JavaScript is disabled in your browser. Please enable JavaScript to view this website.
AB309486

Anti-V5 tag antibody [EPR27187-61] - BSA and Azide free

Be the first to review this product! Submit a review

|

(0 Publication)

Rabbit Recombinant Monoclonal V5 tag antibody. Carrier free. Suitable for WB, IHC-P, ICC/IF, Flow Cyt (Intra), IP and reacts with Tag samples.

View Alternative Names

GKPIPNPLLGLDST epitope tag, GKPIPNPLLGLDST tag, Protein Rev, Regulator of expression of viral proteins, V5 epitope tag

8 Images
Flow Cytometry (Intracellular) - Anti-V5 tag antibody [EPR27187-61] - BSA and Azide free (AB309486)
  • Flow Cyt (Intra)

Supplier Data

Flow Cytometry (Intracellular) - Anti-V5 tag antibody [EPR27187-61] - BSA and Azide free (AB309486)

This data was developed using ab309485, the same antibody clone in a different buffer formulation. Flow cytometric analysis of 4% paraformaldehyde fixed 90% methanol permeabilized HEK-293T (human embryonic kidney epithelial cell) transfected with a CBX1-V5-tagged expression vector containing a myc tag cells labelling V5 tag with ab309485 at 1/500 dilution (0.1 ug)/Right (Red) compared with a Rabbit monoclonal IgG (ab172730) / Left isotype control and an unlabelled control (cells without incubation with primary antibody and secondary antibody) (Blue). A Goat Anti-Rabbit IgG (Alexa Fluor® 488, ab150081) at 1/5000 dilution was used as the secondary antibody.

Immunocytochemistry/ Immunofluorescence - Anti-V5 tag antibody [EPR27187-61] - BSA and Azide free (AB309486)
  • ICC/IF

Supplier Data

Immunocytochemistry/ Immunofluorescence - Anti-V5 tag antibody [EPR27187-61] - BSA and Azide free (AB309486)

This data was developed using ab309485, the same antibody clone in a different buffer formulation. Immunofluorescent analysis of 4% Paraformaldehyde-fixed, 0.1% TritonX-100 permeabilized HEK-293T (human embryonic kidney epithelial cell) cells labelling V5 tag with ab309485 at 1/500 (0.992 ug/ml) dilution, followed by ab150081 Goat Anti-Rabbit IgG H&L (Alexa Fluor® 488) preadsorbed antibody at 1/1000 2 ug/ml dilution (Green). Confocal image showing positive staining in HEK-293T cells transfected a CBX1-V5-tagged expression vector containing a myc tag.Image was taken with a confocal microscope(Leica-Microsystems, TCS SP8). is observed. ab223894 Anti-Myc tag mouse monoclonal antibody (Alexa Fluor® 594) was used to counterstain tubulin at 1/100 5ug/ml dilution (Red). The Nuclear counterstain was DAPI (Blue). Secondary antibody only control : Secondary antibody is ab150081 Goat Anti-Rabbit IgG H&L (Alexa Fluor® 488) preadsorbed at 1/1000 2 ug/ml dilution.

Immunohistochemistry (Formalin/PFA-fixed paraffin-embedded sections) - Anti-V5 tag antibody [EPR27187-61] - BSA and Azide free (AB309486)
  • IHC-P

Supplier Data

Immunohistochemistry (Formalin/PFA-fixed paraffin-embedded sections) - Anti-V5 tag antibody [EPR27187-61] - BSA and Azide free (AB309486)

This data was developed using ab309485, the same antibody clone in a different buffer formulation. Immunohistochemical analysis of paraffin-embedded (A) HEK-293T (human tissue labeling V5 tag with ab309485 at 1/2000 (0.248 ug/ml) followed by a ready to use LeicaDS9800 (Bond™ Polymer Refine Detection). Positive staining on (A) HEK-293T transfected with a CBX1-V5-tagged His tag construct, no staining on (B) HEK-293T transfected with empty plasmid. The section was incubated with ab309485 for 30 mins at room temperature.The immunostaining was performed on a Leica Biosystems BOND® RX instrument Counterstained with Hematoxylin. Secondary antibody only control : Secondary antibody is a ready to use LeicaDS9800 (Bond™ Polymer Refine Detection). Heat mediated antigen retrieval was performed with Tris-EDTA buffer (pH 9.0, Epitope Retrieval Solution2) for 20 mins

Immunohistochemistry (Formalin/PFA-fixed paraffin-embedded sections) - Anti-V5 tag antibody [EPR27187-61] - BSA and Azide free (AB309486)
  • IHC-P

