JavaScript is disabled in your browser. Please enable JavaScript to view this website.
AB317620

Anti-VAP1 antibody [EPR28748-59]

  • BOND RX™ Validated
  • Advanced Validation
  • 20ul selling size
  • Recombinant
  • RabMAb
  • What is this?

Be the first to review this product! Submit a review

|

(0 Publication)

Rabbit Recombinant Monoclonal VAP1 antibody. Suitable for WB, IHC-P, mIHC and reacts with Human, Mouse, Rat samples.

View Alternative Names

VAP1, AOC3, Amine oxidase [copper-containing] 3, Amine oxidase copper-containing 3, Copper amine oxidase, HPAO, Semicarbazide-sensitive amine oxidase, Vascular adhesion protein 1, SSAO, VAP-1

8 Images
Immunohistochemistry (Formalin/PFA-fixed paraffin-embedded sections) - Anti-VAP1 antibody [EPR28748-59] (AB317620)
  • IHC-P

Supplier Data

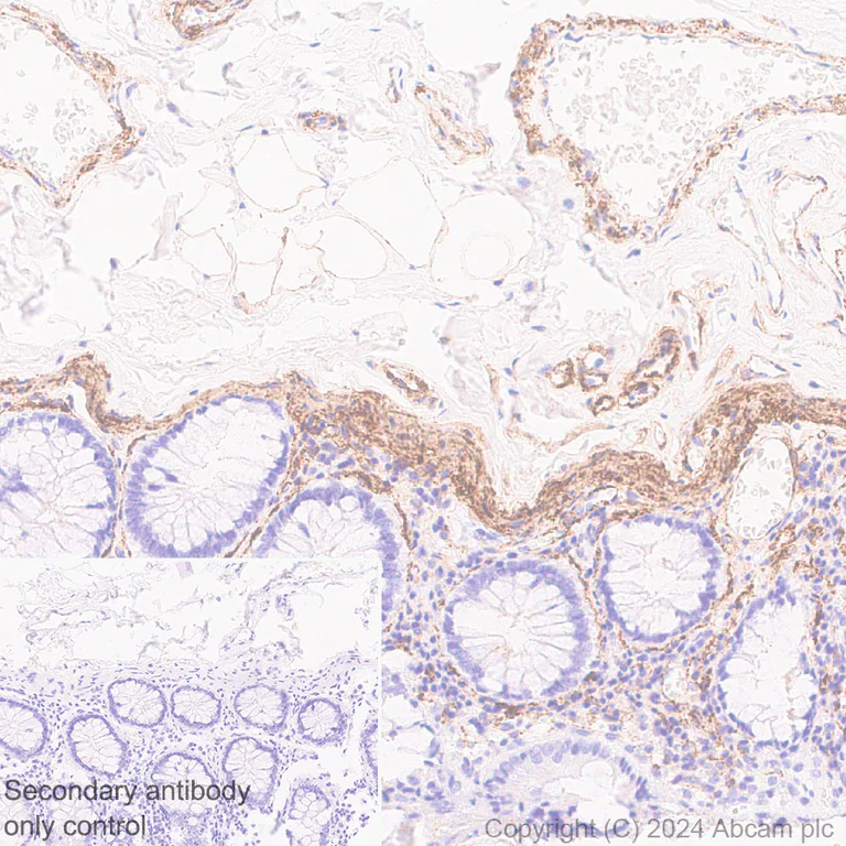
Immunohistochemistry (Formalin/PFA-fixed paraffin-embedded sections) - Anti-VAP1 antibody [EPR28748-59] (AB317620)

Immunohistochemical analysis of paraffin-embedded Human colon tissue labeling VAP1 with ab317620 at 1/1000 (0.519 ug/ml) dilution, followed by a ready to use LeicaDS9800 (Bond™ Polymer Refine Detection).

Positive staining on smooth muscle and endothelium of human colon (PMID : 26912327).
The section was incubated with ab317620 for 30 mins at room temperature.
The immunostaining was performed on a Leica Biosystems BOND® RX instrument
Incubate slides with 3% Hydrogen Peroxide for 10 mins at room temperature after secondary antibody incubation to reduce the background

Counterstained with Hematoxylin.

Secondary antibody only control : Secondary antibody is a ready to use LeicaDS9800 (Bond™ Polymer Refine Detection).

