JavaScript is disabled in your browser. Please enable JavaScript to view this website.
AB78892

Anti-v-Myb + c-Myb (phospho S12) antibody

Be the first to review this product! Submit a review

|

(1 Publication)

Rabbit Polyclonal c-Myb phospho S12 antibody. Suitable for WB, IHC-P and reacts with Human samples. Cited in 1 publication. Immunogen corresponding to Synthetic Peptide within Human MYB phospho S12.

View Alternative Names

Transcriptional activator Myb, Proto-oncogene c-Myb, MYB

2 Images
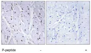
Immunohistochemistry (Formalin/PFA-fixed paraffin-embedded sections) - Anti-v-Myb + c-Myb (phospho S12) antibody (AB78892)
  • IHC-P

Unknown

Immunohistochemistry (Formalin/PFA-fixed paraffin-embedded sections) - Anti-v-Myb + c-Myb (phospho S12) antibody (AB78892)

Immunohistochemistry analysis of paraffin-embedded human heart tissue using ab78892 at 1/50 dilution in the absence or presence of the immunising phosphopeptide.

Western blot - Anti-v-Myb + c-Myb (phospho S12) antibody (AB78892)
  • WB

Unknown

Western blot - Anti-v-Myb + c-Myb (phospho S12) antibody (AB78892)

All lanes:

Western blot - Anti-v-Myb + c-Myb (phospho S12) antibody (ab78892) at 1/500 dilution

Lane 1:

Extracts from HeLa cells treatedwith Hu (2nM, 24hours) at 30 µg

Lane 2:

Extracts from HeLa cells treatedwith Hu (2nM, 24hours) at 30 µg with immunising phosphopeptide

Predicted band size: 72 kDa

Observed band size: 72 kDa

false

Key facts

Host species

Rabbit

Clonality

Polyclonal

Isotype

IgG

Carrier free

No

Reacts with

Human

Applications

WB, IHC-P

applications

Immunogen

Synthetic Peptide within Human MYB phospho S12. The exact immunogen used to generate this antibody is proprietary information.

P10242

Reactivity data

{ "title": "Reactivity Data", "filters": { "stats": ["", "Species", "Dilution Info", "Notes"], "tabs": { "all-applications": {"fullname" : "All Applications", "shortname": "All Applications"}, "WB" : {"fullname" : "Western blot", "shortname":"WB"}, "IHCP" : {"fullname" : "Immunohistochemistry (Formalin/PFA-fixed paraffin-embedded sections)", "shortname":"IHC-P"} }, "product-promise": { "all": "all", "testedAndGuaranteed": "tested", "guaranteed": "expected", "predicted": "predicted", "notRecommended": "not-recommended" } }, "values": { "Human": { "WB-species-checked": "testedAndGuaranteed", "WB-species-dilution-info": "1/500 - 1/1000", "WB-species-notes": "<p></p>", "IHCP-species-checked": "testedAndGuaranteed", "IHCP-species-dilution-info": "1/50 - 1/100", "IHCP-species-notes": "<p></p>" }, "Mouse": { "WB-species-checked": "predicted", "WB-species-dilution-info": "", "WB-species-notes": "", "IHCP-species-checked": "predicted", "IHCP-species-dilution-info": "", "IHCP-species-notes": "" } } }

Properties and storage information

Form
Liquid
Purification technique
Affinity purification Immunogen
Purification notes
Affinity-purified from rabbit antiserum by affinity-chromatography using epitope-specific phosphopeptide. The antibody against non-phosphopeptide was removed by chromatography using non-phosphopeptide corresponding to the phosphorylation site.
Storage buffer
pH: 7.4 Preservative: 0.02% Sodium azide Constituents: PBS, 50% Glycerol (glycerin, glycerine), 0.87% Sodium chloride
Shipped at conditions
Blue Ice
Appropriate short-term storage conditions
+4°C
Appropriate long-term storage conditions
-20°C
Storage information
Stable for 12 months at -20°C

Product protocols

For this product, it's our understanding that no specific protocols are required. You can visit:

Target data

Transcriptional activator; DNA-binding protein that specifically recognize the sequence 5'-YAAC[GT]G-3'. Plays an important role in the control of proliferation and differentiation of hematopoietic progenitor cells.
See full target information Transcriptional activator Myb phospho S12

Publications (1)

Recent publications for all applications. Explore the full list and refine your search

Communications biology 8:310 PubMed40000807

2025

Mapk7 enhances osteogenesis and suppresses adipogenesis by activating Lrp6/β-catenin signaling axis in mesenchymal stem cells.

Applications

Unspecified application

Species

Unspecified reactive species

Chuan Li,Jiahui Long,Shuqing Chen,Liru Tian,Ya Xiao,Shulin Chen,Deying Su,Baolin Zhang,Peiqiang Su,Liao Zhiheng,Caixia Xu
View all publications

Product promise

We are committed to supporting your work with high-quality reagents, and we're here for you every step of the way. In the unlikely event that one of our products does not perform as expected, you're protected by our Product Promise.
For full details, please see our Terms & Conditions

Please note: All products are 'FOR RESEARCH USE ONLY. NOT FOR USE IN DIAGNOSTIC OR THERAPEUTIC PROCEDURES'.

For licensing inquiries, please contact partnerships@abcam.com