JavaScript is disabled in your browser. Please enable JavaScript to view this website.
AB15895

Anti-VDAC1/Porin + VDAC2 + VDAC3 antibody – Mitochondrial Loading Control

5

(35 Reviews)

|

(483 Publications)

Anti-VDAC1/Porin + VDAC2 + VDAC3 antibody – Mitochondrial Loading Control (ab15895) is a rabbit polyclonal antibody detecting VDAC1/Porin in Western Blot, IHC-P, ICC/IF. Suitable for Chicken, Chinese hamster, Cow, Dog, Human, Mouse, Rat.

- Over 390 publications
- Trusted since 2005

View Alternative Names

VDAC, VDAC1, Non-selective voltage-gated ion channel VDAC1, Outer mitochondrial membrane protein porin 1, Plasmalemmal porin, Porin 31HL, Porin 31HM, Voltage-dependent anion-selective channel protein 1, VDAC-1, hVDAC1

7 Images
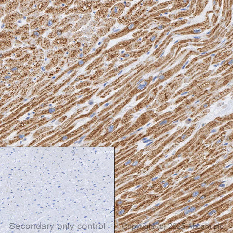
Immunohistochemistry (Formalin/PFA-fixed paraffin-embedded sections) - Anti-VDAC1/Porin + VDAC2 + VDAC3 antibody – Mitochondrial Loading Control (AB15895)
  • IHC-P

Lab

Immunohistochemistry (Formalin/PFA-fixed paraffin-embedded sections) - Anti-VDAC1/Porin + VDAC2 + VDAC3 antibody – Mitochondrial Loading Control (AB15895)

IHC image of VDAC1/Porin + VDAC2 + VDAC3 staining in a section of formalin-fixed paraffin-embedded normal human heart performed on a Leica Biosystems BOND® RX instrument. The section was pre-treated using heat mediated antigen retrieval with sodium citrate buffer (pH6, epitope retrieval solution 1) for 20mins. The section was then incubated with ab15895, 0.1 μg/ml, for 15 mins at room temperature and detected using an HRP conjugated compact polymer system. DAB was used as the chromogen. The section was then counterstained with haematoxylin and mounted with DPX. The inset secondary-only control image is taken from an identical assay without primary antibody. For other IHC staining systems (automated and non-automated) customers should optimize variable parameters such as antigen retrieval conditions, primary antibody concentration and antibody incubation times. Tissue obtained from the Human Research Tissue Bank, supported by the NIHR Cambridge Biomedical Research Centre.

Immunocytochemistry/ Immunofluorescence - Anti-VDAC1/Porin + VDAC2 + VDAC3 antibody – Mitochondrial Loading Control (AB15895)
  • ICC/IF

Lab

Immunocytochemistry/ Immunofluorescence - Anti-VDAC1/Porin + VDAC2 + VDAC3 antibody – Mitochondrial Loading Control (AB15895)

ab15895 staining VDAC1/Porin + VDAC2 + VDAC3 in HeLa cells. The cells were fixed with 100% methanol (5 min), permeabilized with 0.1% PBS-Triton X-100 for 5 minutes and then blocked with 1% BSA/10% normal goat serum/0.3M glycine in 0.1% PBS-Tween for 1h. The cells were then incubated overnight at 4°C with ab15895 at 5µg/ml and ab7291, Mouse monoclonal [DM1A] to alpha Tubulin - Loading Control. Cells were then incubated with ab150081, Goat polyclonal Secondary Antibody to Rabbit IgG - H&L (Alexa Fluor® 488), pre-adsorbed at 1/1000 dilution (shown in green) and ab150120, Goat polyclonal Secondary Antibody to Mouse IgG - H&L (Alexa Fluor® 594), pre-adsorbed at 1/1000 dilution (shown in pseudocolour red). Nuclear DNA was labelled with DAPI (shown in blue).

Image was acquired with a high-content analyser (Operetta CLS, Perkin Elmer) and a maximum intensity projection of confocal sections is shown.

