JavaScript is disabled in your browser. Please enable JavaScript to view this website.
AB241298

Anti-VAPB antibody

Be the first to review this product! Submit a review

|

(5 Publications)

Rabbit Polyclonal VAPB antibody. Suitable for IHC-P, IP, WB and reacts with Human, Mouse samples. Cited in 5 publications. Immunogen corresponding to Synthetic Peptide within Human VAPB aa 100-150.

View Alternative Names

UNQ484/PRO983, VAPB, Vesicle-associated membrane protein-associated protein B/C, VAMP-B/VAMP-C, VAMP-associated protein B/C, VAP-B/VAP-C

3 Images
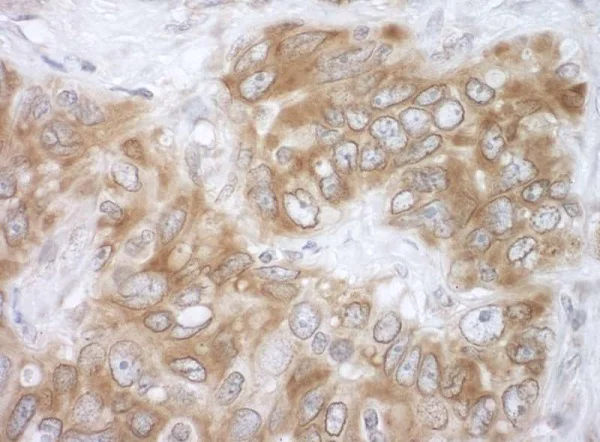
Immunohistochemistry (Formalin/PFA-fixed paraffin-embedded sections) - Anti-VAPB antibody (AB241298)
  • IHC-P

Supplier Data

Immunohistochemistry (Formalin/PFA-fixed paraffin-embedded sections) - Anti-VAPB antibody (AB241298)

Formalin-fixed, paraffin-embedded human ovarian carcinoma tissue stained for VAPB using ab241298 at 1/200 dilution in immunohistochemical analysis. DAB staining.

Immunoprecipitation - Anti-VAPB antibody (AB241298)
  • IP

Supplier Data

Immunoprecipitation - Anti-VAPB antibody (AB241298)

VAPB was immunoprecipitated from HeLa (human epithelial cell line from cervix adenocarcinoma) whole cell lysate (1 mg for IP, 20% of IP loaded) with ab241298 at 3 μg/mg lysate. Western blot was performed from the immunoprecipitate using ab241298 at 0.4 μg/ml.

Lane 1 : ab241298 IP in HeLa whole cell lysate.
Lane 2 : Control IgG IP in HeLa whole cell lysate.

Detection : Chemiluminescence with exposure time of 10 seconds.

All lanes:

Immunoprecipitation - Anti-VAPB antibody (ab241298)

Predicted band size: 27 kDa

false

Western blot - Anti-VAPB antibody (AB241298)
  • WB

Supplier Data

Western blot - Anti-VAPB antibody (AB241298)

All lanes:

Western blot - Anti-VAPB antibody (ab241298) at 0.04 µg/mL

Lane 1:

HeLa (human epithelial cell line from cervix adenocarcinoma) whole cell lysate at 50 µg

Lane 2:

HeLa whole cell lysate at 15 µg

Lane 3:

HeLa whole cell lysate at 5 µg

Lane 4:

HEK-293T (human epithelial cell line from embryonic kidney transformed with large T antigen) whole cell lysate at 50 µg

Lane 5:

NIH/3T3 (mouse embryo fibroblast cell line) whole cell lysate at 50 µg

Predicted band size: 27 kDa

true

Exposure time: 3min

Key facts

Host species

Rabbit

Clonality

Polyclonal

Isotype

IgG

Carrier free

No

Reacts with

Mouse, Human

Applications

WB, IHC-P, IP

applications

Immunogen

Synthetic Peptide within Human VAPB aa 100-150. The exact immunogen used to generate this antibody is proprietary information.

