JavaScript is disabled in your browser. Please enable JavaScript to view this website.
AB290726

Anti-VAMP4 antibody [EPR25066-77]

  • BOND RX™ Validated
  • 20ul selling size
  • RabMAb
  • Recombinant
  • What is this?

Be the first to review this product! Submit a review

|

(0 Publication)

Rabbit Recombinant Monoclonal VAMP4 antibody. Suitable for ICC/IF, IP, WB, IHC-Fr, Flow Cyt (Intra), IHC-P and reacts with Mouse, Rat, Human samples.

View Alternative Names

Vesicle-associated membrane protein 4, VAMP-4, VAMP4

18 Images
Flow Cytometry (Intracellular) - Anti-VAMP4 antibody [EPR25066-77] (AB290726)
  • Flow Cyt (Intra)

Supplier Data

Flow Cytometry (Intracellular) - Anti-VAMP4 antibody [EPR25066-77] (AB290726)

Intracellular flow cytometric analysis of 4% paraformaldehyde fixed 90% methanol permeabilized 293T (Human embryonic kidney epithelial cell) cells labelling VAMP4 with ab290726 at 1/50 dilution (1ug) (Red) compared with a Rabbit monoclonal IgG (ab172730) (Black) isotype control and an unlabelled control (cells without incubation with primary antibody and secondary antibody) (Blue). A Goat Anti-Rabbit IgG (Alexa Fluor® 488, ab150081) at 1/2000 dilution was used as the secondary antibody.

Immunohistochemistry (Frozen sections) - Anti-VAMP4 antibody [EPR25066-77] (AB290726)
  • IHC-Fr

Supplier Data

Immunohistochemistry (Frozen sections) - Anti-VAMP4 antibody [EPR25066-77] (AB290726)

Immunohistochemical analysis of 4% PFA-fixed, 0.2% Triton X-100 permeabilized frozen Mouse skeletal muscle (fresh) tissue labeling VAMP4 with ab290726 at 1/500 (1.102 ug/ml) dilution followed by ab150081 Goat Anti-Rabbit IgG H&L (Alexa Fluor® 488) preadsorbed at 1/1000 (2 μg/mL) dilution (Green). Negative control (PMID : 10359608) No staining on mouse skeletal muscle is observed. The nuclear counterstain was DAPI (Blue).

Secondary antibody control : Secondary antibody is ab150081 Goat Anti-Rabbit IgG H&L (Alexa Fluor® 488) preadsorbedat 1/1000 (2 μg/mL) dilution.

Immunohistochemistry (Formalin/PFA-fixed paraffin-embedded sections) - Anti-VAMP4 antibody [EPR25066-77] (AB290726)
  • IHC-P

Supplier Data

Immunohistochemistry (Formalin/PFA-fixed paraffin-embedded sections) - Anti-VAMP4 antibody [EPR25066-77] (AB290726)

Immunohistochemical analysis of paraffin-embedded Mouse cerebrum tissue labelling VAMP4 with ab290726 at 1/500 (1.102 ug/ml) followed by a ready to use LeicaDS9800 (BONDTM Polymer Refine Detection). Cytoplasmic staining on mouse cerebrum (PMID : 16506193). The section was incubated with ab290726 for 30 mins at room temperature. The immunostaining was performed on a Leica Biosystems BOND® RX instrument Counterstained with Hematoxylin.

Secondary antibody only control : Secondary antibody is a ready to use LeicaDS9800 (BONDTM Polymer Refine Detection) was used.

Heat mediated antigen retrieval with Tris-EDTA buffer (pH 9.0, epitope retrieval solution2) for 20 mins

Immunohistochemistry (Frozen sections) - Anti-VAMP4 antibody [EPR25066-77] (AB290726)
  • IHC-Fr

Supplier Data

Immunohistochemistry (Frozen sections) - Anti-VAMP4 antibody [EPR25066-77] (AB290726)

Immunohistochemical analysis of 4% PFA-fixed, 0.2% Triton X-100 permeabilized frozen Rat testis (fresh) tissue labeling VAMP4 with ab290726 at 1/500 (1.102 ug/ml) dilution followed by ab150081 Goat Anti-Rabbit IgG H&L (Alexa Fluor® 488) preadsorbed at 1/1000 (2 μg/mL) dilution (Green). Positive staining on rat testis is observed. The nuclear counterstain was DAPI (Blue).