Immunohistochemistry (Formalin/PFA-fixed paraffin-embedded sections) - Anti-VDAC1/Porin + VDAC2 + VDAC3 antibody – Mitochondrial Loading Control (AB15895)
  • IHC-P

Lab

Immunohistochemistry (Formalin/PFA-fixed paraffin-embedded sections) - Anti-VDAC1/Porin + VDAC2 + VDAC3 antibody – Mitochondrial Loading Control (AB15895)

Immunohistochemical analysis of formalin fixed paraffin embedded human heart labelling VDAC1/Porin with ab15895 at a concentration of 0.1µg/ml. The immunostaining was performed on a Ventana DISCOVERY ULTRA (Roche Tissue Diagnostics) instrument with a OptiView DAB IHC Detection Kit. Heat mediated antigen retrieval was performed with DISCOVERY cell conditioning solution (CC1) 100°C, pH8.5 for 32mins.

ab15895 Anti-VDAC1/Porin antibody was incubated for 16mins at 37°C. Sections were counterstained with Hematoxylin II. Image inset shows absence of staining in secondary antibody only control.

Customers are encouraged to optimise antigen retrieval conditions, antibody concentration, incubation times and temperature for best results in their own IHC assay workflow (automated and manual)

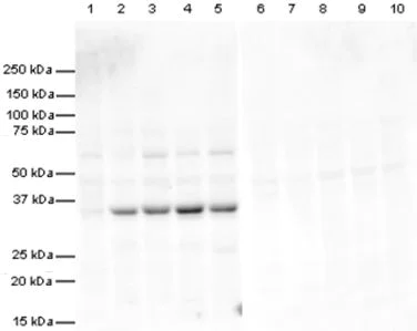
Western blot - Anti-VDAC1/Porin + VDAC2 + VDAC3 antibody – Mitochondrial Loading Control (AB15895)
  • WB

Unknown

Western blot - Anti-VDAC1/Porin + VDAC2 + VDAC3 antibody – Mitochondrial Loading Control (AB15895)

Western blot image using the Optiblot Reducing Electrophoresis Kit - 10 x 10 cm (4-20%) (ab119220) with the
Prism Ultra Protein Ladder (ab116028) 5μl used. We recommend using our ECL substrate kit (ab65623) .
20ug of Lysate per lane and detection using ab15895 diluted to 1ug/ml.
Lane 1 : HeLa cell lysate
Lane 2 : Jurkat cell lysate
Lane 3 : A431 cell lysate
Lane 4 : HEK293 cell lysate
Lane 5 : HepG2 cell lysate.

All lanes:

Western blot - Anti-VDAC1/Porin + VDAC2 + VDAC3 antibody – Mitochondrial Loading Control (ab15895)

Predicted band size: 31 kDa

true

Exposure time: 3min

Western blot - Anti-VDAC1/Porin + VDAC2 + VDAC3 antibody – Mitochondrial Loading Control (AB15895)
  • WB

Project

Western blot - Anti-VDAC1/Porin + VDAC2 + VDAC3 antibody – Mitochondrial Loading Control (AB15895)

All lanes:

Western blot - Anti-VDAC1/Porin + VDAC2 + VDAC3 antibody – Mitochondrial Loading Control (ab15895) at 1 µg/mL

Lane 1:

Hela Nuclear lysate at 20 µg

Lane 2:

Hela cell lysate at 20 µg

Lane 3:

A431 cell lysate at 20 µg

Lane 4:

Jurkat cell lysate at 20 µg

Lane 5:

HEK293 cell lysate at 20 µg

Lane 6:

Hela Nuclear lysate at 20 µg with Human VDAC1/Porin peptide (<a href='/en-us/products/unavailable/human-vdac1porin-peptide-ab16131'>ab16131</a>)

Lane 7:

Hela cell lysate at 20 µg with Human VDAC1/Porin peptide (<a href='/en-us/products/unavailable/human-vdac1porin-peptide-ab16131'>ab16131</a>)

Lane 8:

A431 cell lysate at 20 µg with Human VDAC1/Porin peptide (<a href='/en-us/products/unavailable/human-vdac1porin-peptide-ab16131'>ab16131</a>)

Lane 9:

Jurkat cell lysate at 20 µg with Human VDAC1/Porin peptide (<a href='/en-us/products/unavailable/human-vdac1porin-peptide-ab16131'>ab16131</a>)

Lane 10:

HEK293 cell lysate at 20 µg with Human VDAC1/Porin peptide (<a href='/en-us/products/unavailable/human-vdac1porin-peptide-ab16131'>ab16131</a>)

Secondary

All lanes:

Western blot - Goat Anti-Rabbit IgG H&L (HRP) (<a href='/en-us/products/secondary-antibodies/goat-rabbit-igg-h-l-hrp-ab6721'>ab6721</a>) at 1/5000 dilution

Predicted band size: 31 kDa

Observed band size: 31 kDa

true

Western blot - Anti-VDAC1/Porin + VDAC2 + VDAC3 antibody – Mitochondrial Loading Control (AB15895)
  • WB

Project

Western blot - Anti-VDAC1/Porin + VDAC2 + VDAC3 antibody – Mitochondrial Loading Control (AB15895)

All lanes:

Western blot - Anti-VDAC1/Porin + VDAC2 + VDAC3 antibody – Mitochondrial Loading Control (ab15895) at 1 µg/mL

Lane 1:

Chicken liver cell lysate at 20 µg

Lane 2:

CHO K1 cell lysate at 20 µg

Lane 3:

MDCK cell lysate at 20 µg

Lane 4:

Chicken liver cell lysate at 20 µg with Human VDAC1/Porin peptide (<a href='/en-us/products/unavailable/human-vdac1porin-peptide-ab16131'>ab16131</a>)

Lane 5:

CHO K1 cell lysate at 20 µg with Human VDAC1/Porin peptide (<a href='/en-us/products/unavailable/human-vdac1porin-peptide-ab16131'>ab16131</a>)

Lane 6:

MDCK cell lysate at 20 µg with Human VDAC1/Porin peptide (<a href='/en-us/products/unavailable/human-vdac1porin-peptide-ab16131'>ab16131</a>)

Secondary

All lanes:

Alexa fluor goat polyclonal anti-Rabbit IgG at 1/10000 dilution

Predicted band size: 31 kDa

Observed band size: 31 kDa

true

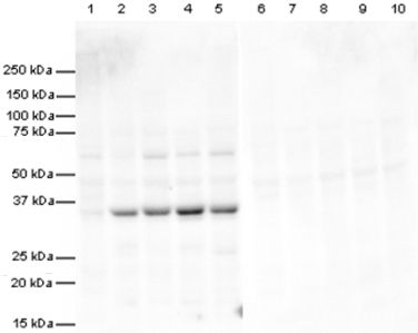
Western blot - Anti-VDAC1/Porin + VDAC2 + VDAC3 antibody – Mitochondrial Loading Control (AB15895)
  • WB

Project

Western blot - Anti-VDAC1/Porin + VDAC2 + VDAC3 antibody – Mitochondrial Loading Control (AB15895)

All lanes:

Western blot - Anti-VDAC1/Porin + VDAC2 + VDAC3 antibody – Mitochondrial Loading Control (ab15895) at 1 µg/mL

Lane 1:

Heart (Mouse) Tissue Lysate at 10 µg

Lane 2:

Kidney (Mouse) Tissue Lysate at 10 µg

Lane 3:

Western blot - Mouse skeletal muscle tissue lysate - total protein (<a href='/en-us/products/tissue-lysates/mouse-skeletal-muscle-tissue-lysate-total-protein-ab29711'>ab29711</a>) at 10 µg

Lane 4:

Spinal Cord (Mouse) Tissue Lysate at 10 µg

Lane 5:

PC12 (Rat adrenal pheochromocytoma cell line) Whole Cell Lysate at 10 µg

Lane 6:

Brain (Rat) Tissue Lysate - normal tissue at 10 µg

Lane 7:

Kidney (Rat) Whole Cell Lysate - normal tissue (<a href='/en-us/products/unavailable/kidney-rat-whole-cell-lysate-normal-tissue-ab29480'>ab29480</a>) at 10 µg

Secondary

All lanes:

IRDye 680 Conjugated Goat Anti-Rabbit IgG (H+L) at 1/10000 dilution

Predicted band size: 31 kDa

Observed band size: 31 kDa

false

Key facts

Host species

Rabbit

Clonality

Polyclonal

Isotype

IgG

Carrier free

No

Reacts with

Chinese hamster, Mouse, Rat, Dog, Chicken, Human, Cow

Applications

WB, ICC/IF, IHC-P

applications

Immunogen

The exact immunogen used to generate this antibody is proprietary information.

Specificity

This antibody detects VDAC1, VDAC2 and VDAC3.