Heat mediated antigen retrieval was performed with Tris-EDTA buffer (pH 9.0, Epitope Retrieval Solution2) for 20 mins

Multiplex immunohistochemistry - Anti-VAP1 antibody [EPR28748-59] (AB317620)
  • mIHC

Lab

Multiplex immunohistochemistry - Anti-VAP1 antibody [EPR28748-59] (AB317620)

Multiplex immunohistochemistry analysis of formalin/PFA-fixed paraffin-embedded human liver tissue staining Carboxypeptidase A with ab317620 at a 1/1000 dilution, ab322202 anti-Inhibin beta E chain used at 1/2000 dilution and ab52625 anti-Cytokeratin 19 used at a 1/6000 dilution. Opal Polymer HRP Ms + Rb was used as a secondary antibody.

Panel A : merged staining of anti-VAP1 (green; Opal520), anti-Inhibin beta E chain (magenta; Opal690) and anti-Cytokeratin 19 (gray; Opal570) on human liver. Panel B : anti-VAP1 staining endothelium in human liver.
Panel C : anti-Inhibin beta E chain staining hepatocytes in human liver.
Panel D : anti-Cytokeratin 19 staining branch of bile ducts in human liver.
Nuclear DNA was labeled with DAPI (shown in blue).

The section was incubated in three rounds of staining : in the order of ab317620, ab322202 and ab52625 for 30 mins at room temperature. Each round was followed by a separate fluorescent tyramide signal amplification system.

The immunostaining was performed on a Leica Biosystems BOND® RX instrument with an Opal 4-color kit. Image acquisition was performed with Leica SP8 confocal microscope.

Heat mediated antigen retrieval with Tris-EDTA buffer (pH 9.0, epitope retrieval solution2) for 20 mins.

Immunohistochemistry (Formalin/PFA-fixed paraffin-embedded sections) - Anti-VAP1 antibody [EPR28748-59] (AB317620)
  • IHC-P

Supplier Data

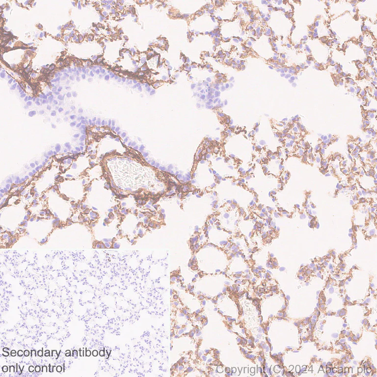
Immunohistochemistry (Formalin/PFA-fixed paraffin-embedded sections) - Anti-VAP1 antibody [EPR28748-59] (AB317620)

Immunohistochemical analysis of paraffin-embedded Human lung tissue labeling VAP1 with ab317620 at 1/1000 (0.519 ug/ml) dilution, followed by a ready to use LeicaDS9800 (Bond™ Polymer Refine Detection).

Positive staining on endothelium of human lung.
The section was incubated with ab317620 for 30 mins at room temperature.
The immunostaining was performed on a Leica Biosystems BOND® RX instrument
Incubate slides with 3% Hydrogen Peroxide for 10 mins at room temperature after secondary antibody incubation to reduce the background

Counterstained with Hematoxylin.

Secondary antibody only control : Secondary antibody is a ready to use LeicaDS9800 (Bond™ Polymer Refine Detection).

Heat mediated antigen retrieval was performed with Tris-EDTA buffer (pH 9.0, Epitope Retrieval Solution2) for 20 mins

Immunohistochemistry (Formalin/PFA-fixed paraffin-embedded sections) - Anti-VAP1 antibody [EPR28748-59] (AB317620)
  • IHC-P

Supplier Data

Immunohistochemistry (Formalin/PFA-fixed paraffin-embedded sections) - Anti-VAP1 antibody [EPR28748-59] (AB317620)

Immunohistochemical analysis of paraffin-embedded Human skeletal muscle tissue labeling VAP1 with ab317620 at 1/1000 (0.519 ug/ml) dilution, followed by a ready to use LeicaDS9800 (Bond™ Polymer Refine Detection).

Positive staining on endothelium of human skeletal muscle (PMID : 20154208).
The section was incubated with ab317620 for 30 mins at room temperature.
The immunostaining was performed on a Leica Biosystems BOND® RX instrument
Incubate slides with 3% Hydrogen Peroxide for 10 mins at room temperature after secondary antibody incubation to reduce the background

Counterstained with Hematoxylin.