Secondary antibody control : Secondary antibody is ab150081 Goat Anti-Rabbit IgG H&L (Alexa Fluor® 488) preadsorbed at 1/1000 (2 μg/mL) dilution.

Immunohistochemistry (Frozen sections) - Anti-VAMP4 antibody [EPR25066-77] (AB290726)
  • IHC-Fr

Supplier Data

Immunohistochemistry (Frozen sections) - Anti-VAMP4 antibody [EPR25066-77] (AB290726)

Immunohistochemical analysis of 4% PFA-fixed, 0.2% Triton X-100 permeabilized frozen Mouse testis (fresh) tissue labeling VAMP4 with ab290726 at 1/500 (1.102 ug/ml) dilution followed by ab150081 Goat Anti-Rabbit IgG H&L (Alexa Fluor® 488) preadsorbed at 1/1000 (2 μg/mL) dilution (Green). Positive staining on mouse testis is observed. The nuclear counterstain was DAPI (Blue).

Secondary antibody control : Secondary antibody is ab150081 Goat Anti-Rabbit IgG H&L (Alexa Fluor® 488) preadsorbedat 1/1000 (2 μg/mL) dilution.

Immunohistochemistry (Formalin/PFA-fixed paraffin-embedded sections) - Anti-VAMP4 antibody [EPR25066-77] (AB290726)
  • IHC-P

Supplier Data

Immunohistochemistry (Formalin/PFA-fixed paraffin-embedded sections) - Anti-VAMP4 antibody [EPR25066-77] (AB290726)

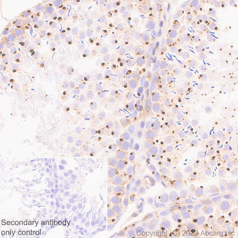
Immunohistochemical analysis of paraffin-embedded Rat testis tissue labelling VAMP4 with ab290726 at 1/500 (1.102 ug/ml) followed by a ready to use LeicaDS9800 (BONDTM Polymer Refine Detection). Cytoplasmic staining on rat testis. The section was incubated with ab290726 for 30 mins at room temperature. The immunostaining was performed on a Leica Biosystems BOND® RX instrument Counterstained with Hematoxylin.

Secondary antibody only control : Secondary antibody is a ready to use LeicaDS9800 (BONDTM Polymer Refine Detection).

Heat mediated antigen retrieval with Tris-EDTA buffer (pH 9.0, epitope retrieval solution2) for 20 mins

Immunohistochemistry (Formalin/PFA-fixed paraffin-embedded sections) - Anti-VAMP4 antibody [EPR25066-77] (AB290726)
  • IHC-P

Supplier Data

Immunohistochemistry (Formalin/PFA-fixed paraffin-embedded sections) - Anti-VAMP4 antibody [EPR25066-77] (AB290726)

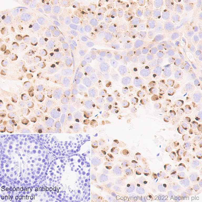
Immunohistochemical analysis of paraffin-embedded Mouse testis tissue labelling VAMP4 with ab290726 at 1/500 (1.102 ug/ml) followed by a ready to use LeicaDS9800 (BONDTM Polymer Refine Detection). Cytoplasmic staining on mouse testis. The section was incubated with ab290726 for 30 mins at room temperature. The immunostaining was performed on a Leica Biosystems BOND® RX instrument Counterstained with Hematoxylin.

Secondary antibody only control : Secondary antibody is a ready to use LeicaDS9800 (BONDTM Polymer Refine Detection) was used.

Heat mediated antigen retrieval with Tris-EDTA buffer (pH 9.0, epitope retrieval solution2) for 20 mins

Immunohistochemistry (Formalin/PFA-fixed paraffin-embedded sections) - Anti-VAMP4 antibody [EPR25066-77] (AB290726)
  • IHC-P

Supplier Data

Immunohistochemistry (Formalin/PFA-fixed paraffin-embedded sections) - Anti-VAMP4 antibody [EPR25066-77] (AB290726)

