JavaScript is disabled in your browser. Please enable JavaScript to view this website.
AB42885

Anti-VAP1 antibody

Be the first to review this product! Submit a review

|

(6 Publications)

Rabbit Polyclonal VAP1 antibody. Suitable for IHC-P, WB and reacts with Human, Mouse, Rat samples. Cited in 6 publications.

View Alternative Names

Amine oxidase [copper-containing] 3, Amine oxidase copper-containing 3, Copper amine oxidase, Semicarbazide-sensitive amine oxidase, VP97, Vascular adhesion protein 1, SSAO, VAP-1

2 Images
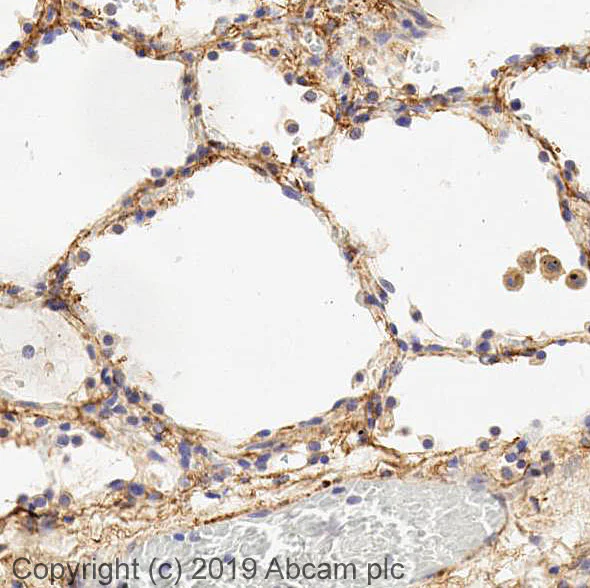
Immunohistochemistry (Formalin/PFA-fixed paraffin-embedded sections) - Anti-VAP1 antibody (AB42885)
  • IHC-P

Lab

Immunohistochemistry (Formalin/PFA-fixed paraffin-embedded sections) - Anti-VAP1 antibody (AB42885)

IHC image of VAP1 antibody staining in a section of formalin-fixed paraffin-embedded normal human lung* performed on a Leica BONDTM system using the standard protocol. The section was pre-treated using heat mediated antigen retrieval with sodium citrate buffer (pH6, epitope retrieval solution 1) for 20mins. The section was then incubated with ab42885, 1ug/ml, for 15 mins at room temperature and detected using an HRP conjugated compact polymer system. DAB was used as the chromogen. The section was then counterstained with haematoxylin and mounted with DPX.

For other IHC staining systems (automated and non-automated) customers should optimize variable parameters such as antigen retrieval conditions, primary antibody concentration and antibody incubation times.

*Tissue obtained from the Human Research Tissue Bank, supported by the NIHR Cambridge Biomedical Research Centre

Western blot - Anti-VAP1 antibody (AB42885)
  • WB

Project3104****

Western blot - Anti-VAP1 antibody (AB42885)

VAP1 has a predicted molecular weight of 85 kDa; however it has a number of potential glycosylation sites which may affect the migration of the protein (SwissProt data). The observed 100kDa band is consistent with other commercially avaliable antibodies.

All lanes:

Western blot - Anti-VAP1 antibody (ab42885) at 1 µg/mL

Lane 1:

Lung (Rat) Tissue Lysate at 10 µg

Lane 2:

Lung (Mouse) Whole Cell Lysate - normal tissue at 10 µg

Lane 3:

Lung (Human) Tissue Lysate - Fetal Normal Tissue at 10 µg

Secondary

All lanes:

IRDye 680 Conjugated Goat Anti-Rabbit IgG (H+L) at 1/10000 dilution

Predicted band size: 85 kDa

Observed band size: 100 kDa,110 kDa

false

Key facts

Host species

Rabbit

Clonality

Polyclonal

Isotype

IgG

Carrier free

No

Reacts with

Mouse, Rat, Human

Applications

IHC-P, WB

applications

Immunogen

The exact immunogen used to generate this antibody is proprietary information.

