JavaScript is disabled in your browser. Please enable JavaScript to view this website.
AB317452

Anti-VAChT antibody [EPR29154-71]

  • BOND RX™ Validated
  • 20ul selling size
  • Recombinant
  • Advanced Validation
  • RabMAb
  • What is this?

Be the first to review this product! Submit a review

|

(2 Publications)

Rabbit Recombinant Monoclonal VACHT antibody. Suitable for mIHC, IHC-P, Flow Cyt (Intra), WB, IHC-Fr, ICC/IF, IP and reacts with Mouse, Rat samples. Cited in 2 publications.

View Alternative Names

Vacht, Slc18a3, Vesicular acetylcholine transporter, VAChT, Solute carrier family 18 member 3

19 Images
Immunohistochemistry (Frozen sections) - Anti-VAChT antibody [EPR29154-71] (AB317452)
  • IHC-Fr

Supplier Data

Immunohistochemistry (Frozen sections) - Anti-VAChT antibody [EPR29154-71] (AB317452)

Immunohistochemical analysis of 4% PFA-fixed, 0.2% Triton X-100 permeabilized frozen Mouse cerebrum (fresh frozen) tissue labeling VAChT with ab317452 at 1/100 (5.08 ug/ml) dilution followed by ab150081 Goat Anti-Rabbit IgG H&L (Alexa Fluor® 488) preadsorbed at 1/1000 (2 ug/mL) dilution (Green).

Panel A : merged staining of anti-VAChT (ab317452, green), anti-NeuN (ab190565, magenta) on mouse cerebrum.
Panel B : anti-VAChT stained on mouse cerebrum.
Panel C : anti-NeuN stained in neurons of mouse cerebrum.
The section was incubated in two rounds of staining : in the order of ab317452 and ab190565 for 1 hr at room temperature. The nuclear counterstain was DAPI (Blue). The section was then mounted using Fluoromount®.The immunostaining was performed on a Leica Biosystems BOND® RX instrument. Image was taken with a confocal microscope (Leica-Microsystems, TCS SP8).

Secondary antibody control : Secondary antibody is ab150081 Goat Anti-Rabbit IgG H&L (Alexa Fluor® 488) preadsorbedat 1/1000 (2 ug/mL) dilution.

Immunohistochemistry (Formalin/PFA-fixed paraffin-embedded sections) - Anti-VAChT antibody [EPR29154-71] (AB317452)
  • IHC-P

Supplier Data

Immunohistochemistry (Formalin/PFA-fixed paraffin-embedded sections) - Anti-VAChT antibody [EPR29154-71] (AB317452)

Immunohistochemical analysis of paraffin-embedded Mouse cerebrum tissue labeling VAChT with ab317452 at 1/1000 (0.508 ug/ml) dilution, followed by a ready to use LeicaDS9800 (Bond™ Polymer Refine Detection).

Positive staining on mouse cerebrum. The section was incubated with ab317452 for 30 mins at room temperature.
The immunostaining was performed on a Leica Biosystems BOND® RX instrument

Counterstained with Hematoxylin.

Secondary antibody only control : Secondary antibody is a ready to use LeicaDS9800 (Bond™ Polymer Refine Detection).

Heat mediated antigen retrieval was performed with Tris-EDTA buffer (pH 9.0, Epitope Retrieval Solution2) for 20 mins

Immunohistochemistry (Formalin/PFA-fixed paraffin-embedded sections) - Anti-VAChT antibody [EPR29154-71] (AB317452)
  • IHC-P

Supplier Data

Immunohistochemistry (Formalin/PFA-fixed paraffin-embedded sections) - Anti-VAChT antibody [EPR29154-71] (AB317452)

Immunohistochemical analysis of paraffin-embedded Rat cerebrum tissue labeling VAChT with ab317452 at 1/1000 (0.508 ug/ml) dilution, followed by a ready to use LeicaDS9800 (Bond™ Polymer Refine Detection).

Positive staining on rat cerebrum. The section was incubated with ab317452 for 30 mins at room temperature.
The immunostaining was performed on a Leica Biosystems BOND® RX instrument

Counterstained with Hematoxylin.

Secondary antibody only control : Secondary antibody is a ready to use LeicaDS9800 (Bond™ Polymer Refine Detection).

Heat mediated antigen retrieval was performed with Tris-EDTA buffer (pH 9.0, Epitope Retrieval Solution2) for 20 mins

Immunohistochemistry (Formalin/PFA-fixed paraffin-embedded sections) - Anti-VAChT antibody [EPR29154-71] (AB317452)
  • IHC-P

Supplier Data

Immunohistochemistry (Formalin/PFA-fixed paraffin-embedded sections) - Anti-VAChT antibody [EPR29154-71] (AB317452)

Immunohistochemical analysis of paraffin-embedded Rat liver tissue labeling VAChT with ab317452 at 1/1000 (0.508 ug/ml) dilution, followed by a ready to use LeicaDS9800 (Bond™ Polymer Refine Detection).