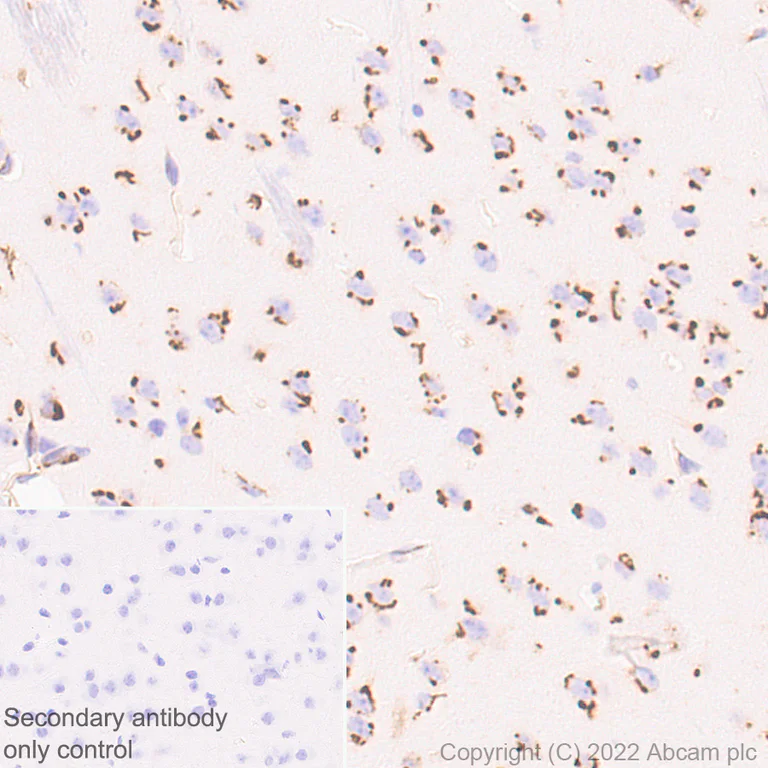
Immunohistochemical analysis of paraffin-embedded Rat cerebrum tissue labelling VAMP4 with ab290726 at 1/500 (1.102 ug/ml) followed by a ready to use LeicaDS9800 (BONDTM Polymer Refine Detection) was used. Cytoplasmic staining on rat cerebrum. The section was incubated with ab290726 for 30 mins at room temperature.The immunostaining was performed on a Leica Biosystems BOND® RX instrument Counterstained with Hematoxylin.

Secondary antibody only control : Secondary antibody is a ready to use LeicaDS9800 (BONDTM Polymer Refine Detection).

Heat mediated antigen retrieval with Tris-EDTA buffer (pH 9.0, epitope retrieval solution2) for 20 mins

Immunocytochemistry/ Immunofluorescence - Anti-VAMP4 antibody [EPR25066-77] (AB290726)
  • ICC/IF

Supplier Data

Immunocytochemistry/ Immunofluorescence - Anti-VAMP4 antibody [EPR25066-77] (AB290726)

Immunofluorescent analysis of 4% Paraformaldehyde-fixed, 0.1% TritonX-100 permeilized RAW 264.7 (mouse Abelson murine leukemia virus-induced tumor macrophage) cells lebelling VAMP4 with ab290726 at 1/50 (11.02 ug/ml) dilution, followed by ab150081 Goat Anti-Rabbit IgG H&L (Alexa Fluor® 488) preadsorbed antibody at 1/1000 (2 ug/ml) dilution (Green). Confocal image showing cytoplasmic staining in RAW 264.7 cell line is observed. ab195889 Anti-alpha Tubulin mouse monoclonal antibody - Microtubule Marker (Alexa Fluor® 594) was used to counterstain tubulin at 1/200 (2.5 ug/ml) dilution (Red). The Nuclear counterstain was DAPI (Blue).

Secondary antibody only control : Secondary antibody is ab150081 Goat Anti-Rabbit IgG H&L (Alexa Fluor® 488) preadsorbed at 1/1000 (2 ug/ml) dilution.

Flow Cytometry (Intracellular) - Anti-VAMP4 antibody [EPR25066-77] (AB290726)
  • Flow Cyt (Intra)

Supplier Data

Flow Cytometry (Intracellular) - Anti-VAMP4 antibody [EPR25066-77] (AB290726)

Intracellular flow cytometric analysis of 4% paraformaldehyde fixed 90% methanol permeabilized RAW 264.7 (Mouse Abelson murine leukemia virus-induced tumor macrophage) cells labelling VAMP4 with ab290726 at 1/50 dilution (1ug) (Red) compared with a Rabbit monoclonal IgG (ab172730) (Black) isotype control and an unlabelled control (cells without incubation with primary antibody and secondary antibody) (Blue). A Goat Anti-Rabbit IgG (Alexa Fluor® 488, ab150081) at 1/2000 dilution was used as the secondary antibody.

