JavaScript is disabled in your browser. Please enable JavaScript to view this website.
AB227984

Anti-VAMP8/EDB antibody [EP2629Y] - BSA and Azide free

2

(1 Review)

|

(7 Publications)

Rabbit Recombinant Monoclonal VAMP8/EDB antibody. Carrier free. Suitable for IHC-P, IP, WB, ICC/IF, Flow Cyt (Intra) and reacts with Human, Mouse, Rat samples. Cited in 7 publications.

View Alternative Names

Vesicle-associated membrane protein 8, VAMP-8, Endobrevin, EDB, VAMP8

8 Images
Immunohistochemistry (Formalin/PFA-fixed paraffin-embedded sections) - Anti-VAMP8/EDB antibody [EP2629Y] - BSA and Azide free (AB227984)
  • IHC-P

PubMed

Immunohistochemistry (Formalin/PFA-fixed paraffin-embedded sections) - Anti-VAMP8/EDB antibody [EP2629Y] - BSA and Azide free (AB227984)

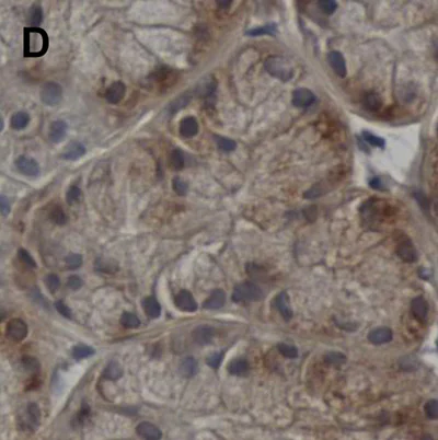
Immunohistochemical analysis of Human lacrimal gland tissue staining VAMP8/EDB with unpurified ab76021.

Antigen retrieval was performed using antigen retrieval solution in a microwave. Sections were blocked with 10 goat serum for 30 minutes and incubated with primary antibody (1/100) overnight at 4°C. Staining was detected using DAB.

This data was developed using the same antibody clone in a different buffer formulation containing PBS, BSA, glycerol, and sodium azide (ab76021).

Image from Kamoi M et al. PLoS One. 2012;7(9):e43688. doi: 10.1371/journal.pone.0043688. Epub 2012 Sep 4. Fig 4.; doi:10.1371/journal.pone.0043688; September 4 2012 PLoS ONE 7(9): e43688.

Immunohistochemistry (Formalin/PFA-fixed paraffin-embedded sections) - Anti-VAMP8/EDB antibody [EP2629Y] - BSA and Azide free (AB227984)
  • IHC-P

Unknown

Immunohistochemistry (Formalin/PFA-fixed paraffin-embedded sections) - Anti-VAMP8/EDB antibody [EP2629Y] - BSA and Azide free (AB227984)

This IHC data was generated using the same anti-VAMP8/EDB antibody clone, EP2629Y, in a different buffer formulation (cat# ab76021).

Immunohistochemistry (Formalin/PFA-fixed paraffin-embedded sections) analysis of human brain tissue labelling VAMP8/EDB with unpurified ab76021 at a dilution of 1/100. A HRP/AP polymerized secondary antibody was used.

Perform heat mediated antigen retrieval before commencing with IHC staining protocol.

Flow Cytometry (Intracellular) - Anti-VAMP8/EDB antibody [EP2629Y] - BSA and Azide free (AB227984)
  • Flow Cyt (Intra)

Lab

Flow Cytometry (Intracellular) - Anti-VAMP8/EDB antibody [EP2629Y] - BSA and Azide free (AB227984)

Intracellular Flow Cytometry analysis of HeLa cells labelling VAMP8/EDB with purified ab76021 at a dilution of 1/150 (red). Cells were fixed with 4% paraformaldehyde. An Alexa Fluor® 488-conjugated goat anti-rabbit IgG (1/500) was used as the secondary antibody. Black - Isotype control, rabbit monoclonal IgG. Blue - Unlabelled control, cells without incubation with primary and secondary antibodies.

This data was developed using the same antibody clone in a different buffer formulation containing PBS, BSA, glycerol, and sodium azide (ab76021).