Low expression : : no staining on rat liver. The section was incubated with ab317452 for 30 mins at room temperature.
The immunostaining was performed on a Leica Biosystems BOND® RX instrument

Counterstained with Hematoxylin.

Secondary antibody only control : Secondary antibody is a ready to use LeicaDS9800 (Bond™ Polymer Refine Detection).

Heat mediated antigen retrieval was performed with Tris-EDTA buffer (pH 9.0, Epitope Retrieval Solution2) for 20 mins

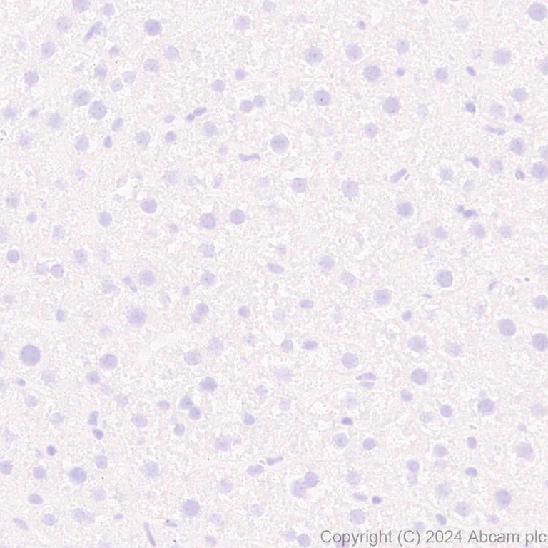
Immunohistochemistry (Formalin/PFA-fixed paraffin-embedded sections) - Anti-VAChT antibody [EPR29154-71] (AB317452)
  • IHC-P

Supplier Data

Immunohistochemistry (Formalin/PFA-fixed paraffin-embedded sections) - Anti-VAChT antibody [EPR29154-71] (AB317452)

Immunohistochemical analysis of paraffin-embedded Mouse liver tissue labeling VAChT with ab317452 at 1/1000 (0.508 ug/ml) dilution, followed by a ready to use LeicaDS9800 (Bond™ Polymer Refine Detection).

Low expression : : no staining on mouse liver. The section was incubated with ab317452 for 30 mins at room temperature.
The immunostaining was performed on a Leica Biosystems BOND® RX instrument

Counterstained with Hematoxylin.

Secondary antibody only control : Secondary antibody is a ready to use LeicaDS9800 (Bond™ Polymer Refine Detection).

Heat mediated antigen retrieval was performed with Tris-EDTA buffer (pH 9.0, Epitope Retrieval Solution2) for 20 mins

Immunohistochemistry (Frozen sections) - Anti-VAChT antibody [EPR29154-71] (AB317452)
  • IHC-Fr

Supplier Data

Immunohistochemistry (Frozen sections) - Anti-VAChT antibody [EPR29154-71] (AB317452)

Immunohistochemical analysis of 4% PFA-fixed, 0.2% Triton X-100 permeabilized frozen Rat liver (fresh frozen) tissue labeling VAChT with ab317452 at 1/100 (5.08 ug/ml) dilution followed by ab150081 Goat Anti-Rabbit IgG H&L (Alexa Fluor® 488) preadsorbed at 1/1000 (2 ug/mL) dilution (Green).

Low expression : confocal image showing no staining on rat liver (PMID : 9427309). The nuclear counterstain was DAPI (Blue). The section was incubated with ab317452 for 60 mins at room temperature. The section was then mounted using Fluoromount®.The immunostaining was performed on a Leica Biosystems BOND® RX instrument. Image was taken with a confocal microscope (Leica-Microsystems, TCS SP8).

Secondary antibody control : Secondary antibody is ab150081 Goat Anti-Rabbit IgG H&L (Alexa Fluor® 488) preadsorbedat 1/1000 (2 ug/mL) dilution.

Immunohistochemistry (Frozen sections) - Anti-VAChT antibody [EPR29154-71] (AB317452)
  • IHC-Fr

Supplier Data

Immunohistochemistry (Frozen sections) - Anti-VAChT antibody [EPR29154-71] (AB317452)

Immunohistochemical analysis of 4% PFA-fixed, 0.2% Triton X-100 permeabilized frozen Mouse liver (fresh frozen) tissue labeling VAChT with ab317452 at 1/100 (5.08 ug/ml) dilution followed by ab150081 Goat Anti-Rabbit IgG H&L (Alexa Fluor® 488) preadsorbed at 1/1000 (2 ug/mL) dilution (Green).

