JavaScript is disabled in your browser. Please enable JavaScript to view this website.
AB226863

Anti-VAMP2 antibody [EPR20818] - BSA and Azide free

Be the first to review this product! Submit a review

|

(1 Publication)

Rabbit Recombinant Monoclonal VAMP2 antibody. Carrier free. Suitable for IP, WB, IHC-P and reacts with Mouse, Rat, Human samples. Cited in 1 publication.

View Alternative Names

Syb2, Vamp2, Vesicle-associated membrane protein 2, VAMP-2, Synaptobrevin-2

4 Images
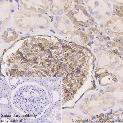
Immunohistochemistry (Formalin/PFA-fixed paraffin-embedded sections) - Anti-VAMP2 antibody [EPR20818] - BSA and Azide free (AB226863)
  • IHC-P

Supplier Data

Immunohistochemistry (Formalin/PFA-fixed paraffin-embedded sections) - Anti-VAMP2 antibody [EPR20818] - BSA and Azide free (AB226863)

Immunohistochemical analysis of paraffin-embedded human kidney tissue labeling VAMP2 with ab215721 at 1/2000 dilution, followed by Goat Anti-Rabbit IgG H&L (HRP) ready to use. Cytoplasmic staining on human kidney. Counter stained with hematoxylin.

Secondary antibody only control : Used PBS instead of primary antibody, secondary antibody is Goat Anti-Rabbit IgG H&L (HRP) ready to use.

This data was developed using the same antibody clone in a different buffer formulation containing PBS, BSA, glycerol, and sodium azide (ab215721).

Perform heat mediated antigen retrieval with Tris/EDTA buffer pH 9.0 before commencing with IHC staining protocol.

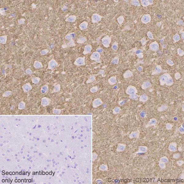
Immunohistochemistry (Formalin/PFA-fixed paraffin-embedded sections) - Anti-VAMP2 antibody [EPR20818] - BSA and Azide free (AB226863)
  • IHC-P

Supplier Data

Immunohistochemistry (Formalin/PFA-fixed paraffin-embedded sections) - Anti-VAMP2 antibody [EPR20818] - BSA and Azide free (AB226863)

Immunohistochemical analysis of paraffin-embedded rat cerebrum tissue labeling VAMP2 with ab215721 at 1/2000 dilution, followed by Goat Anti-Rabbit IgG H&L (HRP) ready to use. Cytoplasmic staining on rat cerebrum. Counter stained with hematoxylin.

Secondary antibody only control : Used PBS instead of primary antibody, secondary antibody is Goat Anti-Rabbit IgG H&L (HRP) ready to use.

This data was developed using the same antibody clone in a different buffer formulation containing PBS, BSA, glycerol, and sodium azide (ab215721).

Perform heat mediated antigen retrieval with Tris/EDTA buffer pH 9.0 before commencing with IHC staining protocol.

Immunohistochemistry (Formalin/PFA-fixed paraffin-embedded sections) - Anti-VAMP2 antibody [EPR20818] - BSA and Azide free (AB226863)
  • IHC-P

Supplier Data

Immunohistochemistry (Formalin/PFA-fixed paraffin-embedded sections) - Anti-VAMP2 antibody [EPR20818] - BSA and Azide free (AB226863)

Immunohistochemical analysis of paraffin-embedded mouse cerebrum tissue labeling VAMP2 with ab215721 at 1/2000 dilution, followed by Goat Anti-Rabbit IgG H&L (HRP) ready to use. Cytoplasmic staining on mouse cerebrum. Counter stained with hematoxylin.

Secondary antibody only control : Used PBS instead of primary antibody, secondary antibody is Goat Anti-Rabbit IgG H&L (HRP) ready to use.

This data was developed using the same antibody clone in a different buffer formulation containing PBS, BSA, glycerol, and sodium azide (ab215721).

Perform heat mediated antigen retrieval with Tris/EDTA buffer pH 9.0 before commencing with IHC staining protocol.