Immunohistochemistry (Formalin/PFA-fixed paraffin-embedded sections) - Anti-VAMP8/EDB antibody [EP2629Y] - BSA and Azide free (AB227984)
  • IHC-P

Lab

Immunohistochemistry (Formalin/PFA-fixed paraffin-embedded sections) - Anti-VAMP8/EDB antibody [EP2629Y] - BSA and Azide free (AB227984)

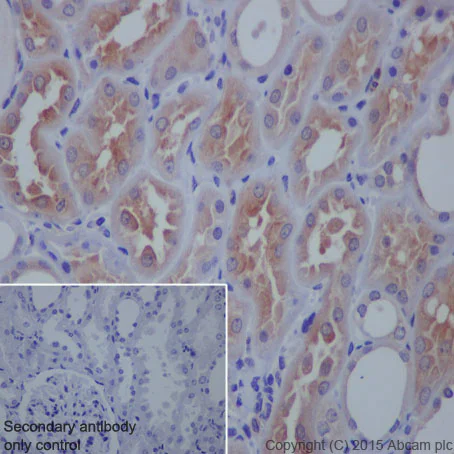
Immunohistochemistry (Formalin/PFA-fixed paraffin-embedded sections) analysis of human kidney tissue labelling VAMP8/EDB with purified ab76021 at a dilution of 1/250. Heat mediated antigen retrieval was performed using EDTA buffer pH 9. ab97051, a HRP-conjugated goat anti-rabbit IgG (H+L) was used as the secondary antibody (1/500). Negative control using PBS instead of primary antibody. Counterstained with hematoxylin.

This data was developed using the same antibody clone in a different buffer formulation containing PBS, BSA, glycerol, and sodium azide (ab76021).

Immunoprecipitation - Anti-VAMP8/EDB antibody [EP2629Y] - BSA and Azide free (AB227984)
  • IP

Lab

Immunoprecipitation - Anti-VAMP8/EDB antibody [EP2629Y] - BSA and Azide free (AB227984)

ab76021 (purified) at 1/50 immunoprecipitating VAMP8/EDB in HEK293 whole cell lysate.

Lane 1 (input) : HEK293 whole cell lysate (10μg)

Lane 2 (+) : ab76021 + HEK293 whole cell lysate.

Lane 3 (-) : Rabbit monoclonal IgG (ab172730) instead of ab76021 in HEK293 whole cell lysate.

For western blotting, VeriBlot for IP Detection Reagent (HRP) (ab131366), was used for detection at 1/10,000 dilution.

Blocking buffer and concentration : 5% NFDM/TBST.

Diluting buffer and concentration : 5% NFDM /TBST.

This data was developed using the same antibody clone in a different buffer formulation containing PBS, BSA, glycerol, and sodium azide (ab76021).

All lanes:

Immunoprecipitation - Anti-VAMP8/EDB antibody [EP2629Y] (<a href='/en-us/products/primary-antibodies/vamp8-edb-antibody-ep2629y-ab76021'>ab76021</a>)

Predicted band size: 11 kDa

Observed band size: 15 kDa

false

Immunocytochemistry/ Immunofluorescence - Anti-VAMP8/EDB antibody [EP2629Y] - BSA and Azide free (AB227984)
  • ICC/IF

Lab

Immunocytochemistry/ Immunofluorescence - Anti-VAMP8/EDB antibody [EP2629Y] - BSA and Azide free (AB227984)

Immunocytochemistry/Immunofluorescence analysis of PC-12 cells labelling VAMP8/EDB with purified ab76021 at a dilution of 1/100. Cells were fixed with 100% methanol and permeabilized with 0.1% Triton X-100. ab150077, an Alexa Fluor® 488-conjugated goat anti-rabbit IgG (1/1000) was used as the secondary antibody. DAPI (blue) was used as the nuclear counterstain. ab7291, a mouse anti-tubulin (1/1000) and ab150120, an Alexa Fluor® 594-conjugated goat anti-mouse IgG (1/1000) were also used.

