JavaScript is disabled in your browser. Please enable JavaScript to view this website.
AB315013

Anti-VAPB antibody [EPR27026-50]

  • BOND RX™ Validated
  • 20ul selling size
  • RabMAb
  • Recombinant
  • What is this?

Be the first to review this product! Submit a review

|

(1 Publication)

Rabbit Recombinant Monoclonal VAPB antibody. Suitable for IHC-P, WB, IP and reacts with Human, Mouse samples. Cited in 1 publication.

View Alternative Names

UNQ484/PRO983, VAPB, Vesicle-associated membrane protein-associated protein B/C, VAMP-B/VAMP-C, VAMP-associated protein B/C, VAP-B/VAP-C

8 Images
Immunohistochemistry (Formalin/PFA-fixed paraffin-embedded sections) - Anti-VAPB antibody [EPR27026-50] (AB315013)
  • IHC-P

Supplier Data

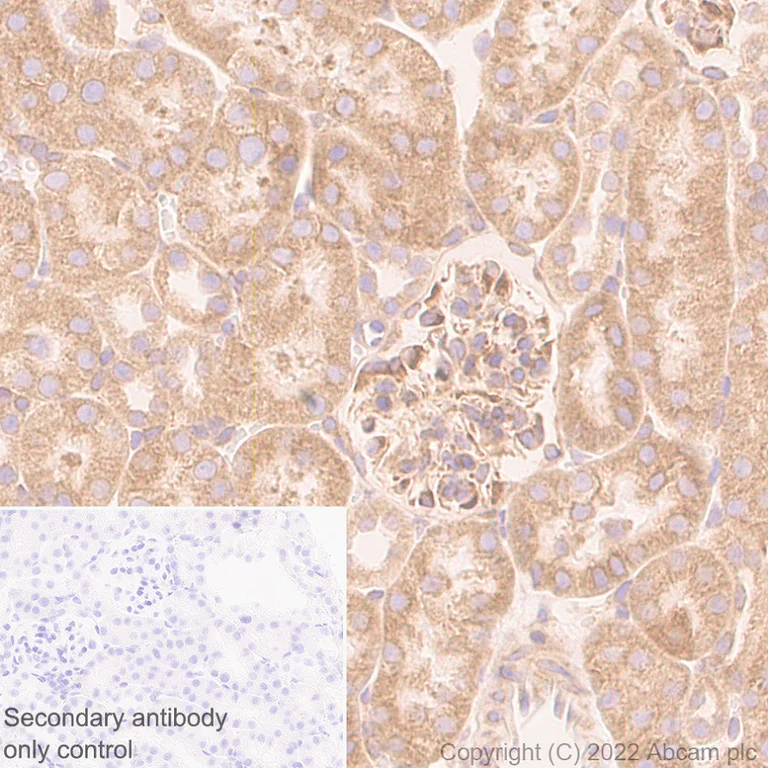
Immunohistochemistry (Formalin/PFA-fixed paraffin-embedded sections) - Anti-VAPB antibody [EPR27026-50] (AB315013)

Immunohistochemical analysis of paraffin-embedded Human kidney tissue labeling VAPB with ab315013 at 1/2000 (0.257 ug/ml) followed by a ready to use LeicaDS9800 (Bond™ Polymer Refine Detection). Cytoplasmic staining on human kidney. The section was incubated with ab315013 for 30 mins at room temperature. The immunostaining was performed on a Leica Biosystems BOND® RX instrument. Counterstained with Hematoxylin.

Secondary antibody only control : Secondary antibody is a ready to use LeicaDS9800 (Bond™ Polymer Refine Detection).

Heat mediated antigen retrieval was performed with Tris-EDTA buffer (pH 9.0, Epitope Retrieval Solution2) for 20 mins.