Low expression : confocal image showing no staining on mouse liver (PMID : 9427309). The nuclear counterstain was DAPI (Blue). The section was incubated with ab317452 for 60 mins at room temperature. The section was then mounted using Fluoromount®.The immunostaining was performed on a Leica Biosystems BOND® RX instrument. Image was taken with a confocal microscope (Leica-Microsystems, TCS SP8).

Secondary antibody control : Secondary antibody is ab150081 Goat Anti-Rabbit IgG H&L (Alexa Fluor® 488) preadsorbedat 1/1000 (2 ug/mL) dilution.

Multiplex immunohistochemistry - Anti-VAChT antibody [EPR29154-71] (AB317452)
  • mIHC

Lab

Multiplex immunohistochemistry - Anti-VAChT antibody [EPR29154-71] (AB317452)

Multiplex immunohistochemistry analysis of formalin/PFA-fixed paraffin-embedded mouse stomach tissue staining VAChT with ab317452 at 1/1000 dilution, ab322711 anti-ALDH3A1 used at 1/500 dilution and ab275875 anti-Ras used at 1/2000 dilution. Opal Polymer HRP Ms + Rb was used as a secondary antibody.

Panel A : merged staining of anti-VAChT (green; Opal520), anti-ALDH3A1 (gray; Opal570) and anti-Ras (magenta; Opal690) on mouse stomach.
Panel B : anti-VAChT staining nerve plexus in mouse stomach.
Panel C : ant-ALDH3A1 staining epithelium in mouse stomach.
Panel D : ant-Ras showed mainly membranous staining in mouse stomach.
Nuclear DNA was labeled with DAPI (shown in blue).

The section was incubated in three rounds of staining : in the order of ab317452, ab322711 and ab275875 for 30 mins at room temperature. Each round was followed by a separate fluorescent tyramide signal amplification system.

The immunostaining was performed on a Leica Biosystems BOND®RX instrument with an Opal 4-color kit. Image acquisition was performed with Leica SP8 confocal microscope.

Heat mediated antigen retrieval with Tris-EDTA buffer (pH 9.0, epitope retrieval solution2) for 20 mins.

Multiplex immunohistochemistry - Anti-VAChT antibody [EPR29154-71] (AB317452)
  • mIHC

Lab

Multiplex immunohistochemistry - Anti-VAChT antibody [EPR29154-71] (AB317452)

Multiplex immunohistochemistry analysis of formalin/PFA-fixed paraffin-embedded Rat hippocampus tissue staining TRIM46 with ab307967 at a 1 : 5000 (0.102 ug/ml) dilution, VAChT with ab317452 at 1 : 1000 (0.508 ug/ml) dilution and Serotonin transporter with ab308443 at a 1 : 500 (0.052 ug/ml) dilution followed by secondary antibody Opal Polymer HRP Ms + Rb.

Panel A : merged staining of anti-TRIM46 (green; Opal520), anti-VAChT (magenta; Opal690) and anti-Serotonin transporter (yellow; Opal570) on rat hippocampus.Panel B : anti-TRIM46 staining the proximal part of the axon in rat hippocampus.Panel C : anti-VAChT staining vesicle in rat hippocampus.Panel D : anti-Serotonin transporter staining dendrites in rat hippocampus.
Nuclear DNA was labeled with DAPI (shown in blue).

The section was incubated in three rounds of staining : in the order of ab307967, ab317452 and ab308443 for 30 mins at room temperature. Each round was followed by a separate fluorescent tyramide signal amplification system.

The immunostaining was performed on a Leica Biosystems BOND® RX instrument with an Opal 4-color kit. Image acquisition was performed with Leica SP8 confocal microscope.

Heat mediated antigen retrieval with Tris-EDTA buffer (pH 9.0, epitope retrieval solution2) for 20 mins

Multiplex immunohistochemistry - Anti-VAChT antibody [EPR29154-71] (AB317452)
  • mIHC

Lab

Multiplex immunohistochemistry - Anti-VAChT antibody [EPR29154-71] (AB317452)

Multiplex immunohistochemistry analysis of formalin/PFA-fixed paraffin-embedded Rat cerebrum tissue staining TRIM46 with ab307967 at a 1 : 5000 (0.102 ug/ml) dilution, VAChT with ab317452 at 1 : 1000 (0.0.508 ug/ml) dilution and Serotonin transporter with ab308443 at a 1 : 500 (0.052 ug/ml) dilution followed by secondary antibody Opal Polymer HRP Ms + Rb.

