JavaScript is disabled in your browser. Please enable JavaScript to view this website.
AB271899

Anti-VCAM1 antibody [EPR5047] - BSA and Azide free

  • BOND RX™ Validated
  • RabMAb
  • Recombinant
  • KO Validated
  • What is this?

4

(1 Review)

|

(3 Publications)

Rabbit Recombinant Monoclonal VCAM1 antibody. Carrier free. Suitable for IHC-P, IP, WB, ICC/IF, I-ELISA, Flow Cyt (Intra) and reacts with Mouse, Human, Rat, Synthetic peptide samples. Cited in 3 publications.

View Alternative Names

CD106, Vascular cell adhesion protein 1, V-CAM 1, VCAM-1, INCAM-100, VCAM1

9 Images
Immunohistochemistry (Formalin/PFA-fixed paraffin-embedded sections) - Anti-VCAM1 antibody [EPR5047] - BSA and Azide free (AB271899)
  • IHC-P

Lab

Immunohistochemistry (Formalin/PFA-fixed paraffin-embedded sections) - Anti-VCAM1 antibody [EPR5047] - BSA and Azide free (AB271899)

Immunohistochemical analysis of formalin-fixed paraffin-embedded human tonsil labelling VCAM1 with ab271899 at a concentration of 0.5µg/ml. The immunostaining was performed on a Ventana DISCOVERY ULTRA (Roche Tissue Diagnostics) instrument with an OptiView DAB IHC Detection Kit. Heat mediated antigen retrieval was conducted for 32min with ULTRA cell conditioning solution (CC1 pH8.5). ab271899 anti VCAM1 antibody was incubated at 37°C for 16min. Sections were counterstained is with Hematoxylin II. Image inset shows absence of staining in secondary antibody only control.

Flow Cytometry (Intracellular) - Anti-VCAM1 antibody [EPR5047] - BSA and Azide free (AB271899)
  • Flow Cyt (Intra)

Unknown

Flow Cytometry (Intracellular) - Anti-VCAM1 antibody [EPR5047] - BSA and Azide free (AB271899)

Intracellular Flow Cytometry analysis of K562 (human chronic myelogenous leukemia) cells labeling VCAM1 with purified ab134047 at 1/40 dilution (10ug/mL) (red). Cells were fixed with 4% paraformaldehyde and permeabilised with 90% methanol. A Goat anti rabbit IgG (Alexa Fluor®488) at 1/2000 dilution was used as the secondary antibody. Rabbit monoclonal IgG (Black) was used as the isotype control, cells without incubation with primary antibody and secondary antibody (Blue) was used as the unlabeled control.

This data was developed using the same antibody clone in a different buffer formulation containing PBS, BSA, glycerol, and sodium azide (ab134047).

Immunohistochemistry (Formalin/PFA-fixed paraffin-embedded sections) - Anti-VCAM1 antibody [EPR5047] - BSA and Azide free (AB271899)
  • IHC-P

Unknown

Immunohistochemistry (Formalin/PFA-fixed paraffin-embedded sections) - Anti-VCAM1 antibody [EPR5047] - BSA and Azide free (AB271899)

IHC image of VCAM1 staining in Human spleen formalin fixed paraffin embedded tissue section, performed on a Leica Bond system using the standard protocol F. The section was pre-treated using heat mediated antigen retrieval with sodium citrate buffer (pH6, epitope retrieval solution 1) for 20 mins. The section was then incubated with unpurified ab134047, 1/200 dilution, for 15 mins at room temperature and detected using an HRP conjugated compact polymer system. DAB was used as the chromogen. The section was then counterstained with haematoxylin and mounted with DPX.

For other IHC staining systems (automated and non-automated) customers should optimize variable parameters such as antigen retrieval conditions, primary antibody concentration and antibody incubation times.

This data was developed using the same antibody clone in a different buffer formulation containing PBS, BSA, glycerol, and sodium azide (ab134047).

