JavaScript is disabled in your browser. Please enable JavaScript to view this website.
AB118872

Anti-VDAC2 antibody - Mitochondrial Loading Control

Be the first to review this product! Submit a review

|

(3 Publications)

Goat Polyclonal VDAC2 antibody. Suitable for WB, IHC-P and reacts with Human samples. Cited in 3 publications. Immunogen corresponding to Synthetic Peptide within Human Voltage-dependent anion-selective channel protein 2 aa 250 to C-terminus.

View Alternative Names

Voltage-dependent anion-selective channel protein 2, VDAC-2, hVDAC2, Outer mitochondrial membrane protein porin 2, VDAC2

2 Images
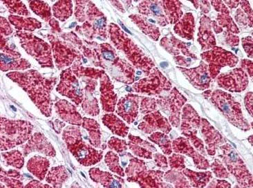
Immunohistochemistry (Formalin/PFA-fixed paraffin-embedded sections) - Anti-VDAC2 antibody - Mitochondrial Loading Control (AB118872)
  • IHC-P

Unknown

Immunohistochemistry (Formalin/PFA-fixed paraffin-embedded sections) - Anti-VDAC2 antibody - Mitochondrial Loading Control (AB118872)

Immunohistochemical staining of ab118872 at 5 μg/ml staining VDAC2 in Paraffin-embedded Human heart tissue followed by biotinylated anti-Goat IgG secondary antibody, alkaline phosphatasestreptavidin and chromogen

Western blot - Anti-VDAC2 antibody - Mitochondrial Loading Control (AB118872)
  • WB

Unknown

Western blot - Anti-VDAC2 antibody - Mitochondrial Loading Control (AB118872)

All lanes:

Western blot - Anti-VDAC2 antibody - Mitochondrial Loading Control (ab118872) at 0.3 µg/mL

All lanes:

Human testis lysate in RIPA buffer at 35 µg

Predicted band size: 32 kDa

true

Key facts

Host species

Goat

Clonality

Polyclonal

Isotype

IgG

Carrier free

No

Reacts with

Human

Applications

IHC-P, WB

applications

Immunogen

Synthetic Peptide within Human Voltage-dependent anion-selective channel protein 2 aa 250 to C-terminus. The exact immunogen used to generate this antibody is proprietary information.

P45880

Reactivity data

{ "title": "Reactivity Data", "filters": { "stats": ["", "Species", "Dilution Info", "Notes"], "tabs": { "all-applications": {"fullname" : "All Applications", "shortname": "All Applications"}, "WB" : {"fullname" : "Western blot", "shortname":"WB"}, "IHCP" : {"fullname" : "Immunohistochemistry (Formalin/PFA-fixed paraffin-embedded sections)", "shortname":"IHC-P"} }, "product-promise": { "all": "all", "testedAndGuaranteed": "tested", "guaranteed": "expected", "predicted": "predicted", "notRecommended": "not-recommended" } }, "values": { "Human": { "WB-species-checked": "testedAndGuaranteed", "WB-species-dilution-info": "0.3-1 µg/mL", "WB-species-notes": "<p></p>", "IHCP-species-checked": "testedAndGuaranteed", "IHCP-species-dilution-info": "2.5-5 µg/mL", "IHCP-species-notes": "<p></p>" }, "Mouse": { "WB-species-checked": "predicted", "WB-species-dilution-info": "", "WB-species-notes": "", "IHCP-species-checked": "predicted", "IHCP-species-dilution-info": "", "IHCP-species-notes": "" }, "Rat": { "WB-species-checked": "predicted", "WB-species-dilution-info": "", "WB-species-notes": "", "IHCP-species-checked": "predicted", "IHCP-species-dilution-info": "", "IHCP-species-notes": "" }, "Cow": { "WB-species-checked": "predicted", "WB-species-dilution-info": "", "WB-species-notes": "", "IHCP-species-checked": "predicted", "IHCP-species-dilution-info": "", "IHCP-species-notes": "" }, "Dog": { "WB-species-checked": "predicted", "WB-species-dilution-info": "", "WB-species-notes": "", "IHCP-species-checked": "predicted", "IHCP-species-dilution-info": "", "IHCP-species-notes": "" }, "Pig": { "WB-species-checked": "predicted", "WB-species-dilution-info": "", "WB-species-notes": "", "IHCP-species-checked": "predicted", "IHCP-species-dilution-info": "", "IHCP-species-notes": "" }, "Rabbit": { "WB-species-checked": "predicted", "WB-species-dilution-info": "", "WB-species-notes": "", "IHCP-species-checked": "predicted", "IHCP-species-dilution-info": "", "IHCP-species-notes": "" } } }

Properties and storage information

Form
Liquid
Purification technique
Affinity purification Immunogen
Storage buffer
pH: 7.3 Preservative: 0.02% Sodium azide Constituents: 98% Tris buffered saline, 0.5% BSA
Shipped at conditions
Blue Ice
Appropriate short-term storage conditions
+4°C
Appropriate long-term storage conditions
-20°C
Aliquoting information
Upon delivery aliquot
Storage information
Avoid freeze / thaw cycle

Supplementary information

This supplementary information is collated from multiple sources and compiled automatically.