Panel A : merged staining of anti-TRIM46 (green; Opal520), anti-VAChT (magenta; Opal690) and anti-Serotonin transporter (yellow; Opal570) on rat cerebrum.Panel B : anti-TRIM46 staining the proximal part of the axon in rat cerebrum.Panel C : anti-VAChT staining vesicle in rat cerebrum.Panel D : anti-Serotonin transporter staining dendrites in rat cerebrum.
Nuclear DNA was labeled with DAPI (shown in blue).

The section was incubated in three rounds of staining : in the order of ab307967, ab317452 and ab308443 for 30 mins at room temperature. Each round was followed by a separate fluorescent tyramide signal amplification system.

The immunostaining was performed on a Leica Biosystems BOND® RX instrument with an Opal 4-color kit. Image acquisition was performed with Leica SP8 confocal microscope.

Heat mediated antigen retrieval with Tris-EDTA buffer (pH 9.0, epitope retrieval solution2) for 20 mins

Multiplex immunohistochemistry - Anti-VAChT antibody [EPR29154-71] (AB317452)
  • mIHC

Lab

Multiplex immunohistochemistry - Anti-VAChT antibody [EPR29154-71] (AB317452)

Multiplex immunohistochemistry analysis of formalin/PFA-fixed paraffin-embedded Mouse hippocampus tissue staining TRIM46 with ab307967 at a 1 : 5000 (0.102 ug/ml) dilution, VAChT with ab317452 at 1 : 1000 (0.508 ug/ml) dilution and Serotonin transporter with ab308443 at a 1 : 500 (0.052 ug/ml) dilution followed by secondary antibody Opal Polymer HRP Ms + Rb.

Panel A : merged staining of anti-TRIM46 (green; Opal520), anti-VAChT (magenta; Opal690) and anti-Serotonin transporter (yellow; Opal570) on mouse hippocampus.Panel B : anti-TRIM46 staining the proximal part of the axon in mouse hippocampus.Panel C : anti-VAChT staining vesicle in mouse hippocampus.Panel D : anti-Serotonin transporter staining dendrites in mouse hippocampus.
Nuclear DNA was labeled with DAPI (shown in blue).

The section was incubated in three rounds of staining : in the order of ab307967, ab317452 and ab308443 for 30 mins at room temperature. Each round was followed by a separate fluorescent tyramide signal amplification system.

The immunostaining was performed on a Leica Biosystems BOND® RX instrument with an Opal 4-color kit. Image acquisition was performed with Leica SP8 confocal microscope.

Heat mediated antigen retrieval with Tris-EDTA buffer (pH 9.0, epitope retrieval solution2) for 20 mins

Multiplex immunohistochemistry - Anti-VAChT antibody [EPR29154-71] (AB317452)
  • mIHC

Lab

Multiplex immunohistochemistry - Anti-VAChT antibody [EPR29154-71] (AB317452)

Multiplex immunohistochemistry analysis of formalin/PFA-fixed paraffin-embedded Mouse cerebrum tissue staining TRIM46 with ab307967 at a 1 : 5000 (0.102 ug/ml) dilution, VAChT with ab317452 at 1 : 1000 (0.508 ug/ml) dilution and Serotonin transporter with ab308443 at a 1 : 500 (0.052 ug/ml) dilution followed by secondary antibody Opal Polymer HRP Ms + Rb.

Panel A : merged staining of anti-TRIM46 (green; Opal520), anti-VAChT (magenta; Opal690) and anti-Serotonin transporter (yellow; Opal570) on mouse cerebrum.Panel B : anti-TRIM46 staining the proximal part of the axon in mouse cerebrum.Panel C : anti-VAChT staining vesicle in mouse cerebrum.Panel D : anti-Serotonin transporter staining dendrites in mouse cerebrum.
Nuclear DNA was labeled with DAPI (shown in blue).

The section was incubated in three rounds of staining : in the order of ab307967, ab317452 and ab308443 for 30 mins at room temperature. Each round was followed by a separate fluorescent tyramide signal amplification system.

The immunostaining was performed on a Leica Biosystems BOND® RX instrument with an Opal 4-color kit. Image acquisition was performed with Leica SP8 confocal microscope.

Heat mediated antigen retrieval with Tris-EDTA buffer (pH 9.0, epitope retrieval solution2) for 20 mins

Immunohistochemistry (Frozen sections) - Anti-VAChT antibody [EPR29154-71] (AB317452)
  • IHC-Fr

Supplier Data

Immunohistochemistry (Frozen sections) - Anti-VAChT antibody [EPR29154-71] (AB317452)

Immunohistochemical analysis of 4% PFA-fixed, 0.2% Triton X-100 permeabilized frozen Rat cerebrum (fresh frozen) tissue labeling VAChT with ab317452 at 1/100 (5.08 ug/ml) dilution followed by ab150081 Goat Anti-Rabbit IgG H&L (Alexa Fluor® 488) preadsorbed at 1/1000 (2 ug/mL) dilution (Green).

