JavaScript is disabled in your browser. Please enable JavaScript to view this website.
AB184784

Anti-VEGF Receptor 1 antibody [Y103] - Low endotoxin, Azide free

Be the first to review this product! Submit a review

|

(26 Publications)

Rabbit Recombinant Monoclonal VEGF Receptor 1 antibody. Carrier free. Suitable for IP, WB, IHC-P and reacts with Mouse, Human, Rat, Chinese hamster samples. Cited in 26 publications.

View Alternative Names

FLT, FRT, VEGFR1, FLT1, Vascular endothelial growth factor receptor 1, VEGFR-1, Fms-like tyrosine kinase 1, Tyrosine-protein kinase FRT, Tyrosine-protein kinase receptor FLT, Vascular permeability factor receptor, FLT-1

6 Images
Immunohistochemistry (Formalin/PFA-fixed paraffin-embedded sections) - Anti-VEGF Receptor 1 antibody [Y103] - Low endotoxin, Azide free (AB184784)
  • IHC-P

Lab

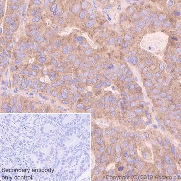
Immunohistochemistry (Formalin/PFA-fixed paraffin-embedded sections) - Anti-VEGF Receptor 1 antibody [Y103] - Low endotoxin, Azide free (AB184784)

Immunohistochemical analysis of paraffin-embedded Human gastric carcinoma tissue labeling VEGF with ab32152, followed by a ready to use Goat Anti-Rabbit IgG H&L (HRP). Cytoplasmic staining on human gastric carcinoma. Counterstained with Hematoxylin. Heat mediated antigen retrieval using ab93684 (Tris/EDTA buffer, pH 9.0).

Secondary antibody only control : Used PBS instead of primary antibody, secondary antibody is a ready to use Goat Anti-Rabbit IgG H&L (HRP).

This data was developed using the same antibody clone in a different buffer formulation containing PBS, BSA, glycerol, and sodium azide (ab32152).

Immunohistochemistry (Formalin/PFA-fixed paraffin-embedded sections) - Anti-VEGF Receptor 1 antibody [Y103] - Low endotoxin, Azide free (AB184784)
  • IHC-P

PubMed

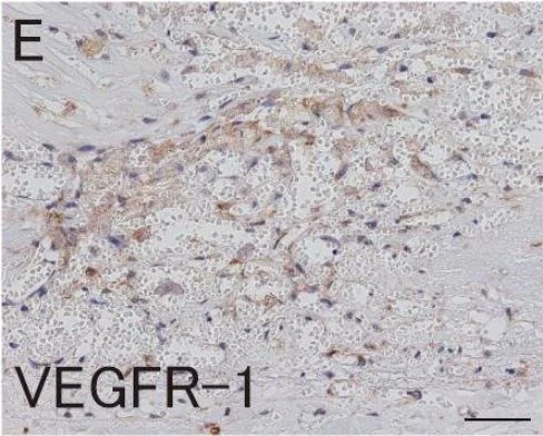
Immunohistochemistry (Formalin/PFA-fixed paraffin-embedded sections) - Anti-VEGF Receptor 1 antibody [Y103] - Low endotoxin, Azide free (AB184784)

Immunohistochemistry (Formalin/PFA-fixed paraffin-embedded sections) analysis of human abdominal aortic aneurysm (AAA) wall tissue sections labeling VEGF Receptor 1 with ab32152 at 1/100 dilution.

Resected aortic tissues were immersed in 10% neutral buffered formalin for at least 24 h for immunohistochemical staining. Tissue sample was embedded in paraffin; 4 µm sections were cut and mounted onto MAS-coated slides. The sections were deparaffinized, dehydrated, and boiled in a pressure cooker in 0.01 M citric acid buffer (pH 6.0) for 20 min. The sections were washed with phosphate-buffered saline and incubated with 3% H2O2 in absolute methanol for 5 min to inhibit any endogenous peroxidase activity. Sections were preincubated with 3% normal goat serum for 20 min to minimize nonspecific binding to VEGF Receptor 1, and incubated with ab32152 at 4°C overnight in a moist chamber. The section was washed with phosphate-buffered saline and then incubated with the appropriate secondary antibody for 30 min at room temperature. Staining was visualized with Vector DAB, and tissue section was then counterstained with hematoxylin.

