JavaScript is disabled in your browser. Please enable JavaScript to view this website.
AB181067

Anti-VAPA antibody [EPR13589(B)] - N-terminal

5

(2 Reviews)

|

(3 Publications)

Rabbit Recombinant Monoclonal VAPA antibody. N-terminal. Suitable for IHC-P, WB and reacts with Human samples. Cited in 3 publications.

View Alternative Names

VAP33, VAPA, Vesicle-associated membrane protein-associated protein A, VAMP-A, VAMP-associated protein A, VAP-A, 33 kDa VAMP-associated protein, VAP-33

3 Images
Western blot - Anti-VAPA antibody [EPR13589(B)] - N-terminal (AB181067)
  • WB

Supplier Data

Western blot - Anti-VAPA antibody [EPR13589(B)] - N-terminal (AB181067)

All lanes:

Western blot - Anti-VAPA antibody [EPR13589(B)] - N-terminal (ab181067) at 1/20000 dilution

Lane 1:

HeLa cell lysate at 20 µg

Lane 2:

K562 cell lysate at 20 µg

Lane 3:

HEK293 cell lysate at 20 µg

Lane 4:

HepG2 cell lysate at 20 µg

Secondary

All lanes:

Goat Anti-Rabbit IgG, (H+L), Peroxidase conjugated at 1/1000 dilution

Predicted band size: 28 kDa

Observed band size: 28 kDa

false

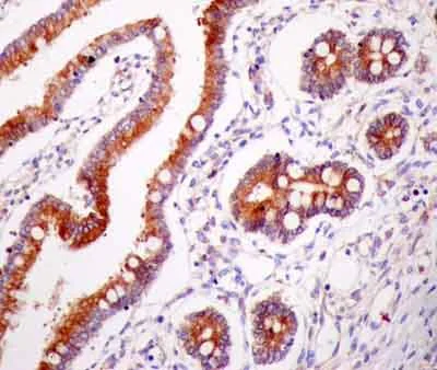
Immunohistochemistry (Formalin/PFA-fixed paraffin-embedded sections) - Anti-VAPA antibody [EPR13589(B)] - N-terminal (AB181067)
  • IHC-P

Supplier Data

Immunohistochemistry (Formalin/PFA-fixed paraffin-embedded sections) - Anti-VAPA antibody [EPR13589(B)] - N-terminal (AB181067)

Immunohistochemical analysis of Human fetal colon tissue staining VAPA with ab181067 at 1/100 dilution. Detected using HRP Polymer for Rabbit IgG and counter-stained using hematoxylin.

Perform heat mediated antigen retrieval with citrate buffer pH 6 before commencing with IHC staining protocol.

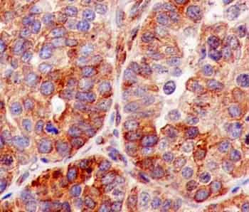
Immunohistochemistry (Formalin/PFA-fixed paraffin-embedded sections) - Anti-VAPA antibody [EPR13589(B)] - N-terminal (AB181067)
  • IHC-P

Supplier Data

Immunohistochemistry (Formalin/PFA-fixed paraffin-embedded sections) - Anti-VAPA antibody [EPR13589(B)] - N-terminal (AB181067)

Immunohistochemical analysis of Human ovarian carcinoma staining VAPA with ab181067 at 1/100 dilution. Detected using HRP Polymer for Rabbit IgG and counter-stained using hematoxylin.

Perform heat mediated antigen retrieval with citrate buffer pH 6 before commencing with IHC staining protocol.

  • Carrier free

    Anti-VAPA antibody [EPR13589(B)] - BSA and Azide free

Key facts

Host species

Rabbit

Clonality

Monoclonal

Clone number

EPR13589(B)

Isotype

IgG

Carrier free

No

Reacts with

Human

Applications

WB, IHC-P

applications

Immunogen

The exact immunogen used to generate this antibody is proprietary information.