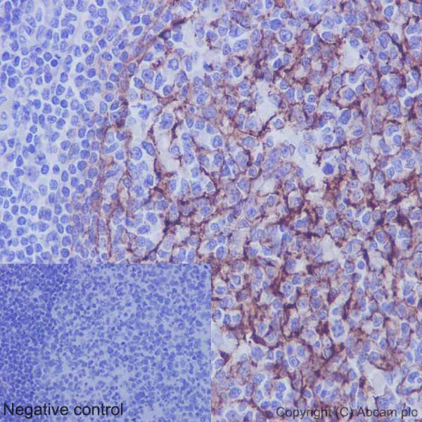
Immunohistochemistry (Formalin/PFA-fixed paraffin-embedded sections) - Anti-VCAM1 antibody [EPR5047] - BSA and Azide free (AB271899)
  • IHC-P

Lab

Immunohistochemistry (Formalin/PFA-fixed paraffin-embedded sections) - Anti-VCAM1 antibody [EPR5047] - BSA and Azide free (AB271899)

Immunohistochemical staining of paraffin embedded human tonsil with purified ab134047 at a dilution of 1/500. A pre-diluted HRP polymer for rabbit/mouse IgG was used as the secondary antibody and the sample was counter-stained with hematoxylin. Antigen retrieval was perfomed using Tris-EDTA buffer, pH 9.0. PBS was used instead of the primary antibody as the negative control, and is shown in the inset.

This data was developed using the same antibody clone in a different buffer formulation containing PBS, BSA, glycerol, and sodium azide (ab134047).

Immunocytochemistry/ Immunofluorescence - Anti-VCAM1 antibody [EPR5047] - BSA and Azide free (AB271899)
  • ICC/IF

Lab

Immunocytochemistry/ Immunofluorescence - Anti-VCAM1 antibody [EPR5047] - BSA and Azide free (AB271899)

ab134047 staining VCAM1 in HUVEC cells treated with TNF-α (ab55237) at 10 ng/ml for 16 hours. The cells were fixed with 4% paraformaldehyde (10 min) then permeabilized with 0.1% Triton X-100 for 5 minutes and then blocked with 1% BSA/10% normal goat serum/0.3M glycine in 0.1% PBS-Tween for 1h. The cells were then incubated with ab134047 at 2μg/ml concentration and ab7291 (Mouse monoclonal to alpha Tubulin) at 1/1000 dilution overnight at 4°C followed by a further incubation at room temperature for 1h with a goat secondary antibody to rabbit IgG (Alexa Fluor® 488) (ab150081) at 2 μg/ml (shown in green) and a goat secondary antibody to mouse IgG (Alexa Fluor® 647) (ab150119) at 2 μg/ml (shown in red). Nuclear DNA was labelled in blue with DAPI.
Image was taken with a confocal microscope (Leica-Microsystems TCS SP8).
This data was developed using the same antibody clone in a different buffer formulation containing PBS, BSA, glycerol, and sodium azide (ab134047).

Immunocytochemistry/ Immunofluorescence - Anti-VCAM1 antibody [EPR5047] - BSA and Azide free (AB271899)
  • ICC/IF

Lab

Immunocytochemistry/ Immunofluorescence - Anti-VCAM1 antibody [EPR5047] - BSA and Azide free (AB271899)

Immunofluorescent staining of K562 cells (fixed in 4% PFA, permeabilized with 0.1% Triton X 100) using purified ab134047 at a dilution of 1/250. An Alexa Fluor® 488 goat anti-rabbit antibody was used as the secondary at a dilution of 1/500 and the cells were counter stained with DAPI. The negative control is shown in the bottom right hand panel - for the negative control, Alex Fluor® 594 goat anti-mouse was used at a dilution of 1/500.

This data was developed using the same antibody clone in a different buffer formulation containing PBS, BSA, glycerol, and sodium azide (ab134047).

Immunoprecipitation - Anti-VCAM1 antibody [EPR5047] - BSA and Azide free (AB271899)
  • IP

Supplier Data

Immunoprecipitation - Anti-VCAM1 antibody [EPR5047] - BSA and Azide free (AB271899)

VCAM1 was immunoprecipitated from Human fetal liver lysate with ab134047 at 1/110 dilution.

Western blot was performed from the immunoprecipitate using ab134047 at 1/1000 dilution.

