JavaScript is disabled in your browser. Please enable JavaScript to view this website.
AB250401

Anti-valyl tRNA synthetase antibody [EPR11300] - BSA and Azide free

Be the first to review this product! Submit a review

|

(0 Publication)

Rabbit Recombinant Monoclonal valyl tRNA synthetase antibody. Carrier free. Suitable for IHC-P, ICC/IF, WB and reacts with Human samples.

View Alternative Names

G7A, VARS, VARS2, VARS1, Valine--tRNA ligase, Protein G7a, Valyl-tRNA synthetase, ValRS

3 Images
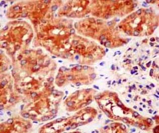
Immunohistochemistry (Formalin/PFA-fixed paraffin-embedded sections) - Anti-valyl tRNA synthetase antibody [EPR11300] - BSA and Azide free (AB250401)
  • IHC-P

Supplier Data

Immunohistochemistry (Formalin/PFA-fixed paraffin-embedded sections) - Anti-valyl tRNA synthetase antibody [EPR11300] - BSA and Azide free (AB250401)

This data was developed using ab181175, the same antibody clone in a different buffer formulation.

Immunohistochemical analysis of paraffin-embedded Human kidney tissue labeling valyl tRNA synthetase with ab181175 at 1/100 dilution followed by pre-diluted HRP-conjugated secondary antibody and counter-stained with Hematoxylin.

Perform heat mediated antigen retrieval with citrate buffer pH 6 before commencing with IHC staining protocol.

Immunocytochemistry/ Immunofluorescence - Anti-valyl tRNA synthetase antibody [EPR11300] - BSA and Azide free (AB250401)
  • ICC/IF

Supplier Data

Immunocytochemistry/ Immunofluorescence - Anti-valyl tRNA synthetase antibody [EPR11300] - BSA and Azide free (AB250401)

This data was developed using ab181175, the same antibody clone in a different buffer formulation.

Immunofluorescent analysis of HepG2 cells (paraformaldehyde-fixed, 4%) labeling valyl tRNA synthetase with ab181175 at 1/100 dilution followed by Goat anti rabbit IgG (Alexa Fluor® 488) secondary at 1/200 dilution and counter-stained with DAPI (blue).

Western blot - Anti-valyl tRNA synthetase antibody [EPR11300] - BSA and Azide free (AB250401)
  • WB

Supplier Data

Western blot - Anti-valyl tRNA synthetase antibody [EPR11300] - BSA and Azide free (AB250401)

This data was developed using ab181175, the same antibody clone in a different buffer formulation.

All lanes:

Western blot - Anti-valyl tRNA synthetase antibody [EPR11300] - C-terminal (<a href='/en-us/products/primary-antibodies/valyl-trna-synthetase-antibody-epr11300-c-terminal-ab181175'>ab181175</a>) at 1/5000 dilution

Lane 1:

HepG2 cell lysate at 20 µg

Lane 2:

HeLa cell lysate at 20 µg

Lane 3:

Ramos cell lysate at 20 µg

Lane 4:

K562 cell lysate at 20 µg

Secondary

All lanes:

goat anti-rabbit IgG, (H+L), peroxidase conjugated at 1/1000 dilution

Predicted band size: 140 kDa

Observed band size: 140 kDa

true

  • Unconjugated

    Anti-valyl tRNA synthetase antibody [EPR11300] - C-terminal

Key facts

Host species

Rabbit

Clonality

Monoclonal

Clone number

EPR11300

Isotype

IgG

Carrier free

Yes

Reacts with

Human

Applications

IHC-P, ICC/IF, WB

applications

Immunogen

The exact immunogen used to generate this antibody is proprietary information.