Control 1 : primary antibody (1/100) and secondary antibody, ab150120, an Alexa Fluor® 594-conjugated goat anti-mouse IgG (1/1000).

Control 2 : ab7291 (1/1000) and secondary antibody, ab150077, an Alexa Fluor® 488-conjugated goat anti-rabbit IgG (1/1000).

This data was developed using the same antibody clone in a different buffer formulation containing PBS, BSA, glycerol, and sodium azide (ab76021).

Western blot - Anti-VAMP8/EDB antibody [EP2629Y] - BSA and Azide free (AB227984)
  • WB

Lab

Western blot - Anti-VAMP8/EDB antibody [EP2629Y] - BSA and Azide free (AB227984)

False colour image of Western blot : Anti-VAMP8/EDB antibody [EP2629Y] staining at 1/10000 dilution, shown in green; Mouse anti-Alpha Tubulin [DM1A] (ab7291) loading control staining at 1/20000 dilution, shown in red. In Western blot, ab76021 was shown to bind specifically to VAMP8/EDB. A band was observed at 11 kDa in wild-type HEK-293T cell lysates with no signal observed at this size in VAMP8 knockout cell line ab266293 (knockout cell lysate ab257791). To generate this image, wild-type and VAMP8 knockout HEK-293T cell lysates were analysed. First, samples were run on an SDS-PAGE gel then transferred onto a nitrocellulose membrane. Membranes were blocked in 3 % milk in TBS-0.1 % Tween® 20 (TBS-T) before incubation with primary antibodies overnight at 4°C. Blots were washed four times in TBS-T, incubated with secondary antibodies for 1 h at room temperature, washed again four times then imaged.Secondary antibodies used were Goat anti-Rabbit IgG H&L (IRDye® 800CW) preabsorbed (ab216773) and Goat anti-Mouse IgG H&L (IRDye® 680RD) preabsorbed (ab216776) at 1/20000 dilution.

All lanes:

Western blot - Anti-VAMP8/EDB antibody [EP2629Y] (<a href='/en-us/products/primary-antibodies/vamp8-edb-antibody-ep2629y-ab76021'>ab76021</a>) at 1/10000 dilution

Lane 1:

Western blot - Human VAMP8 (EDB) knockout HEK-293T cell lysate (<a href='/en-us/products/cell-lysates/human-vamp8-edb-knockout-hek-293t-cell-lysate-ab257791'>ab257791</a>)

Lane 1:

Wild-type HEK-293T cell lysate at 20 µg

Lane 2:

VAMP8 knockout HEK-293T cell lysate at 20 µg

Lane 2:

Western blot - Human VAMP8 (EDB) knockout HEK-293T cell line (<a href='/en-us/products/cell-lines/human-vamp8-edb-knockout-hek-293t-cell-line-ab266293'>ab266293</a>)

Predicted band size: 11 kDa

Observed band size: 11 kDa

false

Western blot - Anti-VAMP8/EDB antibody [EP2629Y] - BSA and Azide free (AB227984)
  • WB

Lab

Western blot - Anti-VAMP8/EDB antibody [EP2629Y] - BSA and Azide free (AB227984)

This data was developed using the same antibody clone in a different buffer formulation (ab76021).

Lanes 1 - 4 : Merged signal (red and green). Green - ab76021 observed at 13 kDa. Red - loading control, ab7291 (Mouse anti-Alpha Tubulin [DM1A] observed at 55kDa.

ab76021 was shown to react with VAMP8/EDB in wild-type A431 cells in western blot. Loss of signal was observed when VAMP8 knockout sample was used. Wild-type and VAMP8 knockout cell lysates were subjected to SDS-PAGE. Membranes were blocked in 3% milk in TBS-T (0.1% Tween®) before incubation with ab76021 and ab7291 (Mouse anti-Alpha Tubulin [DM1A] overnight at 4°C at a 1 in 10000 Dilution and a 1 in 20000 dilution respectively. Blots were incubated with Goat anti-Rabbit IgG H&L (IRDye® 800CW) preabsorbed (ab216773) and Goat anti-Mouse IgG H&L (IRDye® 680RD) preabsorbed (ab216776) secondary antibodies at 1 in 20000 dilution for 1 hour at room temperature before imaging.