Reactivity data

{ "title": "Reactivity Data", "filters": { "stats": ["", "Species", "Dilution Info", "Notes"], "tabs": { "all-applications": {"fullname" : "All Applications", "shortname": "All Applications"}, "WB" : {"fullname" : "Western blot", "shortname":"WB"}, "IHCP" : {"fullname" : "Immunohistochemistry (Formalin/PFA-fixed paraffin-embedded sections)", "shortname":"IHC-P"}, "ICCIF" : {"fullname" : "Immunocytochemistry/ Immunofluorescence", "shortname":"ICC/IF"} }, "product-promise": { "all": "all", "testedAndGuaranteed": "tested", "guaranteed": "expected", "predicted": "predicted", "notRecommended": "not-recommended" } }, "values": { "Human": { "WB-species-checked": "testedAndGuaranteed", "WB-species-dilution-info": "1 µg/mL", "WB-species-notes": "<p>Abcam recommends using BSA as the blocking agent.</p>", "IHCP-species-checked": "testedAndGuaranteed", "IHCP-species-dilution-info": "0.1 µg/mL", "IHCP-species-notes": "<p></p>", "ICCIF-species-checked": "testedAndGuaranteed", "ICCIF-species-dilution-info": "5 µg/mL", "ICCIF-species-notes": "<p></p>" }, "Mouse": { "WB-species-checked": "testedAndGuaranteed", "WB-species-dilution-info": "1 µg/mL", "WB-species-notes": "<p>Abcam recommends using BSA as the blocking agent.</p>", "IHCP-species-checked": "guaranteed", "IHCP-species-dilution-info": "", "IHCP-species-notes": "", "ICCIF-species-checked": "guaranteed", "ICCIF-species-dilution-info": "", "ICCIF-species-notes": "" }, "Rat": { "WB-species-checked": "testedAndGuaranteed", "WB-species-dilution-info": "1 µg/mL", "WB-species-notes": "<p>Abcam recommends using BSA as the blocking agent.</p>", "IHCP-species-checked": "guaranteed", "IHCP-species-dilution-info": "", "IHCP-species-notes": "", "ICCIF-species-checked": "guaranteed", "ICCIF-species-dilution-info": "", "ICCIF-species-notes": "" }, "Chicken": { "WB-species-checked": "testedAndGuaranteed", "WB-species-dilution-info": "1 µg/mL", "WB-species-notes": "<p>Abcam recommends using BSA as the blocking agent.</p>", "IHCP-species-checked": "guaranteed", "IHCP-species-dilution-info": "", "IHCP-species-notes": "", "ICCIF-species-checked": "guaranteed", "ICCIF-species-dilution-info": "", "ICCIF-species-notes": "" }, "Chinese hamster": { "WB-species-checked": "testedAndGuaranteed", "WB-species-dilution-info": "1 µg/mL", "WB-species-notes": "<p>Abcam recommends using BSA as the blocking agent.</p>", "IHCP-species-checked": "guaranteed", "IHCP-species-dilution-info": "", "IHCP-species-notes": "", "ICCIF-species-checked": "guaranteed", "ICCIF-species-dilution-info": "", "ICCIF-species-notes": "" }, "Cow": { "WB-species-checked": "testedAndGuaranteed", "WB-species-dilution-info": "1 µg/mL", "WB-species-notes": "<p>Abcam recommends using BSA as the blocking agent.</p>", "IHCP-species-checked": "guaranteed", "IHCP-species-dilution-info": "", "IHCP-species-notes": "", "ICCIF-species-checked": "guaranteed", "ICCIF-species-dilution-info": "", "ICCIF-species-notes": "" }, "Dog": { "WB-species-checked": "testedAndGuaranteed", "WB-species-dilution-info": "1 µg/mL", "WB-species-notes": "<p>Abcam recommends using BSA as the blocking agent.</p>", "IHCP-species-checked": "guaranteed", "IHCP-species-dilution-info": "", "IHCP-species-notes": "", "ICCIF-species-checked": "guaranteed", "ICCIF-species-dilution-info": "", "ICCIF-species-notes": "" }, "Pig": { "WB-species-checked": "predicted", "WB-species-dilution-info": "", "WB-species-notes": "", "IHCP-species-checked": "predicted", "IHCP-species-dilution-info": "", "IHCP-species-notes": "", "ICCIF-species-checked": "predicted", "ICCIF-species-dilution-info": "", "ICCIF-species-notes": "" }, "Rabbit": { "WB-species-checked": "predicted", "WB-species-dilution-info": "", "WB-species-notes": "", "IHCP-species-checked": "predicted", "IHCP-species-dilution-info": "", "IHCP-species-notes": "", "ICCIF-species-checked": "predicted", "ICCIF-species-dilution-info": "", "ICCIF-species-notes": "" }, "Zebrafish": { "WB-species-checked": "predicted", "WB-species-dilution-info": "", "WB-species-notes": "", "IHCP-species-checked": "predicted", "IHCP-species-dilution-info": "", "IHCP-species-notes": "", "ICCIF-species-checked": "predicted", "ICCIF-species-dilution-info": "", "ICCIF-species-notes": "" } } }