VeriBlot for IP secondary antibody (Peroxidase conjugated),was used as secondary antibody at 1/1000 dilution.

Lane 1 : Human fetal liver lysate

Blocking and dilution buffer : 5% NFDM/TBST

Exposure time : 1 second

This data was developed using the same antibody clone in a different buffer formulation containing PBS, BSA, glycerol, and sodium azide (ab134047).

All lanes:

Immunoprecipitation - Anti-VCAM1 antibody [EPR5047] (<a href='/en-us/products/primary-antibodies/vcam1-antibody-epr5047-ab134047'>ab134047</a>)

Predicted band size: 81 kDa

false

Immunohistochemistry (Formalin/PFA-fixed paraffin-embedded sections) - Anti-VCAM1 antibody [EPR5047] - BSA and Azide free (AB271899)
  • IHC-P

Unknown

Immunohistochemistry (Formalin/PFA-fixed paraffin-embedded sections) - Anti-VCAM1 antibody [EPR5047] - BSA and Azide free (AB271899)

IHC image of VCAM1 staining in Mouse spleen formalin fixed paraffin embedded tissue section, performed on a Leica BondTM system using the standard protocol B. The section was pre-treated using heat mediated antigen retrieval with sodium citrate buffer (pH6, epitope retrieval solution 1) for 20 mins. The section was then incubated with unpurified ab134047, 1/200 dilution, for 15 mins at room temperature. A goat anti-rabbit biotinylated secondary antibody was used to detect the primary, and visualized using an HRP conjugated ABC system. DAB was used as the chromogen. The section was then counterstained with haematoxylin and mounted with DPX.

For other IHC staining systems (automated and non-automated) customers should optimize variable parameters such as antigen retrieval conditions, primary antibody concentration and antibody incubation times.

This data was developed using the same antibody clone in a different buffer formulation containing PBS, BSA, glycerol, and sodium azide (ab134047).

Western blot - Anti-VCAM1 antibody [EPR5047] - BSA and Azide free (AB271899)
  • WB

Lab

Western blot - Anti-VCAM1 antibody [EPR5047] - BSA and Azide free (AB271899)

This data was developed using the same antibody clone in a different buffer formulation (ab134047).

Lanes 1 - 6 : Merged signal (red and green). Green - ab134047 observed at 105 kDa. Red - loading control ab7291 (Mouse anti-Alpha Tubulin [DM1A]) observed at 55 kDa.

ab134047 was shown to react with VCAM1 in wild-type A549 cells in Western blot with loss of signal observed in VCAM1 knockout sample. Wild-type A549 and VCAM1 knockout cell lysates were subjected to SDS-PAGE. Membranes were blocked in 3 % milk in TBS-T (0.1 % Tween®) before incubation with ab134047 and ab7291 (Mouse anti-Alpha Tubulin [DM1A]) overnight at 4 °C at a 1 in 2000 dilution and a 1 in 20000 dilution respectively. Blots were incubated with HRP conjugated Goat anti-Rabbit (H+L) and Goat anti-Mouse IgG H&L (IRDye® 680RD) preabsorbed (ab216776) secondary antibodies at 1 in 20000 dilution for 1 h at room temperature before imaging.

All lanes:

Western blot - Anti-VCAM1 antibody [EPR5047] (<a href='/en-us/products/primary-antibodies/vcam1-antibody-epr5047-ab134047'>ab134047</a>) at 1/2000 dilution

Lane 1:

Wild-type A549 cell lysate at 30 µg

Lane 2:

Wild-type A549 TNF-a treated (10 ng/mL, 16h) cell lysate at 30 µg

Lane 2:

Western blot - Human VCAM1 knockout A549 cell line (<a href='/en-us/products/cell-lines/human-vcam1-knockout-a549-cell-line-ab273758'>ab273758</a>)

Lane 3:

VCAM1 knockout A549 cell lysate at 30 µg

Lane 4:

VCAM1 knockout A549 TNF-a treated (10 ng/mL, 16h) cell lysate at 30 µg

Lane 5:

HUVEC cell lysate at 30 µg

Lane 6:

HUVEC TNF-a treated (16 ng/mL, 16h) cell lysate at 30 µg

Predicted band size: 81 kDa

Observed band size: 105 kDa

false

  • Unconjugated

    Anti-VCAM1 antibody [EPR5047]

  • 519 FITC

    FITC Anti-VCAM1 antibody [EPR5047]

  • 578 PE

    PE Anti-VCAM1 antibody [EPR5047]

  • 660 APC

    APC Anti-VCAM1 antibody [EPR5047]

  • HRP

    HRP Anti-VCAM1 antibody [EPR5047]

  • 665 Alexa Fluor® 647

    Alexa Fluor® 647 Anti-VCAM1 antibody [EPR5047]

  • Carrier free

    Anti-VCAM1 antibody [EPR5047] - Low endotoxin, Azide free

Key facts

Host species

Rabbit

Clonality

Monoclonal

Clone number

EPR5047

Isotype

IgG

Carrier free

Yes

Reacts with

Mouse, Rat, Human

Applications

WB, IHC-P, I-ELISA, Flow Cyt (Intra), ICC/IF, IP

applications

Immunogen

The exact immunogen used to generate this antibody is proprietary information.

Reactivity data

{ "title": "Reactivity Data", "filters": { "stats": ["", "Species", "Dilution Info", "Notes"], "tabs": { "all-applications": {"fullname" : "All Applications", "shortname": "All Applications"}, "IHCP" : {"fullname" : "Immunohistochemistry (Formalin/PFA-fixed paraffin-embedded sections)", "shortname":"IHC-P"}, "IP" : {"fullname" : "Immunoprecipitation", "shortname":"IP"}, "WB" : {"fullname" : "Western blot", "shortname":"WB"}, "ICCIF" : {"fullname" : "Immunocytochemistry/ Immunofluorescence", "shortname":"ICC/IF"}, "IELISA" : {"fullname" : "Indirect ELISA", "shortname":"I-ELISA"}, "FlowCytIntra" : {"fullname" : "Flow Cytometry (Intracellular)", "shortname":"Flow Cyt (Intra)"} }, "product-promise": { "all": "all", "testedAndGuaranteed": "tested", "guaranteed": "expected", "predicted": "predicted", "notRecommended": "not-recommended" } }, "values": { "Human": { "IHCP-species-checked": "testedAndGuaranteed", "IHCP-species-dilution-info": "", "IHCP-species-notes": "<p></p>", "IP-species-checked": "testedAndGuaranteed", "IP-species-dilution-info": "", "IP-species-notes": "<p></p>", "WB-species-checked": "testedAndGuaranteed", "WB-species-dilution-info": "", "WB-species-notes": "<p>Can be blocked with <a href='/en-us/products/unavailable/vcam1-peptide-ab156177'>ab156177</a></p>", "ICCIF-species-checked": "testedAndGuaranteed", "ICCIF-species-dilution-info": "", "ICCIF-species-notes": "<p></p>", "IELISA-species-checked": "guaranteed", "IELISA-species-dilution-info": "", "IELISA-species-notes": "", "FlowCytIntra-species-checked": "testedAndGuaranteed", "FlowCytIntra-species-dilution-info": "", "FlowCytIntra-species-notes": "<p></p>" }, "Mouse": { "IHCP-species-checked": "testedAndGuaranteed", "IHCP-species-dilution-info": "", "IHCP-species-notes": "<p></p>", "IP-species-checked": "guaranteed", "IP-species-dilution-info": "", "IP-species-notes": "", "WB-species-checked": "testedAndGuaranteed", "WB-species-dilution-info": "", "WB-species-notes": "<p>Can be blocked with <a href='/en-us/products/unavailable/vcam1-peptide-ab156177'>ab156177</a></p>", "ICCIF-species-checked": "guaranteed", "ICCIF-species-dilution-info": "", "ICCIF-species-notes": "", "IELISA-species-checked": "guaranteed", "IELISA-species-dilution-info": "", "IELISA-species-notes": "", "FlowCytIntra-species-checked": "guaranteed", "FlowCytIntra-species-dilution-info": "", "FlowCytIntra-species-notes": "" }, "Rat": { "IHCP-species-checked": "guaranteed", "IHCP-species-dilution-info": "", "IHCP-species-notes": "", "IP-species-checked": "guaranteed", "IP-species-dilution-info": "", "IP-species-notes": "", "WB-species-checked": "testedAndGuaranteed", "WB-species-dilution-info": "", "WB-species-notes": "<p>Can be blocked with <a href='/en-us/products/unavailable/vcam1-peptide-ab156177'>ab156177</a></p>", "ICCIF-species-checked": "guaranteed", "ICCIF-species-dilution-info": "", "ICCIF-species-notes": "", "IELISA-species-checked": "guaranteed", "IELISA-species-dilution-info": "", "IELISA-species-notes": "", "FlowCytIntra-species-checked": "guaranteed", "FlowCytIntra-species-dilution-info": "", "FlowCytIntra-species-notes": "" }, "Synthetic peptide": { "IHCP-species-checked": "notRecommended", "IHCP-species-dilution-info": "", "IHCP-species-notes": "", "IP-species-checked": "notRecommended", "IP-species-dilution-info": "", "IP-species-notes": "", "WB-species-checked": "notRecommended", "WB-species-dilution-info": "", "WB-species-notes": "", "ICCIF-species-checked": "notRecommended", "ICCIF-species-dilution-info": "", "ICCIF-species-notes": "", "IELISA-species-checked": "testedAndGuaranteed", "IELISA-species-dilution-info": "", "IELISA-species-notes": "<p></p>", "FlowCytIntra-species-checked": "notRecommended", "FlowCytIntra-species-dilution-info": "", "FlowCytIntra-species-notes": "" } } }

