JavaScript is disabled in your browser. Please enable JavaScript to view this website.
AB267471

Anti-Vaspin antibody [EPR23080-232]

Be the first to review this product! Submit a review

|

(0 Publication)

Rabbit Recombinant Monoclonal Vaspin antibody. Suitable for IP, WB and reacts with Rat samples.

View Alternative Names

Serpin A12, OL-64, Visceral adipose tissue-derived serine protease inhibitor, Visceral adipose-specific serpin, Vaspin, SERPINA12

3 Images
Immunoprecipitation - Anti-Vaspin antibody [EPR23080-232] (AB267471)
  • IP

Unknown

Immunoprecipitation - Anti-Vaspin antibody [EPR23080-232] (AB267471)

Vaspin was immunoprecipitated from 0.35 mg Rat stomach tissue lysate with ab267471 at 1/30 dilution (2ug in 0.35mg lysates). Western blot was performed on the immunoprecipitate using ab267471 at 1/1000 dilution. VeriBlot for IP Detection Reagent (HRP)(ab131366) was used at 1/5000 dilution.

Lane 1 : Rat stomach tissue lysate 10ug

Lane 2 : ab267471 IP in Rat stomach tissue lysate

Lane 3 : Rabbit monoclonal IgG (ab172730) instead of ab267471 in Rat stomach tissue lysate

Blocking and dilution buffer and concentration : 5% NFDM/TBST.

Exposure time : 3 minutes

All lanes:

Immunoprecipitation - Anti-Vaspin antibody [EPR23080-232] (ab267471)

Predicted band size: 47 kDa

false

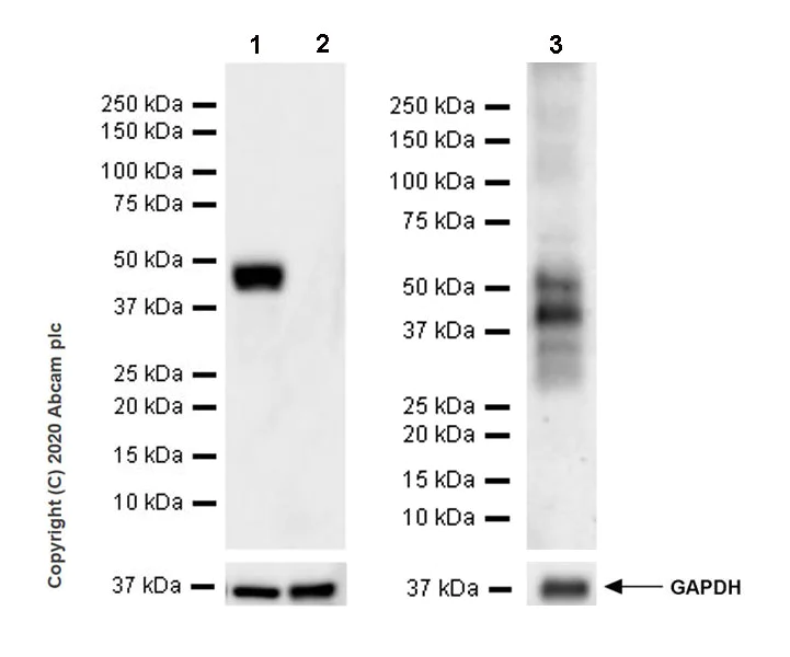
Western blot - Anti-Vaspin antibody [EPR23080-232] (AB267471)
  • WB

Lab

Western blot - Anti-Vaspin antibody [EPR23080-232] (AB267471)

Blocking and diluting buffer and concentration : 5% NFDM/TBST

The band of 42kDa is the endogenously cleaved form.

The expression profile/molecular weight observed is consistent with what has been described in the literature (PMID : 19554505, 16030142, 26199422).

Negative control : kidney (PMID : 19554505).

Exposure time : lane1-2 : 59 seconds lane 3 : 3 minutes

All lanes:

Western blot - Anti-Vaspin antibody [EPR23080-232] (ab267471) at 1/1000 dilution

Lane 1:

Rat stomach tissue lysate at 20 µg

Lane 2:

Rat kidney tissue lysate at 20 µg

Lane 3:

Rat skin tissue lysate at 60 µg

Secondary

Lanes 1 - 2:

Goat Anti-Rabbit IgG, (H+L), Peroxidase conjugated (<a href='/en-us/products/secondary-antibodies/goat-rabbit-igg-h-l-hrp-ab97051'>ab97051</a>) at 1/50000 dilution

Lane 3:

Western blot - Goat Anti-Rabbit IgG H&L (HRP) (<a href='/en-us/products/secondary-antibodies/goat-rabbit-igg-h-l-hrp-ab97051'>ab97051</a>) at 1/50000 dilution

Predicted band size: 47 kDa

Observed band size: 42 kDa,47 kDa

false

Western blot - Anti-Vaspin antibody [EPR23080-232] (AB267471)
  • WB

Lab

Western blot - Anti-Vaspin antibody [EPR23080-232] (AB267471)

Blocking and diluting buffer and concentration : 5% NFDM/TBST

Exposure time : 26 seconds

All lanes:

Western blot - Anti-Vaspin antibody [EPR23080-232] (ab267471) at 1/1000 dilution

All lanes:

His-tagged recombinant Rat Serpin A12 Protein (aa20-411),

Secondary

All lanes:

Goat Anti-Rabbit IgG, (H+L), Peroxidase conjugated (<a href='/en-us/products/secondary-antibodies/goat-rabbit-igg-h-l-hrp-ab97051'>ab97051</a>) at 1/100000 dilution

Predicted band size: 47 kDa

Observed band size: 47 kDa

false

  • Carrier free

    Anti-Vaspin antibody [EPR23080-232] - BSA and Azide free

Key facts

Host species

Rabbit

Clonality

Monoclonal

Clone number

EPR23080-232

Isotype

IgG

Carrier free

No

Reacts with

Rat

Applications

WB, IP

applications

Immunogen

The exact immunogen used to generate this antibody is proprietary information.

Reactivity data

{ "title": "Reactivity Data", "filters": { "stats": ["", "Species", "Dilution Info", "Notes"], "tabs": { "all-applications": {"fullname" : "All Applications", "shortname": "All Applications"}, "IP" : {"fullname" : "Immunoprecipitation", "shortname":"IP"}, "WB" : {"fullname" : "Western blot", "shortname":"WB"}, "IHCP" : {"fullname" : "Immunohistochemistry (Formalin/PFA-fixed paraffin-embedded sections)", "shortname":"IHC-P"}, "IHCFr" : {"fullname" : "Immunohistochemistry (Frozen sections)", "shortname":"IHC-Fr"} }, "product-promise": { "all": "all", "testedAndGuaranteed": "tested", "guaranteed": "expected", "predicted": "predicted", "notRecommended": "not-recommended" } }, "values": { "Human": { "IP-species-checked": "notRecommended", "IP-species-dilution-info": "", "IP-species-notes": "", "WB-species-checked": "notRecommended", "WB-species-dilution-info": "1/1000", "WB-species-notes": "<p></p>", "IHCP-species-checked": "notRecommended", "IHCP-species-dilution-info": "", "IHCP-species-notes": "<p></p>", "IHCFr-species-checked": "notRecommended", "IHCFr-species-dilution-info": "", "IHCFr-species-notes": "" }, "Mouse": { "IP-species-checked": "notRecommended", "IP-species-dilution-info": "", "IP-species-notes": "", "WB-species-checked": "notRecommended", "WB-species-dilution-info": "1/1000", "WB-species-notes": "<p></p>", "IHCP-species-checked": "notRecommended", "IHCP-species-dilution-info": "", "IHCP-species-notes": "<p></p>", "IHCFr-species-checked": "notRecommended", "IHCFr-species-dilution-info": "", "IHCFr-species-notes": "<p></p>" }, "Rat": { "IP-species-checked": "testedAndGuaranteed", "IP-species-dilution-info": "1/30", "IP-species-notes": "<p></p>", "WB-species-checked": "testedAndGuaranteed", "WB-species-dilution-info": "1/1000", "WB-species-notes": "<p></p>", "IHCP-species-checked": "notRecommended", "IHCP-species-dilution-info": "", "IHCP-species-notes": "<p></p>", "IHCFr-species-checked": "notRecommended", "IHCFr-species-dilution-info": "", "IHCFr-species-notes": "<p></p>" } } }

Product details

Patented technology
Our RabMAb® technology is a patented hybridoma-based technology for making rabbit monoclonal antibodies. For details on our patents, please refer to RabMAb® patents.

What are the advantages of a recombinant monoclonal antibody?
This product is a recombinant monoclonal antibody, which offers several advantages including:

  • - High batch-to-batch consistency and reproducibility
  • - Improved sensitivity and specificity
  • - Long-term security of supply
  • - Animal-free batch production

For more information, read more on recombinant antibodies.

Properties and storage information

Form
Liquid
Purification technique
Affinity purification Protein A
Storage buffer
pH: 7.2 - 7.4 Preservative: 0.01% Sodium azide Constituents: PBS, 40% Glycerol (glycerin, glycerine), 0.05% BSA
Shipped at conditions
Blue Ice
Appropriate short-term storage duration
1-2 weeks
Appropriate short-term storage conditions
+4°C
Appropriate long-term storage conditions
-20°C
Aliquoting information
Upon delivery aliquot
Storage information
Avoid freeze / thaw cycle

Product protocols

For this product, it's our understanding that no specific protocols are required. You can visit:

Target data

Adipokine that modulates insulin action by specifically inhibiting its target protease KLK7 in white adipose tissues.
See full target information Serpin A12

Product promise

We are committed to supporting your work with high-quality reagents, and we're here for you every step of the way. In the unlikely event that one of our products does not perform as expected, you're protected by our Product Promise.
For full details, please see our Terms & Conditions

Please note: All products are 'FOR RESEARCH USE ONLY. NOT FOR USE IN DIAGNOSTIC OR THERAPEUTIC PROCEDURES'.

For licensing inquiries, please contact partnerships@abcam.com