JavaScript is disabled in your browser. Please enable JavaScript to view this website.
AB198887

Anti-VANGL2 antibody - N-terminal

Be the first to review this product! Submit a review

|

(2 Publications)

Rabbit Polyclonal VANGL2 antibody. N-terminal. Suitable for WB, IHC-P and reacts with Mouse, Human samples. Cited in 2 publications. Immunogen corresponding to Synthetic Peptide within Human VANGL2.

View Alternative Names

KIAA1215, STB1, VANGL2, Vang-like protein 2, Loop-tail protein 1 homolog, Strabismus 1, Van Gogh-like protein 2

2 Images
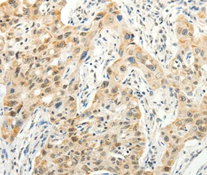
Immunohistochemistry (Formalin/PFA-fixed paraffin-embedded sections) - Anti-VANGL2 antibody - N-terminal (AB198887)
  • IHC-P

Supplier Data

Immunohistochemistry (Formalin/PFA-fixed paraffin-embedded sections) - Anti-VANGL2 antibody - N-terminal (AB198887)

Immunohistochemical analysis of paraffin-embedded Human lung cancer tissue labeling VANGL2 with ab198887 at 1/15 dilution.

Western blot - Anti-VANGL2 antibody - N-terminal (AB198887)
  • WB

Supplier Data

Western blot - Anti-VANGL2 antibody - N-terminal (AB198887)

Gel : 10% SDS-PAGE

All lanes:

Western blot - Anti-VANGL2 antibody - N-terminal (ab198887) at 1/250 dilution

All lanes:

NIH 3T3 cell lysate at 40 µg

Predicted band size: 60 kDa

true

Exposure time: 2s

Key facts

Host species

Rabbit

Clonality

Polyclonal

Isotype

IgG

Carrier free

No

Reacts with

Mouse, Human

Applications

WB, IHC-P

applications

Immunogen

Synthetic Peptide within Human VANGL2. The exact immunogen used to generate this antibody is proprietary information.

Q9ULK5

Reactivity data

{ "title": "Reactivity Data", "filters": { "stats": ["", "Species", "Dilution Info", "Notes"], "tabs": { "all-applications": {"fullname" : "All Applications", "shortname": "All Applications"}, "WB" : {"fullname" : "Western blot", "shortname":"WB"}, "IHCP" : {"fullname" : "Immunohistochemistry (Formalin/PFA-fixed paraffin-embedded sections)", "shortname":"IHC-P"} }, "product-promise": { "all": "all", "testedAndGuaranteed": "tested", "guaranteed": "expected", "predicted": "predicted", "notRecommended": "not-recommended" } }, "values": { "Human": { "WB-species-checked": "guaranteed", "WB-species-dilution-info": "", "WB-species-notes": "", "IHCP-species-checked": "testedAndGuaranteed", "IHCP-species-dilution-info": "1/15 - 1/50", "IHCP-species-notes": "<p></p>" }, "Mouse": { "WB-species-checked": "testedAndGuaranteed", "WB-species-dilution-info": "1/200 - 1/1000", "WB-species-notes": "<p></p>", "IHCP-species-checked": "guaranteed", "IHCP-species-dilution-info": "", "IHCP-species-notes": "" } } }

Properties and storage information

Form
Liquid
Purification technique
Affinity purification Immunogen
Storage buffer
pH: 7.4 Preservative: 0.05% Sodium azide Constituents: PBS, 50% Glycerol (glycerin, glycerine)
Shipped at conditions
Blue Ice
Appropriate short-term storage duration
1-2 weeks
Appropriate short-term storage conditions
+4°C
Appropriate long-term storage conditions
-20°C
Aliquoting information
Upon delivery aliquot
Storage information
Avoid freeze / thaw cycle

Supplementary information

This supplementary information is collated from multiple sources and compiled automatically.

VANGL2 also called Van Gogh-like protein 2 is a transmembrane protein involved in the planar cell polarity (PCP) pathway. It has a mass of approximately 60 kDa. This protein is expressed in various tissues including the brain heart and kidneys. In terms of mechanical function VANGL2 acts at the cell membrane to regulate cellular orientation and movement playing a central role in processes where cells need to align in a uniform direction.
Biological function summary

VANGL2 interacts with several other proteins to form the PCP complex. This complex controls the orientation of cells within the plane of a tissue. VANGL2 regulates cytoskeletal dynamics and affects cell signaling influencing important cellular processes like migration and intercellular communication. Moreover its presence is essential for the proper development and functioning of various organ systems including the neural tube and cardiac outflow tract.

Pathways

VANGL2 appears in the PCP signaling and Wnt signaling pathways. These pathways are critical in shaping tissue architecture during embryonic development. In the PCP pathway VANGL2 interacts with proteins such as Dishevelled and Prickle. In the Wnt signaling pathway VANGL2 plays a part in forwarding signals that control cell fate decisions and proliferation connecting to proteins like Frizzled and Beta-catenin.

VANGL2 has strong ties to conditions such as neural tube defects and congenital heart disease. Mutations in VANGL2 can disrupt normal developmental processes leading to these disorders. The protein interacts with SCRIB in the context of neural tube defects where misregulation can result in conditions like spina bifida. Similarly VANGL2 mutations interfere with NOTCH signaling a pathway linked to congenital heart disease illustrating its significant role in maintaining cardiovascular health.

Product protocols

For this product, it's our understanding that no specific protocols are required. You can visit:

Target data

Involved in the control of early morphogenesis and patterning of both axial midline structures and the development of neural plate. Plays a role in the regulation of planar cell polarity, particularly in the orientation of stereociliary bundles in the cochlea. Required for polarization and movement of myocardializing cells in the outflow tract and seems to act via RHOA signaling to regulate this process. Required for cell surface localization of FZD3 and FZD6 in the inner ear (By similarity).
See full target information VANGL2

Publications (2)

Recent publications for all applications. Explore the full list and refine your search

Frontiers in genetics 13:942326 PubMed35923709

2022

Comprehensive comparative analysis of histopathology and gene expression in subchondral bone between kashin-beck disease and primary osteoarthritis.

Applications

Unspecified application

Species

Unspecified reactive species

Lei Yang,Jingwen Sun,Ying Zhang,Xiong Guo,Guanghui Zhao

Thoracic cancer 11:875-887 PubMed32107851

2020

Circ-IGF1R inhibits cell invasion and migration in non-small cell lung cancer.

Applications

Unspecified application

Species

Unspecified reactive species

Zhanyu Xu,Weiwei Xiang,Wenjie Chen,Yu Sun,Fanglu Qin,Jiangbo Wei,Liqiang Yuan,Liping Zheng,Shikang Li
View all publications

Product promise

We are committed to supporting your work with high-quality reagents, and we're here for you every step of the way. In the unlikely event that one of our products does not perform as expected, you're protected by our Product Promise.
For full details, please see our Terms & Conditions

Please note: All products are 'FOR RESEARCH USE ONLY. NOT FOR USE IN DIAGNOSTIC OR THERAPEUTIC PROCEDURES'.

For licensing inquiries, please contact partnerships@abcam.com