JavaScript is disabled in your browser. Please enable JavaScript to view this website.
AB312854

Anti-Vaccinia Virus antibody [EPR28236-80]

  • BOND RX™ Validated
  • 20ul selling size
  • RabMAb
  • Recombinant
  • What is this?

Be the first to review this product! Submit a review

|

(0 Publication)

Rabbit Recombinant Monoclonal PG147 antibody. Suitable for IHC-P, Flow Cyt (Intra), WB, ICC/IF, IP, I-ELISA and reacts with Vaccinia virus, Transfected cell line - Vaccinia virus, Transfected cell lysate - Vaccinia virus, Recombinant fragment - Vaccinia virus samples.

View Alternative Names

VACWR140, A21L, OPG147, Virion membrane protein OPG147

9 Images
Immunocytochemistry/ Immunofluorescence - Anti-Vaccinia Virus antibody [EPR28236-80] (AB312854)
  • ICC/IF

Supplier Data

Immunocytochemistry/ Immunofluorescence - Anti-Vaccinia Virus antibody [EPR28236-80] (AB312854)

Immunofluorescent analysis of 4% Paraformaldehyde-fixed, 0.1% TritonX-100 permeabilized 293T (human embryonic kidney epithelial cell) cells labelling Vaccinia Virus with ab312854 at 1/50 (10.28 ug/ml) dilution, followed by ab150081 Goat Anti-Rabbit IgG H&L (Alexa Fluor® 488) preadsorbed antibody at 1/1000 2 ug/ml dilution (Green). Confocal image showing positive staining in 293T cells transfected with a Virion membrane protein A21 expression vector containing a GFP-tag. Image was taken with a confocal microscope(Leica-Microsystems, TCS SP8). The Nuclear counterstain was DAPI (Blue). Secondary antibody only control : Secondary antibody is ab150081 Goat Anti-Rabbit IgG H&L (Alexa Fluor® 488) preadsorbed at 1/1000 2 ug/ml dilution.

Immunohistochemistry (Formalin/PFA-fixed paraffin-embedded sections) - Anti-Vaccinia Virus antibody [EPR28236-80] (AB312854)
  • IHC-P

Supplier Data

Immunohistochemistry (Formalin/PFA-fixed paraffin-embedded sections) - Anti-Vaccinia Virus antibody [EPR28236-80] (AB312854)

Immunohistochemical analysis of paraffin-embedded (A) HEK-293T (human tissue labelling Vaccinia Virus with ab312854 at 1/100 (5.14 ug/ml) followed by a ready to use LeicaDS9800 (Bond™ Polymer Refine Detection). Cytoplasmic staining on (A) HEK-293T transfected with a Virion membrane protein A21 expression vector containing a GFP-tag cell pellet; no staining on (B) HEK-293T transfected with an empty vector containing a GFP-tag cell pellet. The section was incubated with ab312854 for 30 mins at room temperature. The immunostaining was performed on a Leica Biosystems BOND® RX instrument. Counterstained with Hematoxylin. Secondary antibody only control : Secondary antibody is a ready to use LeicaDS9800 (Bond™ Polymer Refine Detection). Heat mediated antigen retrieval was performed with Tris-EDTA buffer (pH 9.0, Epitope Retrieval Solution2) for 20 mins.

Immunohistochemistry (Formalin/PFA-fixed paraffin-embedded sections) - Anti-Vaccinia Virus antibody [EPR28236-80] (AB312854)
  • IHC-P

