JavaScript is disabled in your browser. Please enable JavaScript to view this website.
AB314555

Anti-V5 tag antibody [RM1083]

  • BOND RX™ Validated
  • RabMAb
  • Recombinant
  • Lab Essentials
  • 20ul selling size
  • What is this?

Be the first to review this product! Submit a review

|

(0 Publication)

Rabbit Recombinant Multiclonal V5 tag antibody. Suitable for WB, IHC-P, ICC/IF, Flow Cyt (Intra), IP and reacts with Tag samples.

View Alternative Names

GKPIPNPLLGLDST epitope tag, GKPIPNPLLGLDST tag, Protein Rev, Regulator of expression of viral proteins, V5 epitope tag

8 Images
Immunohistochemistry (Formalin/PFA-fixed paraffin-embedded sections) - Anti-V5 tag antibody [RM1083] (AB314555)
  • IHC-P

Supplier Data

Immunohistochemistry (Formalin/PFA-fixed paraffin-embedded sections) - Anti-V5 tag antibody [RM1083] (AB314555)

Immunohistochemical analysis of paraffin-embedded (A) HEK-293T (human epithelial cell line from embryonic kidney) transfected with a CBX1-V5-tagged expression vector containing a His-tag. (B) HEK-293T transfected with empty vector containing a His-tag. Tissue labeling V5 tag with ab314555 at 1/20000 (0.027 ug/ml) followed by a ready to use LeicaDS9800 (Bond™ Polymer Refine Detection). Positive staining on (A) HEK-293T transfected with a CBX1-V5-tagged expression vector containing a His-tag. No staining on (B) HEK-293T transfected with empty vector containing a His-tag. The section was incubated with ab314555 for 30 mins at room temperature. The immunostaining was performed on a Leica Biosystems BOND® RX instrument. Counterstained with Hematoxylin. Secondary antibody only control : Secondary antibody is a ready to use LeicaDS9800 (Bond™ Polymer Refine Detection). Heat mediated antigen retrieval was performed with Citrate buffer (pH 6.0, Epitope Retrieval Solution 1) for 20 mins.

Immunohistochemistry (Formalin/PFA-fixed paraffin-embedded sections) - Anti-V5 tag antibody [RM1083] (AB314555)
  • IHC-P

Supplier Data

Immunohistochemistry (Formalin/PFA-fixed paraffin-embedded sections) - Anti-V5 tag antibody [RM1083] (AB314555)

Immunohistochemical analysis of paraffin-embedded human liver tissue labeling V5 tag with ab314555 at 1/20000 (0.027 ug/ml) followed by a ready to use LeicaDS9800 (Bond™ Polymer Refine Detection). Negative control : no staining on human liver. The section was incubated with ab314555 for 30 mins at room temperature. The immunostaining was performed on a Leica Biosystems BOND® RX instrument. Counterstained with Hematoxylin. Secondary antibody only control : Secondary antibody is a ready to use LeicaDS9800 (Bond™ Polymer Refine Detection). Heat mediated antigen retrieval was performed with Citrate buffer (pH 6.0, Epitope Retrieval Solution 1) for 20 mins.

Immunocytochemistry/ Immunofluorescence - Anti-V5 tag antibody [RM1083] (AB314555)
  • ICC/IF

Supplier Data

Immunocytochemistry/ Immunofluorescence - Anti-V5 tag antibody [RM1083] (AB314555)

Immunofluorescent analysis of 4% Paraformaldehyde-fixed, 0.1% TritonX-100 permeabilized HEK-293T (human epithelial cell line from embryonic kidney) transfected with a CBX1-V5-tagged expression vector containing a His-tag. cells labelling V5 tag with ab314555 at 1/500 (1.08 ug/ml) dilution, followed by ab150081 Goat Anti-Rabbit IgG H&L (Alexa Fluor® 488) preadsorbed antibody at 1/1015 (2ug/ml) dilution (Green). Confocal image showing nuclear staining in 293T cells transfected with V5 tag protein expression vector containing a myc tag, no staining on HEK-293T transfected with empty vector containing a His-tag. Image was taken with a confocal microscope(Leica-Microsystems, TCS SP8). ab223895 Anti-Myc tag Mouse monoclonal antibody (Alexa Fluor® 647) was used to counterstain at 1/100 (5ug/ml) dilution (Red). The Nuclear counterstain was DAPI (Blue). Secondary antibody only control : Secondary antibody is ab150081 Goat Anti-Rabbit IgG H&L (Alexa Fluor® 488) preadsorbed at 1/1015 (2ug/ml) dilution.

