JavaScript is disabled in your browser. Please enable JavaScript to view this website.
AB109541

Anti-VASP (phospho S156) antibody [EPR1065(2)]

Be the first to review this product! Submit a review

|

(2 Publications)

Rabbit Recombinant Monoclonal VASP phospho S156 antibody. Suitable for IHC-P, WB and reacts with Human samples. Cited in 2 publications.

View Alternative Names

Vasodilator-stimulated phosphoprotein, VASP

2 Images
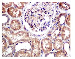
Immunohistochemistry (Formalin/PFA-fixed paraffin-embedded sections) - Anti-VASP (phospho S156) antibody [EPR1065(2)] (AB109541)
  • IHC-P

Unknown

Immunohistochemistry (Formalin/PFA-fixed paraffin-embedded sections) - Anti-VASP (phospho S156) antibody [EPR1065(2)] (AB109541)

ab109541 at 1/100 dilution staining VASP (phospho S156) in paraffin-embedded Human kidney tissue by Immunohistochemistry.

Perform heat mediated antigen retrieval with citrate buffer pH 6 before commencing with IHC staining protocol.

Western blot - Anti-VASP (phospho S156) antibody [EPR1065(2)] (AB109541)
  • WB

Unknown

Western blot - Anti-VASP (phospho S156) antibody [EPR1065(2)] (AB109541)

All lanes:

Western blot - Anti-VASP (phospho S156) antibody [EPR1065(2)] (ab109541) at 1/1000 dilution

Lane 1:

Human platelet cell lysate, untreated at 10 µg

Lane 2:

Human platelet cell lysate treated with Alkaline Phosphatase (AP) at 10 µg

Secondary

All lanes:

HRP-labelled goat anti-rabbit at 1/2000 dilution

Predicted band size: 39 kDa

false

Key facts

Host species

Rabbit

Clonality

Monoclonal

Clone number

EPR1065(2)

Isotype

IgG

Carrier free

No

Reacts with

Human

Applications

WB, IHC-P

applications

Immunogen

The exact immunogen used to generate this antibody is proprietary information.

Reactivity data

{ "title": "Reactivity Data", "filters": { "stats": ["", "Species", "Dilution Info", "Notes"], "tabs": { "all-applications": {"fullname" : "All Applications", "shortname": "All Applications"}, "IHCP" : {"fullname" : "Immunohistochemistry (Formalin/PFA-fixed paraffin-embedded sections)", "shortname":"IHC-P"}, "ICCIF" : {"fullname" : "Immunocytochemistry/ Immunofluorescence", "shortname":"ICC/IF"}, "IP" : {"fullname" : "Immunoprecipitation", "shortname":"IP"}, "FlowCyt" : {"fullname" : "Flow Cytometry", "shortname":"Flow Cyt"}, "WB" : {"fullname" : "Western blot", "shortname":"WB"} }, "product-promise": { "all": "all", "testedAndGuaranteed": "tested", "guaranteed": "expected", "predicted": "predicted", "notRecommended": "not-recommended" } }, "values": { "Human": { "IHCP-species-checked": "testedAndGuaranteed", "IHCP-species-dilution-info": "1/100 - 1/250", "IHCP-species-notes": "<p></p>", "ICCIF-species-checked": "notRecommended", "ICCIF-species-dilution-info": "", "ICCIF-species-notes": "<p></p>", "IP-species-checked": "notRecommended", "IP-species-dilution-info": "", "IP-species-notes": "<p></p>", "FlowCyt-species-checked": "notRecommended", "FlowCyt-species-dilution-info": "", "FlowCyt-species-notes": "<p></p>", "WB-species-checked": "testedAndGuaranteed", "WB-species-dilution-info": "1/1000 - 1/10000", "WB-species-notes": "<p></p>" }, "Mouse": { "IHCP-species-checked": "predicted", "IHCP-species-dilution-info": "", "IHCP-species-notes": "", "ICCIF-species-checked": "notRecommended", "ICCIF-species-dilution-info": "", "ICCIF-species-notes": "", "IP-species-checked": "notRecommended", "IP-species-dilution-info": "", "IP-species-notes": "", "FlowCyt-species-checked": "notRecommended", "FlowCyt-species-dilution-info": "", "FlowCyt-species-notes": "", "WB-species-checked": "predicted", "WB-species-dilution-info": "", "WB-species-notes": "" } } }

Product details

Patented technology
Our RabMAb® technology is a patented hybridoma-based technology for making rabbit monoclonal antibodies. For details on our patents, please refer to RabMAb® patents.