This data was developed using the same antibody clone in a different buffer formulation containing PBS, BSA, glycerol, and sodium azide (ab32152).

Image from Sano M et al. PLoS ONE. 2014 Mar 20; 9(3). Fig 2E. DOI 10.1371/journal.pone.0089830. Lymphangiogenesis and Angiogenesis in Abdominal Aortic Aneurysm. e89830.

Immunoprecipitation - Anti-VEGF Receptor 1 antibody [Y103] - Low endotoxin, Azide free (AB184784)
  • IP

Lab

Immunoprecipitation - Anti-VEGF Receptor 1 antibody [Y103] - Low endotoxin, Azide free (AB184784)

VEGF Receptor 1 was immunoprecipitated from 0.35 mg mouse brain lysate 10μg with ab32152 at 1 : 30 dilution (2μg in 0.35mg lysates). Western blot was performed on the immunoprecipitate using ab32152 1 : 1000 dilution (2 μg/ml). VeriBlot for IP Detection Reagent (HRP) (ab131366) was used at 1 : 1000 dilution.

Lane 1 : Mouse brain lysate 10μg.

Lane 2 : ab32152 IP in mouse brain lysate.

Lane 3 : Rabbit monoclonal IgG (ab172730) instead of ab32152 in mouse brain lysate.

Blocking and dilution buffer and concentration : 5% NFDM/TBST.

Exposure time : 1 second.

This data was developed using the same antibody clone in a different buffer formulation containing PBS, BSA, glycerol, and sodium azide (ab32152).

All lanes:

Immunoprecipitation - Anti-VEGF Receptor 1 antibody [Y103] - Low endotoxin, Azide free (ab184784)

Predicted band size: 151 kDa

false

Western blot - Anti-VEGF Receptor 1 antibody [Y103] - Low endotoxin, Azide free (AB184784)
  • WB

Lab

Western blot - Anti-VEGF Receptor 1 antibody [Y103] - Low endotoxin, Azide free (AB184784)

This data was developed using ab32152, the same antibody clone in a different buffer formulation.

Blocking and diluting buffer and concentration : 5% NFDM/TBST.

In Western blot, Anti-GAPDH antibody [EPR16891] - Loading Control (ab181602) staining at 1/1000,000 dilution.

In Western blot, Anti-6X His tag® antibody [EPR20547] - ChIP Grade (ab213204) 1 : 5,000 dilution used as loading control.

All lanes:

Western blot - Anti-VEGF Receptor 1 antibody [Y103] (<a href='/en-us/products/primary-antibodies/vegf-receptor-1-antibody-y103-ab32152'>ab32152</a>) at 1/1000 dilution

Lane 1:

HEK-293T (human embryonic kidney epithelial cell) cells transfected with an empty vector contain a His-tag whole cell lysate at 20 µg

Lane 2:

HEK-293T cells transfected with a human VEGF Receptor 1 expression vector containing a His-tag whole cell lysate at 20 µg

Secondary

All lanes:

Western blot - Goat Anti-Rabbit IgG H&L (HRP) (<a href='/en-us/products/secondary-antibodies/goat-rabbit-igg-h-l-hrp-ab97051'>ab97051</a>) at 1/20000 dilution

Observed band size: 180 kDa

false

Exposure time: 1s

Western blot - Anti-VEGF Receptor 1 antibody [Y103] - Low endotoxin, Azide free (AB184784)
  • WB

Lab

Western blot - Anti-VEGF Receptor 1 antibody [Y103] - Low endotoxin, Azide free (AB184784)

Blocking buffer and concentration : 5% NFDM/TBST

Diluting buffer and concentration : 5% NFDM/TBST

All lanes:

Western blot - Anti-VEGF Receptor 1 antibody [Y103] - Low endotoxin, Azide free (ab184784)

All lanes:

Mouse brain lysate at 15 µg

Secondary

All lanes:

Western blot - Goat Anti-Rabbit IgG H&L (HRP) (<a href='/en-us/products/secondary-antibodies/goat-rabbit-igg-h-l-hrp-ab97051'>ab97051</a>)

Predicted band size: 151 kDa

false

Exposure time: 8s

Western blot - Anti-VEGF Receptor 1 antibody [Y103] - Low endotoxin, Azide free (AB184784)
  • WB

Lab

Western blot - Anti-VEGF Receptor 1 antibody [Y103] - Low endotoxin, Azide free (AB184784)

This data was developed using ab32152, the same antibody clone in a different buffer formulation.