Flow Cytometry (Intracellular) - Anti-V5 tag antibody [RM1083] (AB314555)
  • Flow Cyt (Intra)

Supplier Data

Flow Cytometry (Intracellular) - Anti-V5 tag antibody [RM1083] (AB314555)

Flow cytometric analysis of 4% paraformaldehyde fixed 90% methanol permeabilized Isotype (Left) / 293T cells transfected with V5 tag protein expression vector containing a myc tag (Middle) / 293T cells transfected with empty protein expression vector containing a myc tag (Right) cells labelling V5 tag with ab314555 at 1/500 dilution (0.1 ug)/Middle and Right compared with a Rabbit monoclonal IgG (ab172730) / Left isotype control and an unlabelled control (cells without incubation with primary antibody and secondary antibody). A Goat Anti-Rabbit IgG (Alexa Fluor® 488, ab150081) at 1/5000 dilution was used as the secondary antibody. Cells are co-stained with Myc tag conjugated to Alexa Fluor®647.

Immunoprecipitation - Anti-V5 tag antibody [RM1083] (AB314555)
  • IP

Supplier Data

Immunoprecipitation - Anti-V5 tag antibody [RM1083] (AB314555)

V5 tag was immunoprecipitated from 0.35 mg 293T cells transfected with a human CBX expression vector containing a myc-His-V5-tag, whole cell lysate with ab314555 at 1/30 dilution (2ug in 0.35mg lysates). Western blot was performed on the immunoprecipitate using ab314555 at 1/1000 dilution. VeriBlot for IP secondary antibody(HRP)(ab131366) was used at 1/5000 dilution. Lane 1 : 293T cells transfected with a human CBX expression vector containing a myc-His-V5-tag, whole cell lysate Lane 2 : ab314555 IP in 293T cells transfected with a human CBX expression vector containing a myc-His-V5-tag, whole cell lysate Lane 3 : Rabbit monoclonal IgG (ab172730) instead of ab314555 in 293T cells transfected with a human CBX expression vector containing a myc-His-V5-tag, whole cell lysate Blocking and dilution buffer and concentration : 5% NFDM/TBST.

All lanes:

Immunoprecipitation - Anti-V5 tag antibody [RM1083] (ab314555) at 1/30 dilution

All lanes:

293T cells transfected with a human CBX expression vector containing a myc-His-V5-tag, whole cell lysate

Secondary

All lanes:

Immunoprecipitation - VeriBlot for IP Detection Reagent (HRP) (<a href='/en-us/products/reagents/veriblot-for-ip-detection-reagent-hrp-ab131366'>ab131366</a>) at 1/5000 dilution

false

Exposure time: 3s

Immunohistochemistry (Formalin/PFA-fixed paraffin-embedded sections) - Anti-V5 tag antibody [RM1083] (AB314555)
  • IHC-P

Supplier Data

Immunohistochemistry (Formalin/PFA-fixed paraffin-embedded sections) - Anti-V5 tag antibody [RM1083] (AB314555)

Immunohistochemical analysis of paraffin-embedded mouse liver tissue labeling V5 tag with ab314555 at 1/20000 (0.027 ug/ml) followed by a ready to use LeicaDS9800 (Bond™ Polymer Refine Detection). Negative control : no staining on mouse liver. The section was incubated with ab314555 for 30 mins at room temperature. The immunostaining was performed on a Leica Biosystems BOND® RX instrument. Counterstained with Hematoxylin. Secondary antibody only control : Secondary antibody is a ready to use LeicaDS9800 (Bond™ Polymer Refine Detection). Heat mediated antigen retrieval was performed with Citrate buffer (pH 6.0, Epitope Retrieval Solution 1) for 20 mins.