Voltage-dependent anion channel 2 (VDAC2) also known as porin 31HL or P2 mechanically functions as a channel facilitating the transport of anions and metabolites across the outer mitochondrial membrane. This channel approximately 32 kDa in size is most prominent in the mitochondria but can also be observed in other cellular locations. It is involved in regulating both the entry and exit of small ions and molecules which is essential for mitochondrial function and energy production.
Biological function summary

VDAC2 plays significant roles beyond mere ion transport. It interacts with proteins involved in apoptosis such as Bcl-2 family proteins. Although not part of a larger complex its influence on the structure and permeability of the outer mitochondrial membrane impacts several cellular processes. The regulation of apoptosis by VDAC2 is key for cellular homeostasis and response to stress signals highlighting its role in maintaining normal cellular functions.

Pathways

Several cellular processes include VDAC2's role in apoptosis and energy metabolism. VDAC2 interacts with the intrinsic pathway of apoptosis in close association with proteins like Bax and Bak where it influences the release of cytochrome c from mitochondria. Additionally VDAC2 has a role in ATP transport and metabolic flux integral to the bioenergetics pathways by working with adenine nucleotide translocase (ANT) as part of the exchange of ATP and ADP.

Mutations or dysregulation of VDAC2 connect to cancer and neurodegenerative diseases. Its interaction with the Bcl-2 family proteins implicates it in apoptosis resistance observed in various cancers. Likewise VDAC2 dysfunction has links to neurodegenerative diseases through its impact on mitochondrial health as these conditions often display an imbalance in apoptotic pathways and energy metabolism.

Product protocols

For this product, it's our understanding that no specific protocols are required. You can visit:

Target data

Forms a channel through the mitochondrial outer membrane that allows diffusion of small hydrophilic molecules (PubMed : 38065946). The channel adopts an open conformation at low or zero membrane potential and a closed conformation at potentials above 30-40 mV (By similarity). The open state has a weak anion selectivity whereas the closed state is cation-selective (By similarity). Binds various lipids, including the sphingolipid ceramide, the phospholipid phosphatidylcholine, and the sterols cholesterol and oxysterol (PubMed : 31015432). Binding of ceramide promotes the mitochondrial outer membrane permeabilization (MOMP) apoptotic pathway (PubMed : 31015432).. Catalyzes the scrambling of phospholipids across the outer mitochondrial membrane; the mechanism is unrelated to channel activity and is capable of translocating both anionic and zwitterionic phospholipids.
See full target information Voltage-dependent anion-selective channel protein 2

Publications (3)

Recent publications for all applications. Explore the full list and refine your search

Nature communications 16:2416 PubMed40069152

2025

VDAC2 and Bak scarcity in liver mitochondria enables targeting hepatocarcinoma while sparing hepatocytes.

Applications

Unspecified application

Species

Unspecified reactive species

Shamim Naghdi,Piyush Mishra,Soumya Sinha Roy,David Weaver,Ludivine Walter,Erika Davies,Anil Noronha Antony,Xuena Lin,Gisela Moehren,Mark A Feitelson,Christopher A Reed,Tullia Lindsten,Craig B Thompson,Hien T Dang,Jan B Hoek,Erik S Knudsen,György Hajnóczky

Biochimica et biophysica acta 1852:2213-24 PubMed26248058

2015

Age-related changes in the proteostasis network in the brain of the naked mole-rat: Implications promoting healthy longevity.

Applications

Unspecified application

Species

Unspecified reactive species

Judy C Triplett,Antonella Tramutola,Aaron Swomley,Jessime Kirk,Kelly Grimes,Kaitilyn Lewis,Miranda Orr,Karl Rodriguez,Jian Cai,Jon B Klein,Marzia Perluigi,Rochelle Buffenstein,D Allan Butterfield

The Journal of biological chemistry 289:29285-96 PubMed25187518

2014

Translocation of glycogen synthase kinase-3β (GSK-3β), a trigger of permeability transition, is kinase activity-dependent and mediated by interaction with voltage-dependent anion channel 2 (VDAC2).

Applications

Unspecified application

Species

Unspecified reactive species

Masaya Tanno,Atsushi Kuno,Satoko Ishikawa,Takayuki Miki,Hidemichi Kouzu,Toshiyuki Yano,Hiromichi Murase,Toshiyuki Tobisawa,Makoto Ogasawara,Yoshiyuki Horio,Tetsuji Miura
View all publications

Product promise

We are committed to supporting your work with high-quality reagents, and we're here for you every step of the way. In the unlikely event that one of our products does not perform as expected, you're protected by our Product Promise.
For full details, please see our Terms & Conditions

Please note: All products are 'FOR RESEARCH USE ONLY. NOT FOR USE IN DIAGNOSTIC OR THERAPEUTIC PROCEDURES'.

For licensing inquiries, please contact partnerships@abcam.com