10 - 1/100", "FlowCytIntra-species-notes": "<p><a href='/en-us/products/primary-antibodies/rabbit-igg-monoclonal-epr25a-isotype-control-ab172730'>ab172730</a> - Rabbit monoclonal IgG, is suitable for use as an isotype control with this antibody.</p>", "IHCP-species-checked": "testedAndGuaranteed", "IHCP-species-dilution-info": "1/50 - 1/100", "IHCP-species-notes": "<p>Antigen retrieval is recommended.</p> Perform heat-mediated antigen retrieval with Tris/EDTA buffer pH 9.0 before commencing with IHC staining protocol." }, "Mouse": { "IP-species-checked": "testedAndGuaranteed", "IP-species-dilution-info": "1/20", "IP-species-notes": "<p></p>", "WB-species-checked": "testedAndGuaranteed", "WB-species-dilution-info": "1/1000 - 1/10000", "WB-species-notes": "<p></p>", "ICCIF-species-checked": "guaranteed", "ICCIF-species-dilution-info": "", "ICCIF-species-notes": "", "FlowCytIntra-species-checked": "guaranteed", "FlowCytIntra-species-dilution-info": "", "FlowCytIntra-species-notes": "", "IHCP-species-checked": "guaranteed", "IHCP-species-dilution-info": "", "IHCP-species-notes": "" }, "Rat": { "IP-species-checked": "predicted", "IP-species-dilution-info": "", "IP-species-notes": "", "WB-species-checked": "predicted", "WB-species-dilution-info": "", "WB-species-notes": "", "ICCIF-species-checked": "predicted", "ICCIF-species-dilution-info": "", "ICCIF-species-notes": "", "FlowCytIntra-species-checked": "predicted", "FlowCytIntra-species-dilution-info": "", "FlowCytIntra-species-notes": "", "IHCP-species-checked": "predicted", "IHCP-species-dilution-info": "", "IHCP-species-notes": "" } } }

Product details

Patented technology
Our RabMAb® technology is a patented hybridoma-based technology for making rabbit monoclonal antibodies. For details on our patents, please refer to RabMAb® patents.

What are the advantages of a recombinant monoclonal antibody?
This product is a recombinant monoclonal antibody, which offers several advantages including:

  • - High batch-to-batch consistency and reproducibility
  • - Improved sensitivity and specificity
  • - Long-term security of supply
  • - Animal-free batch production

For more information, read more on recombinant antibodies.

Properties and storage information

Form
Liquid
Purification technique
Affinity purification Protein A
Storage buffer
pH: 7.2 - 7.4 Preservative: 0.01% Sodium azide Constituents: PBS, 50% Tissue culture supernatant, 40% Glycerol (glycerin, glycerine), 0.05% BSA
Shipped at conditions
Blue Ice
Appropriate short-term storage duration
1-2 weeks
Appropriate short-term storage conditions
+4°C
Appropriate long-term storage conditions
-20°C
Aliquoting information
Upon delivery aliquot
Storage information
Avoid freeze / thaw cycle

Supplementary information

This supplementary information is collated from multiple sources and compiled automatically.

USP9x also known as ubiquitin-specific peptidase 9 X-linked is a deubiquitinating enzyme that plays a critical role in protein homeostasis. USP9x belongs to the USP family and has an approximate molecular mass of 290 kDa. It is expressed broadly in human tissues with particularly high levels in the brain and pancreas. Mechanically USP9x functions to remove ubiquitin molecules from ubiquitinated substrates preventing their degradation by the proteasome. This regulatory action influences many cellular processes by stabilizing specific proteins.
Biological function summary

USP9x influences numerous cellular mechanisms by maintaining protein balance. It is a part of the complex cellular machinery involved in signal transduction cell division and apoptosis. While its enzyme activity regulates various cellular proteins USP9x is essential in neural development and differentiation. The proteolytic activity helps to modulate pathways by controlling protein turnover which impacts cellular responses and development. Failure to regulate proteins accurately can lead to compromised cellular functions.