O95292

Reactivity data

{ "title": "Reactivity Data", "filters": { "stats": ["", "Species", "Dilution Info", "Notes"], "tabs": { "all-applications": {"fullname" : "All Applications", "shortname": "All Applications"}, "IHCP" : {"fullname" : "Immunohistochemistry (Formalin/PFA-fixed paraffin-embedded sections)", "shortname":"IHC-P"}, "IP" : {"fullname" : "Immunoprecipitation", "shortname":"IP"}, "WB" : {"fullname" : "Western blot", "shortname":"WB"} }, "product-promise": { "all": "all", "testedAndGuaranteed": "tested", "guaranteed": "expected", "predicted": "predicted", "notRecommended": "not-recommended" } }, "values": { "Human": { "IHCP-species-checked": "testedAndGuaranteed", "IHCP-species-dilution-info": "1/100 - 1/500", "IHCP-species-notes": "<p></p> Perform heat-mediated antigen retrieval with citrate buffer pH 6 before commencing with IHC staining protocol.", "IP-species-checked": "testedAndGuaranteed", "IP-species-dilution-info": "2-5 µg/mg of lysate", "IP-species-notes": "<p></p>", "WB-species-checked": "testedAndGuaranteed", "WB-species-dilution-info": "1/2000 - 1/10000", "WB-species-notes": "<p></p>" }, "Mouse": { "IHCP-species-checked": "guaranteed", "IHCP-species-dilution-info": "", "IHCP-species-notes": "", "IP-species-checked": "guaranteed", "IP-species-dilution-info": "", "IP-species-notes": "", "WB-species-checked": "testedAndGuaranteed", "WB-species-dilution-info": "1/2000 - 1/10000", "WB-species-notes": "<p></p>" }, "Cow": { "IHCP-species-checked": "predicted", "IHCP-species-dilution-info": "", "IHCP-species-notes": "", "IP-species-checked": "predicted", "IP-species-dilution-info": "", "IP-species-notes": "", "WB-species-checked": "predicted", "WB-species-dilution-info": "", "WB-species-notes": "" }, "Pig": { "IHCP-species-checked": "predicted", "IHCP-species-dilution-info": "", "IHCP-species-notes": "", "IP-species-checked": "predicted", "IP-species-dilution-info": "", "IP-species-notes": "", "WB-species-checked": "predicted", "WB-species-dilution-info": "", "WB-species-notes": "" } } }

Properties and storage information

Form
Liquid
Purification technique
Affinity purification Immunogen
Purification notes
Antibody was affinity purified using an epitope specific to VAPB immobilized on solid support.
Storage buffer
pH: 6.8 - 7.4 Preservative: 0.09% Sodium azide Constituents: Tris buffered saline, 0.1% BSA
Shipped at conditions
Blue Ice
Appropriate short-term storage duration
1-2 weeks
Appropriate short-term storage conditions
+4°C
Appropriate long-term storage conditions
-20°C
Aliquoting information
Upon delivery aliquot
Storage information
Avoid freeze / thaw cycle

Supplementary information

This supplementary information is collated from multiple sources and compiled automatically.

VAMP-associated protein B (VAPB) also known as VAP-B is a protein with a mass of approximately 27 kDa. It plays a role in membrane trafficking and lipid transport. VAPB accomplishes this by interacting with various vesicle-associated membrane protein (VAMP) family members. It is expressed in multiple tissues including the brain liver and muscle. VAPB localizes to the endoplasmic reticulum where it facilitates its mechanical functions.
Biological function summary

The protein assists in maintaining cellular homeostasis by influencing lipid transport and membrane composition. VAPB forms part of a larger protein complex that includes other lipid-binding proteins and is essential for the regulation of lipid-dependent signaling pathways. This complex allows VAPB to perform its biological functions effectively within cells.

Pathways

VAPB participates in critical pathways like the unfolded protein response (UPR) and ER-associated degradation (ERAD). These pathways ensure proper protein folding and degradation. VAPB interacts with other important proteins such as VAMP family members to convey signals and manage lipid distribution. Disruptions in these pathways can affect cellular functions evidencing VAPB's integral role.