Product details

Anti-VDAC1/Porin + VDAC2 + VDAC3 antibody – Mitochondrial Loading Control (ab15895) is a rabbit polyclonal antibody and is validated for use in ICC/IF, IHC-P, WB in human, mouse, rat samples.

Anti-VDAC1/Porin + VDAC2 + VDAC3 antibody – Mitochondrial Loading Control (ab15895) has been cited over 398 times in peer reviewed journals and is trusted by the scientific community.

Abcam's high quality validation processes ensure Anti-VDAC1/Porin + VDAC2 + VDAC3 antibody – Mitochondrial Loading Control (ab15895) has high sensitivity and specificity.

Anti-VDAC1/Porin + VDAC2 + VDAC3 antibody – Mitochondrial Loading Control (ab15895) has 33 independent reviews from customers.

Anti-VDAC1/Porin + VDAC2 + VDAC3 antibody – Mitochondrial Loading Control (ab15895) specifically detects VDAC1/Porin; VDAC2; VCAD3 (UniProt ID: P21796; Molecular weight: 31kDa) and is sold in 100 µg and 250 µg selling sizes.

Properties and storage information

Form
Liquid
Purification technique
Affinity purification Immunogen
Storage buffer
pH: 7.4 Preservative: 0.02% Sodium azide Constituents: PBS, 1% BSA
Shipped at conditions
Blue Ice
Appropriate short-term storage duration
1-2 weeks
Appropriate short-term storage conditions
+4°C
Appropriate long-term storage conditions
-20°C
Aliquoting information
Upon delivery aliquot
Storage information
Avoid freeze / thaw cycle

Supplementary information

This supplementary information is collated from multiple sources and compiled automatically.

The VDAC family also known as porins includes the isoforms VDAC1 VDAC2 and VDAC3. These proteins are integral components of the outer mitochondrial membrane and play key roles in cellular metabolism and energy production. VDAC1 the most studied isoform has a molecular mass of approximately 31 kDa. These proteins facilitate the transfer of metabolites ions and ATP between the mitochondria and the cytoplasm therefore regulating mitochondrial function. They are expressed in various tissues throughout the body reflecting their fundamental role in cellular functions.
Biological function summary

VDAC proteins serve as gatekeepers for mitochondrial channels controlling the passage of molecules into and out of mitochondria. They are part of a large complex that includes proteins like hexokinase creatine kinase and components of the mitochondrial permeability transition pore. VDACs significantly influence apoptosis by participating in the release of cytochrome c a critical step in the apoptotic pathway. Their function affects cellular survival energy balance and metabolism.

Pathways

The VDAC proteins are closely associated with energy metabolism and apoptotic pathways. They interact with the electron transport chain and glycolysis by regulating substrate flow and maintaining mitochondrial membrane potential. VDACs also link to Bcl-2 family proteins which modulate apoptosis. Their role in maintaining cellular homeostasis emphasizes their importance in cellular life-and-death decisions impacting vital processes such as oxidative phosphorylation and ATP synthesis.

Alterations in VDAC function have been linked to cancer and neurodegenerative diseases. In cancer increased VDAC expression is often associated with enhanced glycolysis and tumor growth. VDACs regulate interactions with proteins like hexokinase which promotes cancer cell survival. In neurodegenerative diseases such as Alzheimer’s dysfunctional VDAC activity can lead to impaired mitochondrial function and increased oxidative stress. These changes involve interactions with proteins like tau and amyloid-beta contributing to disease pathology.

