JavaScript is disabled in your browser. Please enable JavaScript to view this website.
AB97574

Anti-VAV1 antibody

Be the first to review this product! Submit a review

|

(9 Publications)

Rabbit Polyclonal VAV antibody. Suitable for WB, IHC-P and reacts with Mouse, Human samples. Cited in 9 publications. Immunogen corresponding to Recombinant Fragment Protein within Human VAV1 aa 50-550.

View Alternative Names

VAV, VAV1, Proto-oncogene vav

3 Images
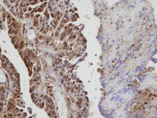
Immunohistochemistry (Formalin/PFA-fixed paraffin-embedded sections) - Anti-VAV1 antibody (AB97574)
  • IHC-P

Unknown

Immunohistochemistry (Formalin/PFA-fixed paraffin-embedded sections) - Anti-VAV1 antibody (AB97574)

Paraffin-embedded human serous ovarian cancer tissue stained VAV1 using ab97574 at 1/100 dilution in immunohistochemical analysis.

Antigen Retrieval : EDTA based buffer, pH 8.0, 15min

Western blot - Anti-VAV1 antibody (AB97574)
  • WB

Supplier Data

Western blot - Anti-VAV1 antibody (AB97574)

Samples were separated by 5% SDS-PAGE.

All lanes:

Western blot - Anti-VAV1 antibody (ab97574) at 1/500 dilution

Lane 1:

Jurkat whole cell extracts at 30 µg

Lane 2:

Raji whole cell extracts at 30 µg

Lane 3:

NCI H929 whole cell extracts at 30 µg

Secondary

All lanes:

HRP conjugated anti rabbit IgG antibody

Predicted band size: 98 kDa

false

Western blot - Anti-VAV1 antibody (AB97574)
  • WB

Supplier Data

Western blot - Anti-VAV1 antibody (AB97574)

7.5% SDS-PAGE

All lanes:

Western blot - Anti-VAV1 antibody (ab97574) at 1/1000 dilution

All lanes:

BCL-1 (mouse B lymphocyte lymphoma cell line) whole cell lysate at 30 µg

Secondary

All lanes:

HRP-conjugated anti-rabbit IgG antibody

Predicted band size: 98 kDa

false

Key facts

Host species

Rabbit

Clonality

Polyclonal

Isotype

IgG

Carrier free

No

Reacts with

Mouse, Human

Applications

IHC-P, WB

applications

Immunogen

Recombinant Fragment Protein within Human VAV1 aa 50-550. The exact immunogen used to generate this antibody is proprietary information.

P15498

Reactivity data

{ "title": "Reactivity Data", "filters": { "stats": ["", "Species", "Dilution Info", "Notes"], "tabs": { "all-applications": {"fullname" : "All Applications", "shortname": "All Applications"}, "WB" : {"fullname" : "Western blot", "shortname":"WB"}, "IHCP" : {"fullname" : "Immunohistochemistry (Formalin/PFA-fixed paraffin-embedded sections)", "shortname":"IHC-P"} }, "product-promise": { "all": "all", "testedAndGuaranteed": "tested", "guaranteed": "expected", "predicted": "predicted", "notRecommended": "not-recommended" } }, "values": { "Human": { "WB-species-checked": "testedAndGuaranteed", "WB-species-dilution-info": "1/500 - 1/3000", "WB-species-notes": "<p></p>", "IHCP-species-checked": "testedAndGuaranteed", "IHCP-species-dilution-info": "1/100 - 1/1000", "IHCP-species-notes": "<p></p>" }, "Mouse": { "WB-species-checked": "testedAndGuaranteed", "WB-species-dilution-info": "1/500 - 1/3000", "WB-species-notes": "<p></p>", "IHCP-species-checked": "guaranteed", "IHCP-species-dilution-info": "", "IHCP-species-notes": "" } } }

Properties and storage information

Form
Liquid
Purification technique
Affinity purification Immunogen
Storage buffer
pH: 7 Preservative: 0.025% Proclin 300 Constituents: PBS, 20% Glycerol (glycerin, glycerine)
Shipped at conditions
Blue Ice
Appropriate short-term storage duration
1-2 weeks
Appropriate short-term storage conditions
+4°C
Appropriate long-term storage conditions
-20°C
Aliquoting information
Upon delivery aliquot
Storage information
Avoid freeze / thaw cycle

Supplementary information

This supplementary information is collated from multiple sources and compiled automatically.

VAV1 also known as VAV-1 is a guanine nucleotide exchange factor with a mass of approximately 95 kDa. It activates Rho family GTPases by promoting the exchange of GDP for GTP. VAV1 is mainly expressed in hematopoietic cells playing an important role in immune responses. Its structure includes several domains – Dbl homology pleckstrin homology and an SH3 domain – that contribute to its function by facilitating interactions with other proteins.
Biological function summary

VAV1 regulates the signaling processes that lead to actin cytoskeletal rearrangements cell proliferation and differentiation. It forms part of larger multiprotein complexes that transmit signals from the cell surface to the nucleus. The activity of VAV1 is important for normal lymphocyte development and activation. By interacting with surface receptors it influences downstream effects altering cellular behavior and promoting adaptive immune responses.

Pathways

VAV1 is integral to the T cell receptor (TCR) signaling pathway and the B cell receptor (BCR) pathway. It acts as a link between the receptors and the Rho family of GTPases such as Rac1 and Cdc42 mediating the transmission of signals that result in cellular responses. The coupling of VAV1 with proteins like LAT and SLP-76 strengthens the signaling cascade necessary for lymphocyte activation and proliferation.