Immunohistochemistry (Formalin/PFA-fixed paraffin-embedded sections) - Anti-VAMP4 antibody [EPR25066-77] (AB290726)
  • IHC-P

Supplier Data

Immunohistochemistry (Formalin/PFA-fixed paraffin-embedded sections) - Anti-VAMP4 antibody [EPR25066-77] (AB290726)

Immunohistochemical analysis of paraffin-embedded Human cerebrum tissue labelling VAMP4 with ab290726 at 1/500 (1.102 ug/ml) followed by a ready to use LeicaDS9800 (BONDTM Polymer Refine Detection). Cytoplasmic staining on human cerebrum.The section was incubated with ab290726 for 30 mins at room temperature. The immunostaining was performed on a Leica Biosystems BOND® RX instrument Counterstained with Hematoxylin.

Secondary antibody only control : Secondary antibody is a ready to use LeicaDS9800 (BONDTM Polymer Refine Detection) was used.

Heat mediated antigen retrieval with Tris-EDTA buffer (pH 9.0, epitope retrieval solution2) for 20 mins

Immunohistochemistry (Frozen sections) - Anti-VAMP4 antibody [EPR25066-77] (AB290726)
  • IHC-Fr

Supplier Data

Immunohistochemistry (Frozen sections) - Anti-VAMP4 antibody [EPR25066-77] (AB290726)

Immunohistochemical analysis of 4% PFA-fixed, 0.2% Triton X-100 permeabilized frozen Rat skeletal muscle (fresh) tissue labeling VAMP4 with ab290726 at 1/500 (1.102 ug/ml) dilution followed by ab150081 Goat Anti-Rabbit IgG H&L (Alexa Fluor® 488) preadsorbed at 1/1000 (2 μg/mL) dilution (Green). Negative control (PMID : 10359608). No staining on rat skeletal muscle is observed. The nuclear counterstain was DAPI (Blue).

Secondary antibody control : Secondary antibody is ab150081 Goat Anti-Rabbit IgG H&L (Alexa Fluor® 488) preadsorbedat 1/1000 (2 μg/mL) dilution.

Immunoprecipitation - Anti-VAMP4 antibody [EPR25066-77] (AB290726)
  • IP

Supplier Data

Immunoprecipitation - Anti-VAMP4 antibody [EPR25066-77] (AB290726)

VAMP4 was immunoprecipitated from 0.35 mg 293T (human embryonic kidney epithelial cell) whole cell lysate 10 ug with ab290726 at 1/30 dilution (2ug in 0.35mg lysates). Western blot was performed on the immunoprecipitate using ab290726 at 1/1000 dilution. VeriBlot for IP secondary antibody(HRP)(ab131366) was used at 1/5000 dilution.

Lane 1 : 293T (human embryonic kidney epithelial cell) whole cell lysate 10 ug

Lane 2 : ab290726 IP in 293T whole cell lysate

Lane 3 : Rabbit monoclonal IgG (ab172730) instead of ab290726 in 293T whole cell lysate

Blocking and dilution buffer and concentration : 5% NFDM/TBST.

Exposure time : 93 seconds

All lanes:

Immunoprecipitation - Anti-VAMP4 antibody [EPR25066-77] (ab290726)

Predicted band size: 16 kDa

false

Immunoprecipitation - Anti-VAMP4 antibody [EPR25066-77] (AB290726)
  • IP

Supplier Data

Immunoprecipitation - Anti-VAMP4 antibody [EPR25066-77] (AB290726)

VAMP4 was immunoprecipitated from 0.35 mg RAW264.7 (mouse Abelson murine leukemia virus-induced tumor macrophage) whole cell lysate 10 ug with ab290726 at 1/30 dilution (2ug in 0.35mg lysates). Western blot was performed on the immunoprecipitate using ab290726 at 1/1000 dilution. VeriBlot for IP secondary antibody(HRP)(ab131366) was used at 1/5000 dilution.

