JavaScript is disabled in your browser. Please enable JavaScript to view this website.
AB155146

Anti-VCP antibody

Be the first to review this product! Submit a review

|

(1 Publication)

Rabbit Polyclonal VCP antibody. Suitable for IHC - Wmt, IP, IHC-Fr, WB, IHC-P and reacts with Zebrafish, Human, Mouse, Rat samples. Cited in 1 publication. Immunogen corresponding to Recombinant Fragment Protein within Human VCP aa 500 to C-terminus.

View Alternative Names

HEL-220, HEL-S-70, VCP, Transitional endoplasmic reticulum ATPase, TER ATPase, 15S Mg(2+)-ATPase p97 subunit, Valosin-containing protein

7 Images
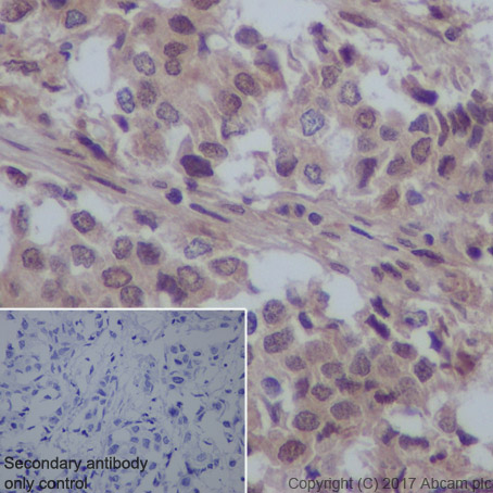
Immunohistochemistry (Formalin/PFA-fixed paraffin-embedded sections) - Anti-VCP antibody (AB155146)
  • IHC-P

Unknown

Immunohistochemistry (Formalin/PFA-fixed paraffin-embedded sections) - Anti-VCP antibody (AB155146)

Immunohistochemical analysis of paraffin-embedded Human breast carcinoma tissue labeling VCP with ab155146 at 1/500 dilution.

Immunoprecipitation - Anti-VCP antibody (AB155146)
  • IP

Supplier Data

Immunoprecipitation - Anti-VCP antibody (AB155146)

Immunoprecipitation of VCP protein from HeLa whole cell extracts using 5 µg of VCP antibody.
Western blot analysis was performed using VCP antibody at a 1/500 dilution.

All lanes:

Immunoprecipitation - Anti-VCP antibody (ab155146) at 1/500 dilution

Lane 1:

HeLa whole cell extracts (Input)

Lane 2:

HeLa whole cell extracts with control IgG (-)

Lane 3:

HeLa whole cell extracts (+)

Secondary

All lanes:

Anti-Rabbit IgG Antibody

Observed band size: 95 kDa

false

Immunohistochemistry (Frozen sections) - Anti-VCP antibody (AB155146)
  • IHC-Fr

Supplier Data

Immunohistochemistry (Frozen sections) - Anti-VCP antibody (AB155146)

Immunohistochemical analysis of Frozen sectioned adult mouse cerebellum staining VCP Protein expression with ab155146 at a dilution of 1/250 (Green). NF-H, stained by NF-H antibody diluted at 1/500 dilution (Red). The nuclear staining is DAPI (Blue).
Antigen Retrieval : Citrate buffer, pH 6.0, 10 min

Western blot - Anti-VCP antibody (AB155146)
  • WB

Supplier Data

Western blot - Anti-VCP antibody (AB155146)

Samples were separated by 7.5% SDS-PAGE.