Deregulation of VAV1 is associated with certain cancers such as leukemia and lymphoma. Changes in VAV1 expression or activity can disrupt normal immune cell signaling promoting unchecked growth and survival of malignant cells. Additionally VAV1 is linked to autoimmune diseases where its altered function can lead to inappropriate immune responses. VAV1 interactions with proteins like ZAP-70 highlight its role in these pathologies highlighting its significance as a potential therapeutic target.

Product protocols

For this product, it's our understanding that no specific protocols are required. You can visit:

Target data

Couples tyrosine kinase signals with the activation of the Rho/Rac GTPases, thus leading to cell differentiation and/or proliferation.
See full target information VAV1

Publications (9)

Recent publications for all applications. Explore the full list and refine your search

International immunopharmacology 119:110177 PubMed37068336

2023

Esculin alleviates LPS-induced acute lung injury via inhibiting neutrophil recruitment and migration.

Applications

Unspecified application

Species

Unspecified reactive species

Jiangwei Ni,Ge Li,Ningfeng Dai,Zijiao Quan,Haibin Tong,Yu Liu

Journal of inflammation research 16:827-843 PubMed36876153

2023

The , and Genes Associated with Atherosclerosis May Be Potential Diagnostic Biomarkers for Psoriasis.

Applications

Unspecified application

Species

Unspecified reactive species

Shougang Liu,Fanghua Liu,Zeqiao Zhang,Zhe Zhuang,Xiuqing Yuan,Yongfeng Chen

Oxidative medicine and cellular longevity 2022:6842530 PubMed36329800

2022

TMT-Based Quantitative Proteomic Analysis Reveals Downregulation of ITGAL and Syk by the Effects of Cycloastragenol in OVA-Induced Asthmatic Mice.

Applications

Unspecified application

Species

Unspecified reactive species

Xueyi Zhu,Baojun Liu,Zhenhui Ruan,Mengmeng Chen,Congcong Li,Hanlin Shi,Xi Huang,Hang Yu,Yaolong Zhou,Hehua Zhu,Jing Sun,Ying Wei,Weifang Xu,Jingcheng Dong

Journal of orthopaedic translation 22:81-91 PubMed32440503

2020

Stearic acid methyl ester ​promotes migration of mesenchymal stem cells and accelerates cartilage defect repair.

Applications

Unspecified application

Species

Unspecified reactive species

Yamei Liu,Liangliang Xu,Liuchao Hu,Dongfeng Chen,Lijuan Yu,Xican Li,Hongtai Chen,Junlang Zhu,Chen Chen,Yiwen Luo,Bin Wang,Gang Li

Journal of cellular physiology 235:480-493 PubMed31385301

2019

MicroRNA-326 decreases tau phosphorylation and neuron apoptosis through inhibition of the JNK signaling pathway by targeting VAV1 in Alzheimer's disease.

Applications

Unspecified application

Species

Unspecified reactive species

Bin He,Wei Chen,Jingsong Zeng,Wusong Tong,Ping Zheng

Cell stem cell 23:181-192.e5 PubMed30082067

2018

Human iPSC-Derived Natural Killer Cells Engineered with Chimeric Antigen Receptors Enhance Anti-tumor Activity.

Applications

Unspecified application

Species

Unspecified reactive species

Ye Li,David L Hermanson,Branden S Moriarity,Dan S Kaufman

Journal of cellular biochemistry 119:5437-5448 PubMed29369410

2018

Protective effects of microRNA-330 on amyloid β-protein production, oxidative stress, and mitochondrial dysfunction in Alzheimer's disease by targeting VAV1 via the MAPK signaling pathway.

Applications

Unspecified application

Species

Unspecified reactive species

Ying Zhou,Zhou-Fan Wang,Wei Li,Hui Hong,Juan Chen,Yi Tian,Zhao-Yun Liu

International journal of clinical and experimental 11:391-398 PubMed31938123

2018

Elevated level of Vav1 was correlated with advanced biological behavior and poor prognosis in patients with gastric cancer.

Applications

Unspecified application

Species

Unspecified reactive species

Lili Kang,Xuwen Hao,Yanping Tang,Zhihua Zhao,Hongjie Zhang,Yanxia Gong

Blood 128:1234-45 PubMed27297792

2016

Integrated mate-pair and RNA sequencing identifies novel, targetable gene fusions in peripheral T-cell lymphoma.

Applications

Unspecified application

Species

Unspecified reactive species

Rebecca L Boddicker,Gina L Razidlo,Surendra Dasari,Yu Zeng,Guangzhen Hu,Ryan A Knudson,Patricia T Greipp,Jaime I Davila,Sarah H Johnson,Julie C Porcher,James B Smadbeck,Bruce W Eckloff,Daniel D Billadeau,Paul J Kurtin,Mark A McNiven,Brian K Link,Stephen M Ansell,James R Cerhan,Yan W Asmann,George Vasmatzis,Andrew L Feldman
View all publications

Product promise

We are committed to supporting your work with high-quality reagents, and we're here for you every step of the way. In the unlikely event that one of our products does not perform as expected, you're protected by our Product Promise.
For full details, please see our Terms & Conditions

Please note: All products are 'FOR RESEARCH USE ONLY. NOT FOR USE IN DIAGNOSTIC OR THERAPEUTIC PROCEDURES'.

For licensing inquiries, please contact partnerships@abcam.com