Supplier Data

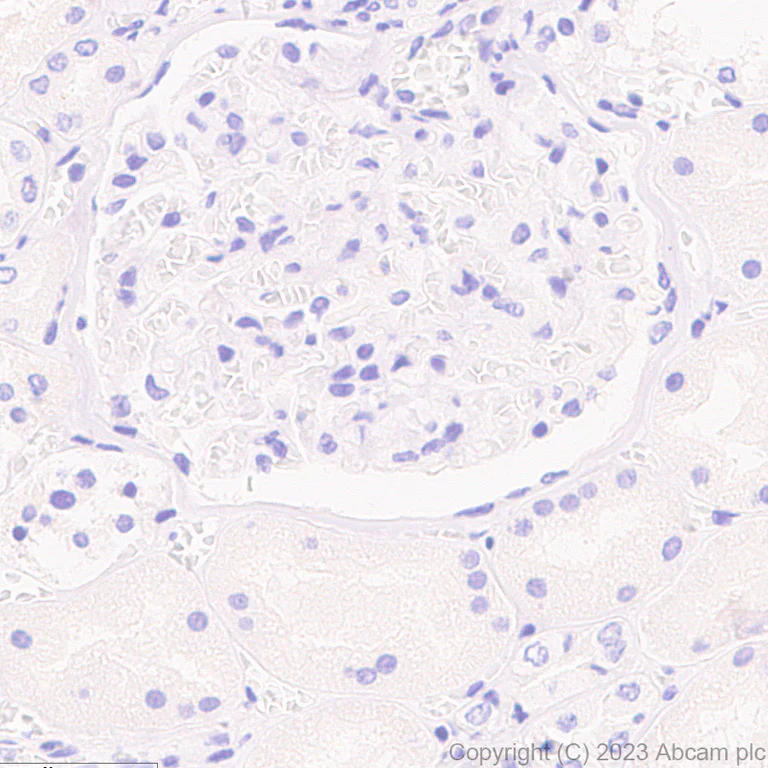
Immunohistochemistry (Formalin/PFA-fixed paraffin-embedded sections) - Anti-Vaccinia Virus antibody [EPR28236-80] (AB312854)

Immunohistochemical analysis of paraffin-embedded Human kidney tissue labelling Vaccinia Virus with ab312854 at 1/100 (5.14 ug/ml) followed by a ready to use LeicaDS9800 (Bond™ Polymer Refine Detection). Negative control : No staining on human kidney. The section was incubated with ab312854 for 30 mins at room temperature. The immunostaining was performed on a Leica Biosystems BOND® RX instrument. Counterstained with Hematoxylin. Secondary antibody only control : Secondary antibody is a ready to use LeicaDS9800 (Bond™ Polymer Refine Detection). Heat mediated antigen retrieval was performed with Tris-EDTA buffer (pH 9.0, Epitope Retrieval Solution2) for 20 mins.

Flow Cytometry (Intracellular) - Anti-Vaccinia Virus antibody [EPR28236-80] (AB312854)
  • Flow Cyt (Intra)

Supplier Data

Flow Cytometry (Intracellular) - Anti-Vaccinia Virus antibody [EPR28236-80] (AB312854)

Flow cytometric analysis of 4% paraformaldehyde fixed 90% methanol permeabilized Isotype (Left) / HEK-293T (human embryonic kidney epithelial cell) transfected with a Virion membrane protein A21 expression vector containing a GFP-tag (middle) / HEK-293T cells transfected with a empty expression vector containing a GFP-tag (Right) cells labelling Vaccinia Virus with ab312854 at 1/500 dilution (0.1 ug)/ Middle and Right (Red) compared with a Rabbit monoclonal IgG (ab172730) / Left isotype control and an unlabelled control (cells without incubation with primary antibody and secondary antibody) (Blue). A Goat anti-Rabbit IgG (Alexa Fluor® 647, ab150083) at 1/5000 dilution was used as the secondary antibody.