What are the advantages of a recombinant monoclonal antibody?
This product is a recombinant monoclonal antibody, which offers several advantages including:

  • - High batch-to-batch consistency and reproducibility
  • - Improved sensitivity and specificity
  • - Long-term security of supply
  • - Animal-free batch production

For more information, read more on recombinant antibodies.

Species reactivity
Rat: We have preliminary internal testing data to indicate this antibody may not react with this species.
Please contact us for more information.

Properties and storage information

Form
Liquid
Purification technique
Affinity purification Protein A
Storage buffer
pH: 7.2 - 7.4 Preservative: 0.05% Sodium azide Constituents: 50% Tissue culture supernatant, 40% Glycerol (glycerin, glycerine), 9.85% Tris glycine, 0.1% BSA
Shipped at conditions
Blue Ice
Appropriate short-term storage conditions
+4°C
Appropriate long-term storage conditions
-20°C
Storage information
Stable for 12 months at -20°C

Supplementary information

This supplementary information is collated from multiple sources and compiled automatically.

VASP also known as Vasodilator-Stimulated Phosphoprotein is a 46-50 kDa protein involved in actin filament assembly and elongation. It plays an important role in cellular motility and the maintenance of cell shape. VASP is expressed in many cell types but is notably present in platelets and endothelial cells. It is an important player in signal transduction pathways that lead to cytoskeletal reorganization influencing cell movement and adhesion dynamics.
Biological function summary

VASP is an important component in cell movement regulation. It acts within a larger complex of actin-binding proteins that control the assembly of actin filaments. This protein influences cell adhesion migration and signal transduction processes. Through these actions VASP influences cellular responses to environmental cues making it essential for cellular dynamics and integrity during development and wound healing.

Pathways

VASP connects to significant signaling pathways such as the PI3K/Akt pathway and the cAMP pathway. It often interacts with proteins like c-Abl tyrosine kinase and Mena contributing to actin dynamics regulation. These pathways are critical for transducing signals from extracellular environments to intracellular responses allowing for coordinated cellular functions in processes such as cell migration and growth.

VASP plays a role in cardiovascular disease and cancer-related metastasis due to its function in cell motility and adhesion. Abnormal VASP activity is associated with impaired endothelial cell function and contributes to atherosclerosis development. Additionally it interacts with proteins like Mena and fascin in cancer cells aiding in metastatic progression by enhancing motility and invasive capabilities.

Product protocols

For this product, it's our understanding that no specific protocols are required. You can visit:

Target data

Ena/VASP proteins are actin-associated proteins involved in a range of processes dependent on cytoskeleton remodeling and cell polarity such as axon guidance, lamellipodial and filopodial dynamics, platelet activation and cell migration. VASP promotes actin filament elongation. It protects the barbed end of growing actin filaments against capping and increases the rate of actin polymerization in the presence of capping protein. VASP stimulates actin filament elongation by promoting the transfer of profilin-bound actin monomers onto the barbed end of growing actin filaments. Plays a role in actin-based mobility of Listeria monocytogenes in host cells. Regulates actin dynamics in platelets and plays an important role in regulating platelet aggregation.
See full target information Vasodilator-stimulated phosphoprotein phospho S156

Publications (2)

Recent publications for all applications. Explore the full list and refine your search

International journal of molecular medicine 42:557-568 PubMed29693118

2018

IDO decreases glycolysis and glutaminolysis by activating GCN2K, while it increases fatty acid oxidation by activating AhR, thus preserving CD4+ T‑cell survival and proliferation.

Applications

Unspecified application

Species

Unspecified reactive species

Theodoros Eleftheriadis,Georgios Pissas,Vassilios Liakopoulos,Ioannis Stefanidis

Proteomics 18:e1700242 PubMed29460479

2018

Label-Free Quantitative Phosphoproteomics Reveals Regulation of Vasodilator-Stimulated Phosphoprotein upon Stathmin-1 Silencing in a Pair of Isogenic Colorectal Cancer Cell Lines.

Applications

Unspecified application

Species

Unspecified reactive species

Hwee Tong Tan,Maxey Ching Ming Chung
View all publications

Product promise

We are committed to supporting your work with high-quality reagents, and we're here for you every step of the way. In the unlikely event that one of our products does not perform as expected, you're protected by our Product Promise.
For full details, please see our Terms & Conditions

Please note: All products are 'FOR RESEARCH USE ONLY. NOT FOR USE IN DIAGNOSTIC OR THERAPEUTIC PROCEDURES'.

For licensing inquiries, please contact partnerships@abcam.com