Blocking and diluting buffer and concentration : 5% NFDM/TBST.

In Western blot, Anti-GAPDH antibody [EPR16891] - Loading Control (ab181602) staining at 1/1000,000 dilution.

All lanes:

Western blot - Anti-VEGF Receptor 1 antibody [Y103] (<a href='/en-us/products/primary-antibodies/vegf-receptor-1-antibody-y103-ab32152'>ab32152</a>) at 1/1000 dilution

Lane 1:

Mouse placenta tissue lysate at 20 µg

Lane 2:

Rat placenta tissue lysate at 20 µg

Secondary

All lanes:

Western blot - Goat Anti-Rabbit IgG H&L (HRP) (<a href='/en-us/products/secondary-antibodies/goat-rabbit-igg-h-l-hrp-ab97051'>ab97051</a>) at 1/20000 dilution

Observed band size: 180 kDa

false

Exposure time: 10s

Key facts

Host species

Rabbit

Clonality

Monoclonal

Clone number

Y103

Isotype

IgG

Carrier free

Yes

Reacts with

Mouse, Rat, Human, Chinese hamster

Applications

IP, WB, IHC-P

applications

Immunogen

The exact immunogen used to generate this antibody is proprietary information.

Specificity

Based on our results, no splice isoforms can be detected.

Reactivity data

{ "title": "Reactivity Data", "filters": { "stats": ["", "Species", "Dilution Info", "Notes"], "tabs": { "all-applications": {"fullname" : "All Applications", "shortname": "All Applications"}, "IP" : {"fullname" : "Immunoprecipitation", "shortname":"IP"}, "FlowCyt" : {"fullname" : "Flow Cytometry", "shortname":"Flow Cyt"}, "WB" : {"fullname" : "Western blot", "shortname":"WB"}, "IHCP" : {"fullname" : "Immunohistochemistry (Formalin/PFA-fixed paraffin-embedded sections)", "shortname":"IHC-P"}, "ICCIF" : {"fullname" : "Immunocytochemistry/ Immunofluorescence", "shortname":"ICC/IF"} }, "product-promise": { "all": "all", "testedAndGuaranteed": "tested", "guaranteed": "expected", "predicted": "predicted", "notRecommended": "not-recommended" } }, "values": { "Human": { "IP-species-checked": "guaranteed", "IP-species-dilution-info": "", "IP-species-notes": "", "FlowCyt-species-checked": "notRecommended", "FlowCyt-species-dilution-info": "", "FlowCyt-species-notes": "<p><a href='/en-us/products/primary-antibodies/rabbit-igg-monoclonal-epr25a-isotype-control-low-endotoxin-azide-free-ab199376'>ab199376</a> - Rabbit monoclonal IgG, is suitable for use as an isotype control with this antibody.</p>", "WB-species-checked": "testedAndGuaranteed", "WB-species-dilution-info": "", "WB-species-notes": "<p></p>", "IHCP-species-checked": "testedAndGuaranteed", "IHCP-species-dilution-info": "", "IHCP-species-notes": "<p></p> Perform heat-mediated antigen retrieval with citrate buffer pH 6 before commencing with IHC staining protocol.", "ICCIF-species-checked": "notRecommended", "ICCIF-species-dilution-info": "", "ICCIF-species-notes": "<p></p>" }, "Mouse": { "IP-species-checked": "testedAndGuaranteed", "IP-species-dilution-info": "", "IP-species-notes": "<p></p>", "FlowCyt-species-checked": "notRecommended", "FlowCyt-species-dilution-info": "", "FlowCyt-species-notes": "<p><a href='/en-us/products/primary-antibodies/rabbit-igg-monoclonal-epr25a-isotype-control-low-endotoxin-azide-free-ab199376'>ab199376</a> - Rabbit monoclonal IgG, is suitable for use as an isotype control with this antibody.</p>", "WB-species-checked": "testedAndGuaranteed", "WB-species-dilution-info": "", "WB-species-notes": "<p></p>", "IHCP-species-checked": "guaranteed", "IHCP-species-dilution-info": "", "IHCP-species-notes": "", "ICCIF-species-checked": "notRecommended", "ICCIF-species-dilution-info": "", "ICCIF-species-notes": "<p></p>" }, "Rat": { "IP-species-checked": "guaranteed", "IP-species-dilution-info": "", "IP-species-notes": "", "FlowCyt-species-checked": "notRecommended", "FlowCyt-species-dilution-info": "", "FlowCyt-species-notes": "", "WB-species-checked": "testedAndGuaranteed", "WB-species-dilution-info": "1/1000", "WB-species-notes": "<p></p>", "IHCP-species-checked": "guaranteed", "IHCP-species-dilution-info": "", "IHCP-species-notes": "<p></p> Perform heat-mediated antigen retrieval with citrate buffer pH 6 before commencing with IHC staining protocol.", "ICCIF-species-checked": "notRecommended", "ICCIF-species-dilution-info": "", "ICCIF-species-notes": "<p></p>" }, "Chinese hamster": { "IP-species-checked": "predicted", "IP-species-dilution-info": "", "IP-species-notes": "", "FlowCyt-species-checked": "notRecommended", "FlowCyt-species-dilution-info": "", "FlowCyt-species-notes": "", "WB-species-checked": "guaranteed", "WB-species-dilution-info": "", "WB-species-notes": "<p></p>", "IHCP-species-checked": "predicted", "IHCP-species-dilution-info": "", "IHCP-species-notes": "", "ICCIF-species-checked": "notRecommended", "ICCIF-species-dilution-info": "", "ICCIF-species-notes": "<p></p>" } } }