Panel A : merged staining of anti-VAChT (ab317452, green), anti-NeuN (ab190565, magenta) on rat cerebrum.
Panel B : anti-VAChT stained on rat cerebrum.
Panel C : anti-NeuN stained in neurons of rat cerebrum.
The section was incubated in two rounds of staining : in the order of ab317452 and ab190565 for 1 hr at room temperature. The nuclear counterstain was DAPI (Blue). The section was then mounted using Fluoromount®.The immunostaining was performed on a Leica Biosystems BOND® RX instrument. Image was taken with a confocal microscope (Leica-Microsystems, TCS SP8).

Secondary antibody control : Secondary antibody is ab150081 Goat Anti-Rabbit IgG H&L (Alexa Fluor® 488) preadsorbedat 1/1000 (2 ug/mL) dilution.

Immunocytochemistry/ Immunofluorescence - Anti-VAChT antibody [EPR29154-71] (AB317452)
  • ICC/IF

Supplier Data

Immunocytochemistry/ Immunofluorescence - Anti-VAChT antibody [EPR29154-71] (AB317452)

Immunofluorescent analysis of 4% Paraformaldehyde-fixed, 0.1% TritonX-100 permeabilized mouse hippocampal neuron cells labelling VAChT with ab317452 at 1/100 (5.08 ug/ml) dilution, followed by ab150081 Goat Anti-Rabbit IgG H&L (Alexa Fluor® 488) preadsorbed antibody at 1/1000 (2 ug/ml) dilution (Green).

Confocal image showing cytoplasmic staining in mouse hippocampal neuron (shown in green). The counterstain was observed in magenta. Nuclear DNA was labeled with DAPI (shown in blue).
Confocal scanning Z step was set as 0.3 μm followed by image processing with maximum Z projection.
Image was taken with a confocal microscope (Leica-Microsystems, TCS SP8).

ab11267 Anti-MAP2 mouse monoclonal antibody was used to counterstain at 1/500 (4ug/ml) dilution (Magenta). The Nuclear counterstain was DAPI (Blue).

Secondary antibody only control : Secondary antibody is ab150081 Goat Anti-Rabbit IgG H&L (Alexa Fluor® 488) preadsorbed at 1/1000 (2 ug/ml) dilution.

Flow Cytometry (Intracellular) - Anti-VAChT antibody [EPR29154-71] (AB317452)
  • Flow Cyt (Intra)

Supplier Data

Flow Cytometry (Intracellular) - Anti-VAChT antibody [EPR29154-71] (AB317452)

Flow cytometric analysis of 4% paraformaldehyde fixed 90% methanol permeabilized mouse primary neuron cells labelling VAChT with ab317452 at 1/500 dilution (0.1 ug)/Right compared with a Rabbit monoclonal IgG (ab172730) / Left isotype control.

Goat Anti-Rabbit IgG (Alexa Fluor® 488, ab150081) at 1/5000 dilution was used as the secondary antibody.

Immunoprecipitation - Anti-VAChT antibody [EPR29154-71] (AB317452)
  • IP

Supplier Data

Immunoprecipitation - Anti-VAChT antibody [EPR29154-71] (AB317452)

VAChT was immunoprecipitated from 0.35 mg Mouse brain tissue lysate with ab317452 at 1/30 dilution (2ug in 0.35mg lysates). Western blot was performed on the immunoprecipitate using ab317452 at 1/1000 dilution. VeriBlot for IP secondary antibody(HRP)(ab131366) was used at 1/5000 dilution.

Lane 1 : Mouse brain tissue lysate
Lane 2 : ab317452 IP in Mouse brain tissue lysate
Lane 3 : Rabbit monoclonal IgG (ab172730) instead of ab317452 in mouse brain whole cell lysate

All lanes:

Immunoprecipitation - Anti-VAChT antibody [EPR29154-71] (ab317452) at 1/30 dilution

All lanes:

Mouse brain tissue lysate

Secondary

All lanes:

Immunoprecipitation - VeriBlot for IP Detection Reagent (HRP) (<a href='/en-us/products/reagents/veriblot-for-ip-detection-reagent-hrp-ab131366'>ab131366</a>) at 1/5000 dilution

false

Exposure time: 58s

Western blot - Anti-VAChT antibody [EPR29154-71] (AB317452)
  • WB

Supplier Data

Western blot - Anti-VAChT antibody [EPR29154-71] (AB317452)

VAChT is a glycoprotein of approximately 75 kDa and detected as a 60-kDa band after treated with Peptide : N-glycosidase F (PNGase F).