Reactivity data

{ "title": "Reactivity Data", "filters": { "stats": ["", "Species", "Dilution Info", "Notes"], "tabs": { "all-applications": {"fullname" : "All Applications", "shortname": "All Applications"}, "IHCP" : {"fullname" : "Immunohistochemistry (Formalin/PFA-fixed paraffin-embedded sections)", "shortname":"IHC-P"}, "ICCIF" : {"fullname" : "Immunocytochemistry/ Immunofluorescence", "shortname":"ICC/IF"}, "WB" : {"fullname" : "Western blot", "shortname":"WB"} }, "product-promise": { "all": "all", "testedAndGuaranteed": "tested", "guaranteed": "expected", "predicted": "predicted", "notRecommended": "not-recommended" } }, "values": { "Human": { "IHCP-species-checked": "testedAndGuaranteed", "IHCP-species-dilution-info": "", "IHCP-species-notes": "<p></p>", "ICCIF-species-checked": "testedAndGuaranteed", "ICCIF-species-dilution-info": "", "ICCIF-species-notes": "<p></p>", "WB-species-checked": "testedAndGuaranteed", "WB-species-dilution-info": "", "WB-species-notes": "<p></p>" }, "Mouse": { "IHCP-species-checked": "predicted", "IHCP-species-dilution-info": "", "IHCP-species-notes": "", "ICCIF-species-checked": "predicted", "ICCIF-species-dilution-info": "", "ICCIF-species-notes": "", "WB-species-checked": "predicted", "WB-species-dilution-info": "", "WB-species-notes": "" }, "Rat": { "IHCP-species-checked": "predicted", "IHCP-species-dilution-info": "", "IHCP-species-notes": "", "ICCIF-species-checked": "predicted", "ICCIF-species-dilution-info": "", "ICCIF-species-notes": "", "WB-species-checked": "predicted", "WB-species-dilution-info": "", "WB-species-notes": "" } } }

Product details

ab250401 is the carrier-free version of ab181175.

Patented technology
Our RabMAb® technology is a patented hybridoma-based technology for making rabbit monoclonal antibodies. For details on our patents, please refer to RabMAb® patents.

What are the advantages of a recombinant monoclonal antibody?
This product is a recombinant monoclonal antibody, which offers several advantages including:

  • - High batch-to-batch consistency and reproducibility
  • - Improved sensitivity and specificity
  • - Long-term security of supply
  • - Animal-free batch production

For more information, read more on recombinant antibodies.

Conjugation ready
Our carrier-free antibodies are typically supplied in a PBS-only formulation, purified and free of BSA, sodium azide and glycerol. This conjugation-ready format is designed for use with fluorochromes, metal isotopes, oligonucleotides, and enzymes, which makes them ideal for antibody labelling, functional and cell-based assays, flow-based assays (e.g. mass cytometry) and Multiplex Imaging applications.

Use our conjugation kits for antibody conjugates that are ready-to-use in as little as 20 minutes with 1 minute hands-on-time and 100% antibody recovery: available for fluorescent dyes, HRP, biotin and gold.

Compatibility
This product is compatible with the Maxpar® Antibody Labeling Kit from Fluidigm, without the need for antibody preparation. Maxpar® is a trademark of Fluidigm Canada Inc.

Properties and storage information

Form
Liquid
Purification technique
Affinity purification
Storage buffer
pH: 7.2 - 7.4 Constituents: PBS
Shipped at conditions
Blue Ice
Appropriate short-term storage conditions
+4°C
Appropriate long-term storage conditions
+4°C
Storage information
Do Not Freeze

Product protocols

For this product, it's our understanding that no specific protocols are required. You can visit:

Target data

Catalyzes the attachment of valine to tRNA(Val).
See full target information VARS1

Product promise

We are committed to supporting your work with high-quality reagents, and we're here for you every step of the way. In the unlikely event that one of our products does not perform as expected, you're protected by our Product Promise.
For full details, please see our Terms & Conditions

Please note: All products are 'FOR RESEARCH USE ONLY. NOT FOR USE IN DIAGNOSTIC OR THERAPEUTIC PROCEDURES'.

For licensing inquiries, please contact partnerships@abcam.com