Product details

ab184784 is the carrier-free version of ab32152.

Patented technology
Our RabMAb® technology is a patented hybridoma-based technology for making rabbit monoclonal antibodies. For details on our patents, please refer to RabMAb® patents.

What are the advantages of a recombinant monoclonal antibody?
This product is a recombinant monoclonal antibody, which offers several advantages including:

  • - High batch-to-batch consistency and reproducibility
  • - Improved sensitivity and specificity
  • - Long-term security of supply
  • - Animal-free batch production

For more information, read more on recombinant antibodies.

Conjugation ready
Our carrier-free antibodies are typically supplied in a PBS-only formulation, purified and free of BSA, sodium azide and glycerol. This conjugation-ready format is designed for use with fluorochromes, metal isotopes, oligonucleotides, and enzymes, which makes them ideal for antibody labelling, functional and cell-based assays, flow-based assays (e.g. mass cytometry) and Multiplex Imaging applications.

Use our conjugation kits for antibody conjugates that are ready-to-use in as little as 20 minutes with 1 minute hands-on-time and 100% antibody recovery: available for fluorescent dyes, HRP, biotin and gold.

Compatibility
This product is compatible with the Maxpar® Antibody Labeling Kit from Fluidigm, without the need for antibody preparation. Maxpar® is a trademark of Fluidigm Canada Inc.

What does low endotoxin mean?
Our low endotoxin, azide-free formats have low endotoxin level (1 EU/mg, determined by the TAL assay) and are free from azide, to achieve consistent experimental results in functional assays.

Properties and storage information

Form
Liquid
Purification technique
Affinity purification Protein A
Storage buffer
pH: 7.2 Constituents: PBS
Shipped at conditions
Blue Ice
Appropriate short-term storage conditions
+4°C
Appropriate long-term storage conditions
+4°C
Storage information
Do Not Freeze

Supplementary information

This supplementary information is collated from multiple sources and compiled automatically.