Lane 1 : RAW264.7 (mouse Abelson murine leukemia virus-induced tumor macrophage) whole cell lysate 10 ug

Lane 2 : ab290726 IP in RAW264.7 whole cell lysate

Lane 3 : Rabbit monoclonal IgG (ab172730) instead of ab290726 in RAW264.7 whole cell lysate

Blocking and dilution buffer and concentration : 5% NFDM/TBST.

Exposure time : 93 seconds

All lanes:

Immunoprecipitation - Anti-VAMP4 antibody [EPR25066-77] (ab290726)

Predicted band size: 16 kDa

false

Western blot - Anti-VAMP4 antibody [EPR25066-77] (AB290726)
  • WB

Lab

Western blot - Anti-VAMP4 antibody [EPR25066-77] (AB290726)

Blocking / Dilution buffer and concentration : 5% NFDM/TBST

The expression profile/molecular weight observed is consistent with that described in the literature (PMID : 10359608).

All lanes:

Western blot - Anti-VAMP4 antibody [EPR25066-77] (ab290726) at 1/1000 dilution

Lane 1:

SH-SY5Y (human neuroblastoma epithelial cell) whole cell lysate. at 20 µg

Lane 2:

Human testis tissue lysate. at 20 µg

Secondary

All lanes:

Goat Anti-Rabbit IgG (HRP) with minimal cross-reactivity with human IgG at 1/2000 dilution

Predicted band size: 16 kDa

Observed band size: 18 kDa

false

Exposure time: 3min

Western blot - Anti-VAMP4 antibody [EPR25066-77] (AB290726)
  • WB

Lab

Western blot - Anti-VAMP4 antibody [EPR25066-77] (AB290726)

Blocking / Dilution buffer and concentration : 5% NFDM/TBST

The expression profile/molecular weight observed is consistent with that described in the literature (PMID : 10359608).

All lanes:

Western blot - Anti-VAMP4 antibody [EPR25066-77] (ab290726) at 1/1000 dilution

Lane 1:

C6 (rat glial tumor glial cell) whole cell lysate. at 20 µg

Lane 2:

RAW264.7 (mouse Abelson murine leukemia virus-induced tumor macrophage) whole cell lysate. at 20 µg

Lane 3:

PC-12 (rat adrenal gland pheochromocytoma) whole cell lysate. at 20 µg

Lane 4:

NIH/3T3 (mouse embryonic fibroblast) whole cell lysate. at 20 µg

Secondary

All lanes:

Western blot - Goat Anti-Rabbit IgG H&L (HRP) (<a href='/en-us/products/secondary-antibodies/goat-rabbit-igg-h-l-hrp-ab97051'>ab97051</a>) at 1/100000 dilution

Predicted band size: 16 kDa

Observed band size: 18 kDa

false

Exposure time: 3min

Western blot - Anti-VAMP4 antibody [EPR25066-77] (AB290726)
  • WB

Lab

Western blot - Anti-VAMP4 antibody [EPR25066-77] (AB290726)

Blocking / Dilution buffer and concentration : 5% NFDM/TBST

The expression profile/molecular weight observed is consistent with that described in the literature (PMID : 10359608).
Negative control : skeletal muscle (PMID : 10359608)

All lanes:

Western blot - Anti-VAMP4 antibody [EPR25066-77] (ab290726) at 1/1000 dilution

Lane 1:

Mouse brain tissue lysate. at 20 µg

Lane 2:

Mouse testis tissue lysate. at 20 µg

Lane 3:

Mouse skeletal muscle tissue lysate. at 20 µg

Lane 4:

Rat brain tissue lysate. at 20 µg

Lane 5:

Rat testis tissue lysate. at 20 µg

Lane 6:

Rat skeletal muscle tissue lysate. at 20 µg

Secondary

All lanes:

Western blot - Goat Anti-Rabbit IgG H&L (HRP) (<a href='/en-us/products/secondary-antibodies/goat-rabbit-igg-h-l-hrp-ab97051'>ab97051</a>) at 1/100000 dilution

Predicted band size: 16 kDa

Observed band size: 18 kDa

false

Exposure time: 3min

Western blot - Anti-VAMP4 antibody [EPR25066-77] (AB290726)
  • WB

Lab

Western blot - Anti-VAMP4 antibody [EPR25066-77] (AB290726)

Blocking / Dilution buffer and concentration : 5% NFDM/TBST

The expression profile/molecular weight observed is consistent with that described in the literature (PMID : 10359608).

