JavaScript is disabled in your browser. Please enable JavaScript to view this website.
AB273021

Anti-V2R antibody [EPR24555-59]

  • Advanced Validation
  • BOND RX™ Validated
  • 20ul selling size
  • RabMAb
  • Recombinant
  • What is this?

Be the first to review this product! Submit a review

|

(0 Publication)

Anti-V2R antibody [EPR24555-59] (ab273021) is a rabbit monoclonal antibody detecting V2R in IHC-P, Dot Blot. Suitable for Human.

- Biophysical QC for unrivalled batch-batch consistency

View Alternative Names

ADHR, DIR, DIR3, V2R, AVPR2, Vasopressin V2 receptor, AVPR V2, Antidiuretic hormone receptor, Renal-type arginine vasopressin receptor

6 Images
Immunohistochemistry (Formalin/PFA-fixed paraffin-embedded sections) - Anti-V2R antibody [EPR24555-59] (AB273021)
  • IHC-P

Supplier Data

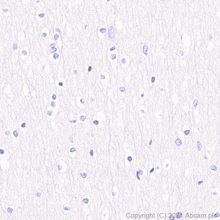
Immunohistochemistry (Formalin/PFA-fixed paraffin-embedded sections) - Anti-V2R antibody [EPR24555-59] (AB273021)

Immunohistochemical analysis of paraffin-embedded Human cerebrum tissue labelling V2R with ab273021 at 1/100 (6.32 ug/ml) dilution followed by a ready to use LeicaDS9800 (Bond™ Polymer Refine Detection). Negative control : No staining in human cerebrum. The section was incubated with ab273021 for 30 mins at room temperature.The immunostaining was performed on a Leica Biosystems BOND® RX instrument Counterstained with Hematoxylin.

Secondary antibody only control : Secondary antibody is a ready to use LeicaDS9800 (Bond™ Polymer Refine Detection).

Heat mediated antigen retrieval with Tris-EDTA buffer (pH 9.0, epitope retrieval solution2) for 20 mins

Immunohistochemistry (Formalin/PFA-fixed paraffin-embedded sections) - Anti-V2R antibody [EPR24555-59] (AB273021)
  • IHC-P

Supplier Data

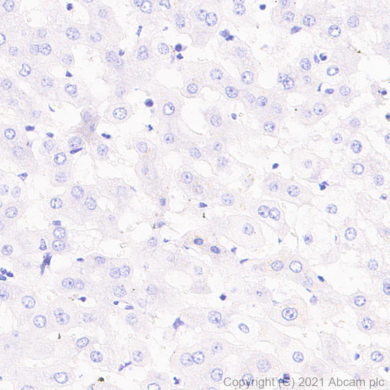
Immunohistochemistry (Formalin/PFA-fixed paraffin-embedded sections) - Anti-V2R antibody [EPR24555-59] (AB273021)

Immunohistochemical analysis of paraffin-embedded Human liver tissue labelling V2R with ab273021 at 1/100 (6.32 ug/ml) dilution followed by a ready to use LeicaDS9800 (Bond™ Polymer Refine Detection). Negative control : No staining in human liver. The section was incubated with ab273021 for 30 mins at room temperature.The immunostaining was performed on a Leica Biosystems BOND® RX instrument Counterstained with Hematoxylin.

Secondary antibody only control : Secondary antibody is a ready to use LeicaDS9800 (Bond™ Polymer Refine Detection).

Heat mediated antigen retrieval with Tris-EDTA buffer (pH 9.0, epitope retrieval solution2) for 20 mins

Immunohistochemistry (Formalin/PFA-fixed paraffin-embedded sections) - Anti-V2R antibody [EPR24555-59] (AB273021)
  • IHC-P

Supplier Data

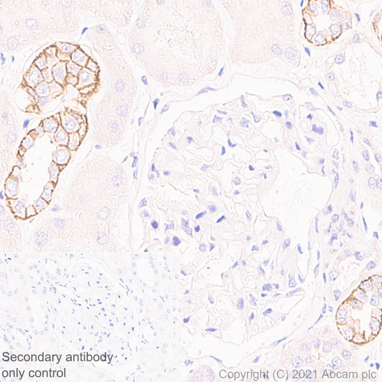
Immunohistochemistry (Formalin/PFA-fixed paraffin-embedded sections) - Anti-V2R antibody [EPR24555-59] (AB273021)

Immunohistochemical analysis of paraffin-embedded Human kidney tissue labelling V2R with ab273021 at 1/100 (6.32 ug/ml) dilution followed by a ready to use LeicaDS9800 (Bond™ Polymer Refine Detection). Membranous staining on connecting ducts of human renal cortex. The section was incubated with ab273021 for 30 mins at room temperature.The immunostaining was performed on a Leica Biosystems BOND® RX instrument Counterstained with Hematoxylin.

