JavaScript is disabled in your browser. Please enable JavaScript to view this website.
AB225890

Anti-VAPA antibody

Be the first to review this product! Submit a review

|

(2 Publications)

Rabbit Polyclonal VAPA antibody. Suitable for IHC-P, IP, WB and reacts with Human, Mouse samples. Cited in 2 publications. Immunogen corresponding to Synthetic Peptide within Human VAPA aa 100-200.

View Alternative Names

VAP33, VAPA, Vesicle-associated membrane protein-associated protein A, VAMP-A, VAMP-associated protein A, VAP-A, 33 kDa VAMP-associated protein, VAP-33

3 Images
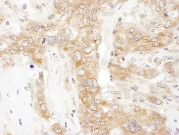
Immunohistochemistry (Formalin/PFA-fixed paraffin-embedded sections) - Anti-VAPA antibody (AB225890)
  • IHC-P

Supplier Data

Immunohistochemistry (Formalin/PFA-fixed paraffin-embedded sections) - Anti-VAPA antibody (AB225890)

Formalin-fixed, paraffin-embedded human breast carcinoma tissue stained for VAPA using ab225890 at 1/1000 dilution in immunohistochemical analysis.

Detection : DAB staining.

Immunoprecipitation - Anti-VAPA antibody (AB225890)
  • IP

Supplier Data

Immunoprecipitation - Anti-VAPA antibody (AB225890)

VAPA was immunoprecipitated from HEK-293T (human epithelial cell line from embryonic kidney transformed with large T antigen) whole cell lysate (prepared using NETN buffer; 1 mg for IP, 20% of IP loaded) with ab225890 at 6 μg/mg lysate. Western blot was performed from the immunoprecipitate using ab225890 at 1 μg/ml.

Lane 1 : ab225890 IP in HeLa whole cell lysate.

Lane 2 : Control IgG IP in HeLa whole cell lysate.

Detection : Chemiluminescence with exposure time of 3 minutes.

All lanes:

Immunoprecipitation - Anti-VAPA antibody (ab225890)

Predicted band size: 28 kDa

false

Western blot - Anti-VAPA antibody (AB225890)
  • WB

Supplier Data

Western blot - Anti-VAPA antibody (AB225890)

All lanes:

Western blot - Anti-VAPA antibody (ab225890) at 0.4 µg/mL

Lane 1:

HeLa (human epithelial cell line from cervix adenocarcinoma) whole cell lysate prepared using NETN lysis buffer at 50 µg

Lane 2:

HeLa whole cell lysate prepared using RIPA lysis buffer at 50 µg

Lane 3:

HEK-293T (human epithelial cell line from embryonic kidney transformed with large T antigen) whole cell lysate prepared using NETN lysis buffer at 50 µg

Lane 4:

Jurkat (human T cell leukemia cell line from peripheral blood) whole cell lysate prepared using NETN lysis buffer at 50 µg

Lane 5:

TCMK-1 (mouse kidney epithelial cell line) whole cell lysate prepared using NETN lysis buffer at 50 µg

Predicted band size: 28 kDa

true

Exposure time: 30s

Key facts

Host species

Rabbit

Clonality

Polyclonal

Isotype

IgG

Carrier free

No

Reacts with

Mouse, Human

Applications

IP, IHC-P, WB

applications

Immunogen

Synthetic Peptide within Human VAPA aa 100-200. The exact immunogen used to generate this antibody is proprietary information.

Q9P0L0

Reactivity data

{ "title": "Reactivity Data", "filters": { "stats": ["", "Species", "Dilution Info", "Notes"], "tabs": { "all-applications": {"fullname" : "All Applications", "shortname": "All Applications"}, "IHCP" : {"fullname" : "Immunohistochemistry (Formalin/PFA-fixed paraffin-embedded sections)", "shortname":"IHC-P"}, "IP" : {"fullname" : "Immunoprecipitation", "shortname":"IP"}, "WB" : {"fullname" : "Western blot", "shortname":"WB"} }, "product-promise": { "all": "all", "testedAndGuaranteed": "tested", "guaranteed": "expected", "predicted": "predicted", "notRecommended": "not-recommended" } }, "values": { "Human": { "IHCP-species-checked": "testedAndGuaranteed", "IHCP-species-dilution-info": "1/500 - 1/2000", "IHCP-species-notes": "<p></p> Perform heat-mediated antigen retrieval with citrate buffer pH 6 before commencing with IHC staining protocol.", "IP-species-checked": "testedAndGuaranteed", "IP-species-dilution-info": "2-10 µg/mg of lysate", "IP-species-notes": "<p></p>", "WB-species-checked": "testedAndGuaranteed", "WB-species-dilution-info": "1/1000 - 1/5000", "WB-species-notes": "<p></p>" }, "Mouse": { "IHCP-species-checked": "guaranteed", "IHCP-species-dilution-info": "", "IHCP-species-notes": "", "IP-species-checked": "guaranteed", "IP-species-dilution-info": "", "IP-species-notes": "", "WB-species-checked": "testedAndGuaranteed", "WB-species-dilution-info": "1/1000 - 1/5000", "WB-species-notes": "<p></p>" }, "Orangutan": { "IHCP-species-checked": "predicted", "IHCP-species-dilution-info": "", "IHCP-species-notes": "", "IP-species-checked": "predicted", "IP-species-dilution-info": "", "IP-species-notes": "", "WB-species-checked": "predicted", "WB-species-dilution-info": "", "WB-species-notes": "" } } }