All lanes:

Western blot - Anti-VAMP4 antibody [EPR25066-77] (ab290726) at 1/1000 dilution

Lane 1:

Jurkat (human T cell leukemia T lymphocyte) whole cell lysate. at 40 µg

Lane 2:

K-562 (human chronic myelogenous leukemia lymphoblast) whole cell lysate at 40 µg

Lane 3:

293T (human embryonic kidney epithelial cell) whole cell lysate. at 40 µg

Lane 4:

HeLa (human cervix adenocarcinoma epithelial cell) whole cell lysate. at 40 µg

Secondary

All lanes:

Western blot - Goat Anti-Rabbit IgG H&L (HRP) (<a href='/en-us/products/secondary-antibodies/goat-rabbit-igg-h-l-hrp-ab97051'>ab97051</a>) at 1/100000 dilution

Predicted band size: 16 kDa

Observed band size: 18 kDa

false

Exposure time: 3min

Key facts

Host species

Rabbit

Clonality

Monoclonal

Clone number

EPR25066-77

Isotype

IgG

Carrier free

No

Reacts with

Human, Mouse, Rat

Applications

WB, IHC-Fr, IP, ICC/IF, IHC-P, Flow Cyt (Intra)

applications

Immunogen

The exact immunogen used to generate this antibody is proprietary information.

Reactivity data

{ "title": "Reactivity Data", "filters": { "stats": ["", "Species", "Dilution Info", "Notes"], "tabs": { "all-applications": {"fullname" : "All Applications", "shortname": "All Applications"}, "ICCIF" : {"fullname" : "Immunocytochemistry/ Immunofluorescence", "shortname":"ICC/IF"}, "IP" : {"fullname" : "Immunoprecipitation", "shortname":"IP"}, "WB" : {"fullname" : "Western blot", "shortname":"WB"}, "IHCFr" : {"fullname" : "Immunohistochemistry (Frozen sections)", "shortname":"IHC-Fr"}, "FlowCytIntra" : {"fullname" : "Flow Cytometry (Intracellular)", "shortname":"Flow Cyt (Intra)"}, "IHCP" : {"fullname" : "Immunohistochemistry (Formalin/PFA-fixed paraffin-embedded sections)", "shortname":"IHC-P"} }, "product-promise": { "all": "all", "testedAndGuaranteed": "tested", "guaranteed": "expected", "predicted": "predicted", "notRecommended": "not-recommended" } }, "values": { "Human": { "ICCIF-species-checked": "notRecommended", "ICCIF-species-dilution-info": "1/50", "ICCIF-species-notes": "<p></p>", "IP-species-checked": "testedAndGuaranteed", "IP-species-dilution-info": "1/30", "IP-species-notes": "<p></p>", "WB-species-checked": "testedAndGuaranteed", "WB-species-dilution-info": "1/1000", "WB-species-notes": "<p></p>", "IHCFr-species-checked": "guaranteed", "IHCFr-species-dilution-info": "", "IHCFr-species-notes": "", "FlowCytIntra-species-checked": "testedAndGuaranteed", "FlowCytIntra-species-dilution-info": "1/50", "FlowCytIntra-species-notes": "<p></p>", "IHCP-species-checked": "testedAndGuaranteed", "IHCP-species-dilution-info": "1/500", "IHCP-species-notes": "<p></p>" }, "Mouse": { "ICCIF-species-checked": "testedAndGuaranteed", "ICCIF-species-dilution-info": "1/50", "ICCIF-species-notes": "<p></p>", "IP-species-checked": "testedAndGuaranteed", "IP-species-dilution-info": "1/30", "IP-species-notes": "<p></p>", "WB-species-checked": "testedAndGuaranteed", "WB-species-dilution-info": "1/1000", "WB-species-notes": "<p></p>", "IHCFr-species-checked": "testedAndGuaranteed", "IHCFr-species-dilution-info": "1/500", "IHCFr-species-notes": "<p></p>", "FlowCytIntra-species-checked": "testedAndGuaranteed", "FlowCytIntra-species-dilution-info": "1/50", "FlowCytIntra-species-notes": "<p></p>", "IHCP-species-checked": "testedAndGuaranteed", "IHCP-species-dilution-info": "1/500", "IHCP-species-notes": "<p></p>" }, "Rat": { "ICCIF-species-checked": "guaranteed", "ICCIF-species-dilution-info": "", "ICCIF-species-notes": "", "IP-species-checked": "guaranteed", "IP-species-dilution-info": "", "IP-species-notes": "", "WB-species-checked": "testedAndGuaranteed", "WB-species-dilution-info": "1/1000", "WB-species-notes": "<p></p>", "IHCFr-species-checked": "testedAndGuaranteed", "IHCFr-species-dilution-info": "1/500", "IHCFr-species-notes": "<p></p>", "FlowCytIntra-species-checked": "guaranteed", "FlowCytIntra-species-dilution-info": "", "FlowCytIntra-species-notes": "", "IHCP-species-checked": "testedAndGuaranteed", "IHCP-species-dilution-info": "1/500", "IHCP-species-notes": "<p></p>" } } }

