JavaScript is disabled in your browser. Please enable JavaScript to view this website.
AB212937

Anti-VCAM1 antibody [1.4C3] - BSA and Azide free

Be the first to review this product! Submit a review

|

(1 Publication)

Mouse Monoclonal VCAM1 antibody. Carrier free. Suitable for IHC-P and reacts with Human samples. Cited in 1 publication. Immunogen corresponding to Cell preparation containing VCAM1 protein.

View Alternative Names

CD106, Vascular cell adhesion protein 1, V-CAM 1, VCAM-1, INCAM-100, VCAM1

1 Images
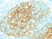
Immunohistochemistry (Formalin/PFA-fixed paraffin-embedded sections) - Anti-VCAM1 antibody [1.4C3] - BSA and Azide free (AB212937)
  • IHC-P

Supplier Data

Immunohistochemistry (Formalin/PFA-fixed paraffin-embedded sections) - Anti-VCAM1 antibody [1.4C3] - BSA and Azide free (AB212937)

Immunohistochemical analysis of formalin-fixed, paraffin-embedded Human tonsil tissue labeling VCAM1 with ab212937 at 1 μg/ml.

Key facts

Host species

Mouse

Clonality

Monoclonal

Clone number

1.4C3

Isotype

IgG1

Light chain type

kappa

Carrier free

Yes

Reacts with

Human

Applications

IHC-P

applications

Immunogen

Cell preparation containing VCAM1 protein. The exact immunogen used to generate this antibody is proprietary information.

P19320

Reactivity data

{ "title": "Reactivity Data", "filters": { "stats": ["", "Species", "Dilution Info", "Notes"], "tabs": { "all-applications": {"fullname" : "All Applications", "shortname": "All Applications"}, "IHCP" : {"fullname" : "Immunohistochemistry (Formalin/PFA-fixed paraffin-embedded sections)", "shortname":"IHC-P"} }, "product-promise": { "all": "all", "testedAndGuaranteed": "tested", "guaranteed": "expected", "predicted": "predicted", "notRecommended": "not-recommended" } }, "values": { "Human": { "IHCP-species-checked": "testedAndGuaranteed", "IHCP-species-dilution-info": "1-2 µg/mL", "IHCP-species-notes": "<p>for 30 minutes at room temperature.</p> Perform heat-mediated antigen retrieval with Tris/EDTA buffer pH 9.0 before commencing with IHC staining protocol." } } }

You may be interested in:

AB223591

Human VCAM1 ELISA Kit

0

0 Reviews

View product

We recommend this product because it’s often used in the same experiment or related research.

We advise that you always check the datasheet to ensure it fits your experiments, or contact ourtechnical teamfor help.

Properties and storage information

Form
Liquid
Purification technique
Affinity purification Protein A/G
Purification notes
ab212937 is purified from Bioreactor Concentrate by Protein A/G.
Storage buffer
pH: 7.2 - 7.4 Constituents: 100% PBS
Shipped at conditions
Blue Ice
Appropriate short-term storage duration
1-2 weeks
Appropriate short-term storage conditions
+4°C
Appropriate long-term storage conditions
-20°C
Aliquoting information
Upon delivery aliquot
Storage information
Avoid freeze / thaw cycle

Supplementary information

This supplementary information is collated from multiple sources and compiled automatically.

VCAM1 also known as vascular cell adhesion molecule 1 plays an important role in mediating adhesion and signal transduction. VCAM1 has an approximate molecular mass of 110 kDa. It is expressed on the surface of endothelial cells and can be upregulated by cytokines released during inflammation. The protein serves as a ligand for the integrin VLA-4 also known as α4β1 and contributes to the adhesion of leukocytes to endothelial cells.
Biological function summary

Adhesion molecules like VCAM1 participate in immune response by recruiting leukocytes to sites of inflammation. VCAM1 helps guide immune cells to directed locations where they perform defense activities. Although VCAM1 is not part of any known large protein complex its interaction with integrins facilitates the migration of immune cells across the endothelium and into tissue.