Product details

ab271899 is the carrier-free version of ab134047.

Patented technology
Our RabMAb® technology is a patented hybridoma-based technology for making rabbit monoclonal antibodies. For details on our patents, please refer to RabMAb® patents.

What are the advantages of a recombinant monoclonal antibody?
This product is a recombinant monoclonal antibody, which offers several advantages including:

  • - High batch-to-batch consistency and reproducibility
  • - Improved sensitivity and specificity
  • - Long-term security of supply
  • - Animal-free batch production

For more information, read more on recombinant antibodies.

Conjugation ready
Our carrier-free antibodies are typically supplied in a PBS-only formulation, purified and free of BSA, sodium azide and glycerol. This conjugation-ready format is designed for use with fluorochromes, metal isotopes, oligonucleotides, and enzymes, which makes them ideal for antibody labelling, functional and cell-based assays, flow-based assays (e.g. mass cytometry) and Multiplex Imaging applications.

Use our conjugation kits for antibody conjugates that are ready-to-use in as little as 20 minutes with 1 minute hands-on-time and 100% antibody recovery: available for fluorescent dyes, HRP, biotin and gold.

Compatibility
This product is compatible with the Maxpar® Antibody Labeling Kit from Fluidigm, without the need for antibody preparation. Maxpar® is a trademark of Fluidigm Canada Inc.

Properties and storage information

Form
Liquid
Purification technique
Affinity purification Protein A
Storage buffer
pH: 7.2 - 7.4 Constituents: PBS
Shipped at conditions
Blue Ice
Appropriate short-term storage conditions
+4°C
Appropriate long-term storage conditions
+4°C
Storage information
Do Not Freeze

Supplementary information

This supplementary information is collated from multiple sources and compiled automatically.

VCAM1 also known as vascular cell adhesion molecule 1 plays an important role in mediating adhesion and signal transduction. VCAM1 has an approximate molecular mass of 110 kDa. It is expressed on the surface of endothelial cells and can be upregulated by cytokines released during inflammation. The protein serves as a ligand for the integrin VLA-4 also known as α4β1 and contributes to the adhesion of leukocytes to endothelial cells.
Biological function summary

Adhesion molecules like VCAM1 participate in immune response by recruiting leukocytes to sites of inflammation. VCAM1 helps guide immune cells to directed locations where they perform defense activities. Although VCAM1 is not part of any known large protein complex its interaction with integrins facilitates the migration of immune cells across the endothelium and into tissue.