In Western blot, Anti-GAPDH antibody [EPR16891] - Loading Control (ab181602) staining at 1/200000 dilution.

This blot was developed using a high sensitivity ECL substrate. The high-sensitivity ECL substrate used allows for the detection of proteins in the mid-femtogram range.

All lanes:

Western blot - Anti-VAChT antibody [EPR29154-71] (ab317452) at 1/1000 dilution

Lane 1:

Untreated Mouse brain tissue lysate at 60 µg

Lane 2:

Mouse brain tissue lysate treated with Peptide:N-glycosidase F (PNGase F) at 60 µg

Secondary

All lanes:

Western blot - Goat Anti-Rabbit IgG H&L (HRP) (<a href='/en-us/products/secondary-antibodies/goat-rabbit-igg-h-l-hrp-ab97051'>ab97051</a>) at 1/100000 dilution

Observed band size: 60 kDa,75 kDa,36 kDa

true

Exposure time: 180s

Western blot - Anti-VAChT antibody [EPR29154-71] (AB317452)
  • WB

Supplier Data

Western blot - Anti-VAChT antibody [EPR29154-71] (AB317452)

Low expression : liver, cerebellum (PMID : 9427309).

The expression profile/ molecular weight observed is consistent with what has been described in the literature (PMID : 22087075, PMID : 7559575, PMID : 34230437).

The identity of the bands higher than 100 kDa and lower than 50 kDa are unknown.

In Western blot, Anti-GAPDH antibody [EPR16891] - Loading Control (ab181602) staining at 1/200000 dilution.

All lanes:

Western blot - Anti-VAChT antibody [EPR29154-71] (ab317452) at 1/1000 dilution

Lane 1:

Rat brain tissue lysate at 60 µg

Lane 2:

Rat liver tissue lysate at 60 µg

Lane 3:

Rat cerebellum tissue lysate at 60 µg

Secondary

All lanes:

Western blot - Goat Anti-Rabbit IgG H&L (HRP) (<a href='/en-us/products/secondary-antibodies/goat-rabbit-igg-h-l-hrp-ab97051'>ab97051</a>) at 1/100000 dilution

Observed band size: 75 kDa,36 kDa

true

Exposure time: 180s

Western blot - Anti-VAChT antibody [EPR29154-71] (AB317452)
  • WB

Supplier Data

Western blot - Anti-VAChT antibody [EPR29154-71] (AB317452)

Low expression : liver, kidney (PMID : 9427309).

The expression profile/ molecular weight observed is consistent with what has been described in the literature (PMID : 22087075, PMID : 7559575, PMID : 34230437).

The identity of the bands higher than 100 kDa (in lanes 1-4) are unknown.

The identity of the lower MW band at approximately 37 kDa (in lane 4) is unknown.

In Western blot, Anti-GAPDH antibody [EPR16891] - Loading Control (ab181602) staining at 1/200000 dilution.

Exposure time : Lane 2 : 26 seconds, lanes 1, 3-5 : 114 seconds

All lanes:

Western blot - Anti-VAChT antibody [EPR29154-71] (ab317452) at 1/1000 dilution

Lane 1:

Mouse brain tissue lysate at 80 µg

Lane 2:

Mouse retina tissue lysate at 80 µg

Lane 3:

Mouse hippocampus tissue lysate at 80 µg

Lane 4:

Mouse liver tissue lysate at 80 µg

Lane 5:

Mouse kidney tissue lysate at 80 µg

Secondary

All lanes:

Western blot - Goat Anti-Rabbit IgG H&L (HRP) (<a href='/en-us/products/secondary-antibodies/goat-rabbit-igg-h-l-hrp-ab97051'>ab97051</a>) at 1/20000 dilution

Observed band size: 75 kDa,36 kDa

false

  • Carrier free

    Anti-VAChT antibody [EPR29154-71] - BSA and Azide free

Key facts

Host species

Rabbit

Clonality

Monoclonal

Clone number

EPR29154-71

Isotype

IgG

Carrier free

No

Reacts with

Mouse, Rat

Applications

Flow Cyt (Intra), IHC-P, IP, mIHC, ICC/IF, IHC-Fr, WB

applications

Immunogen

The exact immunogen used to generate this antibody is proprietary information.