Reactivity data

{ "title": "Reactivity Data", "filters": { "stats": ["", "Species", "Dilution Info", "Notes"], "tabs": { "all-applications": {"fullname" : "All Applications", "shortname": "All Applications"}, "IHCP" : {"fullname" : "Immunohistochemistry (Formalin/PFA-fixed paraffin-embedded sections)", "shortname":"IHC-P"}, "WB" : {"fullname" : "Western blot", "shortname":"WB"} }, "product-promise": { "all": "all", "testedAndGuaranteed": "tested", "guaranteed": "expected", "predicted": "predicted", "notRecommended": "not-recommended" } }, "values": { "Human": { "IHCP-species-checked": "testedAndGuaranteed", "IHCP-species-dilution-info": "1/50 - 1/100", "IHCP-species-notes": "<p></p> Perform heat-mediated antigen retrieval with citrate buffer pH 6 before commencing with IHC staining protocol.", "WB-species-checked": "testedAndGuaranteed", "WB-species-dilution-info": "1/10000 - 1/50000", "WB-species-notes": "<p></p>" }, "Mouse": { "IHCP-species-checked": "predicted", "IHCP-species-dilution-info": "", "IHCP-species-notes": "", "WB-species-checked": "predicted", "WB-species-dilution-info": "", "WB-species-notes": "" }, "Rat": { "IHCP-species-checked": "predicted", "IHCP-species-dilution-info": "", "IHCP-species-notes": "", "WB-species-checked": "predicted", "WB-species-dilution-info": "", "WB-species-notes": "" }, "Cow": { "IHCP-species-checked": "predicted", "IHCP-species-dilution-info": "", "IHCP-species-notes": "", "WB-species-checked": "predicted", "WB-species-dilution-info": "", "WB-species-notes": "" }, "Orangutan": { "IHCP-species-checked": "predicted", "IHCP-species-dilution-info": "", "IHCP-species-notes": "", "WB-species-checked": "predicted", "WB-species-dilution-info": "", "WB-species-notes": "" } } }

Product details

Patented technology
Our RabMAb® technology is a patented hybridoma-based technology for making rabbit monoclonal antibodies. For details on our patents, please refer to RabMAb® patents.

What are the advantages of a recombinant monoclonal antibody?
This product is a recombinant monoclonal antibody, which offers several advantages including:

  • - High batch-to-batch consistency and reproducibility
  • - Improved sensitivity and specificity
  • - Long-term security of supply
  • - Animal-free batch production

For more information, read more on recombinant antibodies.

Properties and storage information

Form
Liquid
Purity
Tissue culture supernatant
Storage buffer
Preservative: 0.01% Sodium azide Constituents: 59% PBS, 40% Glycerol (glycerin, glycerine), 0.05% BSA
Shipped at conditions
Blue Ice
Appropriate short-term storage duration
1-2 weeks
Appropriate short-term storage conditions
+4°C
Appropriate long-term storage conditions
-20°C
Aliquoting information
Upon delivery aliquot
Storage information
Avoid freeze / thaw cycle

Supplementary information

This supplementary information is collated from multiple sources and compiled automatically.

Vesicle-associated membrane protein-associated protein A (VAPA) also known as VAP-A is an integral membrane protein involved in intracellular membrane trafficking. It has a molecular weight of approximately 33 kDa and is expressed in multiple tissues including the brain liver and muscles. Mechanically VAPA functions in the process of vesicle docking and fusion at membranes which is essential for the trafficking of proteins and lipids within cells. This protein is also a part of the endoplasmic reticulum (ER) and contributes to the formation of membrane contact sites between the ER and other organelles.
Biological function summary

In the cellular environment VAPA plays an important role in maintaining homeostasis by regulating lipid transport and metabolism. It forms a complex with several other proteins such as OSBP (oxysterol-binding protein) and CERT (ceramide transport protein) which facilitates the exchange of lipids between the ER and the Golgi apparatus. This interaction underlines VAPA’s role in lipid droplet dynamics and the synthesis of phosphatidylinositols which are critical for cell signaling and membrane integrity.

Pathways

The involvement of VAPA is significant in lipid metabolism and membrane trafficking pathways. It interacts with proteins like VAMP (vesicle-associated membrane proteins) and SNARE (soluble N-ethylmaleimide-sensitive factor attachment protein receptor) complexes which are important for exocytosis and endocytosis processes. VAPA's interaction in these pathways supports the movement of materials across cellular membranes and its regulation of lipid exchange impacts the signaling pathways influencing cell growth and differentiation.