Immunohistochemistry (Formalin/PFA-fixed paraffin-embedded sections) - Anti-VAPB antibody [EPR27026-50] (AB315013)
  • IHC-P

Supplier Data

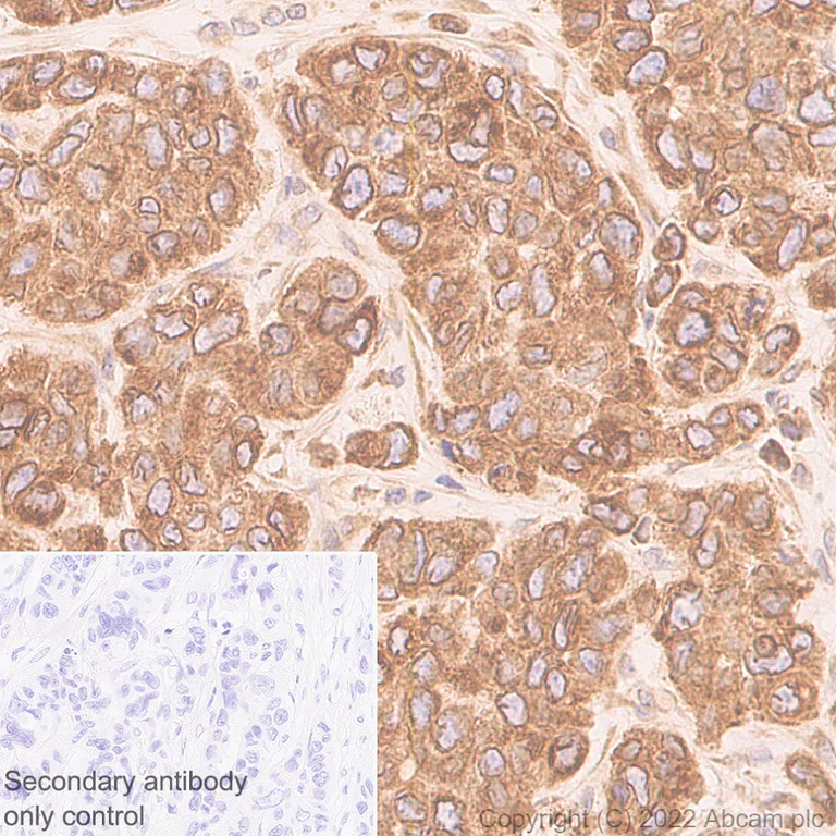
Immunohistochemistry (Formalin/PFA-fixed paraffin-embedded sections) - Anti-VAPB antibody [EPR27026-50] (AB315013)

Immunohistochemical analysis of paraffin-embedded Human breast carcinoma tissue labeling VAPB with ab315013 at 1/2000 (0.257 ug/ml) followed by a ready to use LeicaDS9800 (Bond™ Polymer Refine Detection). Cytoplasmic staining on human breast carcinoma. The section was incubated with ab315013 for 30 mins at room temperature. The immunostaining was performed on a Leica Biosystems BOND® RX instrument. Counterstained with Hematoxylin.

Secondary antibody only control : Secondary antibody is a ready to use LeicaDS9800 (Bond™ Polymer Refine Detection).

Heat mediated antigen retrieval was performed with Tris-EDTA buffer (pH 9.0, Epitope Retrieval Solution2) for 20 mins.

Immunohistochemistry (Formalin/PFA-fixed paraffin-embedded sections) - Anti-VAPB antibody [EPR27026-50] (AB315013)
  • IHC-P

Supplier Data

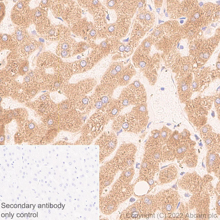
Immunohistochemistry (Formalin/PFA-fixed paraffin-embedded sections) - Anti-VAPB antibody [EPR27026-50] (AB315013)

Immunohistochemical analysis of paraffin-embedded Human liver tissue labeling VAPB with ab315013 at 1/2000 (0.257 ug/ml) followed by a ready to use LeicaDS9800 (Bond™ Polymer Refine Detection). Cytoplasmic staining on human liver. The section was incubated with ab315013 for 30 mins at room temperature. The immunostaining was performed on a Leica Biosystems BOND® RX instrument. Counterstained with Hematoxylin.