Reactivity data

{ "title": "Reactivity Data", "filters": { "stats": ["", "Species", "Dilution Info", "Notes"], "tabs": { "all-applications": {"fullname" : "All Applications", "shortname": "All Applications"}, "mIHC" : {"fullname" : "Multiplex immunohistochemistry", "shortname":"mIHC"}, "IHCP" : {"fullname" : "Immunohistochemistry (Formalin/PFA-fixed paraffin-embedded sections)", "shortname":"IHC-P"}, "FlowCytIntra" : {"fullname" : "Flow Cytometry (Intracellular)", "shortname":"Flow Cyt (Intra)"}, "WB" : {"fullname" : "Western blot", "shortname":"WB"}, "IHCFr" : {"fullname" : "Immunohistochemistry (Frozen sections)", "shortname":"IHC-Fr"}, "ICCIF" : {"fullname" : "Immunocytochemistry/ Immunofluorescence", "shortname":"ICC/IF"}, "IP" : {"fullname" : "Immunoprecipitation", "shortname":"IP"} }, "product-promise": { "all": "all", "testedAndGuaranteed": "tested", "guaranteed": "expected", "predicted": "predicted", "notRecommended": "not-recommended" } }, "values": { "Human": { "mIHC-species-checked": "notRecommended", "mIHC-species-dilution-info": "", "mIHC-species-notes": "", "IHCP-species-checked": "notRecommended", "IHCP-species-dilution-info": "", "IHCP-species-notes": "<p></p>", "FlowCytIntra-species-checked": "notRecommended", "FlowCytIntra-species-dilution-info": "", "FlowCytIntra-species-notes": "", "WB-species-checked": "notRecommended", "WB-species-dilution-info": "", "WB-species-notes": "<p></p>", "IHCFr-species-checked": "notRecommended", "IHCFr-species-dilution-info": "", "IHCFr-species-notes": "", "ICCIF-species-checked": "notRecommended", "ICCIF-species-dilution-info": "", "ICCIF-species-notes": "", "IP-species-checked": "notRecommended", "IP-species-dilution-info": "", "IP-species-notes": "" }, "Mouse": { "mIHC-species-checked": "testedAndGuaranteed", "mIHC-species-dilution-info": "1/1000", "mIHC-species-notes": "<p></p> Perform heat-mediated antigen retrieval with Tris/EDTA buffer pH 9.0 before commencing with IHC staining protocol.", "IHCP-species-checked": "testedAndGuaranteed", "IHCP-species-dilution-info": "1/1000", "IHCP-species-notes": "<p></p> Perform heat-mediated antigen retrieval with Tris/EDTA buffer pH 9.0 before commencing with IHC staining protocol.", "FlowCytIntra-species-checked": "testedAndGuaranteed", "FlowCytIntra-species-dilution-info": "1/500", "FlowCytIntra-species-notes": "<p></p>", "WB-species-checked": "testedAndGuaranteed", "WB-species-dilution-info": "1/1000", "WB-species-notes": "<p></p>", "IHCFr-species-checked": "testedAndGuaranteed", "IHCFr-species-dilution-info": "1/100", "IHCFr-species-notes": "<p></p>", "ICCIF-species-checked": "testedAndGuaranteed", "ICCIF-species-dilution-info": "1/100", "ICCIF-species-notes": "<p></p>", "IP-species-checked": "testedAndGuaranteed", "IP-species-dilution-info": "1/30", "IP-species-notes": "<p></p>" }, "Rat": { "mIHC-species-checked": "testedAndGuaranteed", "mIHC-species-dilution-info": "", "mIHC-species-notes": "<p></p>", "IHCP-species-checked": "testedAndGuaranteed", "IHCP-species-dilution-info": "1/1000", "IHCP-species-notes": "<p></p> Perform heat-mediated antigen retrieval with Tris/EDTA buffer pH 9.0 before commencing with IHC staining protocol.", "FlowCytIntra-species-checked": "guaranteed", "FlowCytIntra-species-dilution-info": "", "FlowCytIntra-species-notes": "", "WB-species-checked": "testedAndGuaranteed", "WB-species-dilution-info": "1/1000", "WB-species-notes": "<p></p>", "IHCFr-species-checked": "testedAndGuaranteed", "IHCFr-species-dilution-info": "1/100", "IHCFr-species-notes": "<p></p>", "ICCIF-species-checked": "guaranteed", "ICCIF-species-dilution-info": "", "ICCIF-species-notes": "", "IP-species-checked": "guaranteed", "IP-species-dilution-info": "", "IP-species-notes": "" } } }

Product details

Patented technology
Our RabMAb® technology is a patented hybridoma-based technology for making rabbit monoclonal antibodies. For details on our patents, please refer to RabMAb® patents.

What are the advantages of a recombinant monoclonal antibody?
This product is a recombinant monoclonal antibody, which offers several advantages including:

  • - High batch-to-batch consistency and reproducibility
  • - Improved sensitivity and specificity
  • - Long-term security of supply
  • - Animal-free batch production

For more information, read more on recombinant antibodies.

