JavaScript is disabled in your browser. Please enable JavaScript to view this website.
AB76021

Anti-VAMP8/EDB antibody [EP2629Y]

5

(1 Review)

|

(43 Publications)

Rabbit Recombinant Monoclonal VAMP8/EDB antibody. Suitable for IHC-P, IP, WB, ICC/IF, Flow Cyt (Intra) and reacts with Human, Rat, Mouse samples. Cited in 43 publications.

View Alternative Names

Vesicle-associated membrane protein 8, VAMP-8, Endobrevin, EDB, VAMP8

11 Images
Immunohistochemistry (Formalin/PFA-fixed paraffin-embedded sections) - Anti-VAMP8/EDB antibody [EP2629Y] (AB76021)
  • IHC-P

Unknown

Immunohistochemistry (Formalin/PFA-fixed paraffin-embedded sections) - Anti-VAMP8/EDB antibody [EP2629Y] (AB76021)

Immunohistochemistry (Formalin/PFA-fixed paraffin-embedded sections) analysis of human brain tissue labelling VAMP8/EDB with unpurified ab76021 at a dilution of 1/100. A HRP/AP polymerized secondary antibody was used.

Perform heat mediated antigen retrieval before commencing with IHC staining protocol.

Immunohistochemistry (Formalin/PFA-fixed paraffin-embedded sections) - Anti-VAMP8/EDB antibody [EP2629Y] (AB76021)
  • IHC-P

Lab

Immunohistochemistry (Formalin/PFA-fixed paraffin-embedded sections) - Anti-VAMP8/EDB antibody [EP2629Y] (AB76021)

Immunohistochemistry (Formalin/PFA-fixed paraffin-embedded sections) analysis of human kidney tissue labelling VAMP8/EDB with purified ab76021 at a dilution of 1/250. Heat mediated antigen retrieval was performed using EDTA buffer pH 9. ab97051, a HRP-conjugated goat anti-rabbit IgG (H+L) was used as the secondary antibody (1/500). Negative control using PBS instead of primary antibody. Counterstained with hematoxylin.

Immunohistochemistry (Formalin/PFA-fixed paraffin-embedded sections) - Anti-VAMP8/EDB antibody [EP2629Y] (AB76021)
  • IHC-P

PubMed

Immunohistochemistry (Formalin/PFA-fixed paraffin-embedded sections) - Anti-VAMP8/EDB antibody [EP2629Y] (AB76021)

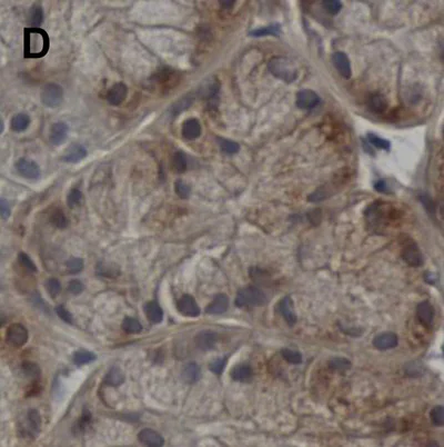
Immunohistochemical analysis of Human lacrimal gland tissue staining VAMP8/EDB with unpurified ab76021.

Antigen retrieval was performed using antigen retrieval solution in a microwave. Sections were blocked with 10 goat serum for 30 minutes and incubated with primary antibody (1/100) overnight at 4°C. Staining was detected using DAB.

Image from Kamoi M et al., PLoS One. 2012;7(9):e43688. doi: 10.1371/journal.pone.0043688. Epub 2012 Sep 4. Fig 4.; doi:10.1371/journal.pone.0043688; September 4, 2012, PLoS ONE 7(9): e43688.

Flow Cytometry (Intracellular) - Anti-VAMP8/EDB antibody [EP2629Y] (AB76021)
  • Flow Cyt (Intra)

Lab

Flow Cytometry (Intracellular) - Anti-VAMP8/EDB antibody [EP2629Y] (AB76021)

Intracellular Flow Cytometry analysis of HeLa cells labelling VAMP8/EDB with purified ab76021 at a dilution of 1/150 (red). Cells were fixed with 4% paraformaldehyde. An Alexa Fluorr® 488-conjugated goat anti-rabbit IgG (1/500) was used as the secondary antibody. Black - Isotype control, rabbit monoclonal IgG. Blue - Unlabelled control, cells without incubation with primary and secondary antibodies.