VAPB has strong connections to certain neurodegenerative diseases such as amyotrophic lateral sclerosis (ALS) and spinal muscular atrophy (SMA). Mutations in the VAPB gene have been linked to the familial form of ALS impacting the protein's function and leading to disease progression. VAPB associates with proteins like TDP-43 which also play a role in neurodegenerative disease mechanisms establishing its critical involvement in these conditions.

Product protocols

For this product, it's our understanding that no specific protocols are required. You can visit:

Target data

Endoplasmic reticulum (ER)-anchored protein that mediates the formation of contact sites between the ER and endosomes via interaction with FFAT motif-containing proteins such as STARD3 or WDR44 (PubMed : 32344433, PubMed : 33124732). Interacts with STARD3 in a FFAT motif phosphorylation dependent manner (PubMed : 33124732). Via interaction with WDR44 participates in neosynthesized protein export (PubMed : 32344433). Participates in the endoplasmic reticulum unfolded protein response (UPR) by inducing ERN1/IRE1 activity (PubMed : 16891305, PubMed : 20940299). Involved in cellular calcium homeostasis regulation (PubMed : 22131369).
See full target information VAPB

Publications (5)

Recent publications for all applications. Explore the full list and refine your search

Nature communications 16:2135 PubMed40032835

2025

Proximity proteomics reveals a mechanism of fatty acid transfer at lipid droplet-mitochondria- endoplasmic reticulum contact sites.

Applications

Unspecified application

Species

Unspecified reactive species

Ayenachew Bezawork-Geleta,Camille J Devereux,Stacey N Keenan,Jieqiong Lou,Ellie Cho,Shuai Nie,David P De Souza,Vinod K Narayana,Nicole A Siddall,Carlos H M Rodrigues,Stephanie Portelli,Tenghao Zheng,Hieu T Nim,Mirana Ramialison,Gary R Hime,Garron T Dodd,Elizabeth Hinde,David B Ascher,David A Stroud,Matthew J Watt

Oncogenesis 12:47 PubMed37783676

2023

WDR4 promotes the progression and lymphatic metastasis of bladder cancer via transcriptional down-regulation of ARRB2.

Applications

Unspecified application

Species

Unspecified reactive species

Guoli Wang,Xin He,Huiqi Dai,Lingyi Lin,Wenmin Cao,Yao Fu,Wenli Diao,Meng Ding,Qing Zhang,Wei Chen,Hongqian Guo

Nan fang yi ke da xue xue bao = Journal of Southern Medical University 41:1012-1021 PubMed34308850

2021

[MicroRNA-424 inhibits autophagy and proliferation of hepatocellular carcinoma cells by targeting ATG14].

Applications

Unspecified application

Species

Unspecified reactive species

Z Zhao,W Huang,J He,C Feng

Cell death & disease 12:156 PubMed33542183

2021

Role of microRNA-335 carried by bone marrow mesenchymal stem cells-derived extracellular vesicles in bone fracture recovery.

Applications

Unspecified application

Species

Unspecified reactive species

Haifeng Hu,Dong Wang,Lihong Li,Haiyang Yin,Guoyu He,Yonghong Zhang

Cancer biotherapy & radiopharmaceuticals : PubMed32818383

2020

lncRNA DANCR Promotes Proliferation and Metastasis of Breast Cancer Cells Through Sponging miR-4319 and Upregulating VAPB.

Applications

Unspecified application

Species

Unspecified reactive species

Haiquan Jia,Kai Liang,Guohua Liu,Zeshuai Zhang,Yuan Shi,Hao Liang,Peng Liu
View all publications

Product promise

We are committed to supporting your work with high-quality reagents, and we're here for you every step of the way. In the unlikely event that one of our products does not perform as expected, you're protected by our Product Promise.
For full details, please see our Terms & Conditions

Please note: All products are 'FOR RESEARCH USE ONLY. NOT FOR USE IN DIAGNOSTIC OR THERAPEUTIC PROCEDURES'.

For licensing inquiries, please contact partnerships@abcam.com