Properties and storage information

Form
Liquid
Purification technique
Affinity purification Protein A
Storage buffer
pH: 7.2 - 7.4 Preservative: 0.01% Sodium azide Constituents: PBS, 40% Glycerol (glycerin, glycerine), 0.05% BSA
Shipped at conditions
Blue Ice
Appropriate short-term storage duration
1-2 weeks
Appropriate short-term storage conditions
+4°C
Appropriate long-term storage conditions
-20°C
Aliquoting information
Upon delivery aliquot
Storage information
Avoid freeze / thaw cycle

Supplementary information

This supplementary information is collated from multiple sources and compiled automatically.

The vesicular acetylcholine transporter often referred to as VAChT is responsible for packaging acetylcholine into vesicles in cholinergic neurons. This process is important for synaptic transmission in the nervous system. VAChT functions by using a proton gradient to transport acetylcholine against its concentration gradient into synaptic vesicles. VAChT has a molecular mass of approximately 55 kDa. It is widely expressed in cholinergic neurons throughout the central and peripheral nervous systems particularly in regions such as the cortex hippocampus and neuromuscular junctions.
Biological function summary

The function of VAChT plays an important role in the cholinergic system by facilitating neurotransmitter storage essential for neural communication. As part of the vesicular neurotransmitter transporter family VAChT collectively works with other proteins within this complex system to regulate acetylcholine availability and release. The stored acetylcholine within vesicles is released into the synaptic cleft in response to neuronal signals which promotes synapse firing and communication between neurons.

Pathways

Acetylcholine packaging and release managed by VAChT is integral to the cholinergic signaling pathway. This pathway is fundamental to ensuring proper function of learning memory and muscle control processes. VAChT works closely with the protein choline acetyltransferase (ChAT) which synthesizes acetylcholine from choline and acetyl-CoA. These proteins ensure a seamless conversion and transport loop within cholinergic neurons to maintain efficient neural signaling.

VAChT has been linked to conditions that involve impaired cholinergic function such as Alzheimer's disease and myasthenia gravis. In Alzheimer's disease disruptions in the cholinergic system often marked by reduced VAChT expression contribute to cognitive decline. VAChT variations can also impact acetylcholine availability in myasthenia gravis a disorder characterized by muscle weakness. In both cases the relationship between VAChT and ChAT is important as ChAT levels often change in parallel affecting overall cholinergic signaling and response.

Product protocols

For this product, it's our understanding that no specific protocols are required. You can visit:

Target data

Electrogenic antiporter that exchanges one cholinergic neurotransmitter, acetylcholine or choline, with two intravesicular protons across the membrane of synaptic vesicles. Uses the electrochemical proton gradient established by the V-type proton-pump ATPase to store neurotransmitters inside the vesicles prior to their release via exocytosis (By similarity). Determines cholinergic vesicular quantal size at presynaptic nerve terminals in developing neuro-muscular junctions with an impact on motor neuron differentiation and innervation pattern (By similarity) (PubMed : 19635813). Part of forebrain cholinergic system, regulates hippocampal synapse transmissions that underlie spatial memory formation (PubMed : 23045697). Can transport serotonin.
See full target information Slc18a3

Publications (2)

Recent publications for all applications. Explore the full list and refine your search

Journal of translational medicine 23:112 PubMed39849539

2025

Increased nerve density adversely affects outcome in colorectal cancer and denervation suppresses tumor growth.

Applications

Unspecified application

Species

Unspecified reactive species

Hao Wang,Ruixue Huo,Kexin He,Weihan Li,Yuan Gao,Wei He,Minhao Yu,Shu-Heng Jiang,Junli Xue

Chemistry & biodiversity 22:e202402771 PubMed39776239

2025

Protocatechuic Acid Improves Alzheimer's Disease by Regulating the Cholinergic Synaptic Signaling Pathway.

Applications

Unspecified application

Species

Unspecified reactive species

Siwen Li,Songtao Li,Rasmané Semde,Hongbo Teng,Mengqi Shi,Liang Huang,Xinru Lou,Beining Jia,Hongyan Zhu,Yan Zhao
View all publications

Product promise

We are committed to supporting your work with high-quality reagents, and we're here for you every step of the way. In the unlikely event that one of our products does not perform as expected, you're protected by our Product Promise.
For full details, please see our Terms & Conditions

Please note: All products are 'FOR RESEARCH USE ONLY. NOT FOR USE IN DIAGNOSTIC OR THERAPEUTIC PROCEDURES'.

For licensing inquiries, please contact partnerships@abcam.com