JavaScript is disabled in your browser. Please enable JavaScript to view this website.
AB306582

Anti-VDAC1/Porin antibody [EPR27552-6] - BSA and Azide free

  • BOND RX™ Validated
  • RabMAb
  • Recombinant
  • KO Validated
  • What is this?

Be the first to review this product! Submit a review

|

(0 Publication)

Rabbit Recombinant Monoclonal VDAC1/Porin antibody. Carrier free. Suitable for WB, Dot, IHC-P and reacts with Human, Rat, Mouse samples.

View Alternative Names

VDAC, VDAC1, Non-selective voltage-gated ion channel VDAC1, Outer mitochondrial membrane protein porin 1, Plasmalemmal porin, Porin 31HL, Porin 31HM, Voltage-dependent anion-selective channel protein 1, VDAC-1, hVDAC1

6 Images
Immunohistochemistry (Formalin/PFA-fixed paraffin-embedded sections) - Anti-VDAC1/Porin antibody [EPR27552-6] - BSA and Azide free (AB306582)
  • IHC-P

Supplier Data

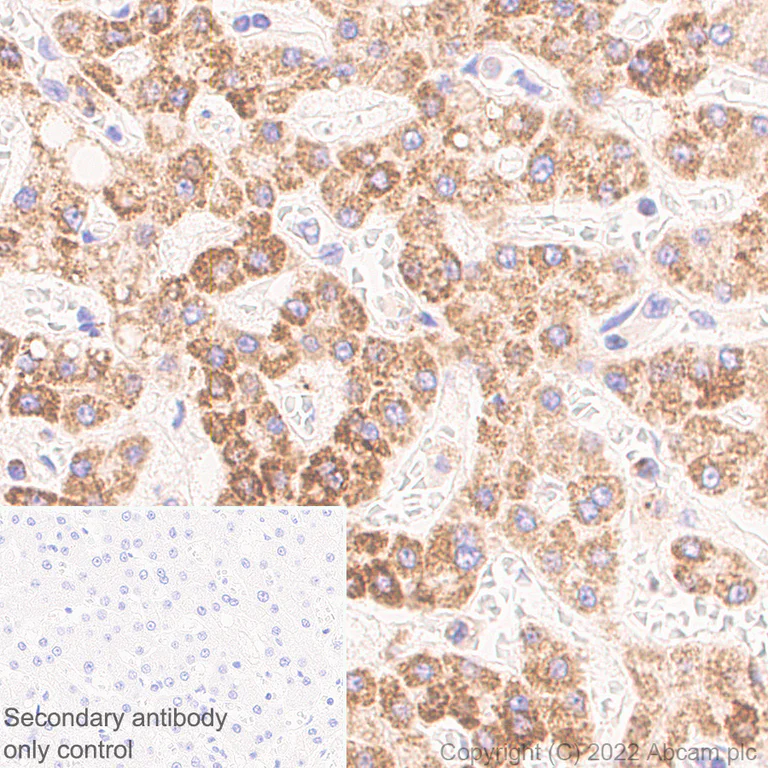
Immunohistochemistry (Formalin/PFA-fixed paraffin-embedded sections) - Anti-VDAC1/Porin antibody [EPR27552-6] - BSA and Azide free (AB306582)

This data was developed using ab306581, the same antibody clone in a different buffer formulation. Immunohistochemical analysis of paraffin-embedded Human liver tissue labeling VDAC1/Porin with ab306581 at 1/5000 (0.104 ug/ml) followed by a ready to use LeicaDS9800 (Bond? Polymer Refine Detection) was used. Positive staining in human liver (PMID : 31167495). The section was incubated with ab306581 for 30 mins at room temperature. The immunostaining was performed on a Leica Biosystems BOND? RX instrument. Counterstained with Hematoxylin. Secondary antibody only control : Secondary antibody is a ready to use LeicaDS9800 (Bond? Polymer Refine Detection) was used. Heat mediated antigen retrieval with Tris-EDTA buffer (pH 9.0, epitope retrieval solution2) for 20 mins

Immunohistochemistry (Formalin/PFA-fixed paraffin-embedded sections) - Anti-VDAC1/Porin antibody [EPR27552-6] - BSA and Azide free (AB306582)
  • IHC-P

Supplier Data

Immunohistochemistry (Formalin/PFA-fixed paraffin-embedded sections) - Anti-VDAC1/Porin antibody [EPR27552-6] - BSA and Azide free (AB306582)