Abnormal VAPA function relates to neurodegenerative diseases such as amyotrophic lateral sclerosis (ALS) and some forms of motor neuron disease. In such conditions VAPA’s interaction with proteins like TDP-43 (TAR DNA-binding protein 43) becomes disrupted leading to protein aggregation and neuronal toxicity. Additionally disruptions in VAPA-associated lipid transport are linked to metabolic disorders like type 2 diabetes highlighting its critical role in proper cellular communication and metabolic balance.

Product protocols

For this product, it's our understanding that no specific protocols are required. You can visit:

Target data

Endoplasmic reticulum (ER)-anchored protein that mediates the formation of contact sites between the ER and endosomes via interaction with FFAT motif-containing proteins such as STARD3 or WDR44 (PubMed : 32344433, PubMed : 33124732). STARD3-VAPA interaction enables cholesterol transfer from the ER to endosomes (PubMed : 33124732). Via interaction with WDR44 participates in neosynthesized protein export (PubMed : 32344433). In addition, recruited to the plasma membrane through OSBPL3 binding (PubMed : 25447204). The OSBPL3-VAPA complex stimulates RRAS signaling which in turn attenuates integrin beta-1 (ITGB1) activation at the cell surface (PubMed : 25447204). With OSBPL3, may regulate ER morphology (PubMed : 16143324). May play a role in vesicle trafficking (PubMed : 11511104, PubMed : 19289470).
See full target information VAPA

Publications (3)

Recent publications for all applications. Explore the full list and refine your search

Science advances 6: PubMed33328230

2020

The structure and global distribution of the endoplasmic reticulum network are actively regulated by lysosomes.

Applications

Unspecified application

Species

Unspecified reactive species

Meng Lu,Francesca W van Tartwijk,Julie Qiaojin Lin,Wilco Nijenhuis,Pierre Parutto,Marcus Fantham,Charles N Christensen,Edward Avezov,Christine E Holt,Alan Tunnacliffe,David Holcman,Lukas Kapitein,Gabriele S Kaminski Schierle,Clemens F Kaminski

EMBO reports 20:e46451 PubMed32048434

2019

Signal peptide peptidase-like 2c impairs vesicular transport and cleaves SNARE proteins.

Applications

Unspecified application

Species

Unspecified reactive species

Alkmini A Papadopoulou,Stephan A Müller,Torben Mentrup,Merav D Shmueli,Johannes Niemeyer,Martina Haug-Kröper,Julia von Blume,Artur Mayerhofer,Regina Feederle,Bernd Schröder,Stefan F Lichtenthaler,Regina Fluhrer

EMBO reports 20: PubMed30733281

2019

Signal Peptide Peptidase-Like 2c (SPPL2c) impairs vesicular transport and cleavage of SNARE proteins.

Applications

Unspecified application

Species

Unspecified reactive species

Alkmini A Papadopoulou,Stephan A Müller,Torben Mentrup,Merav D Shmueli,Johannes Niemeyer,Martina Haug-Kröper,Julia von Blume,Artur Mayerhofer,Regina Feederle,Bernd Schröder,Stefan F Lichtenthaler,Regina Fluhrer
View all publications

Product promise

We are committed to supporting your work with high-quality reagents, and we're here for you every step of the way. In the unlikely event that one of our products does not perform as expected, you're protected by our Product Promise.
For full details, please see our Terms & Conditions

Associated Products

Select an associated product type
Alternative Product
Primary Antibodies

AB244312

Anti-VAPA antibody

primary-antibodies

vapa-antibody-ab244312

0

(0 reviews)

Alternative Product
Primary Antibodies

AB225890

Anti-VAPA antibody

primary-antibodies

vapa-antibody-ab225890

0

(0 reviews)

Alternative Product
Primary Antibodies

AB96584

Anti-VAPA antibody

primary-antibodies

vapa-antibody-ab96584

0

(0 reviews)

Please note: All products are 'FOR RESEARCH USE ONLY. NOT FOR USE IN DIAGNOSTIC OR THERAPEUTIC PROCEDURES'.

For licensing inquiries, please contact partnerships@abcam.com