Secondary antibody only control : Secondary antibody is a ready to use LeicaDS9800 (Bond™ Polymer Refine Detection).

Heat mediated antigen retrieval with Tris-EDTA buffer (pH 9.0, epitope retrieval solution2) for 20 mins

Immunohistochemistry (Formalin/PFA-fixed paraffin-embedded sections) - Anti-V2R antibody [EPR24555-59] (AB273021)
  • IHC-P

Supplier Data

Immunohistochemistry (Formalin/PFA-fixed paraffin-embedded sections) - Anti-V2R antibody [EPR24555-59] (AB273021)

Immunohistochemical analysis of paraffin-embedded Human kidney tissue labelling V2R with ab273021 at 1/100 (6.32 ug/ml) dilution followed by a ready to use LeicaDS9800 (Bond™ Polymer Refine Detection). Membranous staining on connecting ducts of human renal medulla. The section was incubated with ab273021 for 30 mins at room temperature.The immunostaining was performed on a Leica Biosystems BOND® RX instrument Counterstained with Hematoxylin.

Secondary antibody only control : Secondary antibody is a ready to use LeicaDS9800 (Bond™ Polymer Refine Detection).

Heat mediated antigen retrieval with Tris-EDTA buffer (pH 9.0, epitope retrieval solution2) for 20 mins

Multiplex immunohistochemistry - Anti-V2R antibody [EPR24555-59] (AB273021)
  • mIHC

Lab

Multiplex immunohistochemistry - Anti-V2R antibody [EPR24555-59] (AB273021)

Multiplex immunohistochemistry analysis of formalin/PFA-fixed paraffin-embedded human kidney tissue staining GLEPP1/PTPRO with ab322047 at a 1/2000 dilution, ab273021 anti-V2R used at 1/100 dilution and ab212197 anti-Renin used at a 1/4000 dilution.

Panel A : merged staining of anti-GLEPP1/PTPRO (green; Opal™520), anti-V2R (magenta; Opal™690) and anti-Renin (gray; Opal™570) on human kidney.

Panel B : anti-GLEPP1/PTPRO staining glomerulus in human kidney.

Panel C : anti-V2R staining connecting ducts in human kidney.

Panel D : anti-Renin staining juxtaglomerular cells in human kidney.

Nuclear DNA was labeled with DAPI (shown in blue).

The section was incubated in three rounds of staining : in the order of ab322047, ab273021 and ab212197 for 30 mins at room temperature. Each round was followed by a separate fluorescent tyramide signal amplification system.

The immunostaining was performed on a Leica Biosystems BOND® RX instrument with an Opal™ 4-color kit. Image acquisition was performed with Leica SP8 confocal microscope.

Heat mediated antigen retrieval with Tris-EDTA buffer (pH 9.0, epitope retrieval solution2) for 20 mins.

Dot Blot - Anti-V2R antibody [EPR24555-59] (AB273021)
  • Dot

Supplier Data

Dot Blot - Anti-V2R antibody [EPR24555-59] (AB273021)

Dot blot analysis of V2R using ab273021 at 1 : 1000 (0.632 ug/ml) followed by a Goat Anti-Rabbit IgG, (H+L), Peroxidase conjugated (ab97051) at 1 : 100,000 dilution.

Exposure time : 3 minutes

Blocking and diluting buffer and concentration : 5% NFDM/TBST

Key facts

Host species

Rabbit

Clonality

Monoclonal

Clone number

EPR24555-59

Isotype

IgG

Carrier free

No

Reacts with

Human

Applications

mIHC, IHC-P, Dot

applications

Immunogen

The exact immunogen used to generate this antibody is proprietary information.