Reactivity data

{ "title": "Reactivity Data", "filters": { "stats": ["", "Species", "Dilution Info", "Notes"], "tabs": { "all-applications": {"fullname" : "All Applications", "shortname": "All Applications"}, "IHCP" : {"fullname" : "Immunohistochemistry (Formalin/PFA-fixed paraffin-embedded sections)", "shortname":"IHC-P"}, "WB" : {"fullname" : "Western blot", "shortname":"WB"} }, "product-promise": { "all": "all", "testedAndGuaranteed": "tested", "guaranteed": "expected", "predicted": "predicted", "notRecommended": "not-recommended" } }, "values": { "Human": { "IHCP-species-checked": "testedAndGuaranteed", "IHCP-species-dilution-info": "1 µg/mL", "IHCP-species-notes": "<p></p>", "WB-species-checked": "testedAndGuaranteed", "WB-species-dilution-info": "1 µg/mL", "WB-species-notes": "<p></p>" }, "Mouse": { "IHCP-species-checked": "guaranteed", "IHCP-species-dilution-info": "", "IHCP-species-notes": "", "WB-species-checked": "testedAndGuaranteed", "WB-species-dilution-info": "1 µg/mL", "WB-species-notes": "<p></p>" }, "Rat": { "IHCP-species-checked": "guaranteed", "IHCP-species-dilution-info": "", "IHCP-species-notes": "", "WB-species-checked": "testedAndGuaranteed", "WB-species-dilution-info": "1 µg/mL", "WB-species-notes": "<p></p>" } } }

You may be interested in:

AB243684

Human VAP-1 ELISA Kit

0

0 Reviews

View product

We recommend this product because it’s often used in the same experiment or related research.

We advise that you always check the datasheet to ensure it fits your experiments, or contact ourtechnical teamfor help.

Properties and storage information

Form
Liquid
Purification technique
Affinity purification Immunogen
Storage buffer
pH: 7.4 Preservative: 0.02% Sodium azide Constituents: 98.98% PBS, 1% BSA
Shipped at conditions
Blue Ice
Appropriate short-term storage duration
1-2 weeks
Appropriate short-term storage conditions
+4°C
Appropriate long-term storage conditions
-20°C
Aliquoting information
Upon delivery aliquot
Storage information
Avoid freeze / thaw cycle

Supplementary information

This supplementary information is collated from multiple sources and compiled automatically.

Vascular Adhesion Protein 1 (VAP1) also known as amine oxidase copper-containing 3 (AOC3) has a mechanical function involving its enzyme activity to catalyze oxidative deamination of primary amines to produce aldehydes hydrogen peroxide and ammonia. The protein has an approximate mass of 90 kDa. VAP1 is expressed on the surface of endothelial cells and some smooth muscle cells especially in tissues like liver lung and gut. It functions mainly in cellular adhesion processes.
Biological function summary

VAP1 plays important roles in leukocyte trafficking what makes it important for immune response and inflammation. It facilitates the adhesion and transmigration of leukocytes across the endothelium into tissues. VAP1 is part of numerous adhesion molecule networks that help regulate the immune response. Its ability to interact with diverse substrates also affects vascular function and integrity.

Pathways

VAP1 interacts with immune responses and inflammation-related pathways. It influences the leukocyte adhesion cascade which integrates with the immune cell signaling pathways. Proteins like Integrins and Selectins relate to VAP1 in these processes as they are also involved in mediating cell adhesion to the endothelial cells thereby orchestrating cell movement and positioning essential for immune defense.

VAP1 has been implicated in chronic inflammatory diseases and certain cancers. Inflammatory bowel disease is one condition where VAP1's role in leukocyte trafficking results in sustained inflammation. Additionally its elevated expression in some tumors links it to cancer progression via promoting tumor-associated inflammation. The connection between VAP1 and proteins like TNF-alpha becomes clearer in the inflammation context serving as a potential therapeutic target for modulating inflammatory and cancerous conditions.

Product protocols

For this product, it's our understanding that no specific protocols are required. You can visit:

Target data

Catalyzes the oxidative deamination of primary amines to the corresponding aldehydes with the concomitant production of hydrogen peroxide and ammonia. Has a preference for the primary monoamines methylamine and benzylamine (PubMed : 15744061). Could also act on 2-phenylethylamine but much less efficiently. At endothelial cells surface can also function as a cell adhesion protein that participates in lymphocyte extravasation and recirculation by mediating the binding of lymphocytes to peripheral lymph node vascular endothelial cells in an L-selectin-independent fashion (By similarity).
See full target information Aoc3

Publications (6)

Recent publications for all applications. Explore the full list and refine your search

Journal of neuroinflammation 18:233 PubMed34654450

2021

Inhibition of vascular adhesion protein 1 protects dopamine neurons from the effects of acute inflammation and restores habit learning in the striatum.

