JavaScript is disabled in your browser. Please enable JavaScript to view this website.
AB271111

Anti-VAChT antibody [EPR24248-167]

  • BOND RX™ Validated
  • 20ul selling size
  • RabMAb
  • Recombinant
  • What is this?

Be the first to review this product! Submit a review

|

(0 Publication)

Rabbit Recombinant Monoclonal VACHT antibody. Suitable for IP, IHC-P and reacts with Mouse, Rat samples.

View Alternative Names

Vacht, Slc18a3, Vesicular acetylcholine transporter, VAChT, Solute carrier family 18 member 3

7 Images
Immunohistochemistry (Formalin/PFA-fixed paraffin-embedded sections) - Anti-VAChT antibody [EPR24248-167] (AB271111)
  • IHC-P

Supplier Data

Immunohistochemistry (Formalin/PFA-fixed paraffin-embedded sections) - Anti-VAChT antibody [EPR24248-167] (AB271111)

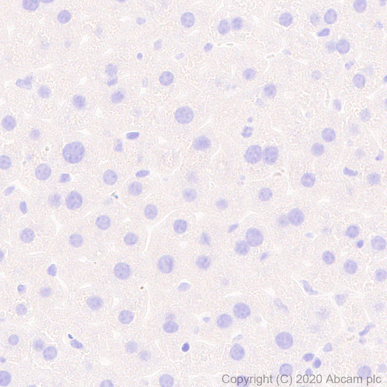
Immunohistochemical analysis of paraffin-embedded Rat liver tissue labeling VAChT with ab271111 at 1/1000 dilution followed by a ready to use LeicaDS9800 (Bond™ Polymer Refine Detection). Negative control : No staining in rat liver. The section was incubated with ab271111 for 30 mins at room temperature. The immunostaining was performed on a Leica Biosystems BOND® RX instrument Counterstained with Hematoxylin.

Secondary antibody only control : Secondary antibody is a ready to use LeicaDS9800 (Bond™ Polymer Refine Detection) was used.

Heat mediated antigen retrieval with Tris-EDTA buffer (pH 9.0, epitope retrieval solution2) for 20 mins.

Immunohistochemistry (Formalin/PFA-fixed paraffin-embedded sections) - Anti-VAChT antibody [EPR24248-167] (AB271111)
  • IHC-P

Supplier Data

Immunohistochemistry (Formalin/PFA-fixed paraffin-embedded sections) - Anti-VAChT antibody [EPR24248-167] (AB271111)

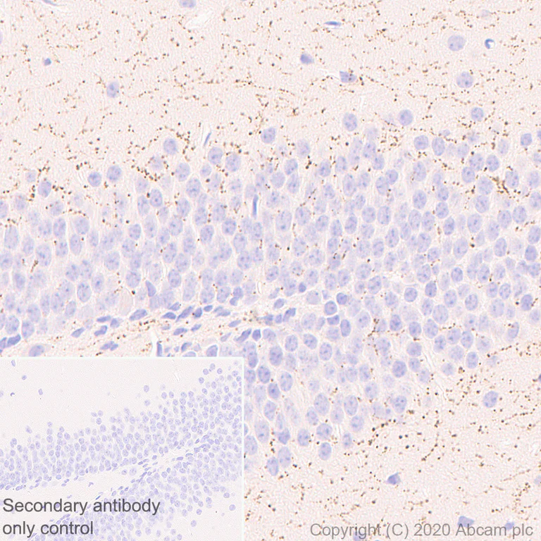
Immunohistochemical analysis of paraffin-embedded Mouse cerebrum tissue labeling VAChT with ab271111 at 1/1000 dilution followed by a ready to use LeicaDS9800 (Bond™ Polymer Refine Detection). Mainly punctate staining in the corpus striatum of mouse cerebrum. The section was incubated with ab271111 for 30 mins at room temperature. The immunostaining was performed on a Leica Biosystems BOND® RX instrument Counterstained with Hematoxylin.

Secondary antibody only control : Secondary antibody is a ready to use LeicaDS9800 (Bond™ Polymer Refine Detection) was used.

Heat mediated antigen retrieval with Tris-EDTA buffer (pH 9.0, epitope retrieval solution2) for 20 mins.