Supplier Data

Immunohistochemistry (Formalin/PFA-fixed paraffin-embedded sections) - Anti-V5 tag antibody [EPR27187-61] - BSA and Azide free (AB309486)

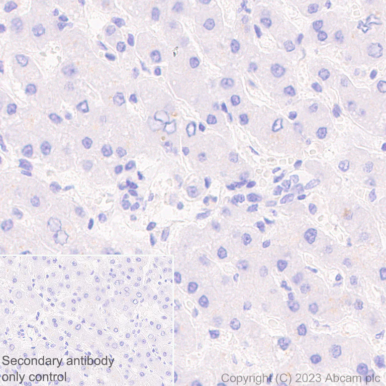
This data was developed using ab309485, the same antibody clone in a different buffer formulation. Immunohistochemical analysis of paraffin-embedded Human liver tissue labeling V5 tag with ab309485 at 1/2000 (0.248 ug/ml) followed by a ready to use LeicaDS9800 (Bond™ Polymer Refine Detection). Negative control : no staining on human liver. The section was incubated with ab309485 for 30 mins at room temperature.The immunostaining was performed on a Leica Biosystems BOND® RX instrument Counterstained with Hematoxylin. Secondary antibody only control : Secondary antibody is a ready to use LeicaDS9800 (Bond™ Polymer Refine Detection). Heat mediated antigen retrieval was performed with Tris-EDTA buffer (pH 9.0, Epitope Retrieval Solution2) for 20 mins

Immunohistochemistry (Formalin/PFA-fixed paraffin-embedded sections) - Anti-V5 tag antibody [EPR27187-61] - BSA and Azide free (AB309486)
  • IHC-P

Supplier Data

Immunohistochemistry (Formalin/PFA-fixed paraffin-embedded sections) - Anti-V5 tag antibody [EPR27187-61] - BSA and Azide free (AB309486)

This data was developed using ab309485, the same antibody clone in a different buffer formulation. Immunohistochemical analysis of paraffin-embedded Rat liver tissue labeling V5 tag with ab309485 at 1/2000 (0.248 ug/ml) followed by a ready to use LeicaDS9800 (Bond™ Polymer Refine Detection). Negative control : no staining on rat liver. The section was incubated with ab309485 for 30 mins at room temperature.The immunostaining was performed on a Leica Biosystems BOND® RX instrument Counterstained with Hematoxylin. Secondary antibody only control : Secondary antibody is a ready to use LeicaDS9800 (Bond™ Polymer Refine Detection). Heat mediated antigen retrieval was performed with Tris-EDTA buffer (pH 9.0, Epitope Retrieval Solution2) for 20 mins

Immunohistochemistry (Formalin/PFA-fixed paraffin-embedded sections) - Anti-V5 tag antibody [EPR27187-61] - BSA and Azide free (AB309486)
  • IHC-P

Supplier Data

Immunohistochemistry (Formalin/PFA-fixed paraffin-embedded sections) - Anti-V5 tag antibody [EPR27187-61] - BSA and Azide free (AB309486)

This data was developed using ab309485, the same antibody clone in a different buffer formulation. Immunohistochemical analysis of paraffin-embedded Mouse liver tissue labeling V5 tag with ab309485 at 1/2000 (0.248 ug/ml) followed by a ready to use LeicaDS9800 (Bond™ Polymer Refine Detection). Negative control : no staining on mouse liver. The section was incubated with ab309485 for 30 mins at room temperature.The immunostaining was performed on a Leica Biosystems BOND® RX instrument Counterstained with Hematoxylin. Secondary antibody only control : Secondary antibody is a ready to use LeicaDS9800 (Bond™ Polymer Refine Detection). Heat mediated antigen retrieval was performed with Tris-EDTA buffer (pH 9.0, Epitope Retrieval Solution2) for 20 mins

Immunoprecipitation - Anti-V5 tag antibody [EPR27187-61] - BSA and Azide free (AB309486)
  • IP

Supplier Data

Immunoprecipitation - Anti-V5 tag antibody [EPR27187-61] - BSA and Azide free (AB309486)

This data was developed using ab309485, the same antibody clone in a different buffer formulation.

V5 tag was immunoprecipitated from 0.35 mg 293T cells transfected with a V5 tag-Chromobox protein homolog 1 expression vector containing a His-tag whole cell lysate with ab309485 at 1/30 dilution (2ug in 0.35mg lysates). Western blot was performed on the immunoprecipitate using ab309485 at 1/1000 dilution. VeriBlot for IP secondary antibody (HRP) (ab131366) was used at 1/5000 dilution.