VEGF Receptor 1 also known as FLT-1 is a protein that plays a critical role in the regulation of angiogenesis. Its mass is approximately 180 kDa. FLT-1 is a receptor tyrosine kinase expressed mainly on the surface of endothelial cells but also in monocytes and macrophages. The receptor binds vascular endothelial growth factor (VEGF) and placental growth factor (PlGF) which initiates a series of signaling cascades important for vascular development and function.
Biological function summary

FLT-1 mediates important cellular responses such as cell migration and proliferation. Although it often functions in conjunction with other receptors like VEGFR-2 FLT-1 has unique binding affinities that modulate the availability of VEGF for other receptors. FLT-1 proteins as part of complex signaling networks actively contribute to maintaining vascular homeostasis and regulating blood vessel permeability.

Pathways

FLT-1 is an important component in the VEGF signaling pathway and also part of the PlGF/VEGF pathway. The receptor serves as a decoy to regulate the amount of VEGF interaction with VEGFR-2 influencing endothelial cell function and vascular permeability. By sequestering VEGF FLT-1 helps maintain the balance in this angiogenic signaling network interacting with proteins like VEGF PlGF and the anti-VEGF agents that target these pathways.

FLT-1 is implicated in cancer and diabetic retinopathy. Overexpression or dysregulation of FLT-1 can contribute to tumor angiogenesis which can enhance tumor growth and metastasis. In diabetic retinopathy abnormal FLT-1 activity affects retinal blood vessels leading to vision impairment. Similar interactions involve VEGFR-2 and other downstream effectors emphasizing the potential of FLT-1 as a therapeutic target for conditions associated with excessive angiogenesis and vascular dysfunction.

Product protocols

For this product, it's our understanding that no specific protocols are required. You can visit:

Target data

Tyrosine-protein kinase that acts as a cell-surface receptor for VEGFA, VEGFB and PGF, and plays an essential role in the development of embryonic vasculature, the regulation of angiogenesis, cell survival, cell migration, macrophage function, chemotaxis, and cancer cell invasion. Acts as a positive regulator of postnatal retinal hyaloid vessel regression (By similarity). May play an essential role as a negative regulator of embryonic angiogenesis by inhibiting excessive proliferation of endothelial cells. Can promote endothelial cell proliferation, survival and angiogenesis in adulthood. Its function in promoting cell proliferation seems to be cell-type specific. Promotes PGF-mediated proliferation of endothelial cells, proliferation of some types of cancer cells, but does not promote proliferation of normal fibroblasts (in vitro). Has very high affinity for VEGFA and relatively low protein kinase activity; may function as a negative regulator of VEGFA signaling by limiting the amount of free VEGFA and preventing its binding to KDR. Modulates KDR signaling by forming heterodimers with KDR. Ligand binding leads to the activation of several signaling cascades. Activation of PLCG leads to the production of the cellular signaling molecules diacylglycerol and inositol 1,4,5-trisphosphate and the activation of protein kinase C. Mediates phosphorylation of PIK3R1, the regulatory subunit of phosphatidylinositol 3-kinase, leading to activation of phosphatidylinositol kinase and the downstream signaling pathway. Mediates activation of MAPK1/ERK2, MAPK3/ERK1 and the MAP kinase signaling pathway, as well as of the AKT1 signaling pathway. Phosphorylates SRC and YES1, and may also phosphorylate CBL. Promotes phosphorylation of AKT1 at 'Ser-473'. Promotes phosphorylation of PTK2/FAK1 (PubMed : 16685275).. Isoform 1. Phosphorylates PLCG.. Isoform 2. May function as decoy receptor for VEGFA.. Isoform 3. May function as decoy receptor for VEGFA.. Isoform 4. May function as decoy receptor for VEGFA.. Isoform 7. Has a truncated kinase domain; it increases phosphorylation of SRC at 'Tyr-418' by unknown means and promotes tumor cell invasion.
See full target information FLT1

Publications (26)

Recent publications for all applications. Explore the full list and refine your search

PeerJ 12:e16744 PubMed38250717

2024

Reversal of cholestatic liver disease by the inhibition of sphingosine 1-phosphate receptor 2 signaling.