Secondary antibody only control : Secondary antibody is a ready to use LeicaDS9800 (Bond™ Polymer Refine Detection).

Heat mediated antigen retrieval was performed with Tris-EDTA buffer (pH 9.0, Epitope Retrieval Solution2) for 20 mins.

Immunoprecipitation - Anti-VAPB antibody [EPR27026-50] (AB315013)
  • IP

Supplier Data

Immunoprecipitation - Anti-VAPB antibody [EPR27026-50] (AB315013)

VAPB was immunoprecipitated from 0.35 mg HeLa (human cervix adenocarcinoma epithelial cell) whole cell lysate with ab315013 at 1/30 dilution (2ug in 0.35mg lysates). Western blot was performed on the immunoprecipitate using ab315013 at 1/1000 dilution. VeriBlot for IP secondary antibody(HRP)(ab131366) was used at 1/5000 dilution.

Lane 1 : HeLa (human cervix adenocarcinoma epithelial cell) whole cell lysate

Lane 2 : ab315013 IP in HeLa (human cervix adenocarcinoma epithelial cell) whole cell lysate

Lane 3 : Rabbit monoclonal lgG (ab172730) instead of ab315013 in HeLa whole cell lysate

Blocking and dilution buffer and concentration : 5% NFDM/TBST.

The lower band at 11 kDa is likely to be the short isoform.

All lanes:

Immunoprecipitation - Anti-VAPB antibody [EPR27026-50] (ab315013) at 1/30 dilution

All lanes:

HeLa (human cervix adenocarcinoma epithelial cell) whole cell lysate

Secondary

All lanes:

Immunoprecipitation - VeriBlot for IP Detection Reagent (HRP) (<a href='/en-us/products/reagents/veriblot-for-ip-detection-reagent-hrp-ab131366'>ab131366</a>) at 1/5000 dilution

false

Exposure time: 6s

Immunohistochemistry (Formalin/PFA-fixed paraffin-embedded sections) - Anti-VAPB antibody [EPR27026-50] (AB315013)
  • IHC-P

Supplier Data

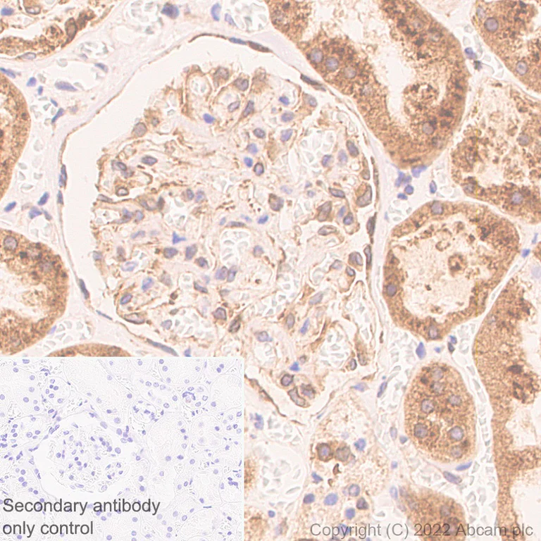
Immunohistochemistry (Formalin/PFA-fixed paraffin-embedded sections) - Anti-VAPB antibody [EPR27026-50] (AB315013)

Immunohistochemical analysis of paraffin-embedded Mouse kidney tissue labeling VAPB with ab315013 at 1/2000 (0.257 ug/ml) followed by a ready to use LeicaDS9800 (Bond™ Polymer Refine Detection). Cytoplasmic staining on mouse kidney. The section was incubated with ab315013 for 30 mins at room temperature. The immunostaining was performed on a Leica Biosystems BOND® RX instrument. Counterstained with Hematoxylin.