Pathways

VCAM1 contributes significantly to the leukocyte extravasation process in inflammatory pathways. It plays a role in both the cytokine-cytokine receptor interaction pathway and the NF-kB signaling pathway which are essential for immune response and cell signaling. Through these pathways it interacts with proteins like ICAM1 and various chemokines helping to coordinate the immune cell movement through vascular tissue barriers.

Abnormal regulation of VCAM1 links to various cardiovascular diseases such as atherosclerosis and inflammatory diseases like rheumatoid arthritis. The protein levels may increase in these conditions promoting excessive immune cell recruitment and tissue damage. VCAM1 also interfaces with other proteins like ICAM1 in these pathological states which together contribute to the progression and severity of these diseases.

Product protocols

For this product, it's our understanding that no specific protocols are required. You can visit:

Target data

Cell adhesion glycoprotein predominantly expressed on the surface of endothelial cells that plays an important role in immune surveillance and inflammation (PubMed : 31310649). Acts as a major regulator of leukocyte adhesion to the endothelium through interaction with different types of integrins (PubMed : 10209034). During inflammatory responses, binds ligands on the surface of activated endothelial cells to initiate the activation of calcium channels and the plasma membrane-associated small GTPase RAC1 leading to leukocyte transendothelial migration (PubMed : 22970700). Serves also as a quality-control checkpoint for entry into bone marrow by providing a 'don't-eat-me' stamping in the context of major histocompatibility complex (MHC) class-I presentation (PubMed : 35210567).
See full target information VCAM1

Publications (1)

Recent publications for all applications. Explore the full list and refine your search

eLife 10: PubMed34585667

2021

Total parasite biomass but not peripheral parasitaemia is associated with endothelial and haematological perturbations in patients.

Applications

Unspecified application

Species

Unspecified reactive species

João L Silva-Filho,João Ck Dos-Santos,Carla Judice,Dario Beraldi,Kannan Venugopal,Diogenes Lima,Helder I Nakaya,Erich V De Paula,Stefanie Cp Lopes,Marcus Vg Lacerda,Matthias Marti,Fabio Tm Costa
View all publications

Product promise

We are committed to supporting your work with high-quality reagents, and we're here for you every step of the way. In the unlikely event that one of our products does not perform as expected, you're protected by our Product Promise.
For full details, please see our Terms & Conditions

Associated Products

Select an associated product type
Alternative Product
Primary Antibodies

AB223982

FITC Anti-VCAM1 antibody [EPR5047]

primary-antibodies

fitc-vcam1-antibody-epr5047-ab223982

0

(0 reviews)

Alternative Product
Primary Antibodies

AB195540

HRP Anti-VCAM1 antibody [EPR5047]

primary-antibodies

hrp-vcam1-antibody-epr5047-ab195540

0

(0 reviews)

Alternative Product
Primary Antibodies

AB223981

PE Anti-VCAM1 antibody [EPR5047]

primary-antibodies

pe-vcam1-antibody-epr5047-ab223981

0

(0 reviews)

Alternative Product
Primary Antibodies

AB215380

Anti-VCAM1 antibody [EPR5047] - Low endotoxin, Azide free

primary-antibodies

vcam1-antibody-epr5047-low-endotoxin-azide-free-ab215380

0

(0 reviews)

Alternative Product
Primary Antibodies

AB194319

Alexa Fluor® 647 Anti-VCAM1 antibody [EPR5047]

primary-antibodies

alexa-fluor-647-vcam1-antibody-epr5047-ab194319

5

(1 reviews)

Alternative Product
Primary Antibodies

AB174279

Anti-VCAM1 antibody [EPR5038(2)]

primary-antibodies

vcam1-antibody-epr50382-ab174279

0

(0 reviews)

Alternative Product
Primary Antibodies

AB134047

Anti-VCAM1 antibody [EPR5047]

primary-antibodies

vcam1-antibody-epr5047-ab134047

5

(16 reviews)

Alternative Version
Primary Antibodies

AB233983

Anti-VCAM1 antibody [1.4C3]

primary-antibodies

vcam1-antibody-14c3-ab233983

0

(0 reviews)

Please note: All products are 'FOR RESEARCH USE ONLY. NOT FOR USE IN DIAGNOSTIC OR THERAPEUTIC PROCEDURES'.

For licensing inquiries, please contact partnerships@abcam.com