JavaScript is disabled in your browser. Please enable JavaScript to view this website.
AB232562

Anti-Uteroglobin antibody [EPR19846] - BSA and Azide free

5

(2 Reviews)

|

(2 Publications)

Rabbit Recombinant Monoclonal Uteroglobin antibody. Carrier free. Suitable for IHC-P, IP, WB, IHC-Fr and reacts with Rat, Mouse samples. Cited in 2 publications.

View Alternative Names

Cc10, Ugb, Utg, Scgb1a1, Uteroglobin, Club cell 17 kDa protein, Club cell phospholipid-binding protein, Club cells 10 kDa secretory protein, PCB-binding protein, Secretoglobin family 1A member 1, CCPBP, CC10

5 Images
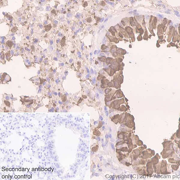
Immunohistochemistry (Formalin/PFA-fixed paraffin-embedded sections) - Anti-Uteroglobin antibody [EPR19846] - BSA and Azide free (AB232562)
  • IHC-P

Supplier Data

Immunohistochemistry (Formalin/PFA-fixed paraffin-embedded sections) - Anti-Uteroglobin antibody [EPR19846] - BSA and Azide free (AB232562)

Immunohistochemical analysis of paraffin-embedded mouse lung tissue labeling Uteroglobin with ab213203 at 1/4000 dilution, followed by Goat Anti-Rabbit IgG H&L (HRP) (ab97051) at 1/500 dilution.

Strong cytoplasmic staining on the airway epithelium of mouse lung. However, there is some non-specific cytoplasmic staining on the alveolar cells of mouse lung. The correct staining on the airway epithelium of mouse lung is observed when using immunofluorescence detection method.

Counter stained with Hematoxylin.

Secondary antibody only control : Used PBS instead of primary antibody, secondary antibody is Goat Anti-Rabbit IgG H&L (HRP) (ab97051) at 1/500 dilution.

This data was developed using the same antibody clone in a different buffer formulation containing PBS, BSA, glycerol, and sodium azide (ab213203).

Immunohistochemistry (Frozen sections) - Anti-Uteroglobin antibody [EPR19846] - BSA and Azide free (AB232562)
  • IHC-Fr

Supplier Data

Immunohistochemistry (Frozen sections) - Anti-Uteroglobin antibody [EPR19846] - BSA and Azide free (AB232562)

Immunohistochemical analysis of 4% paraformaldehyde-fixed, 0.2% Triton X-100 permeabilized frozen mouse lung tissue labeling Uteroglobin with ab213203 at 1/500 dilution, followed by Goat anti-rabbit IgG (Alexa Fluor® 488) (ab150077) secondary antibody at 1/1000 dilution (green).

Positive staining on the airway epithelium of mouse lung [PMID : 22916196].

The nuclear counterstain is DAPI (blue).

Secondary antibody only control : Used PBS instead of primary antibody, secondary antibody is Goat anti-rabbit IgG (Alexa Fluor® 488) (ab150077) at 1/1000 dilution.

This data was developed using the same antibody clone in a different buffer formulation containing PBS, BSA, glycerol, and sodium azide (ab213203).

Immunohistochemistry (Frozen sections) - Anti-Uteroglobin antibody [EPR19846] - BSA and Azide free (AB232562)
  • IHC-Fr

Supplier Data

Immunohistochemistry (Frozen sections) - Anti-Uteroglobin antibody [EPR19846] - BSA and Azide free (AB232562)

Immunohistochemical analysis of 4% paraformaldehyde-fixed, 0.2% Triton X-100 permeabilized frozen rat lung tissue labeling Uteroglobin with ab213203 at 1/100 dilution, followed by Goat anti-rabbit IgG (Alexa Fluor® 488) (ab150077) secondary antibody at 1/1000 dilution (green).

Positive staining on the airway epithelium of rat lung [PMID : 22916196].

The nuclear counterstain is DAPI (blue).

Secondary antibody only control : Used PBS instead of primary antibody, secondary antibody is Goat anti-rabbit IgG (Alexa Fluor® 488) (ab150077) at 1/1000 dilution.

This data was developed using the same antibody clone in a different buffer formulation containing PBS, BSA, glycerol, and sodium azide (ab213203).

Immunohistochemistry (Formalin/PFA-fixed paraffin-embedded sections) - Anti-Uteroglobin antibody [EPR19846] - BSA and Azide free (AB232562)
  • IHC-P

Supplier Data

Immunohistochemistry (Formalin/PFA-fixed paraffin-embedded sections) - Anti-Uteroglobin antibody [EPR19846] - BSA and Azide free (AB232562)

Immunohistochemical analysis of 4% paraformaldehyde-fixed, paraffin-embedded mouse lung tissue labeling Uteroglobin antibody with ab213203 at 1/1000 dilution, followed by Donkey anti Rabbit Alexa-594 at 1/500 dilution.