Secondary antibody only control : Secondary antibody is a ready to use LeicaDS9800 (Bond™ Polymer Refine Detection).

Heat mediated antigen retrieval was performed with Tris-EDTA buffer (pH 9.0, Epitope Retrieval Solution2) for 20 mins.

Western blot - Anti-VAPB antibody [EPR27026-50] (AB315013)
  • WB

Supplier Data

Western blot - Anti-VAPB antibody [EPR27026-50] (AB315013)

Blocking and diluting buffer and concentration : 5% NFDM/TBST.

All lanes:

Western blot - Anti-VAPB antibody [EPR27026-50] (ab315013) at 1/1000 dilution

Lane 1:

293T (human embryonic kidney epithelial cell) whole cell lysate at 20 µg

Lane 2:

HepG2 (human hepatocellular carcinoma epithelial cell) whole cell lysate at 20 µg

Lane 3:

Caco-2 (human colorectal adenocarcinoma epithelial cell) whole cell lysate at 20 µg

Secondary

All lanes:

Western blot - Goat Anti-Rabbit IgG H&L (HRP) (<a href='/en-us/products/secondary-antibodies/goat-rabbit-igg-h-l-hrp-ab97051'>ab97051</a>) at 1/100000 dilution

Observed band size: 27 kDa

false

Exposure time: 15s

Western blot - Anti-VAPB antibody [EPR27026-50] (AB315013)
  • WB

Supplier Data

Western blot - Anti-VAPB antibody [EPR27026-50] (AB315013)

Blocking and diluting buffer and concentration : 5% NFDM/TBST,

In Western blot, Anti-Histone H3 antibody [EPR16987] - Nuclear Marker and ChIP Grade (ab176842) staining at 1/100000 dilution.

All lanes:

Western blot - Anti-VAPB antibody [EPR27026-50] (ab315013) at 1/1000 dilution

Lane 1:

HeLa (human cervical adenocarcinoma epithelial cell) transfected with scrambled siRNA control whole cell lysate at 20 µg

Lane 2:

HeLa transfected with siRNA specifically targeting VAPB whole cell lysate at 20 µg

Secondary

All lanes:

Western blot - Goat Anti-Rabbit IgG H&L (HRP) (<a href='/en-us/products/secondary-antibodies/goat-rabbit-igg-h-l-hrp-ab97051'>ab97051</a>) at 1/100000 dilution

Observed band size: 27 kDa,15 kDa

false

Exposure time: 15s

Western blot - Anti-VAPB antibody [EPR27026-50] (AB315013)
  • WB

Supplier Data

Western blot - Anti-VAPB antibody [EPR27026-50] (AB315013)

Blocking and diluting buffer and concentration : 5% NFDM/TBST.

Exposure Time : Lane 1-3 : 15 seconds, lane 4-5 : 180 seconds.

All lanes:

Western blot - Anti-VAPB antibody [EPR27026-50] (ab315013) at 1/1000 dilution

Lane 1:

Human testis tissue lysate at 20 µg

Lane 2:

Human liver tissue lysate at 20 µg

Lane 3:

Mouse testis tissue lysate at 20 µg

Lane 4:

Mouse liver tissue lysate at 20 µg

Lane 5:

Mouse colon tissue lysate at 20 µg

Secondary

All lanes:

Western blot - Anti-mouse IgG for IP (HRP) (<a href='/en-us/products/secondary-antibodies/mouse-igg-for-ip-hrp-ab131368'>ab131368</a>) at 1/5000 dilution

Observed band size: 27 kDa

false

  • Carrier free

    Anti-VAPB antibody [EPR27026-50] - BSA and Azide free

Key facts

Host species

Rabbit

Clonality

Monoclonal

Clone number

EPR27026-50

Isotype

IgG

Carrier free

No

Reacts with

Human, Mouse

Applications

IP, IHC-P, WB

applications

Immunogen

The exact immunogen used to generate this antibody is proprietary information.

