JavaScript is disabled in your browser. Please enable JavaScript to view this website.
AB283296

Anti-VCP antibody [Z-VCP-10] - Mouse IgG2a (Chimeric) - BSA and Azide free

Be the first to review this product! Submit a review

|

(0 Publication)

Mouse Recombinant Monoclonal VCP antibody. Carrier free. Suitable for WB and reacts with Mouse, Rat, Human samples.

View Alternative Names

HEL-220, HEL-S-70, VCP, Transitional endoplasmic reticulum ATPase, TER ATPase, 15S Mg(2+)-ATPase p97 subunit, Valosin-containing protein

1 Images
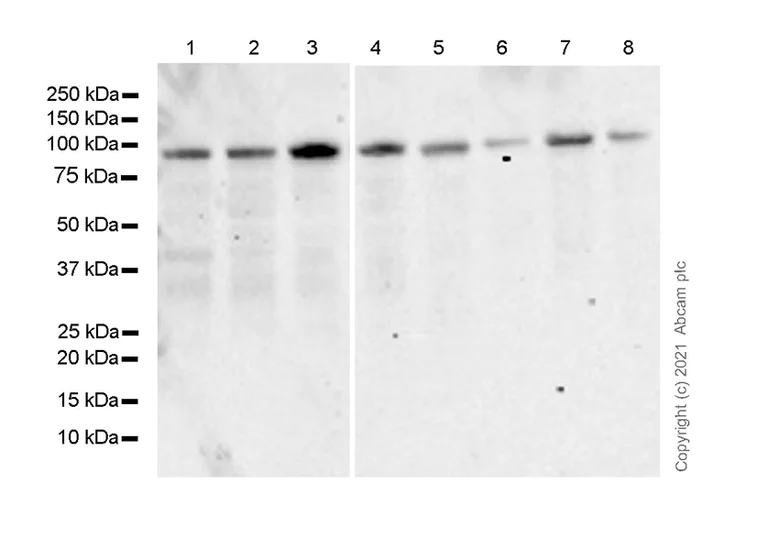
Western blot - Anti-VCP antibody [Z-VCP-10] - Mouse IgG2a (Chimeric) - BSA and Azide free (AB283296)
  • WB

Lab

Western blot - Anti-VCP antibody [Z-VCP-10] - Mouse IgG2a (Chimeric) - BSA and Azide free (AB283296)

Blocking and diluting buffer and concentration : 5% NFDM/TBST

Exposure time : 3 minutes

This data was developed using ab283271, the same antibody clone in a different buffer formulation.

All lanes:

Western blot - Anti-VCP antibody [Z-VCP-10] - Mouse IgG2a (Chimeric) (<a href='/en-us/products/primary-antibodies/vcp-antibody-z-vcp-10-mouse-igg2a-chimeric-ab283271'>ab283271</a>) at 1/1000 dilution

Lane 1:

A549 (human lung carcinoma epithelial cell), whole cell lysate at 20 µg

Lane 2:

SH-SY5Y (human neuroblastoma epithelial cell), whole cell lysate at 20 µg

Lane 3:

HeLa (human cervix adenocarcinoma epithelial cell), whole cell lysate at 20 µg

Lane 4:

K562 (human chronic myelogenous leukemia lymphoblast), whole cell lysate at 20 µg

Lane 5:

RAW264.7 (mouse Abelson murine leukemia virus-induced tumor macrophage), whole cell lysate at 20 µg

Lane 6:

3T3-L1 (mouse embryonic fibroblast), whole cell lysate at 20 µg

Lane 7:

L6 (rat skeletal muscle myoblast), whole cell lysate at 20 µg

Lane 8:

C6 (rat glial tumor glial cell), whole cell lysate at 20 µg

Secondary

All lanes:

Peroxidase-Conjugated Goat anti-Mouse IgG (H+L) at 1/10000 dilution

Predicted band size: 89 kDa

Observed band size: 89 kDa

false

Key facts

Host species

Mouse

Clonality

Monoclonal

Clone number

Z-VCP-10

Isotype

IgG2a

Carrier free

Yes

Reacts with

Human, Rat, Mouse

Applications

WB

applications

Reactivity data

{ "title": "Reactivity Data", "filters": { "stats": ["", "Species", "Dilution Info", "Notes"], "tabs": { "all-applications": {"fullname" : "All Applications", "shortname": "All Applications"}, "WB" : {"fullname" : "Western blot", "shortname":"WB"}, "ICCIF" : {"fullname" : "Immunocytochemistry/ Immunofluorescence", "shortname":"ICC/IF"}, "IHCP" : {"fullname" : "Immunohistochemistry (Formalin/PFA-fixed paraffin-embedded sections)", "shortname":"IHC-P"}, "IP" : {"fullname" : "Immunoprecipitation", "shortname":"IP"} }, "product-promise": { "all": "all", "testedAndGuaranteed": "tested", "guaranteed": "expected", "predicted": "predicted", "notRecommended": "not-recommended" } }, "values": { "Human": { "WB-species-checked": "testedAndGuaranteed", "WB-species-dilution-info": "1/1000", "WB-species-notes": "<p></p>", "ICCIF-species-checked": "notRecommended", "ICCIF-species-dilution-info": "", "ICCIF-species-notes": "<p></p>", "IHCP-species-checked": "notRecommended", "IHCP-species-dilution-info": "", "IHCP-species-notes": "<p></p>", "IP-species-checked": "notRecommended", "IP-species-dilution-info": "", "IP-species-notes": "<p></p>" }, "Mouse": { "WB-species-checked": "testedAndGuaranteed", "WB-species-dilution-info": "1/1000", "WB-species-notes": "<p></p>", "ICCIF-species-checked": "notRecommended", "ICCIF-species-dilution-info": "", "ICCIF-species-notes": "<p></p>", "IHCP-species-checked": "notRecommended", "IHCP-species-dilution-info": "", "IHCP-species-notes": "<p></p>", "IP-species-checked": "notRecommended", "IP-species-dilution-info": "", "IP-species-notes": "<p></p>" }, "Rat": { "WB-species-checked": "testedAndGuaranteed", "WB-species-dilution-info": "1/1000", "WB-species-notes": "<p></p>", "ICCIF-species-checked": "notRecommended", "ICCIF-species-dilution-info": "", "ICCIF-species-notes": "", "IHCP-species-checked": "notRecommended", "IHCP-species-dilution-info": "", "IHCP-species-notes": "<p></p>", "IP-species-checked": "notRecommended", "IP-species-dilution-info": "", "IP-species-notes": "" } } }

Product details

ab283296 is a mouse monoclonal chimeric antibody. Mouse IgG2a.

What are the advantages of a recombinant monoclonal antibody?
This product is a recombinant monoclonal antibody, which offers several advantages including:

  • - High batch-to-batch consistency and reproducibility
  • - Improved sensitivity and specificity
  • - Long-term security of supply
  • - Animal-free batch production

For more information, read more on recombinant antibodies.

Collaborations
This antibody was developed by the Structural Genomics Consortium and manufactured by Abcam.

Properties and storage information

Form
Liquid
Purification technique
Affinity purification Protein A
Storage buffer
pH: 7.2 - 7.4 Constituents: PBS
Shipped at conditions
Blue Ice
Appropriate short-term storage conditions
+4°C
Appropriate long-term storage conditions
+4°C
Storage information
Do Not Freeze

Supplementary information

This supplementary information is collated from multiple sources and compiled automatically.

The VCP protein also known as p97 or valosin-containing protein is a significant ATPase. It is involved mechanically in a range of cellular activities. VCP has a mass of approximately 97 kDa and is ubiquitously expressed in many tissues. It plays a role in protein homeostasis particularly in the degradation process of misfolded proteins via the ubiquitin-proteasome system. This protein comprises the D1 and D2 ATPase domains that are important for its unfolding activities.
Biological function summary

The VCP protein operates as a vital part of cellular machinery and functions in various complexes. It assists in protein quality control by participating in processes such as ER-associated degradation (ERAD) where it retrotranslocates misfolded proteins from the endoplasmic reticulum for degradation. VCP also contributes to the regulation of endocytosis autophagy and cell cycle control. These functions are important in maintaining cellular integrity.

Pathways

VCP integrates into cellular processes by engaging in essential pathways like the ubiquitin-proteasome system and autophagy. It associates with proteins such as UFD1 and NPL4 in these pathways illustrating its multifaceted role in cellular regulation. VCP's action is closely tied with the p97 protein complexes where it influences protein degradation and recycling thereby controlling protein turnover.