Immunohistochemistry (Formalin/PFA-fixed paraffin-embedded sections) - Anti-V5 tag antibody [RM1083] (AB314555)
  • IHC-P

Supplier Data

Immunohistochemistry (Formalin/PFA-fixed paraffin-embedded sections) - Anti-V5 tag antibody [RM1083] (AB314555)

Immunohistochemical analysis of paraffin-embedded rat liver tissue labeling V5 tag with ab314555 at 1/20000 (0.027 ug/ml) followed by a ready to use LeicaDS9800 (Bond™ Polymer Refine Detection). Negative control : no staining on rat liver. The section was incubated with ab314555 for 30 mins at room temperature. The immunostaining was performed on a Leica Biosystems BOND® RX instrument. Counterstained with Hematoxylin. Secondary antibody only control : Secondary antibody is a ready to use LeicaDS9800 (Bond™ Polymer Refine Detection). Heat mediated antigen retrieval was performed with Citrate buffer (pH 6.0, Epitope Retrieval Solution 1) for 20 mins.

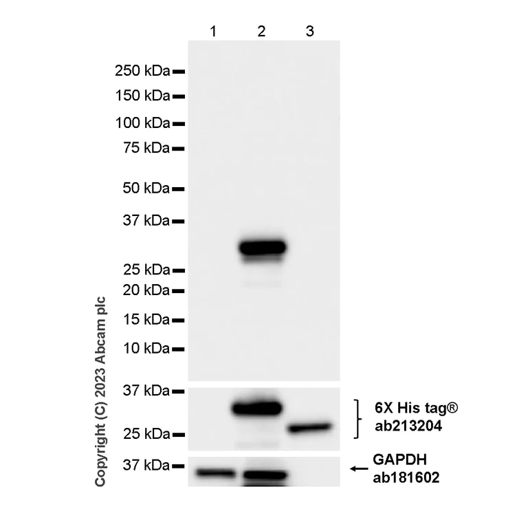
Western blot - Anti-V5 tag antibody [RM1083] (AB314555)
  • WB

Supplier Data

Western blot - Anti-V5 tag antibody [RM1083] (AB314555)

Blocking and diluting buffer and concentration : 5% NFDM/TBST In Western blot, Anti-GAPDH antibody [EPR16891] - Loading Control (ab181602) staining at 1/200000 dilution. In Western blot, Anti-6X His tag® antibody [EPR20547] - ChIP Grade (ab213204) staining at 1/5000 dilution.

All lanes:

Western blot - Anti-V5 tag antibody [RM1083] (ab314555) at 1/1000 dilution

Lane 1:

293T cells transfected with an empty vector containi a myc-His-tag, whole cell lysate at 20 µg

Lane 2:

293T cells transfected with a human CBX expression vector containi a myc-His-V5-tag, whole cell lysate at 20 µg

Lane 3:

His-tagged human Chromobox protein homolog 1 recombinant protein at 0.05 µg

Secondary

All lanes:

Western blot - Goat Anti-Rabbit IgG H&L (HRP) (<a href='/en-us/products/secondary-antibodies/goat-rabbit-igg-h-l-hrp-ab97051'>ab97051</a>) at 1/100000 dilution

Observed band size: 27 kDa

false

Exposure time: 6s

Key facts

Host species

Rabbit

Clonality

Multiclonal

Clone number

RM1083

Isotype

IgG

Carrier free

No

Applications

IHC-P, ICC/IF, Flow Cyt (Intra), IP, WB

applications

Immunogen

This product was produced with the following immunogens:

The exact immunogen used to generate this antibody is proprietary information.

The exact immunogen used to generate this antibody is proprietary information.