All lanes:

Western blot - Anti-VCP antibody (ab155146) at 1/500 dilution

Lane 1:

293T whole cell extracts at 30 µg

Lane 2:

A431 whole cell extracts at 30 µg

Lane 3:

HeLa whole cell extracts at 30 µg

Secondary

All lanes:

HRP-conjugated anti-rabbit IgG

Observed band size: 95 kDa

false

Western blot - Anti-VCP antibody (AB155146)
  • WB

Unknown

Western blot - Anti-VCP antibody (AB155146)

7.5% SDS PAGE

All lanes:

Western blot - Anti-VCP antibody (ab155146) at 1/10000 dilution

All lanes:

Mouse brain whole cell lysate at 50 µg

Predicted band size: 89 kDa

false

IHC - Wholemount - Anti-VCP antibody (AB155146)
  • IHC - Wmt

Supplier Data

IHC - Wholemount - Anti-VCP antibody (AB155146)

ab155146 detects Vcp protein on whole-mount zebrafish embryos by immunohistochemical analysis.
Sample : Paraformaldehyde-fixed zebrafish embryos.
ab155146 was used at a 1/200 dilution.

Western blot - Anti-VCP antibody (AB155146)
  • WB

Supplier Data

Western blot - Anti-VCP antibody (AB155146)

Samples were separated by 7.5% SDS-PAGE.

All lanes:

Western blot - Anti-VCP antibody (ab155146) at 1/1000 dilution

All lanes:

Zebrafish tissue extract at 30 µg

Observed band size: 95 kDa

false

Key facts

Host species

Rabbit

Clonality

Polyclonal

Isotype

IgG

Carrier free

No

Reacts with

Mouse, Rat, Human, Zebrafish

Applications

IHC-P, IHC-Fr, IHC - Wmt, WB, IP

applications

Immunogen

Recombinant Fragment Protein within Human VCP aa 500 to C-terminus. The exact immunogen used to generate this antibody is proprietary information.

P55072

Reactivity data

{ "title": "Reactivity Data", "filters": { "stats": ["", "Species", "Dilution Info", "Notes"], "tabs": { "all-applications": {"fullname" : "All Applications", "shortname": "All Applications"}, "IHCWmt" : {"fullname" : "IHC - Wholemount", "shortname":"IHC - Wmt"}, "IP" : {"fullname" : "Immunoprecipitation", "shortname":"IP"}, "IHCFr" : {"fullname" : "Immunohistochemistry (Frozen sections)", "shortname":"IHC-Fr"}, "WB" : {"fullname" : "Western blot", "shortname":"WB"}, "IHCP" : {"fullname" : "Immunohistochemistry (Formalin/PFA-fixed paraffin-embedded sections)", "shortname":"IHC-P"} }, "product-promise": { "all": "all", "testedAndGuaranteed": "tested", "guaranteed": "expected", "predicted": "predicted", "notRecommended": "not-recommended" } }, "values": { "Human": { "IHCWmt-species-checked": "guaranteed", "IHCWmt-species-dilution-info": "", "IHCWmt-species-notes": "", "IP-species-checked": "testedAndGuaranteed", "IP-species-dilution-info": "1/100 - 1/500", "IP-species-notes": "<p></p>", "IHCFr-species-checked": "testedAndGuaranteed", "IHCFr-species-dilution-info": "1/100 - 1/1000", "IHCFr-species-notes": "<p></p>", "WB-species-checked": "testedAndGuaranteed", "WB-species-dilution-info": "1/500 - 1/10000", "WB-species-notes": "<p></p>", "IHCP-species-checked": "testedAndGuaranteed", "IHCP-species-dilution-info": "1/100 - 1/1000", "IHCP-species-notes": "<p></p>" }, "Mouse": { "IHCWmt-species-checked": "guaranteed", "IHCWmt-species-dilution-info": "", "IHCWmt-species-notes": "", "IP-species-checked": "guaranteed", "IP-species-dilution-info": "", "IP-species-notes": "", "IHCFr-species-checked": "guaranteed", "IHCFr-species-dilution-info": "", "IHCFr-species-notes": "", "WB-species-checked": "testedAndGuaranteed", "WB-species-dilution-info": "1/500 - 1/10000", "WB-species-notes": "<p></p>", "IHCP-species-checked": "guaranteed", "IHCP-species-dilution-info": "", "IHCP-species-notes": "" }, "Rat": { "IHCWmt-species-checked": "guaranteed", "IHCWmt-species-dilution-info": "", "IHCWmt-species-notes": "", "IP-species-checked": "guaranteed", "IP-species-dilution-info": "", "IP-species-notes": "", "IHCFr-species-checked": "guaranteed", "IHCFr-species-dilution-info": "", "IHCFr-species-notes": "", "WB-species-checked": "testedAndGuaranteed", "WB-species-dilution-info": "1/500 - 1/10000", "WB-species-notes": "<p></p>", "IHCP-species-checked": "guaranteed", "IHCP-species-dilution-info": "", "IHCP-species-notes": "" }, "Zebrafish": { "IHCWmt-species-checked": "testedAndGuaranteed", "IHCWmt-species-dilution-info": "", "IHCWmt-species-notes": "<p></p>", "IP-species-checked": "guaranteed", "IP-species-dilution-info": "", "IP-species-notes": "", "IHCFr-species-checked": "guaranteed", "IHCFr-species-dilution-info": "", "IHCFr-species-notes": "", "WB-species-checked": "testedAndGuaranteed", "WB-species-dilution-info": "1/500 - 1/10000", "WB-species-notes": "<p></p>", "IHCP-species-checked": "guaranteed", "IHCP-species-dilution-info": "", "IHCP-species-notes": "" } } }