Immunoprecipitation - Anti-VAMP2 antibody [EPR20818] - BSA and Azide free (AB226863)
  • IP

Supplier Data

Immunoprecipitation - Anti-VAMP2 antibody [EPR20818] - BSA and Azide free (AB226863)

VAMP2 was immunoprecipitated from 0.35 mg mouse brain lysate with ab215721 at 1/30 dilution. Western blot was performed from the immunoprecipitate using ab215721 at 1/1000 dilution. VeriBlot for IP Detection Reagent (HRP) (ab131366), was used for detection at 1/10000 dilution.

Lane 1 : Mouse brain lysate 10 μg (Input).

Lane 2 : ab215721 IP in mouse brain lysate.

Lane 3 : Rabbit monoclonal IgG (ab172730) instead of ab215721 in mouse brain lysate.

Exposure time : 1 second.

Blocking and dilution buffer and concentration : 5% NFDM/TBST.

This data was developed using the same antibody clone in a different buffer formulation containing PBS, BSA, glycerol, and sodium azide (ab215721).

All lanes:

Immunoprecipitation - Anti-VAMP2 antibody [EPR20818] (<a href='/en-us/products/primary-antibodies/vamp2-antibody-epr20818-ab215721'>ab215721</a>)

Predicted band size: 13 kDa

Observed band size: 18 kDa

false

Key facts

Host species

Rabbit

Clonality

Monoclonal

Clone number

EPR20818

Isotype

IgG

Carrier free

Yes

Reacts with

Mouse, Rat, Human

Applications

IHC-P, WB, IP

applications

Immunogen

The exact immunogen used to generate this antibody is proprietary information.

Reactivity data

{ "title": "Reactivity Data", "filters": { "stats": ["", "Species", "Dilution Info", "Notes"], "tabs": { "all-applications": {"fullname" : "All Applications", "shortname": "All Applications"}, "IP" : {"fullname" : "Immunoprecipitation", "shortname":"IP"}, "WB" : {"fullname" : "Western blot", "shortname":"WB"}, "IHCP" : {"fullname" : "Immunohistochemistry (Formalin/PFA-fixed paraffin-embedded sections)", "shortname":"IHC-P"} }, "product-promise": { "all": "all", "testedAndGuaranteed": "tested", "guaranteed": "expected", "predicted": "predicted", "notRecommended": "not-recommended" } }, "values": { "Human": { "IP-species-checked": "predicted", "IP-species-dilution-info": "", "IP-species-notes": "", "WB-species-checked": "guaranteed", "WB-species-dilution-info": "", "WB-species-notes": "<p></p>", "IHCP-species-checked": "predicted", "IHCP-species-dilution-info": "", "IHCP-species-notes": "" }, "Mouse": { "IP-species-checked": "testedAndGuaranteed", "IP-species-dilution-info": "", "IP-species-notes": "<p></p>", "WB-species-checked": "guaranteed", "WB-species-dilution-info": "", "WB-species-notes": "<p></p>", "IHCP-species-checked": "guaranteed", "IHCP-species-dilution-info": "", "IHCP-species-notes": "" }, "Rat": { "IP-species-checked": "guaranteed", "IP-species-dilution-info": "", "IP-species-notes": "", "WB-species-checked": "guaranteed", "WB-species-dilution-info": "", "WB-species-notes": "<p></p>", "IHCP-species-checked": "testedAndGuaranteed", "IHCP-species-dilution-info": "", "IHCP-species-notes": "<p></p>" } } }

Product details

ab226863 is the carrier-free version of ab215721.

Patented technology
Our RabMAb® technology is a patented hybridoma-based technology for making rabbit monoclonal antibodies. For details on our patents, please refer to RabMAb® patents.

What are the advantages of a recombinant monoclonal antibody?
This product is a recombinant monoclonal antibody, which offers several advantages including:

  • - High batch-to-batch consistency and reproducibility
  • - Improved sensitivity and specificity
  • - Long-term security of supply
  • - Animal-free batch production

For more information, read more on recombinant antibodies.

Conjugation ready
Our carrier-free antibodies are typically supplied in a PBS-only formulation, purified and free of BSA, sodium azide and glycerol. This conjugation-ready format is designed for use with fluorochromes, metal isotopes, oligonucleotides, and enzymes, which makes them ideal for antibody labelling, functional and cell-based assays, flow-based assays (e.g. mass cytometry) and Multiplex Imaging applications.

