JavaScript is disabled in your browser. Please enable JavaScript to view this website.
AB50899

Anti-VAX2 antibody [VAX2A8F12]

Be the first to review this product! Submit a review

|

(1 Publication)

Mouse Monoclonal VAX2 antibody. Suitable for WB, ICC/IF and reacts with Mouse, Human samples. Cited in 1 publication. Immunogen corresponding to Recombinant Fragment Protein within Human VAX2.

View Alternative Names

Ventral anterior homeobox 2, VAX2

3 Images
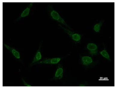
Immunocytochemistry/ Immunofluorescence - Anti-VAX2 antibody [VAX2A8F12] (AB50899)
  • ICC/IF

Unknown

Immunocytochemistry/ Immunofluorescence - Anti-VAX2 antibody [VAX2A8F12] (AB50899)

ab50899 at 1/10 dilution staining HeLa cells; visualised with AlexaFluor®488 Goat Anti-mouse IgG at 1/200 dilution.

Western blot - Anti-VAX2 antibody [VAX2A8F12] (AB50899)
  • WB

Unknown

Western blot - Anti-VAX2 antibody [VAX2A8F12] (AB50899)

All lanes:

Western blot - Anti-VAX2 antibody [VAX2A8F12] (ab50899) at 1/50 dilution

All lanes:

NIH3T3 whole cell lysate at 50 µg/mL

Secondary

All lanes:

Anti mouse IgG antibody at 1/2500 dilution

Predicted band size: 31 kDa

Observed band size: 31 kDa

false

Western blot - Anti-VAX2 antibody [VAX2A8F12] (AB50899)
  • WB

Unknown

Western blot - Anti-VAX2 antibody [VAX2A8F12] (AB50899)

All lanes:

Western blot - Anti-VAX2 antibody [VAX2A8F12] (ab50899) at 1/50 dilution

All lanes:

HeLa whole cell lysate at 50 µg

Secondary

All lanes:

Anti mouse IgG antibody at 1/2500 dilution

Predicted band size: 31 kDa

Observed band size: 31 kDa

false

Key facts

Host species

Mouse

Clonality

Monoclonal

Clone number

VAX2A8F12

Isotype

IgG1

Carrier free

No

Reacts with

Mouse, Human

Applications

WB, ICC/IF

applications

Immunogen

Recombinant Fragment Protein within Human VAX2. The exact immunogen used to generate this antibody is proprietary information.

Q9UIW0

Reactivity data

{ "title": "Reactivity Data", "filters": { "stats": ["", "Species", "Dilution Info", "Notes"], "tabs": { "all-applications": {"fullname" : "All Applications", "shortname": "All Applications"}, "WB" : {"fullname" : "Western blot", "shortname":"WB"}, "ICCIF" : {"fullname" : "Immunocytochemistry/ Immunofluorescence", "shortname":"ICC/IF"} }, "product-promise": { "all": "all", "testedAndGuaranteed": "tested", "guaranteed": "expected", "predicted": "predicted", "notRecommended": "not-recommended" } }, "values": { "Human": { "WB-species-checked": "testedAndGuaranteed", "WB-species-dilution-info": "1/50", "WB-species-notes": "<p></p>", "ICCIF-species-checked": "testedAndGuaranteed", "ICCIF-species-dilution-info": "1/10", "ICCIF-species-notes": "<p></p>" }, "Mouse": { "WB-species-checked": "testedAndGuaranteed", "WB-species-dilution-info": "1/50", "WB-species-notes": "<p></p>", "ICCIF-species-checked": "guaranteed", "ICCIF-species-dilution-info": "", "ICCIF-species-notes": "" } } }

Properties and storage information

Form
Liquid
Purification technique
Affinity purification Protein G
Purification notes
Filtered through a 0.22 µm membrane
Storage buffer
pH: 7.4 Preservative: 0.05% Sodium azide Constituents: PBS, 1% BSA
Shipped at conditions
Blue Ice
Appropriate short-term storage duration
1-2 weeks
Appropriate short-term storage conditions
+4°C
Appropriate long-term storage conditions
-20°C
Aliquoting information
Upon delivery aliquot

Supplementary information

This supplementary information is collated from multiple sources and compiled automatically.

VAX2 also known as Ventral Anterior Homeobox 2 is a transcription factor with a significant role in embryonic development. It has a molecular mass of around 36 kDa. VAX2 is primarily expressed in the developing central nervous system including the brain and eyes. This protein belongs to the homeobox gene family which regulates patterns of anatomical development.
Biological function summary

VAX2 controls the expression of genes involved in eye development. It is part of a transcriptional complex that includes proteins like VAX1 and PAX6. Together these proteins coordinate the formation of structures within the eye such as the retina. VAX2 ensures the correct spatial patterning and differentiation of photoreceptor cells maintaining proper eye morphogenesis.

Pathways

VAX2 plays a role in the retinal morphogenesis pathway and interacts closely with the Hedgehog signaling pathway. It works in tandem with proteins such as Sonic Hedgehog (SHH) to influence cellular differentiation and positional identity during development. VAX2's expression is regulated by these pathways demonstrating its integral function in developmental processes.

VAX2 has connections to eye disorders like coloboma and microphthalmia. These conditions are linked to mutations or dysregulations in genes that work alongside VAX2 such as PAX6. Any disruptions in VAX2 expression or function can lead to improper eye development potentially resulting in visual impairment or blindness. VAX2’s role highlights its significance in maintaining normal developmental processes and preventing congenital disorders.

Product protocols

For this product, it's our understanding that no specific protocols are required. You can visit:

Target data

Transcription factor that may function in dorsoventral specification of the forebrain. Regulates the expression of Wnt signaling antagonists including the expression of a truncated TCF7L2 isoform that cannot bind CTNNB1 and acts therefore as a potent dominant-negative Wnt antagonist. Plays a crucial role in eye development and, in particular, in the specification of the ventral optic vesicle (By similarity). May be a regulator of axial polarization in the retina.
See full target information VAX2

Publications (1)

Recent publications for all applications. Explore the full list and refine your search

The Journal of biological chemistry 292:2881-2892 PubMed28049726

2017

Biochemical Evidence for a Nuclear Modifier Allele (A10S) in TRMU (Methylaminomethyl-2-thiouridylate-methyltransferase) Related to Mitochondrial tRNA Modification in the Phenotypic Manifestation of Deafness-associated 12S rRNA Mutation.

Applications

Unspecified application

Species

Unspecified reactive species

Feilong Meng,Xiaohui Cang,Yanyan Peng,Ronghua Li,Zhengyue Zhang,Fushan Li,Qingqing Fan,Anna S Guan,Nathan Fischel-Ghosian,Xiaoli Zhao,Min-Xin Guan
View all publications

Product promise

We are committed to supporting your work with high-quality reagents, and we're here for you every step of the way. In the unlikely event that one of our products does not perform as expected, you're protected by our Product Promise.
For full details, please see our Terms & Conditions

Please note: All products are 'FOR RESEARCH USE ONLY. NOT FOR USE IN DIAGNOSTIC OR THERAPEUTIC PROCEDURES'.

For licensing inquiries, please contact partnerships@abcam.com