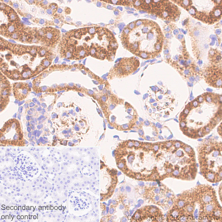
This data was developed using ab306581, the same antibody clone in a different buffer formulation. Immunohistochemical analysis of paraffin-embedded Rat kidney tissue labeling VDAC1/Porin with ab306581 at 1/5000 (0.104 ug/ml) followed by a ready to use LeicaDS9800 (Bond? Polymer Refine Detection) was used. Positive staining in rat kidney. The section was incubated with ab306581 for 30 mins at room temperature. The immunostaining was performed on a Leica Biosystems BOND? RX instrument. Counterstained with Hematoxylin. Secondary antibody only control : Secondary antibody is a ready to use LeicaDS9800 (Bond? Polymer Refine Detection) was used. Heat mediated antigen retrieval with Tris-EDTA buffer (pH 9.0, epitope retrieval solution2) for 20 mins

Immunohistochemistry (Formalin/PFA-fixed paraffin-embedded sections) - Anti-VDAC1/Porin antibody [EPR27552-6] - BSA and Azide free (AB306582)
  • IHC-P

Supplier Data

Immunohistochemistry (Formalin/PFA-fixed paraffin-embedded sections) - Anti-VDAC1/Porin antibody [EPR27552-6] - BSA and Azide free (AB306582)

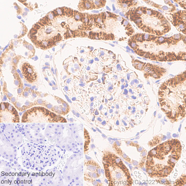
This data was developed using ab306581, the same antibody clone in a different buffer formulation. Immunohistochemical analysis of paraffin-embedded Mouse kidney tissue labeling VDAC1/Porin with ab306581 at 1/5000 (0.104 ug/ml) followed by a ready to use LeicaDS9800 (Bond? Polymer Refine Detection) was used. Positive staining in mouse kidney (PMID : 27907123). The section was incubated with ab306581 for 30 mins at room temperature. The immunostaining was performed on a Leica Biosystems BOND? RX instrument. Counterstained with Hematoxylin. Secondary antibody only control : Secondary antibody is a ready to use LeicaDS9800 (Bond? Polymer Refine Detection) was used. Heat mediated antigen retrieval with Tris-EDTA buffer (pH 9.0, epitope retrieval solution2) for 20 mins

Western blot - Anti-VDAC1/Porin antibody [EPR27552-6] - BSA and Azide free (AB306582)
  • WB

Supplier Data

Western blot - Anti-VDAC1/Porin antibody [EPR27552-6] - BSA and Azide free (AB306582)

This data was developed using 306581, the same antibody clone in a different buffer formulation. Blocking and diluting buffer and concentration : The samples were run on a Bis-Tris gel. Performed under reducing conditions. False colour image of Western blot : Anti-VDAC1/Porin antibody [EPR27552-6] (ab306581) staining at 1/1000 dilution, shown in green; Mouse anti-GAPDH antibody [6C5] (ab8245) loading control staining at 1/20000 dilution, shown in red. In Western blot, ab306581 was shown to bind specifically to VDAC1/Porin. A band was observed at 33 kDa in wild-type HAP1 cell lysates whereas no signal observed at this size in VDAC1/Porin knockout cell line. To generate this image, wild-type and VDAC1/Porin knockout HAP1 cell lysates were analyzed. First, samples were run on an SDS-PAGE gel then transferred onto an immobilon-FL PVDF membrane. Membranes were blocked in in Intercept? (TBS) Blocking Buffer diluted with an equal volume of 0.1% TBS before incubation with primary antibodies overnight at 4 ЎгC. Blots were washed four times in TBS-T, incubated with secondary antibodies for 1 h at room temperature, washed again four times then imaged. Secondary antibodies used were Goat anti-Rabbit IgG H&L (IRDye? 800CW) preabsorbed (ab216773) and Goat anti-Mouse IgG H&L (IRDye? 680RD) preabsorbed (ab216776) at 1/20000 dilution. Exposure time :

All lanes:

Western blot - Anti-VDAC1/Porin antibody [EPR27552-6] - Mitochondrial Loading Control (<a href='/en-us/products/primary-antibodies/vdac1-porin-antibody-epr27552-6-mitochondrial-loading-control-ab306581'>ab306581</a>) at 1/1000 dilution

Lane 1:

Wild-type HAP1 whole cell lysate 20 μg

Lane 2:

VDAC1/Porin knockout HAP1 whole cell lysate 20 μg

Lane 3:

HepG2 (human hepatocellar carcinoma epithelial cell) whole cell lysate 20 μg

Lane 4:

Jurkat (human T cell leukemia T lymphocyte from peripheral blood) whole cell lysate 20 μg

Secondary

Lanes 1 - 4:

Western blot - Goat anti-Rabbit IgG H&L (IRDye® 800CW) preadsorbed (<a href='/en-us/products/secondary-antibodies/goat-rabbit-igg-h-l-irdye-800cw-preadsorbed-ab216773'>ab216773</a>) at 1/20000 dilution

Lanes 1 - 4:

Western blot - Goat anti-Mouse IgG H&L (IRDye® 680RD) preadsorbed (<a href='/en-us/products/secondary-antibodies/goat-mouse-igg-h-l-irdye-680rd-preadsorbed-ab216776'>ab216776</a>) at 1/20000 dilution

Observed band size: 33 kDa

false

Dot Blot - Anti-VDAC1/Porin antibody [EPR27552-6] - BSA and Azide free (AB306582)
  • Dot

Supplier Data

Dot Blot - Anti-VDAC1/Porin antibody [EPR27552-6] - BSA and Azide free (AB306582)

This data was developed using ab306581, the same antibody clone in a different buffer formulation. Dot blot analysis of VDAC1/Porin using ab306581 at 1 : 1000 (0.518 ug/ml) followed by a Goat Anti-RABbit IgG, (H+L), Peroxidase conjugated (ab97051) at 1 : 100,000 dilution. Exposure time : 180 seconds Blocking and diluting buffer and concentration : 5% NFDM/TBST

Western blot - Anti-VDAC1/Porin antibody [EPR27552-6] - BSA and Azide free (AB306582)
  • WB

Supplier Data

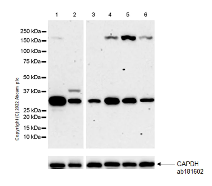
Western blot - Anti-VDAC1/Porin antibody [EPR27552-6] - BSA and Azide free (AB306582)

This data was developed using 306581, the same antibody clone in a different buffer formulation. Blocking and diluting buffer and concentration : Low expression tissue : liver (PMID : 31167495). The identity of the higher MW band at approximately 160 kDa is unknown. 180 seconds Exposure time :

All lanes:

Western blot - Anti-VDAC1/Porin antibody [EPR27552-6] - Mitochondrial Loading Control (<a href='/en-us/products/primary-antibodies/vdac1-porin-antibody-epr27552-6-mitochondrial-loading-control-ab306581'>ab306581</a>) at 1/1000 dilution

Lane 1:

Mouse kidney tissue lysate 20 μg

Lane 2:

Mouse liver tissue lysate 20 μg

Lane 3:

NIH/3T3 (mouse embryonic fibroblast) whole cell lysate 20 μg

Lane 4:

C6 (rat glial tumor glial cell) whole cell lysate 20 μg

Lane 5:

PC-12 (rat adrenal gland pheochromocytoma cell) whole cell lysate 20 μg

Lane 6:

RAW 264.7 (mouse elson murine leukemia virus-induced tumor macrophage) whole cell lysate 20 μg

Secondary

All lanes:

Western blot - Goat Anti-Rabbit IgG H&L (HRP) (<a href='/en-us/products/secondary-antibodies/goat-rabbit-igg-h-l-hrp-ab97051'>ab97051</a>) at 1/20000 dilution

Observed band size: 33 kDa

false

Exposure time: 180s

  • Unconjugated

    Anti-VDAC1/Porin antibody [EPR27552-6] - Mitochondrial Loading Control

Key facts

Host species

Rabbit

Clonality

Monoclonal

Clone number

EPR27552-6

Isotype

IgG

Carrier free

Yes

Reacts with

Human, Mouse, Rat

Applications

Dot, IHC-P, WB

applications

Immunogen

The exact immunogen used to generate this antibody is proprietary information.