Reactivity data

{ "title": "Reactivity Data", "filters": { "stats": ["", "Species", "Dilution Info", "Notes"], "tabs": { "all-applications": {"fullname" : "All Applications", "shortname": "All Applications"}, "IHCP" : {"fullname" : "Immunohistochemistry (Formalin/PFA-fixed paraffin-embedded sections)", "shortname":"IHC-P"}, "WB" : {"fullname" : "Western blot", "shortname":"WB"}, "IP" : {"fullname" : "Immunoprecipitation", "shortname":"IP"}, "ICCIF" : {"fullname" : "Immunocytochemistry/ Immunofluorescence", "shortname":"ICC/IF"}, "FlowCytIntra" : {"fullname" : "Flow Cytometry (Intracellular)", "shortname":"Flow Cyt (Intra)"} }, "product-promise": { "all": "all", "testedAndGuaranteed": "tested", "guaranteed": "expected", "predicted": "predicted", "notRecommended": "not-recommended" } }, "values": { "Human": { "IHCP-species-checked": "testedAndGuaranteed", "IHCP-species-dilution-info": "1/2000", "IHCP-species-notes": "<p></p> Perform heat-mediated antigen retrieval with Tris/EDTA buffer pH 9.0 before commencing with IHC staining protocol.", "WB-species-checked": "testedAndGuaranteed", "WB-species-dilution-info": "1/1000", "WB-species-notes": "<p></p>", "IP-species-checked": "testedAndGuaranteed", "IP-species-dilution-info": "1/30", "IP-species-notes": "<p></p>", "ICCIF-species-checked": "notRecommended", "ICCIF-species-dilution-info": "", "ICCIF-species-notes": "<p></p>", "FlowCytIntra-species-checked": "notRecommended", "FlowCytIntra-species-dilution-info": "", "FlowCytIntra-species-notes": "<p></p>" }, "Mouse": { "IHCP-species-checked": "testedAndGuaranteed", "IHCP-species-dilution-info": "1/2000", "IHCP-species-notes": "<p></p> Perform heat-mediated antigen retrieval with Tris/EDTA buffer pH 9.0 before commencing with IHC staining protocol.", "WB-species-checked": "testedAndGuaranteed", "WB-species-dilution-info": "1/1000", "WB-species-notes": "<p></p>", "IP-species-checked": "guaranteed", "IP-species-dilution-info": "", "IP-species-notes": "", "ICCIF-species-checked": "notRecommended", "ICCIF-species-dilution-info": "", "ICCIF-species-notes": "<p></p>", "FlowCytIntra-species-checked": "notRecommended", "FlowCytIntra-species-dilution-info": "", "FlowCytIntra-species-notes": "" }, "Rat": { "IHCP-species-checked": "notRecommended", "IHCP-species-dilution-info": "", "IHCP-species-notes": "<p></p> Perform heat-mediated antigen retrieval with Tris/EDTA buffer pH 9.0 before commencing with IHC staining protocol.", "WB-species-checked": "notRecommended", "WB-species-dilution-info": "", "WB-species-notes": "<p></p>", "IP-species-checked": "notRecommended", "IP-species-dilution-info": "", "IP-species-notes": "", "ICCIF-species-checked": "notRecommended", "ICCIF-species-dilution-info": "", "ICCIF-species-notes": "", "FlowCytIntra-species-checked": "notRecommended", "FlowCytIntra-species-dilution-info": "", "FlowCytIntra-species-notes": "" } } }

Product details

Patented technology
Our RabMAb® technology is a patented hybridoma-based technology for making rabbit monoclonal antibodies. For details on our patents, please refer to RabMAb® patents.

What are the advantages of a recombinant monoclonal antibody?
This product is a recombinant monoclonal antibody, which offers several advantages including:

  • - High batch-to-batch consistency and reproducibility
  • - Improved sensitivity and specificity
  • - Long-term security of supply
  • - Animal-free batch production

For more information, read more on recombinant antibodies.