Secondary antibody only control : Secondary antibody is a ready to use LeicaDS9800 (Bond™ Polymer Refine Detection).

Heat mediated antigen retrieval was performed with Tris-EDTA buffer (pH 9.0, Epitope Retrieval Solution2) for 20 mins

Immunohistochemistry (Formalin/PFA-fixed paraffin-embedded sections) - Anti-VAP1 antibody [EPR28748-59] (AB317620)
  • IHC-P

Supplier Data

Immunohistochemistry (Formalin/PFA-fixed paraffin-embedded sections) - Anti-VAP1 antibody [EPR28748-59] (AB317620)

Immunohistochemical analysis of paraffin-embedded Rat lung tissue labeling VAP1 with ab317620 at 1/1000 (0.519 ug/ml) dilution, followed by a ready to use LeicaDS9800 (Bond™ Polymer Refine Detection).

Positive staining on endothelium of rat lung.
The section was incubated with ab317620 for 30 mins at room temperature.
The immunostaining was performed on a Leica Biosystems BOND® RX instrument
Incubate slides with 3% Hydrogen Peroxide for 10 mins at room temperature after secondary antibody incubation to reduce the background

Counterstained with Hematoxylin.

Secondary antibody only control : Secondary antibody is a ready to use LeicaDS9800 (Bond™ Polymer Refine Detection).

Heat mediated antigen retrieval was performed with Tris-EDTA buffer (pH 9.0, Epitope Retrieval Solution2) for 20 mins

Immunohistochemistry (Formalin/PFA-fixed paraffin-embedded sections) - Anti-VAP1 antibody [EPR28748-59] (AB317620)
  • IHC-P

Supplier Data

Immunohistochemistry (Formalin/PFA-fixed paraffin-embedded sections) - Anti-VAP1 antibody [EPR28748-59] (AB317620)

Immunohistochemical analysis of paraffin-embedded Mouse colon tissue labeling VAP1 with ab317620 at 1/1000 (0.519 ug/ml) dilution, followed by a ready to use LeicaDS9800 (Bond™ Polymer Refine Detection).

Positive staining on smooth muscle and endothelium of mouse colon.
The section was incubated with ab317620 for 30 mins at room temperature.
The immunostaining was performed on a Leica Biosystems BOND® RX instrument
Incubate slides with 3% Hydrogen Peroxide for 10 mins at room temperature after secondary antibody incubation to reduce the background

Counterstained with Hematoxylin.

Secondary antibody only control : Secondary antibody is a ready to use LeicaDS9800 (Bond™ Polymer Refine Detection).

Heat mediated antigen retrieval was performed with Tris-EDTA buffer (pH 9.0, Epitope Retrieval Solution2) for 20 mins

Western blot - Anti-VAP1 antibody [EPR28748-59] (AB317620)
  • WB

Supplier Data

Western blot - Anti-VAP1 antibody [EPR28748-59] (AB317620)

Low expression : skeletal muscle (PMID : 23349812).

In Western blot, Anti-GAPDH antibody [EPR16891] - Loading Control (ab181602) staining at 1/200000 dilution.

Exposure time : Lanes 1-3 : 15 seconds; Lane 4 : 81 seconds.

All lanes:

Western blot - Anti-VAP1 antibody [EPR28748-59] (ab317620) at 1/1000 dilution

Lane 1:

Human lung tissue lysate at 10 µg

Lane 2:

Human skeletal muscle tissue lysate at 10 µg

Lane 3:

Human colon tissue lysate at 10 µg

Lane 4:

Human liver tissue lysate at 10 µg

Secondary

All lanes:

Goat Anti-Rabbit IgG (HRP) with minimal cross-reactivity with human IgG at 1/2000 dilution

Observed band size: 100 kDa,36 kDa

false

Western blot - Anti-VAP1 antibody [EPR28748-59] (AB317620)
  • WB

Supplier Data

Western blot - Anti-VAP1 antibody [EPR28748-59] (AB317620)

Low expression : skeletal muscle (PMID : 23349812).

In Western blot, Anti-GAPDH antibody [EPR16891] - Loading Control (ab181602) staining at 1/200000 dilution.

