JavaScript is disabled in your browser. Please enable JavaScript to view this website.
AB229661

Anti-VE-PTP antibody

Be the first to review this product! Submit a review

|

(1 Publication)

Rabbit Polyclonal VE-PTP antibody. Suitable for IHC-P and reacts with Human samples. Cited in 1 publication. Immunogen corresponding to Recombinant Fragment Protein within Human PTPRB aa 1750 to C-terminus.

View Alternative Names

PTPB, PTPRB, Receptor-type tyrosine-protein phosphatase beta, Protein-tyrosine phosphatase beta, R-PTP-beta, Vascular endothelial protein tyrosine phosphatase, VE-PTP

2 Images
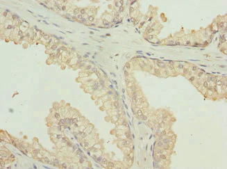
Immunohistochemistry (Formalin/PFA-fixed paraffin-embedded sections) - Anti-VE-PTP antibody (AB229661)
  • IHC-P

Supplier Data

Immunohistochemistry (Formalin/PFA-fixed paraffin-embedded sections) - Anti-VE-PTP antibody (AB229661)

Paraffin-embedded human prostata cancer tissue stained for VE-PTP using ab229661 at 1/100 dilution in immunohistochemical analysis.

Immunohistochemistry (Formalin/PFA-fixed paraffin-embedded sections) - Anti-VE-PTP antibody (AB229661)
  • IHC-P

Supplier Data

Immunohistochemistry (Formalin/PFA-fixed paraffin-embedded sections) - Anti-VE-PTP antibody (AB229661)

Paraffin-embedded human testis tissue stained for VE-PTP using ab229661 at 1/100 dilution in immunohistochemical analysis.

Key facts

Host species

Rabbit

Clonality

Polyclonal

Isotype

IgG

Carrier free

No

Reacts with

Human

Applications

IHC-P

applications

Immunogen

Recombinant Fragment Protein within Human PTPRB aa 1750 to C-terminus. The exact immunogen used to generate this antibody is proprietary information.

P23467

Reactivity data

{ "title": "Reactivity Data", "filters": { "stats": ["", "Species", "Dilution Info", "Notes"], "tabs": { "all-applications": {"fullname" : "All Applications", "shortname": "All Applications"}, "IHCP" : {"fullname" : "Immunohistochemistry (Formalin/PFA-fixed paraffin-embedded sections)", "shortname":"IHC-P"} }, "product-promise": { "all": "all", "testedAndGuaranteed": "tested", "guaranteed": "expected", "predicted": "predicted", "notRecommended": "not-recommended" } }, "values": { "Human": { "IHCP-species-checked": "testedAndGuaranteed", "IHCP-species-dilution-info": "1/20 - 1/200", "IHCP-species-notes": "<p></p>" }, "Mouse": { "IHCP-species-checked": "predicted", "IHCP-species-dilution-info": "", "IHCP-species-notes": "" } } }

Properties and storage information

Form
Liquid
Purification technique
Affinity purification Immunogen
Storage buffer
pH: 7.3 Preservative: 0.02% Sodium azide Constituents: PBS, 50% Glycerol (glycerin, glycerine)
Shipped at conditions
Blue Ice
Appropriate short-term storage duration
1-2 weeks
Appropriate short-term storage conditions
+4°C
Appropriate long-term storage conditions
-20°C
Aliquoting information
Upon delivery aliquot
Storage information
Avoid freeze / thaw cycle

Supplementary information

This supplementary information is collated from multiple sources and compiled automatically.

VE-PTP also known as vascular endothelial protein tyrosine phosphatase is an enzyme with a mass of approximately 300 kDa. This protein is part of the receptor-type protein tyrosine phosphatase family and it mainly localizes at endothelial cell junctions. VE-PTP plays an important role in maintaining endothelial cell permeability by dephosphorylating specific tyrosine residues on target proteins such as the VE-cadherin complex. Its expression confines mostly to vascular endothelial cells where it is involved in processes affecting vascular stability and signaling.
Biological function summary

The function of this protein extends to its involvement in the modulation of cell adhesion through its interaction with adherens junctions complexes. VE-PTP associates with complexes like VE-cadherin and plakoglobin to regulate cell–cell junctions influencing the integrity and permeability of the vascular endothelium. This activity is important in processes such as angiogenesis and the maintenance of vascular barrier function making it a significant player in vascular biology.

Pathways

The participation of VE-PTP is notably within the angiogenesis and vascular barrier regulation pathways. The protein governs these pathways by regulating signals through interactions with proteins like VE-cadherin and VEGFR2 which are essential in vascular development and response to growth factors. Its phosphatase activity moderates the phosphorylation state of these key partners thereby influencing the downstream signaling events vital for endothelial function and vascular homeostasis.

The function of VE-PTP associates with pathological conditions such as cancer and cardiovascular diseases. In cancer its role in angiogenesis can contribute to tumor vascularization impacting tumor growth and metastasis. Meanwhile in cardiovascular diseases its influence on endothelial permeability can affect atherosclerotic plaque stability and contribute to vascular complications. Interacting proteins such as VEGFR2 are also implicated in these disorders linking VE-PTP to these disease pathways through their regulatory relationships in endothelial dynamics.

Product protocols

For this product, it's our understanding that no specific protocols are required. You can visit:

Target data

Plays an important role in blood vessel remodeling and angiogenesis. Not necessary for the initial formation of blood vessels, but is essential for their maintenance and remodeling. Can induce dephosphorylation of TEK/TIE2, CDH5/VE-cadherin and KDR/VEGFR-2. Regulates angiopoietin-TIE2 signaling in endothelial cells. Acts as a negative regulator of TIE2, and controls TIE2 driven endothelial cell proliferation, which in turn affects blood vessel remodeling during embryonic development and determines blood vessel size during perinatal growth. Essential for the maintenance of endothelial cell contact integrity and for the adhesive function of VE-cadherin in endothelial cells and this requires the presence of plakoglobin (By similarity).
See full target information PTPRB

Publications (1)

Recent publications for all applications. Explore the full list and refine your search

Journal of immunology research 2019:4726532 PubMed31511826

2019

The RNA-Binding Protein KSRP Modulates Cytokine Expression of CD4 T Cells.

Applications

Unspecified application

Species

Unspecified reactive species

Rudolf Käfer,Lisa Schmidtke,Katharina Schrick,Evelyn Montermann,Matthias Bros,Hartmut Kleinert,Andrea Pautz
View all publications

Product promise

We are committed to supporting your work with high-quality reagents, and we're here for you every step of the way. In the unlikely event that one of our products does not perform as expected, you're protected by our Product Promise.
For full details, please see our Terms & Conditions

Please note: All products are 'FOR RESEARCH USE ONLY. NOT FOR USE IN DIAGNOSTIC OR THERAPEUTIC PROCEDURES'.

For licensing inquiries, please contact partnerships@abcam.com