Immunoprecipitation - Anti-VAMP8/EDB antibody [EP2629Y] (AB76021)
  • IP

Lab

Immunoprecipitation - Anti-VAMP8/EDB antibody [EP2629Y] (AB76021)

ab76021 (purified) at 1/50 immunoprecipitating VAMP8/EDB in HEK293 whole cell lysate.

Lane 1 (input) : HEK293 whole cell lysate (10μg)

Lane 2 (+) : ab76021 + HEK293 whole cell lysate.

Lane 3 (-) : Rabbit monoclonal IgG (ab172730) instead of ab76021 in HEK293 whole cell lysate.

For western blotting, VeriBlot for IP Detection Reagent (HRP) (ab131366), was used for detection at 1/10,000 dilution.

Blocking buffer and concentration : 5% NFDM/TBST.

Diluting buffer and concentration : 5% NFDM /TBST.

All lanes:

Immunoprecipitation - Anti-VAMP8/EDB antibody [EP2629Y] (ab76021)

Predicted band size: 11 kDa

Observed band size: 15 kDa

false

Immunocytochemistry/ Immunofluorescence - Anti-VAMP8/EDB antibody [EP2629Y] (AB76021)
  • ICC/IF

Lab

Immunocytochemistry/ Immunofluorescence - Anti-VAMP8/EDB antibody [EP2629Y] (AB76021)

Immunocytochemistry/Immunofluorescence analysis of PC-12 cells labelling VAMP8/EDB with purified ab76021 at a dilution of 1/100. Cells were fixed with 100% methanol and permeabilized with 0.1% Triton X-100. ab150077, an Alexa Fluor® 488-conjugated goat anti-rabbit IgG (1/1000) was used as the secondary antibody. DAPI (blue) was used as the nuclear counterstain. ab7291, a mouse anti-tubulin (1/1000) and ab150120, an Alexa Fluor® 594-conjugated goat anti-mouse IgG (1/1000) were also used.

Control 1 : primary antibody (1/100) and secondary antibody, ab150120, an Alexa Fluor® 594-conjugated goat anti-mouse IgG (1/1000).

Control 2 : ab7291 (1/1000) and secondary antibody, ab150077, an Alexa Fluor® 488-conjugated goat anti-rabbit IgG (1/1000).

Western blot - Anti-VAMP8/EDB antibody [EP2629Y] (AB76021)
  • WB

Unknown

Western blot - Anti-VAMP8/EDB antibody [EP2629Y] (AB76021)

All lanes:

Western blot - Anti-VAMP8/EDB antibody [EP2629Y] (ab76021) at 1/20000 dilution

Lane 1:

293T cell lysate at 10 µg

Lane 2:

HeLa cell lysate at 10 µg

Lane 3:

PC12 cell lysate at 10 µg

Secondary

All lanes:

HRP-conjugated goat anti-rabbit IgG at 1/2000 dilution

Predicted band size: 11 kDa

Observed band size: 17 kDa

false

Western blot - Anti-VAMP8/EDB antibody [EP2629Y] (AB76021)
  • WB

Lab

Western blot - Anti-VAMP8/EDB antibody [EP2629Y] (AB76021)

Blocking and dilution buffer : 5% NFDM/TBST.

All lanes:

Western blot - Anti-VAMP8/EDB antibody [EP2629Y] (ab76021) at 1/10000 dilution

Lane 1:

HEK293 whole cell lysate at 20 µg

Lane 2:

HeLa whole cell lysate at 20 µg

Secondary

All lanes:

Western blot - Goat Anti-Rabbit IgG H&L (HRP) (<a href='/en-us/products/secondary-antibodies/goat-rabbit-igg-h-l-hrp-ab97051'>ab97051</a>) at 1/20000 dilution

Predicted band size: 11 kDa

Observed band size: 15 kDa

false

Western blot - Anti-VAMP8/EDB antibody [EP2629Y] (AB76021)
  • WB

Lab

Western blot - Anti-VAMP8/EDB antibody [EP2629Y] (AB76021)