Pathways

USP9x participates prominently in the Wnt signaling and TGF-beta pathways. Its role in deubiquitination allows it to stabilize proteins like beta-catenin and SMAD4 which are vital for transmitting signals within these pathways. Through these interactions USP9x aids in cell proliferation migration and differentiation often connecting with other proteins like APC or Axin in the Wnt pathway. This demonstrates how USP9x's enzymatic activity intricately links to key biological signaling mechanisms.

Mutations and dysregulation of USP9x associate with cancer and neurodevelopmental disorders. In cancer it impairs normal cell cycle control and apoptosis facilitating unchecked cell proliferation. It interacts with proteins such as MCL1 influencing apoptosis decisions and tumor growth. In neurodevelopmental disorders USP9x affects brain development by disrupting neural cell differentiation processes. The protein's malfunction causes imbalances in brain signaling linking it to conditions like intellectual disability.

Product protocols

For this product, it's our understanding that no specific protocols are required. You can visit:

Target data

Deubiquitinase involved both in the processing of ubiquitin precursors and of ubiquitinated proteins (PubMed : 18254724, PubMed : 19135894, PubMed : 22371489, PubMed : 25944111, PubMed : 29626158, PubMed : 30914461, PubMed : 37454738). May therefore play an important regulatory role at the level of protein turnover by preventing degradation of proteins through the removal of conjugated ubiquitin (PubMed : 18254724, PubMed : 19135894, PubMed : 22371489, PubMed : 25944111, PubMed : 29626158, PubMed : 30914461, PubMed : 37454738). Specifically hydrolyzes 'Lys-11'-, followed by 'Lys-63'-, 'Lys-48'- and 'Lys-6'-linked polyubiquitins chains (PubMed : 30914461). Essential component of TGF-beta/BMP signaling cascade (PubMed : 19135894). Specifically deubiquitinates monoubiquitinated SMAD4, opposing the activity of E3 ubiquitin-protein ligase TRIM33 (PubMed : 19135894). Deubiquitinates alkylation repair enzyme ALKBH3 (PubMed : 25944111). OTUD4 recruits USP7 and USP9X to stabilize ALKBH3, thereby promoting the repair of alkylated DNA lesions (PubMed : 25944111). Deubiquitinates RNA demethylase enzyme ALKBH5, promoting its stability (PubMed : 37454738). Deubiquitinates mTORC2 complex component RICTOR at 'Lys-294' by removing 'Lys-63'-linked polyubiquitin chains, stabilizing RICTOR and enhancing its binding to MTOR, thus promoting mTORC2 complex assembly (PubMed : 33378666). Regulates chromosome alignment and segregation in mitosis by regulating the localization of BIRC5/survivin to mitotic centromeres (PubMed : 16322459). Involved in axonal growth and neuronal cell migration (PubMed : 24607389). Regulates cellular clock function by enhancing the protein stability and transcriptional activity of the core circadian protein BMAL1 via its deubiquitinating activity (PubMed : 29626158). Acts as a regulator of peroxisome import by mediating deubiquitination of PEX5 : specifically deubiquitinates PEX5 monoubiquitinated at 'Cys-11' following its retrotranslocation into the cytosol, resetting PEX5 for a subsequent import cycle (PubMed : 22371489). Deubiquitinates PEG10 (By similarity). Inhibits the activation of the Hippo signaling pathway via deubiquitination of AMOTL2 at 'Lys-347' and 'Lys-408' which prohibits its interaction with and activation of LATS2. Loss of LATS2 activation and subsequent loss of YAP1 phosphorylation results in an increase in YAP1-driven transcription of target genes (PubMed : 26598551, PubMed : 34404733).
See full target information USP9X

Publications (8)

Recent publications for all applications. Explore the full list and refine your search

The Journal of biological chemistry 299:105055 PubMed37454738

2023

Deubiquitinase USP9X stabilizes RNA mA demethylase ALKBH5 and promotes acute myeloid leukemia cell survival.