Reactivity data

{ "title": "Reactivity Data", "filters": { "stats": ["", "Species", "Dilution Info", "Notes"], "tabs": { "all-applications": {"fullname" : "All Applications", "shortname": "All Applications"}, "WB" : {"fullname" : "Western blot", "shortname":"WB"}, "Dot" : {"fullname" : "Dot Blot", "shortname":"Dot"}, "FlowCytIntra" : {"fullname" : "Flow Cytometry (Intracellular)", "shortname":"Flow Cyt (Intra)"}, "ICCIF" : {"fullname" : "Immunocytochemistry/ Immunofluorescence", "shortname":"ICC/IF"}, "IHCFr" : {"fullname" : "Immunohistochemistry (Frozen sections)", "shortname":"IHC-Fr"}, "IHCP" : {"fullname" : "Immunohistochemistry (Formalin/PFA-fixed paraffin-embedded sections)", "shortname":"IHC-P"} }, "product-promise": { "all": "all", "testedAndGuaranteed": "tested", "guaranteed": "expected", "predicted": "predicted", "notRecommended": "not-recommended" } }, "values": { "Human": { "WB-species-checked": "testedAndGuaranteed", "WB-species-dilution-info": "", "WB-species-notes": "<p></p>", "Dot-species-checked": "testedAndGuaranteed", "Dot-species-dilution-info": "", "Dot-species-notes": "<p></p>", "FlowCytIntra-species-checked": "notRecommended", "FlowCytIntra-species-dilution-info": "", "FlowCytIntra-species-notes": "<p></p>", "ICCIF-species-checked": "notRecommended", "ICCIF-species-dilution-info": "", "ICCIF-species-notes": "<p></p>", "IHCFr-species-checked": "notRecommended", "IHCFr-species-dilution-info": "", "IHCFr-species-notes": "<p></p>", "IHCP-species-checked": "testedAndGuaranteed", "IHCP-species-dilution-info": "", "IHCP-species-notes": "<p></p>" }, "Mouse": { "WB-species-checked": "testedAndGuaranteed", "WB-species-dilution-info": "", "WB-species-notes": "<p></p>", "Dot-species-checked": "guaranteed", "Dot-species-dilution-info": "", "Dot-species-notes": "", "FlowCytIntra-species-checked": "notRecommended", "FlowCytIntra-species-dilution-info": "", "FlowCytIntra-species-notes": "<p></p>", "ICCIF-species-checked": "notRecommended", "ICCIF-species-dilution-info": "", "ICCIF-species-notes": "<p></p>", "IHCFr-species-checked": "notRecommended", "IHCFr-species-dilution-info": "", "IHCFr-species-notes": "<p></p>", "IHCP-species-checked": "testedAndGuaranteed", "IHCP-species-dilution-info": "", "IHCP-species-notes": "<p></p>" }, "Rat": { "WB-species-checked": "testedAndGuaranteed", "WB-species-dilution-info": "", "WB-species-notes": "<p></p>", "Dot-species-checked": "guaranteed", "Dot-species-dilution-info": "", "Dot-species-notes": "", "FlowCytIntra-species-checked": "notRecommended", "FlowCytIntra-species-dilution-info": "", "FlowCytIntra-species-notes": "<p></p>", "ICCIF-species-checked": "notRecommended", "ICCIF-species-dilution-info": "", "ICCIF-species-notes": "<p></p>", "IHCFr-species-checked": "notRecommended", "IHCFr-species-dilution-info": "", "IHCFr-species-notes": "<p></p>", "IHCP-species-checked": "testedAndGuaranteed", "IHCP-species-dilution-info": "", "IHCP-species-notes": "<p></p>" } } }

Product details

Patented technology
Our RabMAb® technology is a patented hybridoma-based technology for making rabbit monoclonal antibodies. For details on our patents, please refer to RabMAb® patents.

What are the advantages of a recombinant monoclonal antibody?
This product is a recombinant monoclonal antibody, which offers several advantages including:

  • - High batch-to-batch consistency and reproducibility
  • - Improved sensitivity and specificity
  • - Long-term security of supply
  • - Animal-free batch production

For more information, read more on recombinant antibodies.

Conjugation ready
Our carrier-free antibodies are typically supplied in a PBS-only formulation, purified and free of BSA, sodium azide and glycerol. This conjugation-ready format is designed for use with fluorochromes, metal isotopes, oligonucleotides, and enzymes, which makes them ideal for antibody labelling, functional and cell-based assays, flow-based assays (e.g. mass cytometry) and Multiplex Imaging applications.

Use our conjugation kits for antibody conjugates that are ready-to-use in as little as 20 minutes with 1 minute hands-on-time and 100% antibody recovery: available for fluorescent dyes, HRP, biotin and gold.

Compatibility
This product is compatible with the Maxpar® Antibody Labeling Kit from Fluidigm, without the need for antibody preparation. Maxpar® is a trademark of Fluidigm Canada Inc.