False colour image of Western blot : Anti-VAMP8/EDB antibody [EP2629Y] staining at 1/10000 dilution, shown in green; Mouse anti-Alpha Tubulin [DM1A] (ab7291) loading control staining at 1/20000 dilution, shown in red. In Western blot, ab76021 was shown to bind specifically to VAMP8/EDB. A band was observed at 11 kDa in wild-type HEK-293T cell lysates with no signal observed at this size in VAMP8 knockout cell line ab266293 (knockout cell lysate ab257791). To generate this image, wild-type and VAMP8 knockout HEK-293T cell lysates were analysed. First, samples were run on an SDS-PAGE gel then transferred onto a nitrocellulose membrane. Membranes were blocked in 3 % milk in TBS-0.1 % Tween® 20 (TBS-T) before incubation with primary antibodies overnight at 4°C. Blots were washed four times in TBS-T, incubated with secondary antibodies for 1 h at room temperature, washed again four times then imaged.Secondary antibodies used were Goat anti-Rabbit IgG H&L (IRDye® 800CW) preabsorbed (ab216773) and Goat anti-Mouse IgG H&L (IRDye® 680RD) preabsorbed (ab216776) at 1/20000 dilution.

All lanes:

Western blot - Anti-VAMP8/EDB antibody [EP2629Y] (ab76021) at 1/10000 dilution

Lane 1:

Western blot - Human VAMP8 (EDB) knockout HEK-293T cell lysate (<a href='/en-us/products/cell-lysates/human-vamp8-edb-knockout-hek-293t-cell-lysate-ab257791'>ab257791</a>)

Lane 1:

Wild-type HEK-293T cell lysate at 20 µg

Lane 2:

VAMP8 knockout HEK-293T cell lysate at 20 µg

Lane 2:

Western blot - Human VAMP8 (EDB) knockout HEK-293T cell line (<a href='/en-us/products/cell-lines/human-vamp8-edb-knockout-hek-293t-cell-line-ab266293'>ab266293</a>)

Predicted band size: 11 kDa

Observed band size: 11 kDa

false

Western blot - Anti-VAMP8/EDB antibody [EP2629Y] (AB76021)
  • WB

Lab

Western blot - Anti-VAMP8/EDB antibody [EP2629Y] (AB76021)

Lanes 1 - 4 : Merged signal (red and green). Green - ab76021 observed at 13 kDa. Red - loading control, ab7291 (Mouse anti-Alpha Tubulin [DM1A] observed at 55kDa.

ab76021 was shown to react with VAMP8/EDB in wild-type A431 cells in western blot. Loss of signal was observed when VAMP8 knockout sample was used. Wild-type and VAMP8 knockout A431 cell lysates were subjected to SDS-PAGE. Membranes were blocked in 3% milk in TBS-T (0.1% Tween®) before incubation with ab76021 and ab7291 (Mouse anti-Alpha Tubulin [DM1A] overnight at 4°C at a 1 in 10000 Dilution and a 1 in 20000 dilution respectively. Blots were incubated with Goat anti-Rabbit IgG H&L (IRDye® 800CW) preabsorbed (ab216773) and Goat anti-Mouse IgG H&L (IRDye® 680RD) preabsorbed (ab216776) secondary antibodies at 1 in 20000 dilution for 1 hour at room temperature before imaging.

All lanes:

Western blot - Anti-VAMP8/EDB antibody [EP2629Y] (ab76021) at 1/10000 dilution

Lane 1:

Wild-type A-431 (Human epidermoid carcinoma cell line) whole cell lysate at 20 µg

Lane 2:

VAMP8 knockout A-431 (Human epidermoid carcinoma cell line) whole cell lysate at 20 µg

Lane 2:

Western blot - Human VAMP8 (EDB) knockout A-431 cell line (<a href='/en-us/products/cell-lines/human-vamp8-edb-knockout-a-431-cell-line-ab269584'>ab269584</a>)

Lane 3:

THP-1 (Human monocytic leukemia cell line) whole cell lysate at 20 µg

Lane 4:

SH-SY5Y (Human neuroblastoma cell line from bone marrow) whole cell lysate at 20 µg

Predicted band size: 11 kDa

Observed band size: 13 kDa

false

Western blot - Anti-VAMP8/EDB antibody [EP2629Y] (AB76021)
  • WB

Lab

Western blot - Anti-VAMP8/EDB antibody [EP2629Y] (AB76021)

Blocking and dilution buffer : 5% NFDM/TBST.