Positive staining of Uteroglobin on the airway epithelium of mouse lung is observed.

The nuclear counterstain is DAPI (blue).

Heat mediated antigen retrieval using citrate buffer pH 6.0

The image was kindly provided by our collaborator Dr. Hai Song, Zhejiang University.

This data was developed using the same antibody clone in a different buffer formulation containing PBS, BSA, glycerol, and sodium azide (ab213203).

Immunoprecipitation - Anti-Uteroglobin antibody [EPR19846] - BSA and Azide free (AB232562)
  • IP

Supplier Data

Immunoprecipitation - Anti-Uteroglobin antibody [EPR19846] - BSA and Azide free (AB232562)

Uteroglobin was immunoprecipitated from 0.35 mg of mouse lung lysate with ab213203 at 1/30 dilution.

Western blot was performed from the immunoprecipitate using ab213203 at 1/1000 dilution.

VeriBlot for IP Detection Reagent (HRP) (ab131366), was used for detection at 1/10000 dilution.

Lane 1 : Mouse lung lysate 10ug (Input).

Lane 2 : ab213203 IP in mouse lung lysate.

Lane 3 : Rabbit monoclonal IgG (ab172730) instead of ab213203 in mouse lung lysate.

Blocking and dilution buffer and concentration : 5% NFDM/TBST.

Exposure time : 10 seconds.

This data was developed using the same antibody clone in a different buffer formulation containing PBS, BSA, glycerol, and sodium azide (ab213203).

All lanes:

Immunoprecipitation - Anti-Uteroglobin antibody [EPR19846] (<a href='/en-us/products/primary-antibodies/uteroglobin-antibody-epr19846-ab213203'>ab213203</a>)

Predicted band size: 10 kDa

false

  • Unconjugated

    Anti-Uteroglobin antibody [EPR19846]

  • Biotin

    Biotin Anti-Uteroglobin antibody [EPR19846]

Key facts

Host species

Rabbit

Clonality

Monoclonal

Clone number

EPR19846

Isotype

IgG

Carrier free

Yes

Reacts with

Mouse, Rat

Applications

WB, IP, IHC-Fr, IHC-P

applications

Immunogen

The exact immunogen used to generate this antibody is proprietary information.

Reactivity data

{ "title": "Reactivity Data", "filters": { "stats": ["", "Species", "Dilution Info", "Notes"], "tabs": { "all-applications": {"fullname" : "All Applications", "shortname": "All Applications"}, "IHCP" : {"fullname" : "Immunohistochemistry (Formalin/PFA-fixed paraffin-embedded sections)", "shortname":"IHC-P"}, "IP" : {"fullname" : "Immunoprecipitation", "shortname":"IP"}, "WB" : {"fullname" : "Western blot", "shortname":"WB"}, "IHCFr" : {"fullname" : "Immunohistochemistry (Frozen sections)", "shortname":"IHC-Fr"} }, "product-promise": { "all": "all", "testedAndGuaranteed": "tested", "guaranteed": "expected", "predicted": "predicted", "notRecommended": "not-recommended" } }, "values": { "Mouse": { "IHCP-species-checked": "guaranteed", "IHCP-species-dilution-info": "", "IHCP-species-notes": "", "IP-species-checked": "testedAndGuaranteed", "IP-species-dilution-info": "", "IP-species-notes": "<p></p>", "WB-species-checked": "guaranteed", "WB-species-dilution-info": "", "WB-species-notes": "<p></p>", "IHCFr-species-checked": "testedAndGuaranteed", "IHCFr-species-dilution-info": "", "IHCFr-species-notes": "<p></p>" }, "Rat": { "IHCP-species-checked": "testedAndGuaranteed", "IHCP-species-dilution-info": "", "IHCP-species-notes": "<p></p>", "IP-species-checked": "guaranteed", "IP-species-dilution-info": "", "IP-species-notes": "", "WB-species-checked": "guaranteed", "WB-species-dilution-info": "", "WB-species-notes": "<p></p>", "IHCFr-species-checked": "guaranteed", "IHCFr-species-dilution-info": "", "IHCFr-species-notes": "" } } }

Product details

ab232562 is the carrier-free version of ab213203.

Patented technology
Our RabMAb® technology is a patented hybridoma-based technology for making rabbit monoclonal antibodies. For details on our patents, please refer to RabMAb® patents.