Properties and storage information

Form
Liquid
Purification technique
Affinity purification Immunogen
Storage buffer
pH: 7 - 8 Preservative: 0.09% Sodium azide Constituents: Tris citrate/phosphate
Shipped at conditions
Blue Ice
Appropriate short-term storage duration
1-2 weeks
Appropriate short-term storage conditions
+4°C
Appropriate long-term storage conditions
+4°C
Aliquoting information
Upon delivery aliquot
Storage information
Avoid freeze / thaw cycle

Supplementary information

This supplementary information is collated from multiple sources and compiled automatically.

Vesicle-associated membrane protein-associated protein A (VAPA) also known as VAP-A is an integral membrane protein involved in intracellular membrane trafficking. It has a molecular weight of approximately 33 kDa and is expressed in multiple tissues including the brain liver and muscles. Mechanically VAPA functions in the process of vesicle docking and fusion at membranes which is essential for the trafficking of proteins and lipids within cells. This protein is also a part of the endoplasmic reticulum (ER) and contributes to the formation of membrane contact sites between the ER and other organelles.
Biological function summary

In the cellular environment VAPA plays an important role in maintaining homeostasis by regulating lipid transport and metabolism. It forms a complex with several other proteins such as OSBP (oxysterol-binding protein) and CERT (ceramide transport protein) which facilitates the exchange of lipids between the ER and the Golgi apparatus. This interaction underlines VAPA’s role in lipid droplet dynamics and the synthesis of phosphatidylinositols which are critical for cell signaling and membrane integrity.

Pathways

The involvement of VAPA is significant in lipid metabolism and membrane trafficking pathways. It interacts with proteins like VAMP (vesicle-associated membrane proteins) and SNARE (soluble N-ethylmaleimide-sensitive factor attachment protein receptor) complexes which are important for exocytosis and endocytosis processes. VAPA's interaction in these pathways supports the movement of materials across cellular membranes and its regulation of lipid exchange impacts the signaling pathways influencing cell growth and differentiation.

Abnormal VAPA function relates to neurodegenerative diseases such as amyotrophic lateral sclerosis (ALS) and some forms of motor neuron disease. In such conditions VAPA’s interaction with proteins like TDP-43 (TAR DNA-binding protein 43) becomes disrupted leading to protein aggregation and neuronal toxicity. Additionally disruptions in VAPA-associated lipid transport are linked to metabolic disorders like type 2 diabetes highlighting its critical role in proper cellular communication and metabolic balance.

Product protocols

For this product, it's our understanding that no specific protocols are required. You can visit:

Target data

Endoplasmic reticulum (ER)-anchored protein that mediates the formation of contact sites between the ER and endosomes via interaction with FFAT motif-containing proteins such as STARD3 or WDR44 (PubMed : 32344433, PubMed : 33124732). STARD3-VAPA interaction enables cholesterol transfer from the ER to endosomes (PubMed : 33124732). Via interaction with WDR44 participates in neosynthesized protein export (PubMed : 32344433). In addition, recruited to the plasma membrane through OSBPL3 binding (PubMed : 25447204). The OSBPL3-VAPA complex stimulates RRAS signaling which in turn attenuates integrin beta-1 (ITGB1) activation at the cell surface (PubMed : 25447204). With OSBPL3, may regulate ER morphology (PubMed : 16143324). May play a role in vesicle trafficking (PubMed : 11511104, PubMed : 19289470).
See full target information VAPA

Publications (2)

Recent publications for all applications. Explore the full list and refine your search

Journal of biochemical and molecular toxicology 38:e23769 PubMed39152098

2024

Cancer-associated fibroblasts derived exosomal LINC01833 promotes the occurrence of non-small cell lung cancer through miR-335-5p -VAPA axis.

Applications

Unspecified application

Species

Unspecified reactive species

Jie Chen,Jian-Jun Sun,Ya-Wen Ma,Meng-Qin Zhu,Jing Hu,Qi-Jue Lu,Zhi-Gang Cai

Cancer management and research 12:8857-8865 PubMed33061581

2020

CELSR1 Acts as an Oncogene Regulated by miR-199a-5p in Glioma.

Applications

Unspecified application

Species

Unspecified reactive species

Guang Wang,Yong Li,Dongxia Zhang,Songtao Zhao,Qiong Zhang,Chao Luo,Xiaochuan Sun,Bingqian Zhang
View all publications

Product promise

We are committed to supporting your work with high-quality reagents, and we're here for you every step of the way. In the unlikely event that one of our products does not perform as expected, you're protected by our Product Promise.
For full details, please see our Terms & Conditions

Please note: All products are 'FOR RESEARCH USE ONLY. NOT FOR USE IN DIAGNOSTIC OR THERAPEUTIC PROCEDURES'.

For licensing inquiries, please contact partnerships@abcam.com