Applications

Unspecified application

Species

Unspecified reactive species

Peipei Wang,Jing Wang,Shuxin Yao,Manman Cui,Ying Cheng,Weidong Liu,Zhuying Gao,Jin Hu,Jinfang Zhang,Haojian Zhang

Investigative ophthalmology & visual science 64:1 PubMed37395713

2023

TBK1 Knockdown Alleviates Axonal Transport Deficits in Retinal Ganglion Cells Via mTORC1 Activation in a Retinal Damage Mouse Model.

Applications

Unspecified application

Species

Unspecified reactive species

Meng Ye,Yuanyuan Hu,Bowen Zhao,Qianxue Mou,Yueqi Ni,Jing Luo,Lu Li,Hong Zhang,Yin Zhao

International journal of cancer 153:1300-1312 PubMed37260183

2023

Deubiquitinase USP9X loss sensitizes renal cancer cells to mTOR inhibition.

Applications

Unspecified application

Species

Unspecified reactive species

Juan M Roldán-Romero,Carlos Valdivia,Maria Santos,Javier Lanillos,Pablo Maroto,Georgia Anguera,Bruna Calsina,Angel Martinez-Montes,María Monteagudo,Sara Mellid,Luis J Leandro-García,Cristina Montero-Conde,Alberto Cascón,Giovanna Roncador,Javier Coloma,Mercedes Robledo,Cristina Rodriguez-Antona

Cell biology international 47:394-405 PubMed36525374

2022

USP9X promotes lipopolysaccharide-stimulated acute lung injury by deubiquitination of NLRP3.

Applications

Unspecified application

Species

Unspecified reactive species

Yijin Xiang,Xiangting Li,Min Cai,Dingfang Cai

The European respiratory journal 60: PubMed34857612

2022

Single-cell RNA sequencing reveals that mutation regulates right ventricular function genes.

Applications

Unspecified application

Species

Unspecified reactive species

Mingxia Du,Haibin Jiang,Hongxian Liu,Xin Zhao,Yu Zhou,Fang Zhou,Chunmei Piao,Guoqiang Xu,Feng Ma,Jianan Wang,Frederic Perros,Nicholas W Morrell,Hong Gu,Jun Yang

Journal of biomedical science 28:44 PubMed34112167

2021

USP9X promotes apoptosis in cholangiocarcinoma by modulation expression of KIF1Bβ via deubiquitinating EGLN3.

Applications

Unspecified application

Species

Unspecified reactive species

Weiqian Chen,Jingjing Song,Siyu Liu,Bufu Tang,Lin Shen,Jinyu Zhu,Shiji Fang,Fazong Wu,Liyun Zheng,Rongfang Qiu,Chunmiao Chen,Yang Gao,Jianfei Tu,Zhongwei Zhao,Jiansong Ji

Irish journal of medical science 189:865-871 PubMed32065347

2020

USP9X promotes the progression of hepatocellular carcinoma by regulating beta-catenin.

Applications

Unspecified application

Species

Unspecified reactive species

Mei-Yuan Chen,Zi-Ping Li,Zhao-Na Sun,Ming Ma

FASEB journal : official publication of the Federation of American Societies for Experimental Biology 33:2928-2943 PubMed30335548

2018

VCP/p97 increases BMP signaling by accelerating ubiquitin ligase Smurf1 degradation.

Applications

Unspecified application

Species

Unspecified reactive species

Haiwen Li,Yu Cui,Jun Wei,Chao Liu,Yuhan Chen,Chun-Ping Cui,Lei Li,Xueli Zhang,Lingqiang Zhang
View all publications

Product promise

We are committed to supporting your work with high-quality reagents, and we're here for you every step of the way. In the unlikely event that one of our products does not perform as expected, you're protected by our Product Promise.
For full details, please see our Terms & Conditions

Please note: All products are 'FOR RESEARCH USE ONLY. NOT FOR USE IN DIAGNOSTIC OR THERAPEUTIC PROCEDURES'.

For licensing inquiries, please contact partnerships@abcam.com