Pathways

VCAM1 contributes significantly to the leukocyte extravasation process in inflammatory pathways. It plays a role in both the cytokine-cytokine receptor interaction pathway and the NF-kB signaling pathway which are essential for immune response and cell signaling. Through these pathways it interacts with proteins like ICAM1 and various chemokines helping to coordinate the immune cell movement through vascular tissue barriers.

Abnormal regulation of VCAM1 links to various cardiovascular diseases such as atherosclerosis and inflammatory diseases like rheumatoid arthritis. The protein levels may increase in these conditions promoting excessive immune cell recruitment and tissue damage. VCAM1 also interfaces with other proteins like ICAM1 in these pathological states which together contribute to the progression and severity of these diseases.

Product protocols

For this product, it's our understanding that no specific protocols are required. You can visit:

Target data

Cell adhesion glycoprotein predominantly expressed on the surface of endothelial cells that plays an important role in immune surveillance and inflammation (PubMed : 31310649). Acts as a major regulator of leukocyte adhesion to the endothelium through interaction with different types of integrins (PubMed : 10209034). During inflammatory responses, binds ligands on the surface of activated endothelial cells to initiate the activation of calcium channels and the plasma membrane-associated small GTPase RAC1 leading to leukocyte transendothelial migration (PubMed : 22970700). Also serves as a quality-control checkpoint for entry into bone marrow by providing a 'don't-eat-me' stamping in the context of major histocompatibility complex (MHC) class-I presentation (PubMed : 35210567).
See full target information VCAM1

Publications (3)

Recent publications for all applications. Explore the full list and refine your search

Nature communications 15:10788 PubMed39738016

2024

Alcohol-induced gut microbial reorganization and associated overproduction of phenylacetylglutamine promotes cardiovascular disease.

Applications

Unspecified application

Species

Unspecified reactive species

Zhen Li,Min Gu,Aline Zaparte,Xiaoming Fu,Kala Mahen,Marko Mrdjen,Xinmin S Li,Zhihong Yang,Jing Ma,Themis Thoudam,Kristina Chandler,Maggie Hesler,Laura Heathers,Kiersten Gorse,Thanh Trung Van,David Wong,Aaron M Gibson,Zeneng Wang,Christopher M Taylor,Pearl Quijada,Catherine A Makarewich,Stanley L Hazen,Suthat Liangpunsakul,J Mark Brown,David J Lefer,David A Welsh,Thomas E Sharp

Cell 187:3120-3140.e29 PubMed38714197

2024

Mapping the cellular biogeography of human bone marrow niches using single-cell transcriptomics and proteomic imaging.

Applications

Unspecified application

Species

Unspecified reactive species

Shovik Bandyopadhyay,Michael P Duffy,Kyung Jin Ahn,Jonathan H Sussman,Minxing Pang,David Smith,Gwendolyn Duncan,Iris Zhang,Jeffrey Huang,Yulieh Lin,Barbara Xiong,Tamjid Imtiaz,Chia-Hui Chen,Anusha Thadi,Changya Chen,Jason Xu,Melissa Reichart,Zachary Martinez,Caroline Diorio,Chider Chen,Vinodh Pillai,Oraine Snaith,Derek Oldridge,Siddharth Bhattacharyya,Ivan Maillard,Martin Carroll,Charles Nelson,Ling Qin,Kai Tan

Journal of advanced research 41:39-48 PubMed36328752

2022

DNA-PKcs promotes sepsis-induced multiple organ failure by triggering mitochondrial dysfunction.

Applications

Unspecified application

Species

Unspecified reactive species

Rongjun Zou,Jun Tao,Junxiong Qiu,Huimin Lu,Jianhua Wu,Hang Zhu,Ruibing Li,David Mui,Sam Toan,Xing Chang,Hao Zhou,Xiaoping Fan
View all publications

Product promise

We are committed to supporting your work with high-quality reagents, and we're here for you every step of the way. In the unlikely event that one of our products does not perform as expected, you're protected by our Product Promise.
For full details, please see our Terms & Conditions

Please note: All products are 'FOR RESEARCH USE ONLY. NOT FOR USE IN DIAGNOSTIC OR THERAPEUTIC PROCEDURES'.

For licensing inquiries, please contact partnerships@abcam.com