Properties and storage information

Form
Liquid
Purification technique
Affinity purification Immunogen
Storage buffer
pH: 7 Preservative: 0.025% Proclin 300 Constituents: PBS, 20% Glycerol (glycerin, glycerine)
Shipped at conditions
Blue Ice
Appropriate short-term storage conditions
+4°C
Appropriate long-term storage conditions
-20°C
Aliquoting information
Upon delivery aliquot
Storage information
Avoid freeze / thaw cycle

Supplementary information

This supplementary information is collated from multiple sources and compiled automatically.

The VCP protein also known as p97 or valosin-containing protein is a significant ATPase. It is involved mechanically in a range of cellular activities. VCP has a mass of approximately 97 kDa and is ubiquitously expressed in many tissues. It plays a role in protein homeostasis particularly in the degradation process of misfolded proteins via the ubiquitin-proteasome system. This protein comprises the D1 and D2 ATPase domains that are important for its unfolding activities.
Biological function summary

The VCP protein operates as a vital part of cellular machinery and functions in various complexes. It assists in protein quality control by participating in processes such as ER-associated degradation (ERAD) where it retrotranslocates misfolded proteins from the endoplasmic reticulum for degradation. VCP also contributes to the regulation of endocytosis autophagy and cell cycle control. These functions are important in maintaining cellular integrity.

Pathways

VCP integrates into cellular processes by engaging in essential pathways like the ubiquitin-proteasome system and autophagy. It associates with proteins such as UFD1 and NPL4 in these pathways illustrating its multifaceted role in cellular regulation. VCP's action is closely tied with the p97 protein complexes where it influences protein degradation and recycling thereby controlling protein turnover.

There are findings linking VCP to conditions such as inclusion body myopathy and Paget's disease of bone. Its malfunction due to mutations can trigger these diseases affecting muscle and bone tissues respectively. VCP's connection to other proteins like Parkin and Optineurin in these disorders highlights the protein's relevance in neurodegenerative and skeletal disease pathways emphasizing its pivotal role in maintaining cellular health.

Product protocols

For this product, it's our understanding that no specific protocols are required. You can visit:

Target data

Necessary for the fragmentation of Golgi stacks during mitosis and for their reassembly after mitosis. Involved in the formation of the transitional endoplasmic reticulum (tER). The transfer of membranes from the endoplasmic reticulum to the Golgi apparatus occurs via 50-70 nm transition vesicles which derive from part-rough, part-smooth transitional elements of the endoplasmic reticulum (tER). Vesicle budding from the tER is an ATP-dependent process. The ternary complex containing UFD1, VCP and NPLOC4 binds ubiquitinated proteins and is necessary for the export of misfolded proteins from the ER to the cytoplasm, where they are degraded by the proteasome. The NPLOC4-UFD1-VCP complex regulates spindle disassembly at the end of mitosis and is necessary for the formation of a closed nuclear envelope. Regulates E3 ubiquitin-protein ligase activity of RNF19A. Component of the VCP/p97-AMFR/gp78 complex that participates in the final step of the sterol-mediated ubiquitination and endoplasmic reticulum-associated degradation (ERAD) of HMGCR. Mediates the endoplasmic reticulum-associated degradation of CHRNA3 in cortical neurons as part of the STUB1-VCP-UBXN2A complex (PubMed : 26265139). Involved in endoplasmic reticulum stress-induced pre-emptive quality control, a mechanism that selectively attenuates the translocation of newly synthesized proteins into the endoplasmic reticulum and reroutes them to the cytosol for proteasomal degradation (PubMed : 26565908). Involved in clearance process by mediating G3BP1 extraction from stress granules (PubMed : 29804830, PubMed : 34739333). Also involved in DNA damage response : recruited to double-strand breaks (DSBs) sites in a RNF8- and RNF168-dependent manner and promotes the recruitment of TP53BP1 at DNA damage sites (PubMed : 22020440, PubMed : 22120668). Recruited to stalled replication forks by SPRTN : may act by mediating extraction of DNA polymerase eta (POLH) to prevent excessive translesion DNA synthesis and limit the incidence of mutations induced by DNA damage (PubMed : 23042605, PubMed : 23042607). Together with SPRTN metalloprotease, involved in the repair of covalent DNA-protein cross-links (DPCs) during DNA synthesis (PubMed : 32152270). Involved in interstrand cross-link repair in response to replication stress by mediating unloading of the ubiquitinated CMG helicase complex (By similarity). Mediates extraction of PARP1 trapped to chromatin : recognizes and binds ubiquitinated PARP1 and promotes its removal (PubMed : 35013556). Required for cytoplasmic retrotranslocation of stressed/damaged mitochondrial outer-membrane proteins and their subsequent proteasomal degradation (PubMed : 16186510, PubMed : 21118995). Essential for the maturation of ubiquitin-containing autophagosomes and the clearance of ubiquitinated protein by autophagy (PubMed : 20104022, PubMed : 27753622). Acts as a negative regulator of type I interferon production by interacting with RIGI : interaction takes place when RIGI is ubiquitinated via 'Lys-63'-linked ubiquitin on its CARD domains, leading to recruit RNF125 and promote ubiquitination and degradation of RIGI (PubMed : 26471729). May play a role in the ubiquitin-dependent sorting of membrane proteins to lysosomes where they undergo degradation (PubMed : 21822278). May more particularly play a role in caveolins sorting in cells (PubMed : 21822278, PubMed : 23335559). By controlling the steady-state expression of the IGF1R receptor, indirectly regulates the insulin-like growth factor receptor signaling pathway (PubMed : 26692333).
See full target information VCP

Publications (1)

Recent publications for all applications. Explore the full list and refine your search

Synapse (New York, N.Y.) 73:e22069 PubMed30176067

2018

Quantitative proteomics of forebrain subcellular fractions in fragile X mental retardation 1 knockout mice following acute treatment with 2-Methyl-6-(phenylethynyl)pyridine: Relevance to developmental study of schizophrenia.

Applications

Unspecified application

Species

Unspecified reactive species

Timothy D Folsom,LeeAnn Higgins,Todd W Markowski,Timothy J Griffin,S Hossein Fatemi
View all publications

Product promise

We are committed to supporting your work with high-quality reagents, and we're here for you every step of the way. In the unlikely event that one of our products does not perform as expected, you're protected by our Product Promise.
For full details, please see our Terms & Conditions

Please note: All products are 'FOR RESEARCH USE ONLY. NOT FOR USE IN DIAGNOSTIC OR THERAPEUTIC PROCEDURES'.

For licensing inquiries, please contact partnerships@abcam.com