Lane 1 : 293T cells transfected with a V5 tag-Chromobox protein homolog 1 expression vector containing a His-tag whole cell lysate
Lane 2 : ab309485 IP in 293T cells transfected with a V5 tag-Chromobox protein homolog 1 expression vector containing a His-tag whole cell lysate
Lane 3 : Rabbit monoclonal IgG (ab172730) instead of ab309485 in 293T cells transfected with a V5 tag-Chromobox protein homolog 1 expression vector containing a His-tag whole cell lysate

Blocking and dilution buffer and concentration : 5% NFDM/TBST.

Exposure time : 3 seconds

All lanes:

Immunoprecipitation - Anti-V5 tag antibody [EPR27187-61] (<a href='/en-us/products/primary-antibodies/v5-tag-antibody-epr27187-61-ab309485'>ab309485</a>) at 1/1000 dilution

All lanes:

293T cells transfected with a V5 tag-Chromobox protein homolog 1 expression vector containing a His-tag whole cell lysate at 10 µg

Secondary

All lanes:

Immunoprecipitation - VeriBlot for IP Detection Reagent (HRP) (<a href='/en-us/products/reagents/veriblot-for-ip-detection-reagent-hrp-ab131366'>ab131366</a>) at 1/5000 dilution

false

Exposure time: 3s

Western blot - Anti-V5 tag antibody [EPR27187-61] - BSA and Azide free (AB309486)
  • WB

Supplier Data

Western blot - Anti-V5 tag antibody [EPR27187-61] - BSA and Azide free (AB309486)

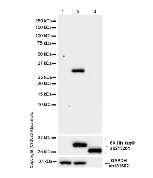
This data was developed using ab309485, the same antibody clone in a different buffer formulation. Blocking and diluting buffer and concentration : 5% NFDM/TBST In Western blot, anti-His antibody (ab213204) staining at 1/5000 dilution. In Western blot, anti-GAPDH antibody (ab181602) loading control staining at 1/200000 dilution. Exposure time : 81 seconds

All lanes:

Western blot - Anti-V5 tag antibody [EPR27187-61] (<a href='/en-us/products/primary-antibodies/v5-tag-antibody-epr27187-61-ab309485'>ab309485</a>) at 1/1000 dilution

Lane 1:

293T cells transfected with an empty vector containi a His tag whole cell lysate at 20 µg

Lane 2:

293T cells transfected with a V5 tag-Chromobox protein homolog 1 expression vector containi a His-tag whole cell lysate at 10 µg

Lane 3:

His-tagged human Chromobox protein homolog 1 recombinant protein at 50 ng

Secondary

All lanes:

Western blot - Goat Anti-Rabbit IgG H&L (HRP) (<a href='/en-us/products/secondary-antibodies/goat-rabbit-igg-h-l-hrp-ab97051'>ab97051</a>) at 1/100000 dilution

Observed band size: 27 kDa

false

Exposure time: 81s

  • Unconjugated

    Anti-V5 tag antibody [EPR27187-61]

  • 660 APC

    APC Anti-V5 tag antibody [EPR27187-61]

  • HRP

    HRP Anti-V5 tag antibody [EPR27187-61]

Key facts

Host species

Rabbit

Clonality

Monoclonal

Clone number

EPR27187-61

Isotype

IgG

Carrier free

Yes

Applications

IHC-P, ICC/IF, Flow Cyt (Intra), WB, IP

applications

Immunogen

The exact immunogen used to generate this antibody is proprietary information.

Reactivity data

{ "title": "Reactivity Data", "filters": { "stats": ["", "Species", "Dilution Info", "Notes"], "tabs": { "all-applications": {"fullname" : "All Applications", "shortname": "All Applications"}, "WB" : {"fullname" : "Western blot", "shortname":"WB"}, "IHCP" : {"fullname" : "Immunohistochemistry (Formalin/PFA-fixed paraffin-embedded sections)", "shortname":"IHC-P"}, "ICCIF" : {"fullname" : "Immunocytochemistry/ Immunofluorescence", "shortname":"ICC/IF"}, "FlowCytIntra" : {"fullname" : "Flow Cytometry (Intracellular)", "shortname":"Flow Cyt (Intra)"}, "IP" : {"fullname" : "Immunoprecipitation", "shortname":"IP"} }, "product-promise": { "all": "all", "testedAndGuaranteed": "tested", "guaranteed": "expected", "predicted": "predicted", "notRecommended": "not-recommended" } }, "values": { "Tag": { "WB-species-checked": "testedAndGuaranteed", "WB-species-dilution-info": "", "WB-species-notes": "<p></p>", "IHCP-species-checked": "testedAndGuaranteed", "IHCP-species-dilution-info": "", "IHCP-species-notes": "<p></p>", "ICCIF-species-checked": "testedAndGuaranteed", "ICCIF-species-dilution-info": "", "ICCIF-species-notes": "<p></p>", "FlowCytIntra-species-checked": "testedAndGuaranteed", "FlowCytIntra-species-dilution-info": "", "FlowCytIntra-species-notes": "<p></p>", "IP-species-checked": "testedAndGuaranteed", "IP-species-dilution-info": "", "IP-species-notes": "<p></p>" } } }