Properties and storage information

Form
Liquid
Purification technique
Affinity purification Protein A
Storage buffer
pH: 7.2 - 7.4 Preservative: 0.01% Sodium azide Constituents: PBS, 40% Glycerol (glycerin, glycerine), 0.05% BSA
Shipped at conditions
Blue Ice
Appropriate short-term storage duration
1-2 weeks
Appropriate short-term storage conditions
+4°C
Appropriate long-term storage conditions
-20°C
Aliquoting information
Upon delivery aliquot
Storage information
Avoid freeze / thaw cycle

Supplementary information

This supplementary information is collated from multiple sources and compiled automatically.

VAMP-associated protein B (VAPB) also known as VAP-B is a protein with a mass of approximately 27 kDa. It plays a role in membrane trafficking and lipid transport. VAPB accomplishes this by interacting with various vesicle-associated membrane protein (VAMP) family members. It is expressed in multiple tissues including the brain liver and muscle. VAPB localizes to the endoplasmic reticulum where it facilitates its mechanical functions.
Biological function summary

The protein assists in maintaining cellular homeostasis by influencing lipid transport and membrane composition. VAPB forms part of a larger protein complex that includes other lipid-binding proteins and is essential for the regulation of lipid-dependent signaling pathways. This complex allows VAPB to perform its biological functions effectively within cells.

Pathways

VAPB participates in critical pathways like the unfolded protein response (UPR) and ER-associated degradation (ERAD). These pathways ensure proper protein folding and degradation. VAPB interacts with other important proteins such as VAMP family members to convey signals and manage lipid distribution. Disruptions in these pathways can affect cellular functions evidencing VAPB's integral role.

VAPB has strong connections to certain neurodegenerative diseases such as amyotrophic lateral sclerosis (ALS) and spinal muscular atrophy (SMA). Mutations in the VAPB gene have been linked to the familial form of ALS impacting the protein's function and leading to disease progression. VAPB associates with proteins like TDP-43 which also play a role in neurodegenerative disease mechanisms establishing its critical involvement in these conditions.

Product protocols

For this product, it's our understanding that no specific protocols are required. You can visit:

Target data

Endoplasmic reticulum (ER)-anchored protein that mediates the formation of contact sites between the ER and endosomes via interaction with FFAT motif-containing proteins such as STARD3 or WDR44 (PubMed : 32344433, PubMed : 33124732). Interacts with STARD3 in a FFAT motif phosphorylation dependent manner (PubMed : 33124732). Via interaction with WDR44 participates in neosynthesized protein export (PubMed : 32344433). Participates in the endoplasmic reticulum unfolded protein response (UPR) by inducing ERN1/IRE1 activity (PubMed : 16891305, PubMed : 20940299). Involved in cellular calcium homeostasis regulation (PubMed : 22131369).
See full target information VAPB

Publications (1)

Recent publications for all applications. Explore the full list and refine your search

F1000Research 13:1559 PubMed39916983

2025

A guide to selecting high-performing antibodies for VAPB (UniProt ID: O95292) for use in western blot, immunoprecipitation, and immunofluorescence.

Applications

WB, ICC, IP

Species

Human, Human, Human

Sara González Bolívar,Riham Ayoubi,Charles Alende,Maryam Fothouhi,Irina Shlaifer,Peter S McPherson,Carl Laflamme
View all publications

Product promise

We are committed to supporting your work with high-quality reagents, and we're here for you every step of the way. In the unlikely event that one of our products does not perform as expected, you're protected by our Product Promise.
For full details, please see our Terms & Conditions

Please note: All products are 'FOR RESEARCH USE ONLY. NOT FOR USE IN DIAGNOSTIC OR THERAPEUTIC PROCEDURES'.

For licensing inquiries, please contact partnerships@abcam.com