All lanes:

Western blot - Anti-VAMP8/EDB antibody [EP2629Y] (ab76021) at 1/10000 dilution

Lane 1:

Rat kidney tissue lysate at 20 µg

Lane 2:

Mouse kidney tissue lysate at 20 µg

Lane 3:

RAW264.7 whole cell lysate at 20 µg

Lane 4:

NIH/3T3 whole cell lysate at 20 µg

Secondary

All lanes:

Western blot - Goat Anti-Rabbit IgG H&L (HRP) (<a href='/en-us/products/secondary-antibodies/goat-rabbit-igg-h-l-hrp-ab97051'>ab97051</a>) at 1/20000 dilution

Predicted band size: 11 kDa

Observed band size: 15 kDa

false

  • 578 PE

    PE Anti-VAMP8/EDB antibody [EP2629Y]

  • Carrier free

    Anti-VAMP8/EDB antibody [EP2629Y] - BSA and Azide free

  • 519 Alexa Fluor® 488

    Alexa Fluor® 488 Anti-VAMP8/EDB antibody [EP2629Y]

Key facts

Host species

Rabbit

Clonality

Monoclonal

Clone number

EP2629Y

Isotype

IgG

Carrier free

No

Reacts with

Mouse, Rat, Human

Applications

Flow Cyt (Intra), WB, IHC-P, ICC/IF, IP

applications

Immunogen

The exact immunogen used to generate this antibody is proprietary information.

Reactivity data

{ "title": "Reactivity Data", "filters": { "stats": ["", "Species", "Dilution Info", "Notes"], "tabs": { "all-applications": {"fullname" : "All Applications", "shortname": "All Applications"}, "IHCP" : {"fullname" : "Immunohistochemistry (Formalin/PFA-fixed paraffin-embedded sections)", "shortname":"IHC-P"}, "IP" : {"fullname" : "Immunoprecipitation", "shortname":"IP"}, "WB" : {"fullname" : "Western blot", "shortname":"WB"}, "ICCIF" : {"fullname" : "Immunocytochemistry/ Immunofluorescence", "shortname":"ICC/IF"}, "FlowCytIntra" : {"fullname" : "Flow Cytometry (Intracellular)", "shortname":"Flow Cyt (Intra)"} }, "product-promise": { "all": "all", "testedAndGuaranteed": "tested", "guaranteed": "expected", "predicted": "predicted", "notRecommended": "not-recommended" } }, "values": { "Human": { "IHCP-species-checked": "testedAndGuaranteed", "IHCP-species-dilution-info": "1/100 - 1/250", "IHCP-species-notes": "<p></p>", "IP-species-checked": "testedAndGuaranteed", "IP-species-dilution-info": "1/20 - 1/50", "IP-species-notes": "<p></p>", "WB-species-checked": "testedAndGuaranteed", "WB-species-dilution-info": "1/10000 - 1/20000", "WB-species-notes": "<p></p>", "ICCIF-species-checked": "guaranteed", "ICCIF-species-dilution-info": "", "ICCIF-species-notes": "", "FlowCytIntra-species-checked": "testedAndGuaranteed", "FlowCytIntra-species-dilution-info": "1/80 - 1/150", "FlowCytIntra-species-notes": "<p><a href='/en-us/products/primary-antibodies/rabbit-igg-monoclonal-epr25a-isotype-control-ab172730'>ab172730</a> - Rabbit monoclonal IgG, is suitable for use as an isotype control with this antibody.</p>" }, "Mouse": { "IHCP-species-checked": "guaranteed", "IHCP-species-dilution-info": "", "IHCP-species-notes": "", "IP-species-checked": "guaranteed", "IP-species-dilution-info": "", "IP-species-notes": "", "WB-species-checked": "testedAndGuaranteed", "WB-species-dilution-info": "1/10000 - 1/20000", "WB-species-notes": "<p></p>", "ICCIF-species-checked": "guaranteed", "ICCIF-species-dilution-info": "", "ICCIF-species-notes": "", "FlowCytIntra-species-checked": "guaranteed", "FlowCytIntra-species-dilution-info": "", "FlowCytIntra-species-notes": "" }, "Rat": { "IHCP-species-checked": "guaranteed", "IHCP-species-dilution-info": "", "IHCP-species-notes": "", "IP-species-checked": "guaranteed", "IP-species-dilution-info": "", "IP-species-notes": "", "WB-species-checked": "testedAndGuaranteed", "WB-species-dilution-info": "1/10000 - 1/20000", "WB-species-notes": "<p></p>", "ICCIF-species-checked": "testedAndGuaranteed", "ICCIF-species-dilution-info": "1/100 - 1/250", "ICCIF-species-notes": "<p></p>", "FlowCytIntra-species-checked": "guaranteed", "FlowCytIntra-species-dilution-info": "", "FlowCytIntra-species-notes": "" } } }

Product details

Patented technology
Our RabMAb® technology is a patented hybridoma-based technology for making rabbit monoclonal antibodies. For details on our patents, please refer to RabMAb® patents.