All lanes:

Western blot - Anti-VAP1 antibody [EPR28748-59] (ab317620) at 1/1000 dilution

Lane 1:

Mouse lung tissue lysate at 20 µg

Lane 2:

Mouse skeletal muscle tissue lysate at 20 µg

Lane 3:

Mouse colon tissue lysate at 20 µg

Lane 4:

Rat lu tissue lysate at 20 µg

Lane 5:

Rat skeletal muscle tissue lysate at 20 µg

Lane 6:

Rat colon tissue lysate at 20 µg

Secondary

All lanes:

Western blot - Goat Anti-Rabbit IgG H&L (HRP) (<a href='/en-us/products/secondary-antibodies/goat-rabbit-igg-h-l-hrp-ab97051'>ab97051</a>) at 1/20000 dilution

Observed band size: 100 kDa,36 kDa

false

Exposure time: 180s

Key facts

Host species

Rabbit

Clonality

Monoclonal

Clone number

EPR28748-59

Isotype

IgG

Carrier free

No

Reacts with

Human, Mouse, Rat

Applications

WB, IHC-P, mIHC

applications

Immunogen

The exact immunogen used to generate this antibody is proprietary information.

Reactivity data

{ "title": "Reactivity Data", "filters": { "stats": ["", "Species", "Dilution Info", "Notes"], "tabs": { "all-applications": {"fullname" : "All Applications", "shortname": "All Applications"}, "WB" : {"fullname" : "Western blot", "shortname":"WB"}, "ICCIF" : {"fullname" : "Immunocytochemistry/ Immunofluorescence", "shortname":"ICC/IF"}, "FlowCyt" : {"fullname" : "Flow Cytometry", "shortname":"Flow Cyt"}, "IP" : {"fullname" : "Immunoprecipitation", "shortname":"IP"}, "IHCP" : {"fullname" : "Immunohistochemistry (Formalin/PFA-fixed paraffin-embedded sections)", "shortname":"IHC-P"}, "mIHC" : {"fullname" : "Multiplex immunohistochemistry", "shortname":"mIHC"} }, "product-promise": { "all": "all", "testedAndGuaranteed": "tested", "guaranteed": "expected", "predicted": "predicted", "notRecommended": "not-recommended" } }, "values": { "Human": { "WB-species-checked": "testedAndGuaranteed", "WB-species-dilution-info": "1/1000", "WB-species-notes": "<p></p>", "ICCIF-species-checked": "notRecommended", "ICCIF-species-dilution-info": "", "ICCIF-species-notes": "<p></p>", "FlowCyt-species-checked": "notRecommended", "FlowCyt-species-dilution-info": "", "FlowCyt-species-notes": "<p></p>", "IP-species-checked": "notRecommended", "IP-species-dilution-info": "", "IP-species-notes": "<p></p>", "IHCP-species-checked": "testedAndGuaranteed", "IHCP-species-dilution-info": "1/1000", "IHCP-species-notes": "<p></p> Perform heat-mediated antigen retrieval with Tris/EDTA buffer pH 9.0 before commencing with IHC staining protocol.", "mIHC-species-checked": "testedAndGuaranteed", "mIHC-species-dilution-info": "1/1000", "mIHC-species-notes": "<p></p>" }, "Mouse": { "WB-species-checked": "testedAndGuaranteed", "WB-species-dilution-info": "1/1000", "WB-species-notes": "<p></p>", "ICCIF-species-checked": "notRecommended", "ICCIF-species-dilution-info": "", "ICCIF-species-notes": "", "FlowCyt-species-checked": "notRecommended", "FlowCyt-species-dilution-info": "", "FlowCyt-species-notes": "<p></p>", "IP-species-checked": "notRecommended", "IP-species-dilution-info": "", "IP-species-notes": "", "IHCP-species-checked": "testedAndGuaranteed", "IHCP-species-dilution-info": "1/1000", "IHCP-species-notes": "<p></p> Perform heat-mediated antigen retrieval with Tris/EDTA buffer pH 9.0 before commencing with IHC staining protocol.", "mIHC-species-checked": "guaranteed", "mIHC-species-dilution-info": "", "mIHC-species-notes": "" }, "Rat": { "WB-species-checked": "testedAndGuaranteed", "WB-species-dilution-info": "1/1000", "WB-species-notes": "<p></p>", "ICCIF-species-checked": "notRecommended", "ICCIF-species-dilution-info": "", "ICCIF-species-notes": "", "FlowCyt-species-checked": "notRecommended", "FlowCyt-species-dilution-info": "", "FlowCyt-species-notes": "", "IP-species-checked": "notRecommended", "IP-species-dilution-info": "", "IP-species-notes": "", "IHCP-species-checked": "testedAndGuaranteed", "IHCP-species-dilution-info": "1/1000", "IHCP-species-notes": "<p></p> Perform heat-mediated antigen retrieval with Tris/EDTA buffer pH 9.0 before commencing with IHC staining protocol.", "mIHC-species-checked": "guaranteed", "mIHC-species-dilution-info": "", "mIHC-species-notes": "" } } }

Product details

Patented technology
Our RabMAb® technology is a patented hybridoma-based technology for making rabbit monoclonal antibodies. For details on our patents, please refer to RabMAb® patents.