All lanes:

Western blot - Anti-VAMP8/EDB antibody [EP2629Y] (<a href='/en-us/products/primary-antibodies/vamp8-edb-antibody-ep2629y-ab76021'>ab76021</a>) at 1/10000 dilution

Lane 1:

Wild-type A-431 (Human epidermoid carcinoma cell line) whole cell lysate at 20 µg

Lane 2:

VAMP8 knockout A-431 (Human epidermoid carcinoma cell line) whole cell lysate at 20 µg

Lane 2:

Western blot - Human VAMP8 (EDB) knockout A-431 cell line (<a href='/en-us/products/cell-lines/human-vamp8-edb-knockout-a-431-cell-line-ab269584'>ab269584</a>)

Lane 3:

THP-1 (Human monocytic leukemia cell line) whole cell lysate at 20 µg

Lane 4:

SH-SY5Y (Human neuroblastoma cell line from bone marrow) whole cell lysate at 20 µg

Predicted band size: 11 kDa

Observed band size: 13 kDa

false

  • Unconjugated

    Anti-VAMP8/EDB antibody [EP2629Y]

  • 578 PE

    PE Anti-VAMP8/EDB antibody [EP2629Y]

  • 519 Alexa Fluor® 488

    Alexa Fluor® 488 Anti-VAMP8/EDB antibody [EP2629Y]

Key facts

Host species

Rabbit

Clonality

Monoclonal

Clone number

EP2629Y

Isotype

IgG

Carrier free

Yes

Reacts with

Mouse, Rat, Human

Applications

IP, IHC-P, ICC/IF, WB, Flow Cyt (Intra)

applications

Immunogen

The exact immunogen used to generate this antibody is proprietary information.

Reactivity data

{ "title": "Reactivity Data", "filters": { "stats": ["", "Species", "Dilution Info", "Notes"], "tabs": { "all-applications": {"fullname" : "All Applications", "shortname": "All Applications"}, "IHCP" : {"fullname" : "Immunohistochemistry (Formalin/PFA-fixed paraffin-embedded sections)", "shortname":"IHC-P"}, "IP" : {"fullname" : "Immunoprecipitation", "shortname":"IP"}, "WB" : {"fullname" : "Western blot", "shortname":"WB"}, "ICCIF" : {"fullname" : "Immunocytochemistry/ Immunofluorescence", "shortname":"ICC/IF"}, "FlowCytIntra" : {"fullname" : "Flow Cytometry (Intracellular)", "shortname":"Flow Cyt (Intra)"} }, "product-promise": { "all": "all", "testedAndGuaranteed": "tested", "guaranteed": "expected", "predicted": "predicted", "notRecommended": "not-recommended" } }, "values": { "Human": { "IHCP-species-checked": "testedAndGuaranteed", "IHCP-species-dilution-info": "", "IHCP-species-notes": "<p></p>", "IP-species-checked": "testedAndGuaranteed", "IP-species-dilution-info": "", "IP-species-notes": "<p></p>", "WB-species-checked": "testedAndGuaranteed", "WB-species-dilution-info": "", "WB-species-notes": "<p></p>", "ICCIF-species-checked": "guaranteed", "ICCIF-species-dilution-info": "", "ICCIF-species-notes": "", "FlowCytIntra-species-checked": "testedAndGuaranteed", "FlowCytIntra-species-dilution-info": "", "FlowCytIntra-species-notes": "<p><a href='/en-us/products/primary-antibodies/rabbit-igg-monoclonal-epr25a-isotype-control-low-endotoxin-azide-free-ab199376'>ab199376</a>- Rabbit monoclonal IgG (Low endotoxin, Azide free), is suitable for use as an isotype control with this antibody.</p>" }, "Mouse": { "IHCP-species-checked": "guaranteed", "IHCP-species-dilution-info": "", "IHCP-species-notes": "", "IP-species-checked": "guaranteed", "IP-species-dilution-info": "", "IP-species-notes": "", "WB-species-checked": "testedAndGuaranteed", "WB-species-dilution-info": "", "WB-species-notes": "<p></p>", "ICCIF-species-checked": "guaranteed", "ICCIF-species-dilution-info": "", "ICCIF-species-notes": "", "FlowCytIntra-species-checked": "guaranteed", "FlowCytIntra-species-dilution-info": "", "FlowCytIntra-species-notes": "" }, "Rat": { "IHCP-species-checked": "guaranteed", "IHCP-species-dilution-info": "", "IHCP-species-notes": "", "IP-species-checked": "guaranteed", "IP-species-dilution-info": "", "IP-species-notes": "", "WB-species-checked": "testedAndGuaranteed", "WB-species-dilution-info": "", "WB-species-notes": "<p></p>", "ICCIF-species-checked": "testedAndGuaranteed", "ICCIF-species-dilution-info": "", "ICCIF-species-notes": "<p></p>", "FlowCytIntra-species-checked": "guaranteed", "FlowCytIntra-species-dilution-info": "", "FlowCytIntra-species-notes": "" } } }