Use our conjugation kits for antibody conjugates that are ready-to-use in as little as 20 minutes with 1 minute hands-on-time and 100% antibody recovery: available for fluorescent dyes, HRP, biotin and gold.

Compatibility
This product is compatible with the Maxpar® Antibody Labeling Kit from Fluidigm, without the need for antibody preparation. Maxpar® is a trademark of Fluidigm Canada Inc.

Properties and storage information

Form
Liquid
Purification technique
Affinity purification Protein A
Storage buffer
pH: 7.2 - 7.4 Constituents: PBS
Shipped at conditions
Blue Ice
Appropriate short-term storage conditions
+4°C
Appropriate long-term storage conditions
+4°C
Storage information
Do Not Freeze

Supplementary information

This supplementary information is collated from multiple sources and compiled automatically.

Vesicle-associated membrane protein 2 (VAMP2) also known as synaptobrevin 2 is a member of the SNARE protein family with a molecular mass of approximately 13 kDa. VAMP2 plays an important role in vesicle trafficking and membrane fusion particularly in the nervous system. It is prominently expressed in the brain where it facilitates neurotransmitter release by forming SNARE complexes essential for synaptic vesicle fusion with the presynaptic membrane.
Biological function summary

VAMP2 interacts with other SNARE proteins such as synaptosomal-associated protein 25 (SNAP-25) and syntaxin-1 to form stable complexes necessary for synaptic vesicle docking and exocytosis. As part of the SNARE complex VAMP2 contributes to the precise regulation of neurotransmitter release in neurons which is critical for synaptic transmission and plasticity. Its function is vital for the communication between neurons and proper brain function.

Pathways

VAMP2 plays a significant role in the synaptic vesicle cycle and neurotransmitter release pathways. It is central to the exocytosis pathway where it interacts with Rab3a a small GTPase that regulates vesicle docking. By participating in these pathways VAMP2 ensures efficient neurotransmission and contributes to neuronal communication processes. VAMP2's interaction with related proteins like SNAP-25 and syntaxin-1 highlights its importance in these synaptic processes.

VAMP2 has associations with conditions such as epilepsy and neurodegenerative diseases. Alterations in VAMP2 expression or function can disrupt normal neurotransmitter release impacting synaptic function and leading to neurological symptoms. VAMP2's relationship with SNAP-25 and syntaxin-1 further implicates it in these disorders as these proteins collectively regulate neural communication. Understanding VAMP2's role in these illnesses aids in the development of potential therapeutic strategies targeting SNARE complex dysfunctions.

Product protocols

For this product, it's our understanding that no specific protocols are required. You can visit:

Target data

Involved in the targeting and/or fusion of transport vesicles to their target membrane (PubMed : 9430681). Major SNARE protein of synaptic vesicles which mediates fusion of synaptic vesicles to release neurotransmitters. Essential for fast vesicular exocytosis and activity-dependent neurotransmitter release as well as fast endocytosis that mediates rapid reuse of synaptic vesicles (PubMed : 15475946). Modulates the gating characteristics of the delayed rectifier voltage-dependent potassium channel KCNB1 (By similarity).
See full target information Vamp2

Publications (1)

Recent publications for all applications. Explore the full list and refine your search

CytoJournal 21:20 PubMed38989296

2024

Utility of immunocytochemistry in diagnosing abdominopelvic washings from patients undergoing radical surgery for endometrial cancer.

Applications

Unspecified application

Species

Unspecified reactive species

Zhihua Lan,Jing Zhang,Fang Yang,Xin Ma,Rongfang He
View all publications

Product promise

We are committed to supporting your work with high-quality reagents, and we're here for you every step of the way. In the unlikely event that one of our products does not perform as expected, you're protected by our Product Promise.
For full details, please see our Terms & Conditions

Please note: All products are 'FOR RESEARCH USE ONLY. NOT FOR USE IN DIAGNOSTIC OR THERAPEUTIC PROCEDURES'.

For licensing inquiries, please contact partnerships@abcam.com