Properties and storage information

Form
Liquid
Purification technique
Affinity purification Protein A
Storage buffer
pH: 7.2 - 7.4 Constituents: PBS
Shipped at conditions
Blue Ice
Appropriate short-term storage conditions
+4°C
Appropriate long-term storage conditions
+4°C
Storage information
Do Not Freeze

Supplementary information

This supplementary information is collated from multiple sources and compiled automatically.

VDAC1 also known as Voltage-Dependent Anion Channel 1 or Porin is a channel protein with a mass around 31 kDa. It is located in the outer mitochondrial membrane and is express widely in various tissues. This protein forms a channel that allows the transport of metabolites and ions playing an important role in regulating energy and metabolic exchange between the mitochondria and the rest of the cell. Scientists often study it as a significant focus in cellular bioenergetics and apoptosis research.
Biological function summary

VDAC1 acts as a pore-forming unit within the mitochondrial membrane allowing for the passage of small hydrophilic molecules. It is not part of a larger complex but works closely with other proteins to maintain mitochondrial function. VDAC1 regulates the entry and exit of proteins and ions essential for mitochondrial homeostasis and cellular energy production. By controlling the exchange of inorganic phosphate adenine nucleotides and Ca2+ VDAC1 influences both mitochondrial and cellular metabolism.

Pathways

VDAC1 is involved in apoptosis and energy production pathways. It associates with proteins such as the Bcl-2 family in the apoptosis pathway influencing cell survival and programmed cell death. In energy production VDAC1 works in conjunction with the adenine nucleotide translocase facilitating ATP and ADP exchanges that are critical for maintaining cellular energy levels.

VDAC1 has a connection to cancer and neurodegenerative diseases. Upregulation or dysfunction of VDAC1 is observed in various cancers where it affects mitochondrial apoptosis regulation linked often with Bcl-2 anti-apoptotic proteins. In neurodegenerative diseases like Alzheimer’s alterations in VDAC1 expression and function can disrupt mitochondrial permeability. This interaction can result in disturbed neuronal energy metabolism often associated with amyloid precursor protein and its derivatives.

Product protocols

For this product, it's our understanding that no specific protocols are required. You can visit:

Target data

Non-selective voltage-gated ion channel that mediates the transport of anions and cations through the mitochondrion outer membrane and plasma membrane (PubMed : 10661876, PubMed : 11845315, PubMed : 18755977, PubMed : 30061676, PubMed : 8420959). The channel at the outer mitochondrial membrane allows diffusion of small hydrophilic molecules; in the plasma membrane it is involved in cell volume regulation and apoptosis (PubMed : 10661876, PubMed : 11845315, PubMed : 18755977, PubMed : 8420959). It adopts an open conformation at low or zero membrane potential and a closed conformation at potentials above 30-40 mV (PubMed : 10661876, PubMed : 18755977, PubMed : 8420959). The open state has a weak anion selectivity whereas the closed state is cation-selective (PubMed : 18755977, PubMed : 8420959). Binds various signaling molecules, including the sphingolipid ceramide, the phospholipid phosphatidylcholine, and the sterols cholesterol and oxysterol (PubMed : 18755977, PubMed : 31015432). In depolarized mitochondria, acts downstream of PRKN and PINK1 to promote mitophagy or prevent apoptosis; polyubiquitination by PRKN promotes mitophagy, while monoubiquitination by PRKN decreases mitochondrial calcium influx which ultimately inhibits apoptosis (PubMed : 32047033). May participate in the formation of the permeability transition pore complex (PTPC) responsible for the release of mitochondrial products that triggers apoptosis (PubMed : 15033708, PubMed : 25296756). May mediate ATP export from cells (PubMed : 30061676). Part of a complex composed of HSPA9, ITPR1 and VDAC1 that regulates mitochondrial calcium-dependent apoptosis by facilitating calcium transport from the ER lumen to the mitochondria intermembrane space thus providing calcium for the downstream calcium channel MCU that directly releases it into mitochondria matrix (By similarity). Mediates cytochrome c efflux (PubMed : 20230784).. Catalyzes the scrambling of phospholipids across the outer mitochondrial membrane; the mechanism is unrelated to channel activity and is capable of translocating both anionic and zwitterionic phospholipids.
See full target information VDAC1

Product promise

We are committed to supporting your work with high-quality reagents, and we're here for you every step of the way. In the unlikely event that one of our products does not perform as expected, you're protected by our Product Promise.
For full details, please see our Terms & Conditions

Please note: All products are 'FOR RESEARCH USE ONLY. NOT FOR USE IN DIAGNOSTIC OR THERAPEUTIC PROCEDURES'.

For licensing inquiries, please contact partnerships@abcam.com