What are the advantages of a recombinant monoclonal antibody?
This product is a recombinant monoclonal antibody, which offers several advantages including:

  • - High batch-to-batch consistency and reproducibility
  • - Improved sensitivity and specificity
  • - Long-term security of supply
  • - Animal-free batch production

For more information, read more on recombinant antibodies.

Conjugation ready
Our carrier-free antibodies are typically supplied in a PBS-only formulation, purified and free of BSA, sodium azide and glycerol. This conjugation-ready format is designed for use with fluorochromes, metal isotopes, oligonucleotides, and enzymes, which makes them ideal for antibody labelling, functional and cell-based assays, flow-based assays (e.g. mass cytometry) and Multiplex Imaging applications.

Use our conjugation kits for antibody conjugates that are ready-to-use in as little as 20 minutes with 1 minute hands-on-time and 100% antibody recovery: available for fluorescent dyes, HRP, biotin and gold.

Compatibility
This product is compatible with the Maxpar® Antibody Labeling Kit from Fluidigm, without the need for antibody preparation. Maxpar® is a trademark of Fluidigm Canada Inc.

Properties and storage information

Form
Liquid
Purification technique
Affinity purification Protein A
Storage buffer
pH: 7.2 - 7.4 Constituents: PBS
Shipped at conditions
Blue Ice
Appropriate short-term storage conditions
+4°C
Appropriate long-term storage conditions
+4°C
Storage information
Do Not Freeze

Supplementary information

This supplementary information is collated from multiple sources and compiled automatically.

Uteroglobin also known as Clara cell secretory protein (CC16) is a small secreted protein with a molecular mass of approximately 16 kDa. Expressed chiefly in the respiratory epithelium of the lungs particularly by Clara cells it is also present in other tissues such as the kidney and uterus. Uteroglobin acts as an anti-inflammatory and immunomodulatory protein playing an important role in protecting epithelial cells from damage by various harmful agents.
Biological function summary

Uteroglobin serves as a multifunctional secretory agent contributing to the regulation of inflammation and tissue remodeling. It does not form part of a larger complex but acts independently. By binding and inhibiting pro-inflammatory mediators like phospholipase A2 Uteroglobin reduces the production of arachidonic acid derivatives which are involved in inflammatory processes. Additionally it acts as a chemoattractant for certain immune cells further modulating immune responses.

Pathways

Uteroglobin integrates into the immune response and inflammation pathways. It indirectly interacts with proteins such as cytokines and chemokines influencing pathways like the arachidonic acid metabolism pathway and the leukocyte extravasation signaling pathway. These interactions reduce inflammatory response and regulate immune cell movement demonstrating its anti-inflammatory function.

Low levels of Uteroglobin have been associated with respiratory conditions such as asthma and chronic obstructive pulmonary disease (COPD). By affecting inflammation pathways Uteroglobin interacts with inflammatory cytokines which exacerbate these conditions. Additionally its connection to proteins involved in these pathways makes it a potential biomarker for assessing lung injury and monitoring disease progression.

Product protocols

For this product, it's our understanding that no specific protocols are required. You can visit:

Target data

Binds phosphatidylcholine, phosphatidylinositol, polychlorinated biphenyls (PCB) and weakly progesterone, potent inhibitor of phospholipase A2.
See full target information Scgb1a1

Publications (2)

Recent publications for all applications. Explore the full list and refine your search

iScience 25:104262 PubMed35521516

2022

Neonatal lung-derived SSEA-1 cells exhibited distinct stem/progenitor characteristics and organoid developmental potential.

Applications

Unspecified application

Species

Unspecified reactive species

Chien-Chia Liao,Chiao-Juno Chiu,Yao-Hsu Yang,Bor-Luen Chiang

Journal of cellular and molecular medicine 26:2089-2103 PubMed35146909

2022

CD44/ERM/F-actin complex mediates targeted nuclear degranulation and excessive neutrophil extracellular trap formation during sepsis.

Applications

Unspecified application

Species

Unspecified reactive species

Yiming Shao,Linbin Li,Lu Liu,Yunxi Yang,Jiamin Huang,Dongdong Ji,Yuying Zhou,Yi Chen,Zhechen Zhu,Bingwei Sun
View all publications

Product promise

We are committed to supporting your work with high-quality reagents, and we're here for you every step of the way. In the unlikely event that one of our products does not perform as expected, you're protected by our Product Promise.
For full details, please see our Terms & Conditions

Please note: All products are 'FOR RESEARCH USE ONLY. NOT FOR USE IN DIAGNOSTIC OR THERAPEUTIC PROCEDURES'.

For licensing inquiries, please contact partnerships@abcam.com