What are the advantages of a recombinant monoclonal antibody?
This product is a recombinant monoclonal antibody, which offers several advantages including:

  • - High batch-to-batch consistency and reproducibility
  • - Improved sensitivity and specificity
  • - Long-term security of supply
  • - Animal-free batch production

For more information, read more on recombinant antibodies.

Properties and storage information

Form
Liquid
Purification technique
Affinity purification Protein A
Storage buffer
pH: 7.2 - 7.4 Preservative: 0.01% Sodium azide Constituents: PBS, 40% Glycerol (glycerin, glycerine), 0.05% BSA
Shipped at conditions
Blue Ice
Appropriate short-term storage duration
1-2 weeks
Appropriate short-term storage conditions
+4°C
Appropriate long-term storage conditions
-20°C
Aliquoting information
Upon delivery aliquot
Storage information
Avoid freeze / thaw cycle

Supplementary information

This supplementary information is collated from multiple sources and compiled automatically.

VAMP8 also known as synaptobrevin-like protein 2 or EDB is a SNARE protein with a mass of approximately 12 kDa. This protein is widely expressed in many tissues including the lung pancreas and kidney. It plays an important role in vesicle-mediated transport where it facilitates the fusion of vesicles with target membranes as part of a larger protein complex. By participating in these membrane fusion processes the protein contributes to cellular trafficking.
Biological function summary

VAMP8 engages in vesicular transport mechanisms that support exocytosis and endocytosis processes. It forms part of the SNARE complex which is important for merging vesicles with their target compartments. Through this association VAMP8 aids the release of substances such as hormones and digestive enzymes from the cells. This process is critical for maintaining the balance and function of cellular activities across different tissues.

Pathways

VAMP8 functions in the context of the trafficking pathways that include the endocytic and exocytic pathways. It is a participant in regulated exocytosis where it interacts with other SNARE proteins like syntaxin and SNAP-25 ensuring precise membrane fusion events occur. These pathways ensure proper cellular communication and debris clearance underlining the importance of VAMP8 in general cellular homeostasis.

VAMP8 is associated with conditions like inflammatory diseases and certain exocytic disorders. Researchers have observed its involvement in conditions like pancreatitis where its regulatory function in enzyme secretion becomes apparent. VAMP8 also has connections with other disease-related proteins such as those in the SNARE family which contribute to altered secretory pathways and inflammation. Understanding the precise mechanisms of VAMP8 helps in developing therapeutic approaches to managing these disorders.

Product protocols

For this product, it's our understanding that no specific protocols are required. You can visit:

Target data

SNAREs, soluble N-ethylmaleimide-sensitive factor-attachment protein receptors, are essential proteins for fusion of cellular membranes. SNAREs localized on opposing membranes assemble to form a trans-SNARE complex, an extended, parallel four alpha-helical bundle that drives membrane fusion. VAMP8 is a SNARE involved in autophagy through the direct control of autophagosome membrane fusion with the lysososome membrane via its interaction with the STX17-SNAP29 binary t-SNARE complex (PubMed : 23217709, PubMed : 25686604). Also required for dense-granule secretion in platelets (PubMed : 12130530). Also plays a role in regulated enzyme secretion in pancreatic acinar cells (By similarity). Involved in the abscission of the midbody during cell division, which leads to completely separate daughter cells (By similarity). Involved in the homotypic fusion of early and late endosomes (By similarity). Participates also in the activation of type I interferon antiviral response through a TRIM6-dependent mechanism (PubMed : 31694946).
See full target information Vesicle-associated membrane protein 8

Publications (43)

Recent publications for all applications. Explore the full list and refine your search

Journal of orthopaedic surgery and research 20:829 PubMed40993805

2025

Comprehensive profiling of immune cell infiltration and biomarker identification in intervertebral disc degeneration.

Applications

Unspecified application

Species

Unspecified reactive species

Yuanhao Wang,Bingtao Hu,Lijun Tian,Guowang Li,Baoshan Xu

Advanced science (Weinheim, Baden-Wurttemberg, Germany) 12:e2412580 PubMed39854120

2025

Integrative Transcriptome-Wide Association Study With Expression Quantitative Trait Loci Colocalization Identifies a Causal VAMP8 Variant for Nasopharyngeal Carcinoma Susceptibility.