Reactivity data

{ "title": "Reactivity Data", "filters": { "stats": ["", "Species", "Dilution Info", "Notes"], "tabs": { "all-applications": {"fullname" : "All Applications", "shortname": "All Applications"}, "ICCIF" : {"fullname" : "Immunocytochemistry/ Immunofluorescence", "shortname":"ICC/IF"}, "IP" : {"fullname" : "Immunoprecipitation", "shortname":"IP"}, "FlowCyt" : {"fullname" : "Flow Cytometry", "shortname":"Flow Cyt"}, "Dot" : {"fullname" : "Dot Blot", "shortname":"Dot"}, "WB" : {"fullname" : "Western blot", "shortname":"WB"}, "IHCP" : {"fullname" : "Immunohistochemistry (Formalin/PFA-fixed paraffin-embedded sections)", "shortname":"IHC-P"}, "mIHC" : {"fullname" : "Multiplex immunohistochemistry", "shortname":"mIHC"} }, "product-promise": { "all": "all", "testedAndGuaranteed": "tested", "guaranteed": "expected", "predicted": "predicted", "notRecommended": "not-recommended" } }, "values": { "Human": { "ICCIF-species-checked": "notRecommended", "ICCIF-species-dilution-info": "", "ICCIF-species-notes": "<p></p>", "IP-species-checked": "notRecommended", "IP-species-dilution-info": "", "IP-species-notes": "<p></p>", "FlowCyt-species-checked": "notRecommended", "FlowCyt-species-dilution-info": "", "FlowCyt-species-notes": "<p></p>", "Dot-species-checked": "testedAndGuaranteed", "Dot-species-dilution-info": "1/1000", "Dot-species-notes": "<p></p>", "WB-species-checked": "notRecommended", "WB-species-dilution-info": "", "WB-species-notes": "<p></p>", "IHCP-species-checked": "testedAndGuaranteed", "IHCP-species-dilution-info": "1/100", "IHCP-species-notes": "<p></p> Perform heat-mediated antigen retrieval with Tris/EDTA buffer pH 9.0 before commencing with IHC staining protocol.", "mIHC-species-checked": "testedAndGuaranteed", "mIHC-species-dilution-info": "1/100", "mIHC-species-notes": "<p></p> Perform heat-mediated antigen retrieval with Tris/EDTA buffer pH 9.0 before commencing with IHC staining protocol." }, "Mouse": { "ICCIF-species-checked": "notRecommended", "ICCIF-species-dilution-info": "", "ICCIF-species-notes": "", "IP-species-checked": "notRecommended", "IP-species-dilution-info": "", "IP-species-notes": "", "FlowCyt-species-checked": "notRecommended", "FlowCyt-species-dilution-info": "", "FlowCyt-species-notes": "", "Dot-species-checked": "notRecommended", "Dot-species-dilution-info": "", "Dot-species-notes": "", "WB-species-checked": "notRecommended", "WB-species-dilution-info": "", "WB-species-notes": "<p></p>", "IHCP-species-checked": "notRecommended", "IHCP-species-dilution-info": "1/100", "IHCP-species-notes": "<p></p> Perform heat-mediated antigen retrieval with Tris/EDTA buffer pH 9.0 before commencing with IHC staining protocol.", "mIHC-species-checked": "notRecommended", "mIHC-species-dilution-info": "", "mIHC-species-notes": "" }, "Rat": { "ICCIF-species-checked": "notRecommended", "ICCIF-species-dilution-info": "", "ICCIF-species-notes": "", "IP-species-checked": "notRecommended", "IP-species-dilution-info": "", "IP-species-notes": "", "FlowCyt-species-checked": "notRecommended", "FlowCyt-species-dilution-info": "", "FlowCyt-species-notes": "", "Dot-species-checked": "notRecommended", "Dot-species-dilution-info": "", "Dot-species-notes": "", "WB-species-checked": "notRecommended", "WB-species-dilution-info": "", "WB-species-notes": "<p></p>", "IHCP-species-checked": "notRecommended", "IHCP-species-dilution-info": "1/100", "IHCP-species-notes": "<p></p> Perform heat-mediated antigen retrieval with Tris/EDTA buffer pH 9.0 before commencing with IHC staining protocol.", "mIHC-species-checked": "notRecommended", "mIHC-species-dilution-info": "", "mIHC-species-notes": "" } } }

Product details

What is this antibody validated in?
Anti-V2R antibody [EPR24555-59] (ab273021) is a rabbit recombinant monoclonal antibody and is validated for use in Immunohistochemistry (IHC-P), Dot Blot in Human samples.