What are the advantages of a recombinant monoclonal antibody?
This product is a recombinant monoclonal antibody, which offers several advantages including:

  • - High batch-to-batch consistency and reproducibility
  • - Improved sensitivity and specificity
  • - Long-term security of supply
  • - Animal-free batch production

For more information, read more on recombinant antibodies.

Properties and storage information

Form
Liquid
Purification technique
Affinity purification Protein A
Storage buffer
pH: 7.2 - 7.4 Preservative: 0.01% Sodium azide Constituents: PBS, 40% Glycerol (glycerin, glycerine), 0.05% BSA
Shipped at conditions
Blue Ice
Appropriate short-term storage duration
1-2 weeks
Appropriate short-term storage conditions
+4°C
Appropriate long-term storage conditions
-20°C
Aliquoting information
Upon delivery aliquot
Storage information
Avoid freeze / thaw cycle

Supplementary information

This supplementary information is collated from multiple sources and compiled automatically.

Vascular Adhesion Protein 1 (VAP1) also known as amine oxidase copper-containing 3 (AOC3) has a mechanical function involving its enzyme activity to catalyze oxidative deamination of primary amines to produce aldehydes hydrogen peroxide and ammonia. The protein has an approximate mass of 90 kDa. VAP1 is expressed on the surface of endothelial cells and some smooth muscle cells especially in tissues like liver lung and gut. It functions mainly in cellular adhesion processes.
Biological function summary

VAP1 plays important roles in leukocyte trafficking what makes it important for immune response and inflammation. It facilitates the adhesion and transmigration of leukocytes across the endothelium into tissues. VAP1 is part of numerous adhesion molecule networks that help regulate the immune response. Its ability to interact with diverse substrates also affects vascular function and integrity.

Pathways

VAP1 interacts with immune responses and inflammation-related pathways. It influences the leukocyte adhesion cascade which integrates with the immune cell signaling pathways. Proteins like Integrins and Selectins relate to VAP1 in these processes as they are also involved in mediating cell adhesion to the endothelial cells thereby orchestrating cell movement and positioning essential for immune defense.

VAP1 has been implicated in chronic inflammatory diseases and certain cancers. Inflammatory bowel disease is one condition where VAP1's role in leukocyte trafficking results in sustained inflammation. Additionally its elevated expression in some tumors links it to cancer progression via promoting tumor-associated inflammation. The connection between VAP1 and proteins like TNF-alpha becomes clearer in the inflammation context serving as a potential therapeutic target for modulating inflammatory and cancerous conditions.

Product protocols

For this product, it's our understanding that no specific protocols are required. You can visit:

Target data

Catalyzes the oxidative deamination of primary amines to the corresponding aldehydes with the concomitant production of hydrogen peroxide and ammonia (PubMed : 19588076, PubMed : 24304424, PubMed : 9653080). Has a preference for the primary monoamines methylamine and benzylamine (PubMed : 19588076, PubMed : 9653080). Could also act on 2-phenylethylamine but much less efficiently (PubMed : 19588076). At endothelial cells surface can also function as a cell adhesion protein that participates in lymphocyte extravasation and recirculation by mediating the binding of lymphocytes to peripheral lymph node vascular endothelial cells in an L-selectin-independent fashion (PubMed : 9254657, PubMed : 9653080).. Isoform 2. Has no semicarbazide-sensitive amine oxidase (SSAO) activity.
See full target information AOC3

Product promise

We are committed to supporting your work with high-quality reagents, and we're here for you every step of the way. In the unlikely event that one of our products does not perform as expected, you're protected by our Product Promise.
For full details, please see our Terms & Conditions

Please note: All products are 'FOR RESEARCH USE ONLY. NOT FOR USE IN DIAGNOSTIC OR THERAPEUTIC PROCEDURES'.

For licensing inquiries, please contact partnerships@abcam.com