JavaScript is disabled in your browser. Please enable JavaScript to view this website.
AB231711

Anti-valyl tRNA synthetase antibody

Be the first to review this product! Submit a review

|

(0 Publication)

Rabbit Polyclonal valyl tRNA synthetase antibody. Suitable for WB, IHC-P and reacts with Mouse samples. Immunogen corresponding to Recombinant Fragment Protein within Mouse Vars1 aa 150-450.

View Alternative Names

Bat6, G7a, Vars, Vars2, Vars1, Valine--tRNA ligase, Protein G7a, Valyl-tRNA synthetase, ValRS

5 Images
Western blot - Anti-valyl tRNA synthetase antibody (AB231711)
  • WB

Supplier Data

Western blot - Anti-valyl tRNA synthetase antibody (AB231711)

All lanes:

Western blot - Anti-valyl tRNA synthetase antibody (ab231711) at 1 µg/mL

Lane 1:

Mouse pancreas lysate.

Lane 2:

Mouse liver lysate.

Secondary

All lanes:

HRP-Linked Guinea pig anti-Rabbit at 1/2000 dilution

Predicted band size: 140 kDa

false

Western blot - Anti-valyl tRNA synthetase antibody (AB231711)
  • WB

Supplier Data

Western blot - Anti-valyl tRNA synthetase antibody (AB231711)

All lanes:

Western blot - Anti-valyl tRNA synthetase antibody (ab231711) at 2 µg/mL

All lanes:

Recombinant mouse valyl tRNA synthetase protein

Predicted band size: 140 kDa

false

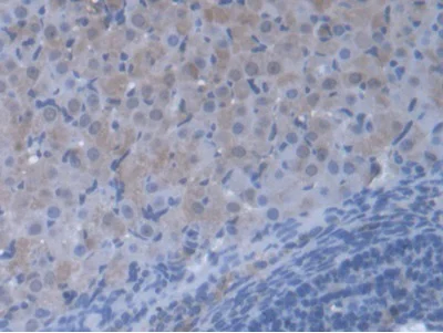
Immunohistochemistry (Formalin/PFA-fixed paraffin-embedded sections) - Anti-valyl tRNA synthetase antibody (AB231711)
  • IHC-P

Supplier Data

Immunohistochemistry (Formalin/PFA-fixed paraffin-embedded sections) - Anti-valyl tRNA synthetase antibody (AB231711)

Formalin-fixed, paraffin-embedded mouse stomach tissue stained for valyl tRNA synthetase using ab231711 at 20μg/mL in immunohistochemical analysis.

Immunohistochemistry (Formalin/PFA-fixed paraffin-embedded sections) - Anti-valyl tRNA synthetase antibody (AB231711)
  • IHC-P

Supplier Data

Immunohistochemistry (Formalin/PFA-fixed paraffin-embedded sections) - Anti-valyl tRNA synthetase antibody (AB231711)

Formalin-fixed, paraffin-embedded mouse oavry tissue stained for valyl tRNA synthetase using ab231711 at 20μg/mL in immunohistochemical analysis.

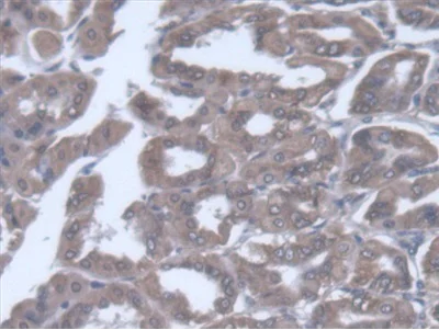
Immunohistochemistry (Formalin/PFA-fixed paraffin-embedded sections) - Anti-valyl tRNA synthetase antibody (AB231711)
  • IHC-P

Supplier Data

Immunohistochemistry (Formalin/PFA-fixed paraffin-embedded sections) - Anti-valyl tRNA synthetase antibody (AB231711)

Formalin-fixed, paraffin-embedded mouse kidney tissue stained for valyl tRNA synthetase using ab231711 at 20μg/mL in immunohistochemical analysis.

Key facts

Host species

Rabbit

Clonality

Polyclonal

Isotype

IgG

Carrier free

No

Reacts with

Mouse

Applications

IHC-P, WB

applications

Immunogen

Recombinant Fragment Protein within Mouse Vars1 aa 150-450. The exact immunogen used to generate this antibody is proprietary information.

Q9Z1Q9

Reactivity data

{ "title": "Reactivity Data", "filters": { "stats": ["", "Species", "Dilution Info", "Notes"], "tabs": { "all-applications": {"fullname" : "All Applications", "shortname": "All Applications"}, "WB" : {"fullname" : "Western blot", "shortname":"WB"}, "IHCP" : {"fullname" : "Immunohistochemistry (Formalin/PFA-fixed paraffin-embedded sections)", "shortname":"IHC-P"} }, "product-promise": { "all": "all", "testedAndGuaranteed": "tested", "guaranteed": "expected", "predicted": "predicted", "notRecommended": "not-recommended" } }, "values": { "Mouse": { "WB-species-checked": "testedAndGuaranteed", "WB-species-dilution-info": "0.50000-2 µg/mL", "WB-species-notes": "<p></p>", "IHCP-species-checked": "testedAndGuaranteed", "IHCP-species-dilution-info": "5-20 µg/mL", "IHCP-species-notes": "<p></p>" }, "Rat": { "WB-species-checked": "predicted", "WB-species-dilution-info": "", "WB-species-notes": "", "IHCP-species-checked": "predicted", "IHCP-species-dilution-info": "", "IHCP-species-notes": "" } } }

Properties and storage information

Form
Liquid
Purification technique
Affinity purification Immunogen
Purification notes
Antigen-specific affinity chromatography followed by Protein A affinity chromatography.
Storage buffer
pH: 7.4 Preservative: 0.011% Proclin 300 Constituents: 55.77% Glycerol (glycerin, glycerine), 44.219% PBS
Shipped at conditions
Blue Ice
Appropriate short-term storage duration
1-2 weeks
Appropriate short-term storage conditions
+4°C
Appropriate long-term storage conditions
-20°C
Aliquoting information
Upon delivery aliquot
Storage information
Avoid freeze / thaw cycle

Product protocols

For this product, it's our understanding that no specific protocols are required. You can visit:

Product promise

We are committed to supporting your work with high-quality reagents, and we're here for you every step of the way. In the unlikely event that one of our products does not perform as expected, you're protected by our Product Promise.
For full details, please see our Terms & Conditions

Associated Products

Select an associated product type
Alternative Product
Primary Antibodies

AB181175

Anti-valyl tRNA synthetase antibody [EPR11300] - C-terminal

primary-antibodies

valyl-trna-synthetase-antibody-epr11300-c-terminal-ab181175

0

(0 reviews)

Alternative Product
Primary Antibodies

AB178404

Anti-valyl tRNA synthetase antibody [EP11299]

primary-antibodies

valyl-trna-synthetase-antibody-ep11299-ab178404

0

(0 reviews)

Please note: All products are 'FOR RESEARCH USE ONLY. NOT FOR USE IN DIAGNOSTIC OR THERAPEUTIC PROCEDURES'.

For licensing inquiries, please contact partnerships@abcam.com