Product protocols

For this product, it's our understanding that no specific protocols are required. You can visit:

Target data

Non-selective voltage-gated ion channel that mediates the transport of anions and cations through the mitochondrion outer membrane and plasma membrane (PubMed : 10661876, PubMed : 11845315, PubMed : 18755977, PubMed : 30061676, PubMed : 8420959). The channel at the outer mitochondrial membrane allows diffusion of small hydrophilic molecules; in the plasma membrane it is involved in cell volume regulation and apoptosis (PubMed : 10661876, PubMed : 11845315, PubMed : 18755977, PubMed : 8420959). It adopts an open conformation at low or zero membrane potential and a closed conformation at potentials above 30-40 mV (PubMed : 10661876, PubMed : 18755977, PubMed : 8420959). The open state has a weak anion selectivity whereas the closed state is cation-selective (PubMed : 18755977, PubMed : 8420959). Binds various signaling molecules, including the sphingolipid ceramide, the phospholipid phosphatidylcholine, and the sterols cholesterol and oxysterol (PubMed : 18755977, PubMed : 31015432). In depolarized mitochondria, acts downstream of PRKN and PINK1 to promote mitophagy or prevent apoptosis; polyubiquitination by PRKN promotes mitophagy, while monoubiquitination by PRKN decreases mitochondrial calcium influx which ultimately inhibits apoptosis (PubMed : 32047033). May participate in the formation of the permeability transition pore complex (PTPC) responsible for the release of mitochondrial products that triggers apoptosis (PubMed : 15033708, PubMed : 25296756). May mediate ATP export from cells (PubMed : 30061676). Part of a complex composed of HSPA9, ITPR1 and VDAC1 that regulates mitochondrial calcium-dependent apoptosis by facilitating calcium transport from the ER lumen to the mitochondria intermembrane space thus providing calcium for the downstream calcium channel MCU that directly releases it into mitochondria matrix (By similarity). Mediates cytochrome c efflux (PubMed : 20230784).. Catalyzes the scrambling of phospholipids across the outer mitochondrial membrane; the mechanism is unrelated to channel activity and is capable of translocating both anionic and zwitterionic phospholipids.
See full target information VDAC1

Additional targets

Voltage-dependent anion-selective channel protein 2,VDAC3

Publications (483)

Recent publications for all applications. Explore the full list and refine your search

Nature aging 5:2003-2021 PubMed40993327

2025

Herbal terpenoids activate autophagy and mitophagy through modulation of bioenergetics and protect from metabolic stress, sarcopenia and epigenetic aging.

Applications

Unspecified application

Species

Unspecified reactive species

Gabriele Civiletto,Dario Brunetti,Giulia Lizzo,Kamila Muller,Guillaume E Jacot,Ioanna Daskalaki,Federico Sizzano,Minji Huh,Ivano Di Meo,Maria Nicol Colombo,José L Sanchez-Garcia,Bertrand J Bétrisey,Alix Zollinger,Patricia Lino,Christopher Neal,Anne-Laure Egesipe,Joy Richard,Myriam Chimen,Aurélie Hermant,Benjamin Brinon,Lorane Texari,Sylviane Metairon,Mohammed Adnan Qureshi,Dhaval S Patel,Siva A Vanapalli,Marco Malavolta,Arwen W Gao,Amelia Lalou,Mauro Provinciali,Fiorenza Orlando,Valeria Tiranti,Robert T Brooke,Steve Horvath,Johan Auwerx,Jerome N Feige,Philipp Gut

Bone research 13:72 PubMed40796734

2025

The mitochondrial E3 ligase MAPL SUMOylates Drp1 to facilitate mitochondrial fission in intervertebral disc degeneration.

Applications

Unspecified application

Species

Unspecified reactive species

Zhidi Lin,Xiao Lu,Guangyu Xu,Jian Song,Hongli Wang,Xinlei Xia,Feizhou Lu,Jianyuan Jiang,Wei Zhu,Zuochong Yu,Xiaosheng Ma,Fei Zou

Oncogene 44:3609-3624 PubMed40764753

2025

MUC1-C auto-regulatory complex with EBNA1 is responsible for latent Epstein-Barr virus-associated gastric cancer progression.