Immunohistochemistry (Formalin/PFA-fixed paraffin-embedded sections) - Anti-Vaccinia Virus antibody [EPR28236-80] (AB312854)
  • IHC-P

Supplier Data

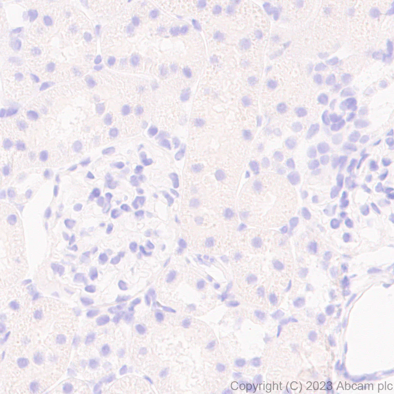
Immunohistochemistry (Formalin/PFA-fixed paraffin-embedded sections) - Anti-Vaccinia Virus antibody [EPR28236-80] (AB312854)

Immunohistochemical analysis of paraffin-embedded Mouse kidney tissue labelling Vaccinia Virus with ab312854 at 1/100 (5.14 ug/ml) followed by a ready to use LeicaDS9800 (Bond™ Polymer Refine Detection). Negative control : No staining on mouse kidney. The section was incubated with ab312854 for 30 mins at room temperature. The immunostaining was performed on a Leica Biosystems BOND® RX instrument. Counterstained with Hematoxylin. Secondary antibody only control : Secondary antibody is a ready to use LeicaDS9800 (Bond™ Polymer Refine Detection). Heat mediated antigen retrieval was performed with Tris-EDTA buffer (pH 9.0, Epitope Retrieval Solution2) for 20 mins.

Immunohistochemistry (Formalin/PFA-fixed paraffin-embedded sections) - Anti-Vaccinia Virus antibody [EPR28236-80] (AB312854)
  • IHC-P

Supplier Data

Immunohistochemistry (Formalin/PFA-fixed paraffin-embedded sections) - Anti-Vaccinia Virus antibody [EPR28236-80] (AB312854)

Immunohistochemical analysis of paraffin-embedded Rat kidney tissue labelling Vaccinia Virus with ab312854 at 1/100 (5.14 ug/ml) followed by a ready to use LeicaDS9800 (Bond™ Polymer Refine Detection). Negative control : No staining on rat kidney. The section was incubated with ab312854 for 30 mins at room temperature. The immunostaining was performed on a Leica Biosystems BOND® RX instrument. Counterstained with Hematoxylin. Secondary antibody only control : Secondary antibody is a ready to use LeicaDS9800 (Bond™ Polymer Refine Detection). Heat mediated antigen retrieval was performed with Tris-EDTA buffer (pH 9.0, Epitope Retrieval Solution2) for 20 mins.

Indirect ELISA - Anti-Vaccinia Virus antibody [EPR28236-80] (AB312854)
  • I-ELISA

Supplier Data

Indirect ELISA - Anti-Vaccinia Virus antibody [EPR28236-80] (AB312854)

Indirect ELISA analysis of ab312854 at 1000-0 ng/ml. The Secondary antibody used was Alkaline Phosphatase-conjugated AffiniPure Goat Anti-Rabbit IgG (H+L) at 1 : 2500 dilution.

Antigen : Virion membrane protein A21.

Antigen concentration : 1000 ng/ml

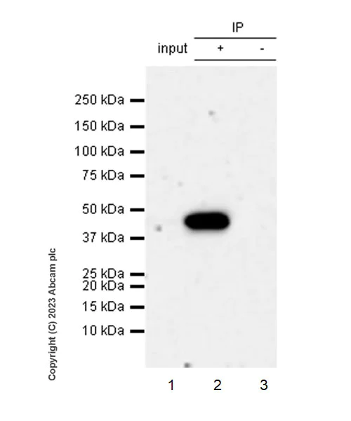
Immunoprecipitation - Anti-Vaccinia Virus antibody [EPR28236-80] (AB312854)
  • IP

Supplier Data

Immunoprecipitation - Anti-Vaccinia Virus antibody [EPR28236-80] (AB312854)