Immunohistochemistry (Formalin/PFA-fixed paraffin-embedded sections) - Anti-VAChT antibody [EPR24248-167] (AB271111)
  • IHC-P

Supplier Data

Immunohistochemistry (Formalin/PFA-fixed paraffin-embedded sections) - Anti-VAChT antibody [EPR24248-167] (AB271111)

Immunohistochemical analysis of paraffin-embedded Rat cerebrum tissue labeling VAChT with ab271111 at 1/1000 dilution followed by a ready to use LeicaDS9800 (Bond™ Polymer Refine Detection). Punctate staining in rat cerebrum. The section was incubated with ab271111 for 30 mins at room temperature.The immunostaining was performed on a Leica Biosystems BOND® RX instrument Counterstained with Hematoxylin.

Secondary antibody only control : Secondary antibody is a ready to use LeicaDS9800 (Bond™ Polymer Refine Detection) was used.

Heat mediated antigen retrieval with Tris-EDTA buffer (pH 9.0, epitope retrieval solution2) for 20 mins.

Immunohistochemistry (Formalin/PFA-fixed paraffin-embedded sections) - Anti-VAChT antibody [EPR24248-167] (AB271111)
  • IHC-P

Supplier Data

Immunohistochemistry (Formalin/PFA-fixed paraffin-embedded sections) - Anti-VAChT antibody [EPR24248-167] (AB271111)

Immunohistochemical analysis of paraffin-embedded Mouse cerebrum tissue labeling VAChT with ab271111 at 1/1000 dilution followed by a ready to use LeicaDS9800 (Bond™ Polymer Refine Detection). Punctate staining in mouse cerebrum. The section was incubated with ab271111 for 30 mins at room temperature. The immunostaining was performed on a Leica Biosystems BOND® RX instrument Counterstained with Hematoxylin.

Secondary antibody only control : Secondary antibody is a ready to use LeicaDS9800 (Bond™ Polymer Refine Detection) was used.

Heat mediated antigen retrieval with Tris-EDTA buffer (pH 9.0, epitope retrieval solution2) for 20 mins.

Immunohistochemistry (Formalin/PFA-fixed paraffin-embedded sections) - Anti-VAChT antibody [EPR24248-167] (AB271111)
  • IHC-P

Supplier Data

Immunohistochemistry (Formalin/PFA-fixed paraffin-embedded sections) - Anti-VAChT antibody [EPR24248-167] (AB271111)

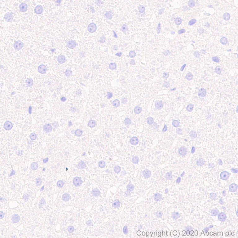
Immunohistochemical analysis of paraffin-embedded Mouse liver tissue labeling VAChT with ab271111 at 1/1000 dilution followed by a ready to use LeicaDS9800 (Bond™ Polymer Refine Detection). Negative control : No staining in mouse liver (PMID : 9427309). The section was incubated with ab271111 for 30 mins at room temperature. The immunostaining was performed on a Leica Biosystems BOND® RX instrument Counterstained with Hematoxylin.

Secondary antibody only control : Secondary antibody is a ready to use LeicaDS9800 (Bond™ Polymer Refine Detection) was used.

Heat mediated antigen retrieval with Tris-EDTA buffer (pH 9.0, epitope retrieval solution2) for 20 mins

Immunoprecipitation - Anti-VAChT antibody [EPR24248-167] (AB271111)
  • IP

Supplier Data

Immunoprecipitation - Anti-VAChT antibody [EPR24248-167] (AB271111)

VAChT was immunoprecipitated from 0.35 mg Rat brain tissue lysate 10 ug with ab271111 at 1/30 dilution (2ug in 0.35mg lysates). Western blot was performed on the immunoprecipitate using ab271111 at 1/1000 dilution. VeriBlot for IP Detection Reagent (HRP)(ab131366) was used at 1/5000 dilution.

Lane 1 : Rat brain tissue lysate 10 ug

Lane 2 : ab271111 IP in Rat brain tissue lysate

Lane 3 : Rabbit monoclonal IgG (ab172730) instead of ab271111 in rat brain tissue lysate

Blocking and dilution buffer and concentration : 5% NFDM/TBST.

Exposure time : 24 seconds

All lanes:

Immunoprecipitation - Anti-VAChT antibody [EPR24248-167] (ab271111)

Predicted band size: 56 kDa

Observed band size: 70 kDa

false

Immunoprecipitation - Anti-VAChT antibody [EPR24248-167] (AB271111)
  • IP

Supplier Data

Immunoprecipitation - Anti-VAChT antibody [EPR24248-167] (AB271111)

VAChT was immunoprecipitated from 0.35 mg Mouse brain tissue lysate 10 ug with ab271111 at 1/30 dilution (2ug in 0.35mg lysates). Western blot was performed on the immunoprecipitate using ab271111 at 1/1000 dilution. VeriBlot for IP Detection Reagent (HRP)(ab131366) was used at 1/5000 dilution.