Product details

What are the advantages of a recombinant monoclonal antibody?
This product is a recombinant monoclonal antibody, which offers several advantages including:

  • - High batch-to-batch consistency and reproducibility
  • - Improved sensitivity and specificity
  • - Long-term security of supply
  • - Animal-free batch production

For more information, read more on recombinant antibodies.

Conjugation ready
Our carrier-free antibodies are typically supplied in a PBS-only formulation, purified and free of BSA, sodium azide and glycerol. This conjugation-ready format is designed for use with fluorochromes, metal isotopes, oligonucleotides, and enzymes, which makes them ideal for antibody labelling, functional and cell-based assays, flow-based assays (e.g. mass cytometry) and Multiplex Imaging applications.

Use our conjugation kits for antibody conjugates that are ready-to-use in as little as 20 minutes with 1 minute hands-on-time and 100% antibody recovery: available for fluorescent dyes, HRP, biotin and gold.

Compatibility
This product is compatible with the Maxpar® Antibody Labeling Kit from Fluidigm, without the need for antibody preparation. Maxpar® is a trademark of Fluidigm Canada Inc.

Sold under exclusive licence from Children's Medical Research Institute and Newcastle Innovation Ltd. Pyrimidyn™ is a trademark of Children's Medical Research Institute and Newcastle Innovation Ltd.

Properties and storage information

Form
Liquid
Purification technique
Affinity purification Protein A
Storage buffer
pH: 7.2 - 7.4 Constituents: PBS
Shipped at conditions
Blue Ice
Appropriate short-term storage conditions
+4°C
Appropriate long-term storage conditions
+4°C

Supplementary information

This supplementary information is collated from multiple sources and compiled automatically.

The V5 tag is an epitope tag derived from the P and V fusion proteins of the paramyxovirus. It typically measures around 14 amino acids in length and is often used in molecular biology for tagging and protein expression studies. In terms of mechanical function the V5 tag facilitates the detection characterization and purification of recombinant proteins. Scientists commonly use it in various hosts such as bacteria yeast and mammalian cells due to its convenient integration into larger protein complexes. Unlike native proteins it serves as a non-disruptive label for identifying proteins without affecting their functionality.
Biological function summary

Researchers employ the V5 tag to decipher protein localization expression and role within cellular environments. It allows easy tracking in situ by using antibodies that target the V5 epitope such as the anti-V5 antibody. The V5 tag proves effective in dual-tagging systems useful in elucidating protein interactions and complex formations for instance when combined with other tags like biotin tag or APC tag. This assists in isolating and identifying components of complex cellular machinery.

Pathways

The tag is frequently utilized in studies exploring functional pathways of various proteins across metabolic and signaling pathways. It aids in examining the relationship between proteins within signaling cascades by tagging proteins that interact with others such as those in the PK tag-related signaling pathways. Researchers often track proteins across intricate networks to understand cellular processes intricately using V5-tagged proteins as indicators or reporters.

Scientists harness the V5 tag to investigate the expression and interactions of proteins associated with certain conditions such as cancer and neurodegenerative diseases. Through its integration scientists aim to uncover alterations in protein interactions or localizations that contribute to disease progression. For example they may tag proteins linked to cancer pathways observing how disruptions in proteins related to anti-V5 targets could provide insights into tumor biology or pathogenesis.

Product protocols

For this product, it's our understanding that no specific protocols are required. You can visit:

Product promise

We are committed to supporting your work with high-quality reagents, and we're here for you every step of the way. In the unlikely event that one of our products does not perform as expected, you're protected by our Product Promise.
For full details, please see our Terms & Conditions

Please note: All products are 'FOR RESEARCH USE ONLY. NOT FOR USE IN DIAGNOSTIC OR THERAPEUTIC PROCEDURES'.

For licensing inquiries, please contact partnerships@abcam.com