Vaccinia Virus was immunoprecipitated from 0.35 mg 293T transfected with a Virion membrane protein A21 expression vector containing a GFP tag whole cell lysate with ab312854 at 1/30 dilution (2ug in 0.35mg lysates). Western blot was performed on the immunoprecipitate using ab312854 at 1/1000 dilution. VeriBlot for IP secondary antibody(HRP)(ab131366) was used at 1/5000 dilution. Lane 1 : 293T transfected with a Virion membrane protein A21 expression vector containing a GFP tag whole cell lysate Lane 2 : 293T transfected with a Virion membrane protein A21 expression vector containing a GFP tag whole cell lysate Lane 3 : Rabbit monoclonal IgG (ab172730) instead of ab312854 in 293T transfected with a Virion membrane protein A21 vector containing a GFP tag whole cell lysate Blocking and dilution buffer and concentration : 5% NFDM/TBST. Exposure time : 58 seconds

All lanes:

Immunoprecipitation - Anti-Vaccinia Virus antibody [EPR28236-80] (ab312854) at 1/30 dilution

All lanes:

293T transfected with a Virion membrane protein A21 expression vector containing a GFP tag whole cell lysate at 1 µg

Secondary

All lanes:

Immunoprecipitation - VeriBlot for IP Detection Reagent (HRP) (<a href='/en-us/products/reagents/veriblot-for-ip-detection-reagent-hrp-ab131366'>ab131366</a>) at 1/5000 dilution

false

Exposure time: 58s

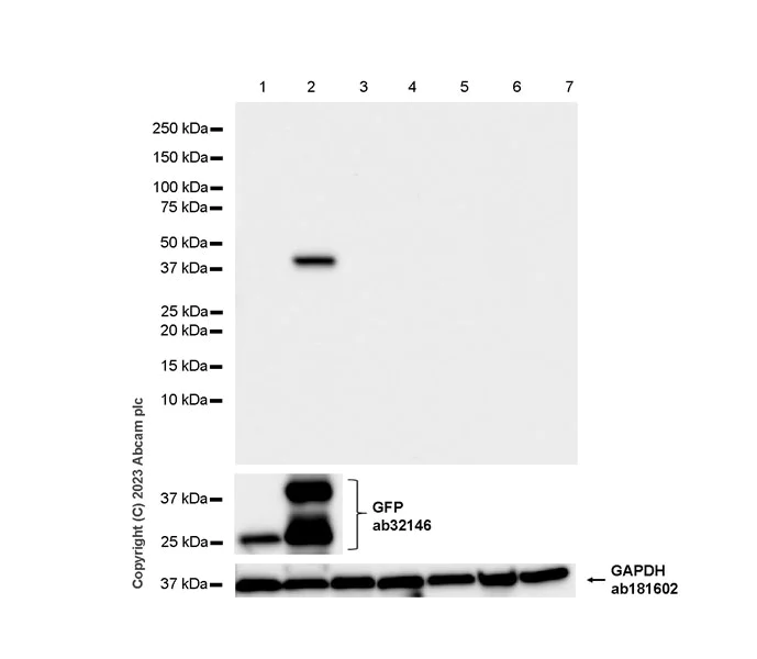
Western blot - Anti-Vaccinia Virus antibody [EPR28236-80] (AB312854)
  • WB

Supplier Data

Western blot - Anti-Vaccinia Virus antibody [EPR28236-80] (AB312854)

Blocking and diluting buffer and concentration : 5% NFDM/TBST In Western blot, anti-GAPDH antibody (ab181602) loading control staining at 1/200000 dilution. Anti-GFP tag antibody (ab32146) staining at 1/1000 dilution. Exposure time : 10 seconds

All lanes:

Western blot - Anti-Vaccinia Virus antibody [EPR28236-80] (ab312854) at 1/1000 dilution

Lane 1:

293T cells transfected with an empty vector containi a GFP tag whole cell lysate at 20 µg

Lane 2:

293T transfected with a Virion membrane protein A21 expression vector containi a GFP tag whole cell lysate at 20 µg