There are findings linking VCP to conditions such as inclusion body myopathy and Paget's disease of bone. Its malfunction due to mutations can trigger these diseases affecting muscle and bone tissues respectively. VCP's connection to other proteins like Parkin and Optineurin in these disorders highlights the protein's relevance in neurodegenerative and skeletal disease pathways emphasizing its pivotal role in maintaining cellular health.

Product protocols

For this product, it's our understanding that no specific protocols are required. You can visit:

Target data

Necessary for the fragmentation of Golgi stacks during mitosis and for their reassembly after mitosis. Involved in the formation of the transitional endoplasmic reticulum (tER). The transfer of membranes from the endoplasmic reticulum to the Golgi apparatus occurs via 50-70 nm transition vesicles which derive from part-rough, part-smooth transitional elements of the endoplasmic reticulum (tER). Vesicle budding from the tER is an ATP-dependent process. The ternary complex containing UFD1, VCP and NPLOC4 binds ubiquitinated proteins and is necessary for the export of misfolded proteins from the ER to the cytoplasm, where they are degraded by the proteasome. The NPLOC4-UFD1-VCP complex regulates spindle disassembly at the end of mitosis and is necessary for the formation of a closed nuclear envelope. Regulates E3 ubiquitin-protein ligase activity of RNF19A. Component of the VCP/p97-AMFR/gp78 complex that participates in the final step of the sterol-mediated ubiquitination and endoplasmic reticulum-associated degradation (ERAD) of HMGCR. Mediates the endoplasmic reticulum-associated degradation of CHRNA3 in cortical neurons as part of the STUB1-VCP-UBXN2A complex (PubMed : 26265139). Involved in endoplasmic reticulum stress-induced pre-emptive quality control, a mechanism that selectively attenuates the translocation of newly synthesized proteins into the endoplasmic reticulum and reroutes them to the cytosol for proteasomal degradation (PubMed : 26565908). Involved in clearance process by mediating G3BP1 extraction from stress granules (PubMed : 29804830, PubMed : 34739333). Also involved in DNA damage response : recruited to double-strand breaks (DSBs) sites in a RNF8- and RNF168-dependent manner and promotes the recruitment of TP53BP1 at DNA damage sites (PubMed : 22020440, PubMed : 22120668). Recruited to stalled replication forks by SPRTN : may act by mediating extraction of DNA polymerase eta (POLH) to prevent excessive translesion DNA synthesis and limit the incidence of mutations induced by DNA damage (PubMed : 23042605, PubMed : 23042607). Together with SPRTN metalloprotease, involved in the repair of covalent DNA-protein cross-links (DPCs) during DNA synthesis (PubMed : 32152270). Involved in interstrand cross-link repair in response to replication stress by mediating unloading of the ubiquitinated CMG helicase complex (By similarity). Mediates extraction of PARP1 trapped to chromatin : recognizes and binds ubiquitinated PARP1 and promotes its removal (PubMed : 35013556). Required for cytoplasmic retrotranslocation of stressed/damaged mitochondrial outer-membrane proteins and their subsequent proteasomal degradation (PubMed : 16186510, PubMed : 21118995). Essential for the maturation of ubiquitin-containing autophagosomes and the clearance of ubiquitinated protein by autophagy (PubMed : 20104022, PubMed : 27753622). Acts as a negative regulator of type I interferon production by interacting with RIGI : interaction takes place when RIGI is ubiquitinated via 'Lys-63'-linked ubiquitin on its CARD domains, leading to recruit RNF125 and promote ubiquitination and degradation of RIGI (PubMed : 26471729). May play a role in the ubiquitin-dependent sorting of membrane proteins to lysosomes where they undergo degradation (PubMed : 21822278). May more particularly play a role in caveolins sorting in cells (PubMed : 21822278, PubMed : 23335559). By controlling the steady-state expression of the IGF1R receptor, indirectly regulates the insulin-like growth factor receptor signaling pathway (PubMed : 26692333).
See full target information VCP

Product promise

We are committed to supporting your work with high-quality reagents, and we're here for you every step of the way. In the unlikely event that one of our products does not perform as expected, you're protected by our Product Promise.
For full details, please see our Terms & Conditions

Please note: All products are 'FOR RESEARCH USE ONLY. NOT FOR USE IN DIAGNOSTIC OR THERAPEUTIC PROCEDURES'.

For licensing inquiries, please contact partnerships@abcam.com