Product details

ab227984 is the carrier-free version of ab76021.

Conjugation ready
Our carrier-free antibodies are typically supplied in a PBS-only formulation, purified and free of BSA, sodium azide and glycerol. This conjugation-ready format is designed for use with fluorochromes, metal isotopes, oligonucleotides, and enzymes, which makes them ideal for antibody labelling, functional and cell-based assays, flow-based assays (e.g. mass cytometry) and Multiplex Imaging applications.

Use our conjugation kits for antibody conjugates that are ready-to-use in as little as 20 minutes with 1 minute hands-on-time and 100% antibody recovery: available for fluorescent dyes, HRP, biotin and gold.

Compatibility
This product is compatible with the Maxpar® Antibody Labeling Kit from Fluidigm, without the need for antibody preparation. Maxpar® is a trademark of Fluidigm Canada Inc.

Properties and storage information

Form
Liquid
Purification technique
Affinity purification Protein A
Storage buffer
pH: 7.2 - 7.4 Constituents: PBS
Shipped at conditions
Blue Ice
Appropriate short-term storage conditions
+4°C
Appropriate long-term storage conditions
+4°C
Storage information
Do Not Freeze

Supplementary information

This supplementary information is collated from multiple sources and compiled automatically.

VAMP8 also known as synaptobrevin-like protein 2 or EDB is a SNARE protein with a mass of approximately 12 kDa. This protein is widely expressed in many tissues including the lung pancreas and kidney. It plays an important role in vesicle-mediated transport where it facilitates the fusion of vesicles with target membranes as part of a larger protein complex. By participating in these membrane fusion processes the protein contributes to cellular trafficking.
Biological function summary

VAMP8 engages in vesicular transport mechanisms that support exocytosis and endocytosis processes. It forms part of the SNARE complex which is important for merging vesicles with their target compartments. Through this association VAMP8 aids the release of substances such as hormones and digestive enzymes from the cells. This process is critical for maintaining the balance and function of cellular activities across different tissues.

Pathways

VAMP8 functions in the context of the trafficking pathways that include the endocytic and exocytic pathways. It is a participant in regulated exocytosis where it interacts with other SNARE proteins like syntaxin and SNAP-25 ensuring precise membrane fusion events occur. These pathways ensure proper cellular communication and debris clearance underlining the importance of VAMP8 in general cellular homeostasis.

VAMP8 is associated with conditions like inflammatory diseases and certain exocytic disorders. Researchers have observed its involvement in conditions like pancreatitis where its regulatory function in enzyme secretion becomes apparent. VAMP8 also has connections with other disease-related proteins such as those in the SNARE family which contribute to altered secretory pathways and inflammation. Understanding the precise mechanisms of VAMP8 helps in developing therapeutic approaches to managing these disorders.