Applications

Unspecified application

Species

Unspecified reactive species

Huiling Cao,Lin Chen,Ziyang Zeng,Xianfeng Wu,Yuhao Lei,Wen Jia,Guang Yue,Bin Yi,Yu-Jie Li,Yuan Shi

Clinical, cosmetic and investigational dermatology 15:2523-2534 PubMed36447569

2022

Effect of Azelaic Acid on Psoriasis Progression Investigated Based on Phosphatidylinositol 3-Kinase (PI3K)/Protein Kinase B (AKT) Signaling Pathway.

Applications

Unspecified application

Species

Unspecified reactive species

Licui Li,Huixiu Lu,Yanli Zhang,Qian Li,Shaomin Shi,Yaling Liu

Experimental and therapeutic medicine 22:972 PubMed34335914

2021

Effect of the Notch4/Dll4 signaling pathway in early gestational intrauterine infection on lung development.

Applications

Unspecified application

Species

Unspecified reactive species

Canyang Zhan,Yi Sun,Jiarong Pan,Lihua Chen,Tianming Yuan

Annals of translational medicine 9:654 PubMed33987352

2021

miR-194-5p protects against myocardial ischemia/reperfusion injury via MAPK1/PTEN/AKT pathway.

Applications

Unspecified application

Species

Unspecified reactive species

Qiufeng Zhang,Xiaotian Wu,Jie Yang

Experimental and therapeutic medicine 21:315 PubMed33717258

2021

Chronic atrophic gastritis and intestinal metaplasia induced by high-salt and N-methyl-N'-nitro-N-nitrosoguanidine intake in rats.

Applications

Unspecified application

Species

Unspecified reactive species

Jing Yin,Jinyu Yi,Chun Yang,Bo Xu,Jiang Lin,Hongyi Hu,Xiaojun Wu,Hailian Shi,Xiaoyan Fei

Annals of translational medicine 8:1167 PubMed33241016

2020

Fangchinoline attenuates cardiac dysfunction in rats with endotoxemia via the inhibition of ERK1/2 and NF-κB p65 phosphorylation.

Applications

Unspecified application

Species

Unspecified reactive species

Hongwei Chen,Zonghua Shi,Yongsheng Xing,Xinwei Li,Fengzhou Fu

Investigative ophthalmology & visual science 61:28 PubMed32539131

2020

Downregulation of MST4 Underlies a Novel Inhibitory Role of MicroRNA Let-7a in the Progression of Retinoblastoma.

Applications

Unspecified application

Species

Unspecified reactive species

Xinli Zhang,Lili Song,Yanxia Huang,Shaoping Han,Min Hou,Hongxia Li

Evidence-based complementary and alternative medic 2019:2651037 PubMed31320912

2019

Weiqi Decoction Attenuated Chronic Atrophic Gastritis with Precancerous Lesion through Regulating Microcirculation Disturbance and HIF-1 Signaling Pathway.

Applications

Unspecified application

Species

Unspecified reactive species

Jing Yin,Jinyu Yi,Chun Yang,Bo Xu,Jiang Lin,Hongyi Hu,Xiaojun Wu,Hailian Shi,Xiaoyan Fei

Evidence-based complementary and alternative medic 2018:7943212 PubMed30581486

2018

Lycium Barbarum Polysaccharides Improve Retinopathy in Diabetic Sprague-Dawley Rats.

Applications

Unspecified application

Species

Unspecified reactive species

Qing Yao,Yi Yang,Xiaohong Lu,Qian Zhang,Mingxiu Luo,P Andy Li,Yan Pan

Toxicology letters 222:72-82 PubMed23845850

2013

Curcumin ameliorates intrahepatic angiogenesis and capillarization of the sinusoids in carbon tetrachloride-induced rat liver fibrosis.

Applications

Unspecified application

Species

Rat

Qunyan Yao,Yizheng Lin,Xi Li,Xizhong Shen,Jiyao Wang,Chuantao Tu
View all publications

Product promise

We are committed to supporting your work with high-quality reagents, and we're here for you every step of the way. In the unlikely event that one of our products does not perform as expected, you're protected by our Product Promise.
For full details, please see our Terms & Conditions

Please note: All products are 'FOR RESEARCH USE ONLY. NOT FOR USE IN DIAGNOSTIC OR THERAPEUTIC PROCEDURES'.

For licensing inquiries, please contact partnerships@abcam.com