Product details

Patented technology
Our RabMAb® technology is a patented hybridoma-based technology for making rabbit monoclonal antibodies. For details on our patents, please refer to RabMAb® patents.

What are the advantages of a recombinant monoclonal antibody?
This product is a recombinant monoclonal antibody, which offers several advantages including:

  • - High batch-to-batch consistency and reproducibility
  • - Improved sensitivity and specificity
  • - Long-term security of supply
  • - Animal-free batch production

For more information, read more on recombinant antibodies.

Properties and storage information

Form
Liquid
Purification technique
Affinity purification Protein A
Storage buffer
pH: 7.2 - 7.4 Preservative: 0.01% Sodium azide Constituents: PBS, 40% Glycerol (glycerin, glycerine), 0.05% BSA
Shipped at conditions
Blue Ice
Appropriate short-term storage duration
1-2 weeks
Appropriate short-term storage conditions
+4°C
Appropriate long-term storage conditions
-20°C
Aliquoting information
Upon delivery aliquot
Storage information
Avoid freeze / thaw cycle

Supplementary information

This supplementary information is collated from multiple sources and compiled automatically.

Vesicle-associated membrane protein 4 (VAMP4) mechanically participates in cellular processes linked to vesicle transport and fusion. Known alternatively as synaptobrevin-4 VAMP4 has a molecular mass of approximately 15 kDa. It localizes within the trans-Golgi network and endosomal compartments. VAMP4 associates with membranes during the trafficking of proteins and plays a significant role in regulating the fusion of vesicles with specific intracellular compartments.
Biological function summary

VAMP4 functions in mediating intracellular transport and fusion events and it is part of the SNARE complex. This complex facilitates the precise docking and fusion of vesicles a necessary process for maintaining cellular homeostasis. By partnering with other SNARE proteins VAMP4 controls the release and sorting of vesicular contents which is important for normal cell functions. Its action ensures that vesicles deliver their cargo to the correct location within the cell.

Pathways

The role of VAMP4 integrates into the broader network of intracellular trafficking pathways. It is especially significant in the Golgi-endosomal transport pathway and plays a coordinating role with other SNARE proteins like syntaxin and SNAP-23. Its interactions ensure vesicles reach their intended destinations within these pathways aiding in effective transport and fusion across cellular compartments.

VAMP4 connects with several neuropathological conditions such as Alzheimer’s disease and Parkinson’s disease. Alterations in VAMP4 expression or function can disturb vesicular transport and fusion contributing to the accumulation of misfolded proteins. Such imbalances often result in neuronal dysfunction. VAMP4 also interacts with proteins like alpha-synuclein which further links it to neurodegenerative disease pathways where improper vesicle traffic plays a significant role.

Product protocols

For this product, it's our understanding that no specific protocols are required. You can visit:

Target data

Involved in the pathway that functions to remove an inhibitor (probably synaptotagmin-4) of calcium-triggered exocytosis during the maturation of secretory granules. May be a marker for this sorting pathway that is critical for remodeling the secretory response of granule.
See full target information VAMP4

Product promise

We are committed to supporting your work with high-quality reagents, and we're here for you every step of the way. In the unlikely event that one of our products does not perform as expected, you're protected by our Product Promise.
For full details, please see our Terms & Conditions

Please note: All products are 'FOR RESEARCH USE ONLY. NOT FOR USE IN DIAGNOSTIC OR THERAPEUTIC PROCEDURES'.

For licensing inquiries, please contact partnerships@abcam.com