Product protocols

For this product, it's our understanding that no specific protocols are required. You can visit:

Target data

SNAREs, soluble N-ethylmaleimide-sensitive factor-attachment protein receptors, are essential proteins for fusion of cellular membranes. SNAREs localized on opposing membranes assemble to form a trans-SNARE complex, an extended, parallel four alpha-helical bundle that drives membrane fusion. VAMP8 is a SNARE involved in autophagy through the direct control of autophagosome membrane fusion with the lysososome membrane via its interaction with the STX17-SNAP29 binary t-SNARE complex (PubMed : 23217709, PubMed : 25686604). Also required for dense-granule secretion in platelets (PubMed : 12130530). Also plays a role in regulated enzyme secretion in pancreatic acinar cells (By similarity). Involved in the abscission of the midbody during cell division, which leads to completely separate daughter cells (By similarity). Involved in the homotypic fusion of early and late endosomes (By similarity). Participates also in the activation of type I interferon antiviral response through a TRIM6-dependent mechanism (PubMed : 31694946).
See full target information Vesicle-associated membrane protein 8

Publications (7)

Recent publications for all applications. Explore the full list and refine your search

Experimental and therapeutic medicine 12:1896-1900 PubMed27588107

2016

Deep vein thrombosis is accurately predicted by comprehensive analysis of the levels of microRNA-96 and plasma D-dimer.

Applications

WB

Species

Human

Xuesheng Xie,Changpeng Liu,Wei Lin,Baoming Zhan,Changjun Dong,Zhen Song,Shilei Wang,Yingguo Qi,Jiali Wang,Zengquan Gu

The Journal of cell biology 214:275-91 PubMed27458136

2016

Syntaxin-17 delivers PINK1/parkin-dependent mitochondrial vesicles to the endolysosomal system.

Applications

Unspecified application

Species

Unspecified reactive species

Gian-Luca McLelland,Sydney A Lee,Heidi M McBride,Edward A Fon

eLife 4: PubMed26623517

2015

Sampling the conformational space of the catalytic subunit of human γ-secretase.

Applications

WB

Species

Unspecified reactive species

Xiao-chen Bai,Eeson Rajendra,Guanghui Yang,Yigong Shi,Sjors H W Scheres

The Journal of cell biology 211:587-604 PubMed26553929

2015

Cargo-selective apical exocytosis in epithelial cells is conducted by Myo5B, Slp4a, Vamp7, and Syntaxin 3.

Applications

Unspecified application

Species

Unspecified reactive species

Georg F Vogel,Katharina M C Klee,Andreas R Janecke,Thomas Müller,Michael W Hess,Lukas A Huber

Nature communications 5:3386 PubMed24577224

2014

Decreased CALM expression reduces Aβ42 to total Aβ ratio through clathrin-mediated endocytosis of γ-secretase.

Applications

Unspecified application

Species

Unspecified reactive species

Kunihiko Kanatsu,Yuichi Morohashi,Mai Suzuki,Hiromasa Kuroda,Toshio Watanabe,Taisuke Tomita,Takeshi Iwatsubo

BMC cancer 13:275 PubMed23735005

2013

Diagnostic markers of urothelial cancer based on DNA methylation analysis.

Applications

IHC-P

Species

Human

Yoshitomo Chihara,Yae Kanai,Hiroyuki Fujimoto,Kokichi Sugano,Kiyotaka Kawashima,Gangning Liang,Peter A Jones,Kiyohide Fujimoto,Hiroki Kuniyasu,Yoshihiko Hirao

PloS one 7:e43688 PubMed22962587

2012

Accumulation of secretory vesicles in the lacrimal gland epithelia is related to non-Sjögren's type dry eye in visual display terminal users.

Applications

IHC-P

Species

Human

Mizuka Kamoi,Yoko Ogawa,Shigeru Nakamura,Murat Dogru,Toshihiro Nagai,Hiroto Obata,Masataka Ito,Minako Kaido,Tetsuya Kawakita,Yasunori Okada,Yutaka Kawakami,Shigeto Shimmura,Kazuo Tsubota
View all publications

Product promise

We are committed to supporting your work with high-quality reagents, and we're here for you every step of the way. In the unlikely event that one of our products does not perform as expected, you're protected by our Product Promise.
For full details, please see our Terms & Conditions

Please note: All products are 'FOR RESEARCH USE ONLY. NOT FOR USE IN DIAGNOSTIC OR THERAPEUTIC PROCEDURES'.

For licensing inquiries, please contact partnerships@abcam.com