Lane 3:

HeLa (human cervical adenocarcinoma epithelial cell) whole cell lysate at 20 µg

Lane 4:

NIH/3T3 (mouse embryonic fibroblast) whole cell lysate at 20 µg

Lane 5:

Human kidney tissue lysate at 20 µg

Lane 6:

Mouse kidney tissue lysate at 20 µg

Lane 7:

Rat kidney tissue lysate at 20 µg

Secondary

All lanes:

Western blot - Goat Anti-Rabbit IgG H&L (HRP) (<a href='/en-us/products/secondary-antibodies/goat-rabbit-igg-h-l-hrp-ab97051'>ab97051</a>) at 1/100000 dilution

Observed band size: 46 kDa

false

Exposure time: 10s

Key facts

Host species

Rabbit

Clonality

Monoclonal

Clone number

EPR28236-80

Isotype

IgG

Carrier free

No

Reacts with

Vaccinia virus

Applications

IP, Flow Cyt (Intra), ICC/IF, I-ELISA, WB, IHC-P

applications

Immunogen

The exact immunogen used to generate this antibody is proprietary information.

Reactivity data

{ "title": "Reactivity Data", "filters": { "stats": ["", "Species", "Dilution Info", "Notes"], "tabs": { "all-applications": {"fullname" : "All Applications", "shortname": "All Applications"}, "IHCP" : {"fullname" : "Immunohistochemistry (Formalin/PFA-fixed paraffin-embedded sections)", "shortname":"IHC-P"}, "FlowCytIntra" : {"fullname" : "Flow Cytometry (Intracellular)", "shortname":"Flow Cyt (Intra)"}, "WB" : {"fullname" : "Western blot", "shortname":"WB"}, "ICCIF" : {"fullname" : "Immunocytochemistry/ Immunofluorescence", "shortname":"ICC/IF"}, "IP" : {"fullname" : "Immunoprecipitation", "shortname":"IP"}, "IELISA" : {"fullname" : "Indirect ELISA", "shortname":"I-ELISA"} }, "product-promise": { "all": "all", "testedAndGuaranteed": "tested", "guaranteed": "expected", "predicted": "predicted", "notRecommended": "not-recommended" } }, "values": { "Recombinant fragment - Vaccinia virus": { "IHCP-species-checked": "notRecommended", "IHCP-species-dilution-info": "", "IHCP-species-notes": "", "FlowCytIntra-species-checked": "notRecommended", "FlowCytIntra-species-dilution-info": "", "FlowCytIntra-species-notes": "", "WB-species-checked": "notRecommended", "WB-species-dilution-info": "", "WB-species-notes": "", "ICCIF-species-checked": "notRecommended", "ICCIF-species-dilution-info": "", "ICCIF-species-notes": "", "IP-species-checked": "notRecommended", "IP-species-dilution-info": "", "IP-species-notes": "", "IELISA-species-checked": "testedAndGuaranteed", "IELISA-species-dilution-info": "1000 ng/mL", "IELISA-species-notes": "<p>Use at 31.25 ng/ml</p>" }, "Transfected cell line - Vaccinia virus": { "IHCP-species-checked": "testedAndGuaranteed", "IHCP-species-dilution-info": "1/100", "IHCP-species-notes": "<p></p> Perform heat-mediated antigen retrieval with Tris/EDTA buffer pH 9.0 before commencing with IHC staining protocol.", "FlowCytIntra-species-checked": "testedAndGuaranteed", "FlowCytIntra-species-dilution-info": "1/500", "FlowCytIntra-species-notes": "<p></p>", "WB-species-checked": "notRecommended", "WB-species-dilution-info": "", "WB-species-notes": "", "ICCIF-species-checked": "testedAndGuaranteed", "ICCIF-species-dilution-info": "1/50", "ICCIF-species-notes": "<p></p>", "IP-species-checked": "notRecommended", "IP-species-dilution-info": "", "IP-species-notes": "", "IELISA-species-checked": "notRecommended", "IELISA-species-dilution-info": "", "IELISA-species-notes": "" }, "Transfected cell lysate - Vaccinia virus": { "IHCP-species-checked": "notRecommended", "IHCP-species-dilution-info": "", "IHCP-species-notes": "", "FlowCytIntra-species-checked": "notRecommended", "FlowCytIntra-species-dilution-info": "", "FlowCytIntra-species-notes": "", "WB-species-checked": "testedAndGuaranteed", "WB-species-dilution-info": "1/1000", "WB-species-notes": "<p></p>", "ICCIF-species-checked": "notRecommended", "ICCIF-species-dilution-info": "", "ICCIF-species-notes": "", "IP-species-checked": "testedAndGuaranteed", "IP-species-dilution-info": "1/30", "IP-species-notes": "<p></p>", "IELISA-species-checked": "notRecommended", "IELISA-species-dilution-info": "", "IELISA-species-notes": "" }, "Vaccinia virus": { "IHCP-species-checked": "testedAndGuaranteed", "IHCP-species-dilution-info": "1/100", "IHCP-species-notes": "<p></p> Perform heat-mediated antigen retrieval with Tris/EDTA buffer pH 9.0 before commencing with IHC staining protocol.", "FlowCytIntra-species-checked": "testedAndGuaranteed", "FlowCytIntra-species-dilution-info": "1/500", "FlowCytIntra-species-notes": "<p></p>", "WB-species-checked": "testedAndGuaranteed", "WB-species-dilution-info": "1/1000", "WB-species-notes": "<p></p>", "ICCIF-species-checked": "testedAndGuaranteed", "ICCIF-species-dilution-info": "1/50", "ICCIF-species-notes": "<p></p>", "IP-species-checked": "testedAndGuaranteed", "IP-species-dilution-info": "1/30", "IP-species-notes": "<p></p>", "IELISA-species-checked": "testedAndGuaranteed", "IELISA-species-dilution-info": "1000 ng/mL", "IELISA-species-notes": "<p>Use at 31.25 ng/ml</p>" } } }