Applications

Unspecified application

Species

Unspecified reactive species

Hiroki Ozawa,Yin Wang,Henry G Withers,Naoki Haratake,Ayako Nakashoji,Atrayee Bhattacharya,Atsushi Fushimi,Chie Kikutake,Kazuhiro Yamanoi,Shaowen White,Keyi Wang,Tatsuaki Daimon,Keisuke Shigeta,Kazumasa Fukuda,Hirofumi Kawakubo,Yuko Kitagawa,Mark D Long,Benjamin E Gewurz,Donald Kufe

Nature communications 16:6666 PubMed40683865

2025

RIPK4-mediated MFN2 degradation drives osteogenesis through mitochondrial fragmentation and restricts myelopoiesis by blocking mitochondrial transfer.

Applications

Unspecified application

Species

Unspecified reactive species

Peng Ding,Xing Wang,Chuan Gao,Yuehan Wei,Gan Li,Wenlei Zhu,Ni Wang,Wan Fu,Qihang Fang,Meng Yao,Yigang Huang,Chenyi Jiang,Youshui Gao,Jing Zhang,Junjie Gao,Qing Zhong,Changqing Zhang

NPJ systems biology and applications 11:67 PubMed40593928

2025

Temporal analysis of doxorubicin-induced cardiac toxicity and hypertrophy.

Applications

Unspecified application

Species

Unspecified reactive species

Yu-Te Lin,Yi-Ju Lee,Wen-Wei Tseng,Zih-Hua Chen,Huai-Ching Hsieh,Ko-Hong Lin,Jin-Yu Su,An-Chi Wei

Antioxidants (Basel, Switzerland) 14: PubMed40563263

2025

GG Modulates Mitochondrial Function and Antioxidant Responses in an Ethanol-Exposed In Vivo Model: Evidence of HIGD2A-Dependent OXPHOS Remodeling in the Liver.

Applications

Unspecified application

Species

Unspecified reactive species

Celia Salazar,Marlen Barreto,Alfredo Alfonso Adriasola-Carrasco,Francisca Carvajal,José Manuel Lerma-Cabrera,Lina María Ruiz

Redox biology 85:103714 PubMed40544605

2025

Mitochondria-targeted therapy with metformin and MitoQ reduces oxidative stress, improves mitochondrial function, and restores metabolic homeostasis in a murine model of Gulf War Illness.

Applications

Unspecified application

Species

Unspecified reactive species

Lun Cai,Mundanattu Swetha,Abraham Raji,Alvin V Terry,Raghavan Pillai Raju

Nature cell biology 27:902-917 PubMed40514428

2025

Endoplasmic reticulum-mitochondria contacts are prime hotspots of phospholipid peroxidation driving ferroptosis.

Applications

Unspecified application

Species

Unspecified reactive species

Maria Livia Sassano,Yulia Y Tyurina,Antigoni Diokmetzidou,Ellen Vervoort,Vladimir A Tyurin,Sanket More,Rita La Rovere,Francesca Giordano,Geert Bultynck,Benjamin Pavie,Johan V Swinnen,Hülya Bayir,Valerian E Kagan,Luca Scorrano,Patrizia Agostinis

Nature 643:468-477 PubMed40500453

2025

Metabolic adaptations direct cell fate during tissue regeneration.

Applications

Unspecified application

Species

Unspecified reactive species

Almudena Chaves-Perez,Scott E Millman,Sudha Janaki-Raman,Yu-Jui Ho,Clemens Hinterleitner,Valentin J A Barthet,John P Morris,Francisco M Barriga,Jose Reyes,Aye Kyaw,H Amalia Pasolli,Dana Pe'er,Craig B Thompson,Lydia W S Finley,Justin R Cross,Scott W Lowe

Molecular neurodegeneration 20:59 PubMed40389989

2025

Mutations in NEK1 cause ciliary dysfunction as a novel pathogenic mechanism in amyotrophic lateral sclerosis.

Applications

Unspecified application

Species

Unspecified reactive species

Min-Young Noh,Seong-Il Oh,Young-Eun Kim,Sun Joo Cha,Wonjae Sung,Ki-Wook Oh,Yurim Park,Ji Young Mun,Chang-Seok Ki,Minyeop Nahm,Seung Hyun Kim
View all publications

Product promise

We are committed to supporting your work with high-quality reagents, and we're here for you every step of the way. In the unlikely event that one of our products does not perform as expected, you're protected by our Product Promise.
For full details, please see our Terms & Conditions

Please note: All products are 'FOR RESEARCH USE ONLY. NOT FOR USE IN DIAGNOSTIC OR THERAPEUTIC PROCEDURES'.

For licensing inquiries, please contact partnerships@abcam.com