Lane 1 : Mouse brain tissue lysate 10 ug

Lane 2 : ab271111 IP in Mouse brain tissue lysate

Lane 3 : Rabbit monoclonal IgG (ab172730) instead of ab271111 in mouse brain tissue lysate

Blocking and dilution buffer and concentration : 5% NFDM/TBST.

Exposure time : 24 seconds

All lanes:

Immunoprecipitation - Anti-VAChT antibody [EPR24248-167] (ab271111)

Predicted band size: 56 kDa

Observed band size: 70 kDa

false

  • Carrier free

    Anti-VAChT antibody [EPR24248-167] - BSA and Azide free

Key facts

Host species

Rabbit

Clonality

Monoclonal

Clone number

EPR24248-167

Isotype

IgG

Carrier free

No

Reacts with

Mouse, Rat

Applications

IHC-P, IP

applications

Immunogen

The exact immunogen used to generate this antibody is proprietary information.

Reactivity data

{ "title": "Reactivity Data", "filters": { "stats": ["", "Species", "Dilution Info", "Notes"], "tabs": { "all-applications": {"fullname" : "All Applications", "shortname": "All Applications"}, "ICCIF" : {"fullname" : "Immunocytochemistry/ Immunofluorescence", "shortname":"ICC/IF"}, "IP" : {"fullname" : "Immunoprecipitation", "shortname":"IP"}, "WB" : {"fullname" : "Western blot", "shortname":"WB"}, "IHCFr" : {"fullname" : "Immunohistochemistry (Frozen sections)", "shortname":"IHC-Fr"}, "IHCP" : {"fullname" : "Immunohistochemistry (Formalin/PFA-fixed paraffin-embedded sections)", "shortname":"IHC-P"} }, "product-promise": { "all": "all", "testedAndGuaranteed": "tested", "guaranteed": "expected", "predicted": "predicted", "notRecommended": "not-recommended" } }, "values": { "Human": { "ICCIF-species-checked": "notRecommended", "ICCIF-species-dilution-info": "", "ICCIF-species-notes": "<p></p>", "IP-species-checked": "notRecommended", "IP-species-dilution-info": "", "IP-species-notes": "", "WB-species-checked": "notRecommended", "WB-species-dilution-info": "", "WB-species-notes": "<p></p>", "IHCFr-species-checked": "notRecommended", "IHCFr-species-dilution-info": "", "IHCFr-species-notes": "", "IHCP-species-checked": "notRecommended", "IHCP-species-dilution-info": "", "IHCP-species-notes": "<p></p> Perform heat-mediated antigen retrieval with Tris/EDTA buffer pH 9.0 before commencing with IHC staining protocol." }, "Mouse": { "ICCIF-species-checked": "notRecommended", "ICCIF-species-dilution-info": "", "ICCIF-species-notes": "<p></p> Perform heat-mediated antigen retrieval with Tris/EDTA buffer pH 9.0 before commencing with IHC staining protocol.", "IP-species-checked": "testedAndGuaranteed", "IP-species-dilution-info": "1/30", "IP-species-notes": "<p></p>", "WB-species-checked": "notRecommended", "WB-species-dilution-info": "", "WB-species-notes": "<p></p>", "IHCFr-species-checked": "notRecommended", "IHCFr-species-dilution-info": "", "IHCFr-species-notes": "<p></p>", "IHCP-species-checked": "testedAndGuaranteed", "IHCP-species-dilution-info": "1/1000", "IHCP-species-notes": "<p></p> Perform heat-mediated antigen retrieval with Tris/EDTA buffer pH 9.0 before commencing with IHC staining protocol." }, "Rat": { "ICCIF-species-checked": "notRecommended", "ICCIF-species-dilution-info": "", "ICCIF-species-notes": "<p></p> Perform heat-mediated antigen retrieval with Tris/EDTA buffer pH 9.0 before commencing with IHC staining protocol.", "IP-species-checked": "testedAndGuaranteed", "IP-species-dilution-info": "1/30", "IP-species-notes": "<p></p>", "WB-species-checked": "notRecommended", "WB-species-dilution-info": "", "WB-species-notes": "<p></p>", "IHCFr-species-checked": "notRecommended", "IHCFr-species-dilution-info": "", "IHCFr-species-notes": "<p></p>", "IHCP-species-checked": "testedAndGuaranteed", "IHCP-species-dilution-info": "1/1000", "IHCP-species-notes": "<p></p> Perform heat-mediated antigen retrieval with Tris/EDTA buffer pH 9.0 before commencing with IHC staining protocol." } } }

Product details

Patented technology
Our RabMAb® technology is a patented hybridoma-based technology for making rabbit monoclonal antibodies. For details on our patents, please refer to RabMAb® patents.