Trial sizes available!
Test your antibody or perform pre-screening before committing to a larger quantity. Sold in 10µl. Discover our selection of trial-size antibodies.

Other related products
We have a range of other formats of antibody clone [EPR24555-59] also available for your convenience: ab273021, Carrier free - ab282010, APC - ab319279, PE - ab319427, Alexa Fluor® 488 - ab319561, Alexa Fluor® 647 - ab319674, Alexa Fluor® 594 - ab319778, Alexa Fluor® 555 - ab319920, Alexa Fluor® 750 - ab321541

Patented technology
Our RabMAb® technology is a patented hybridoma-based technology for making rabbit monoclonal antibodies. For details on our patents, please refer to RabMAb® patents.

What are the advantages of a recombinant monoclonal antibody?
This product is a recombinant monoclonal antibody, which offers several advantages including:

  • - High batch-to-batch consistency and reproducibility
  • - Improved sensitivity and specificity
  • - Long-term security of supply
  • - Animal-free batch production

For more information, read more on recombinant antibodies.

Properties and storage information

Form
Liquid
Purification technique
Affinity purification Protein A
Storage buffer
pH: 7.2 - 7.4 Preservative: 0.01% Sodium azide Constituents: PBS, 40% Glycerol (glycerin, glycerine), 0.05% BSA
Shipped at conditions
Blue Ice
Appropriate short-term storage duration
1-2 weeks
Appropriate short-term storage conditions
+4°C
Appropriate long-term storage conditions
-20°C
Aliquoting information
Upon delivery aliquot
Storage information
Avoid freeze / thaw cycle

Supplementary information

This supplementary information is collated from multiple sources and compiled automatically.

The V2R or vasopressin receptor 2 is a G protein-coupled receptor with a mass of approximately 40 kDa. It is also known as the antidiuretic hormone receptor. Most expression of V2R occurs in the renal collecting ducts specifically on the basolateral surface of cells. This receptor mainly binds to arginine vasopressin an antidiuretic hormone facilitating the reabsorption of water in the kidneys.
Biological function summary

V2R plays an important role in maintaining water balance and homeostasis within the body. It is not a part of a larger complex but interacts with adenylate cyclase through the Gs protein pathway promoting cAMP generation. This increase in cAMP levels leads to the insertion of aquaporin-2 channels into the apical membrane enhancing water permeability and therefore water reabsorption in the kidney.

Pathways

The activity of V2R closely links to water regulation and osmoregulation pathways. It interacts with proteins such as aquaporin-2 as mentioned which are key in the transport of water. V2R's function connects to other signaling pathways including those involving other G protein-coupled receptors which mediate different physiological responses.

V2R dysfunction is associated with conditions such as nephrogenic diabetes insipidus and the syndrome of inappropriate antidiuretic hormone secretion (SIADH). In nephrogenic diabetes insipidus mutations in the receptor prevent normal function leading to excessive urination. This condition often involves aquaporin-2 due to its role in the same pathway. In SIADH hyperactive V2R elicits excessive water reabsorption which can result in water retention and hyponatremia.

Product protocols

For this product, it's our understanding that no specific protocols are required. You can visit:

Target data

Receptor for arginine vasopressin. The activity of this receptor is mediated by G proteins which activate adenylate cyclase. Involved in renal water reabsorption.
See full target information AVPR2

Product promise

We are committed to supporting your work with high-quality reagents, and we're here for you every step of the way. In the unlikely event that one of our products does not perform as expected, you're protected by our Product Promise.
For full details, please see our Terms & Conditions

Please note: All products are 'FOR RESEARCH USE ONLY. NOT FOR USE IN DIAGNOSTIC OR THERAPEUTIC PROCEDURES'.

For licensing inquiries, please contact partnerships@abcam.com