Product details

Patented technology
Our RabMAb® technology is a patented hybridoma-based technology for making rabbit monoclonal antibodies. For details on our patents, please refer to RabMAb® patents.

What are the advantages of a recombinant monoclonal antibody?
This product is a recombinant monoclonal antibody, which offers several advantages including:

  • - High batch-to-batch consistency and reproducibility
  • - Improved sensitivity and specificity
  • - Long-term security of supply
  • - Animal-free batch production

For more information, read more on recombinant antibodies.

Properties and storage information

Form
Liquid
Purification technique
Affinity purification Protein A
Storage buffer
pH: 7.2 - 7.4 Preservative: 0.01% Sodium azide Constituents: PBS, 40% Glycerol (glycerin, glycerine), 0.05% BSA
Shipped at conditions
Blue Ice
Appropriate short-term storage duration
1-2 weeks
Appropriate short-term storage conditions
+4°C
Appropriate long-term storage conditions
-20°C
Aliquoting information
Upon delivery aliquot
Storage information
Avoid freeze / thaw cycle

Product protocols

For this product, it's our understanding that no specific protocols are required. You can visit:

Target data

Envelope protein part of the entry-fusion complex responsible for the virus membrane fusion with host cell membrane during virus entry. Also plays a role in cell-cell fusion (syncytium formation).
See full target information OPG147

Product promise

We are committed to supporting your work with high-quality reagents, and we're here for you every step of the way. In the unlikely event that one of our products does not perform as expected, you're protected by our Product Promise.
For full details, please see our Terms & Conditions

Please note: All products are 'FOR RESEARCH USE ONLY. NOT FOR USE IN DIAGNOSTIC OR THERAPEUTIC PROCEDURES'.

For licensing inquiries, please contact partnerships@abcam.com