What are the advantages of a recombinant monoclonal antibody?
This product is a recombinant monoclonal antibody, which offers several advantages including:

  • - High batch-to-batch consistency and reproducibility
  • - Improved sensitivity and specificity
  • - Long-term security of supply
  • - Animal-free batch production

For more information, read more on recombinant antibodies.

Properties and storage information

Form
Liquid
Purification technique
Affinity purification Protein A
Storage buffer
Preservative: 0.01% Sodium azide Constituents: 59.94% PBS, 40% Glycerol (glycerin, glycerine), 0.05% BSA
Shipped at conditions
Blue Ice
Appropriate short-term storage duration
1-2 weeks
Appropriate short-term storage conditions
+4°C
Appropriate long-term storage conditions
-20°C
Aliquoting information
Upon delivery aliquot
Storage information
Avoid freeze / thaw cycle

Supplementary information

This supplementary information is collated from multiple sources and compiled automatically.

The vesicular acetylcholine transporter often referred to as VAChT is responsible for packaging acetylcholine into vesicles in cholinergic neurons. This process is important for synaptic transmission in the nervous system. VAChT functions by using a proton gradient to transport acetylcholine against its concentration gradient into synaptic vesicles. VAChT has a molecular mass of approximately 55 kDa. It is widely expressed in cholinergic neurons throughout the central and peripheral nervous systems particularly in regions such as the cortex hippocampus and neuromuscular junctions.
Biological function summary

The function of VAChT plays an important role in the cholinergic system by facilitating neurotransmitter storage essential for neural communication. As part of the vesicular neurotransmitter transporter family VAChT collectively works with other proteins within this complex system to regulate acetylcholine availability and release. The stored acetylcholine within vesicles is released into the synaptic cleft in response to neuronal signals which promotes synapse firing and communication between neurons.

Pathways

Acetylcholine packaging and release managed by VAChT is integral to the cholinergic signaling pathway. This pathway is fundamental to ensuring proper function of learning memory and muscle control processes. VAChT works closely with the protein choline acetyltransferase (ChAT) which synthesizes acetylcholine from choline and acetyl-CoA. These proteins ensure a seamless conversion and transport loop within cholinergic neurons to maintain efficient neural signaling.

VAChT has been linked to conditions that involve impaired cholinergic function such as Alzheimer's disease and myasthenia gravis. In Alzheimer's disease disruptions in the cholinergic system often marked by reduced VAChT expression contribute to cognitive decline. VAChT variations can also impact acetylcholine availability in myasthenia gravis a disorder characterized by muscle weakness. In both cases the relationship between VAChT and ChAT is important as ChAT levels often change in parallel affecting overall cholinergic signaling and response.

Product protocols

For this product, it's our understanding that no specific protocols are required. You can visit:

Target data

Electrogenic antiporter that exchanges one cholinergic neurotransmitter, acetylcholine or choline, with two intravesicular protons across the membrane of synaptic vesicles. Uses the electrochemical proton gradient established by the V-type proton-pump ATPase to store neurotransmitters inside the vesicles prior to their release via exocytosis (By similarity). Determines cholinergic vesicular quantal size at presynaptic nerve terminals in developing neuro-muscular junctions with an impact on motor neuron differentiation and innervation pattern (By similarity) (PubMed : 19635813). Part of forebrain cholinergic system, regulates hippocampal synapse transmissions that underlie spatial memory formation (PubMed : 23045697). Can transport serotonin.
See full target information Slc18a3

Product promise

We are committed to supporting your work with high-quality reagents, and we're here for you every step of the way. In the unlikely event that one of our products does not perform as expected, you're protected by our Product Promise.
For full details, please see our Terms & Conditions

Please note: All products are 'FOR RESEARCH USE ONLY. NOT FOR USE IN DIAGNOSTIC OR THERAPEUTIC PROCEDURES'.

For licensing inquiries, please contact partnerships@abcam.com