Applications

Unspecified application

Species

Unspecified reactive species

Yan Liang,Xiang-Yu Xiong,Guo-Wang Lin,Xiaomeng Bai,Fugui Li,Josephine Mun-Yee Ko,Yun-He Zhou,An-Yi Xu,Shu-Qiang Liu,Shuai He,Pan-Pan Wei,Qiu-Yan Chen,Lin-Quan Tang,Vivien Ya-Fan Wang,Hai-Qiang Mai,Chun-Ling Luo,Yanni Zeng,Maria Li Lung,Mingfang Ji,Jin-Xin Bei

Nature communications 16:543 PubMed39788987

2025

Deacetylated SNAP47 recruits HOPS to facilitate autophagosome-lysosome fusion independent of STX17.

Applications

Unspecified application

Species

Unspecified reactive species

Fenglei Jian,Shen Wang,Wenmin Tian,Yang Chen,Shixuan Wang,Yan Li,Cong Ma,Yueguang Rong

Journal of extracellular vesicles 13:e70002 PubMed39497621

2024

A switch from lysosomal degradation to secretory autophagy initiates osteogenic bone metastasis in prostate cancer.

Applications

Unspecified application

Species

Unspecified reactive species

Xiaoyu Wei,Mengmeng Liang,Min Deng,Ji Zheng,Fei Luo,Qinyu Ma

Autophagy 21:619-638 PubMed39477683

2024

Atractylenolide I inhibits angiogenesis and reverses sunitinib resistance in clear cell renal cell carcinoma through ATP6V0D2-mediated autophagic degradation of EPAS1/HIF2α.

Applications

Unspecified application

Species

Unspecified reactive species

Qinyu Li,Kai Zeng,Qian Chen,Chenglin Han,Xi Wang,Beining Li,Jianping Miao,Bolong Zheng,Jihong Liu,Xianglin Yuan,Bo Liu

The Journal of cell biology 223: PubMed39283311

2024

Migfilin promotes autophagic flux through direct interaction with SNAP29 and Vamp8.

Applications

Unspecified application

Species

Unspecified reactive species

Renwei Cai,Panzhu Bai,Meiling Quan,Yanyan Ding,Wenjie Wei,Chengmin Liu,Aihua Yang,Zailin Xiong,Guizhen Li,Binbin Li,Yi Deng,Ruijun Tian,Yan G Zhao,Chuanyue Wu,Ying Sun

Nature communications 14:6360 PubMed37821429

2023

C9orf72-catalyzed GTP loading of Rab39A enables HOPS-mediated membrane tethering and fusion in mammalian autophagy.

Applications

Unspecified application

Species

Unspecified reactive species

Shen Zhang,Mindan Tong,Denghao Zheng,Huiying Huang,Linsen Li,Christian Ungermann,Yi Pan,Hanyan Luo,Ming Lei,Zaiming Tang,Wan Fu,She Chen,Xiaoxia Liu,Qing Zhong

European journal of immunology 53:e2250360 PubMed37736882

2023

Methiothepin downregulates SNAP-23 and inhibits degranulation of rat basophilic leukemia cells and mouse bone marrow-derived mast cells.

Applications

Unspecified application

Species

Unspecified reactive species

Daisuke Kondo,Ruriko Suzuki,Ayako Matsumura,Hitomi Meguri,Masahiko Tanaka,Makoto Itakura,Naohide Hirashima

International journal of oral science 15:42 PubMed37723152

2023

Porphyromonas gingivalis, a periodontal pathogen, impairs post-infarcted myocardium by inhibiting autophagosome-lysosome fusion.

Applications

Unspecified application

Species

Unspecified reactive species

Yuka Shiheido-Watanabe,Yasuhiro Maejima,Shun Nakagama,Qintao Fan,Natsuko Tamura,Tetsuo Sasano

Cells 12: PubMed37759433

2023

Ubiquitin Ligase Nrdp1 Controls Autophagy-Associated Acrosome Biogenesis and Mitochondrial Arrangement during Spermiogenesis.

Applications

Unspecified application

Species

Unspecified reactive species

Zi-Yu Luo,Tian-Xia Jiang,Tao Zhang,Ping Xu,Xiao-Bo Qiu
View all publications

Product promise

We are committed to supporting your work with high-quality reagents, and we're here for you every step of the way. In the unlikely event that one of our products does not perform as expected, you're protected by our Product Promise.
For full details, please see our Terms & Conditions

Please note: All products are 'FOR RESEARCH USE ONLY. NOT FOR USE IN DIAGNOSTIC OR THERAPEUTIC PROCEDURES'.

For licensing inquiries, please contact partnerships@abcam.com