Reactivity data

{ "title": "Reactivity Data", "filters": { "stats": ["", "Species", "Dilution Info", "Notes"], "tabs": { "all-applications": {"fullname" : "All Applications", "shortname": "All Applications"}, "WB" : {"fullname" : "Western blot", "shortname":"WB"}, "IHCP" : {"fullname" : "Immunohistochemistry (Formalin/PFA-fixed paraffin-embedded sections)", "shortname":"IHC-P"}, "ICCIF" : {"fullname" : "Immunocytochemistry/ Immunofluorescence", "shortname":"ICC/IF"}, "FlowCytIntra" : {"fullname" : "Flow Cytometry (Intracellular)", "shortname":"Flow Cyt (Intra)"}, "IP" : {"fullname" : "Immunoprecipitation", "shortname":"IP"} }, "product-promise": { "all": "all", "testedAndGuaranteed": "tested", "guaranteed": "expected", "predicted": "predicted", "notRecommended": "not-recommended" } }, "values": { "Tag": { "WB-species-checked": "testedAndGuaranteed", "WB-species-dilution-info": "1/1000", "WB-species-notes": "<p></p>", "IHCP-species-checked": "testedAndGuaranteed", "IHCP-species-dilution-info": "1/20000", "IHCP-species-notes": "<p></p>", "ICCIF-species-checked": "testedAndGuaranteed", "ICCIF-species-dilution-info": "1/500", "ICCIF-species-notes": "<p></p>", "FlowCytIntra-species-checked": "testedAndGuaranteed", "FlowCytIntra-species-dilution-info": "1/500", "FlowCytIntra-species-notes": "<p></p>", "IP-species-checked": "testedAndGuaranteed", "IP-species-dilution-info": "1/30", "IP-species-notes": "<p></p>" } } }

Product details

What are recombinant multiclonals?
Recombinant multiclonals are a mixture of recombinant antibodies co-expressed from a library of heavy and light chains. They offer several advantages including:

  • - The sensitivity of polyclonal antibodies by recognising multiple epitopes
  • - High batch-to-batch consistency and reproducibility
  • - Improved sensitivity and specificity
  • - Long-term security of supply
  • - Animal-free batch production

View our range of recombinant multiclonal antibodies.

Patented technology
Our RabMAb® technology is a patented hybridoma-based technology for making rabbit monoclonal antibodies. For details on our patents, please refer to RabMAb® patents.

Properties and storage information

Form
Liquid
Purification technique
Affinity purification Protein A
Storage buffer
pH: 7.2 - 7.4 Preservative: 0.01% Sodium azide Constituents: PBS, 40% Glycerol (glycerin, glycerine), 0.05% BSA
Shipped at conditions
Blue Ice
Appropriate short-term storage duration
1-2 weeks
Appropriate short-term storage conditions
+4°C
Appropriate long-term storage conditions
-20°C
Aliquoting information
Upon delivery aliquot
Storage information
Avoid freeze / thaw cycle

Supplementary information

This supplementary information is collated from multiple sources and compiled automatically.

The V5 tag is an epitope tag derived from the P and V fusion proteins of the paramyxovirus. It typically measures around 14 amino acids in length and is often used in molecular biology for tagging and protein expression studies. In terms of mechanical function the V5 tag facilitates the detection characterization and purification of recombinant proteins. Scientists commonly use it in various hosts such as bacteria yeast and mammalian cells due to its convenient integration into larger protein complexes. Unlike native proteins it serves as a non-disruptive label for identifying proteins without affecting their functionality.
Biological function summary

Researchers employ the V5 tag to decipher protein localization expression and role within cellular environments. It allows easy tracking in situ by using antibodies that target the V5 epitope such as the anti-V5 antibody. The V5 tag proves effective in dual-tagging systems useful in elucidating protein interactions and complex formations for instance when combined with other tags like biotin tag or APC tag. This assists in isolating and identifying components of complex cellular machinery.

Pathways

The tag is frequently utilized in studies exploring functional pathways of various proteins across metabolic and signaling pathways. It aids in examining the relationship between proteins within signaling cascades by tagging proteins that interact with others such as those in the PK tag-related signaling pathways. Researchers often track proteins across intricate networks to understand cellular processes intricately using V5-tagged proteins as indicators or reporters.

Scientists harness the V5 tag to investigate the expression and interactions of proteins associated with certain conditions such as cancer and neurodegenerative diseases. Through its integration scientists aim to uncover alterations in protein interactions or localizations that contribute to disease progression. For example they may tag proteins linked to cancer pathways observing how disruptions in proteins related to anti-V5 targets could provide insights into tumor biology or pathogenesis.

Product protocols

For this product, it's our understanding that no specific protocols are required. You can visit:

Product promise

We are committed to supporting your work with high-quality reagents, and we're here for you every step of the way. In the unlikely event that one of our products does not perform as expected, you're protected by our Product Promise.
For full details, please see our Terms & Conditions

Please note: All products are 'FOR RESEARCH USE ONLY. NOT FOR USE IN DIAGNOSTIC OR THERAPEUTIC PROCEDURES'.

For licensing inquiries, please contact partnerships@abcam.com