Applications

Unspecified application

Species

Unspecified reactive species

Serena Becchi,Alberto Buson,Bernard W Balleine

Communications biology 4:933 PubMed34413463

2021

Accumulation of formaldehyde causes motor deficits in an in vivo model of hindlimb unloading.

Applications

Unspecified application

Species

Unspecified reactive species

Dandan Yao,Qingyuan He,Shangying Bai,Hang Zhao,Jun Yang,Dehua Cui,Yan Yu,Xuechao Fei,Yufei Mei,Ye Cheng,Shi Yan,Nayan Huang,Yalan Di,Xianjie Cai,Rui Wang,Yajuan Gao,Fangxiao Cheng,Shengjie Zhao,Xu Yang,Xiang Cai,Hongbin Han,Jihui Lyu,Zhiqian Tong

Open biology 10:190035 PubMed32315567

2020

Zinc-α2-glycoprotein as an inhibitor of amine oxidase copper-containing 3.

Applications

Unspecified application

Species

Unspecified reactive species

Matthias Romauch

Tumour biology : the journal of the International Society for Oncodevelopmental Biology and Medicine 40:1010428318776822 PubMed29775160

2018

Site-specific expression of amine oxidases in breast cancer metastases.

Applications

Unspecified application

Species

Unspecified reactive species

Yoon Jin Cha,Woo Hee Jung,Ja Seung Koo

Japanese journal of ophthalmology 62:256-264 PubMed29392528

2018

Proteolytic cleavage of vascular adhesion protein-1 induced by vascular endothelial growth factor in retinal capillary endothelial cells.

Applications

Unspecified application

Species

Unspecified reactive species

Shiho Yoshida,Miyuki Murata,Kousuke Noda,Takashi Matsuda,Michiyuki Saito,Wataru Saito,Atsuhiro Kanda,Susumu Ishida

Current eye research 42:1674-1683 PubMed28937866

2017

Soluble Vascular Adhesion Protein-1 Mediates Spermine Oxidation as Semicarbazide-Sensitive Amine Oxidase: Possible Role in Proliferative Diabetic Retinopathy.

Applications

Unspecified application

Species

Unspecified reactive species

Miyuki Murata,Kousuke Noda,Akiko Kawasaki,Shiho Yoshida,Yoko Dong,Michiyuki Saito,Zhenyu Dong,Ryo Ando,Shohei Mori,Wataru Saito,Atsuhiro Kanda,Susumu Ishida
View all publications

Product promise

We are committed to supporting your work with high-quality reagents, and we're here for you every step of the way. In the unlikely event that one of our products does not perform as expected, you're protected by our Product Promise.
For full details, please see our Terms & Conditions

Associated Products

Select an associated product type
Alternative Product
Primary Antibodies

AB81673

Anti-VAP1 antibody [7-88]

primary-antibodies

vap1-antibody-7-88-ab81673

0

(0 reviews)

Alternative Product
Primary Antibodies

AB196739

Anti-VAP1 antibody

primary-antibodies

vap1-antibody-ab196739

5

(1 reviews)

Alternative Product
Primary Antibodies

AB115574

Anti-VAP1 antibody

primary-antibodies

vap1-antibody-ab115574

0

(0 reviews)

Alternative Product
Primary Antibodies

AB81718

Anti-VAP1 antibody [174-5]

primary-antibodies

vap1-antibody-174-5-ab81718

0

(0 reviews)

Alternative Product
Primary Antibodies

AB187202

Anti-VAP1 antibody

primary-antibodies

vap1-antibody-ab187202

0

(0 reviews)

Please note: All products are 'FOR RESEARCH USE ONLY. NOT FOR USE IN DIAGNOSTIC OR THERAPEUTIC PROCEDURES'.

For licensing inquiries, please contact partnerships@abcam.com