JavaScript is disabled in your browser. Please enable JavaScript to view this website.
AB36844

Anti-VEGF Receptor 1 + VEGF Receptor 2 antibody

Be the first to review this product! Submit a review

|

(13 Publications)

Rabbit Polyclonal VEGF Receptor 1 antibody. Suitable for WB, IHC-P, ICC/IF and reacts with Mouse, Human samples. Cited in 13 publications. Immunogen corresponding to Synthetic Peptide within Mouse Flt1 aa 800-900.

View Alternative Names

FLT, FRT, VEGFR1, FLT1, Vascular endothelial growth factor receptor 1, VEGFR-1, Fms-like tyrosine kinase 1, Tyrosine-protein kinase FRT, Tyrosine-protein kinase receptor FLT, Vascular permeability factor receptor, FLT-1

2 Images
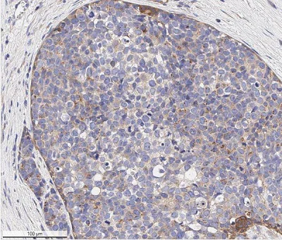
Immunohistochemistry (Formalin/PFA-fixed paraffin-embedded sections) - Anti-VEGF Receptor 1 + VEGF Receptor 2 antibody (AB36844)
  • IHC-P

Supplier Data

Immunohistochemistry (Formalin/PFA-fixed paraffin-embedded sections) - Anti-VEGF Receptor 1 + VEGF Receptor 2 antibody (AB36844)

IHC analysis of a formalin-fixed paraffin-embedded (FFPE) human breast carcinoma tissue section using 1 : 500 dilution of ab36844. The assay involved 20 minutes of heat induced antigen retrieval (HIER) with 10mM sodium citrate buffer (pH 6.0) and endogenous peroxidase quenching using peroxide block. The sections were incubated with primary antibody for 30 minutes.

Immunohistochemistry (Formalin/PFA-fixed paraffin-embedded sections) - Anti-VEGF Receptor 1 + VEGF Receptor 2 antibody (AB36844)
  • IHC-P

Supplier Data

Immunohistochemistry (Formalin/PFA-fixed paraffin-embedded sections) - Anti-VEGF Receptor 1 + VEGF Receptor 2 antibody (AB36844)

IHC analysis of a formalin-fixed paraffin-embedded (FFPE) human breast carcinoma tissue section using 1 : 500 dilution of ab36844. The assay involved 20 minutes of heat induced antigen retrieval (HIER) with 10mM sodium citrate buffer (pH 6.0) and endogenous peroxidase quenching using peroxide block. The sections were incubated with primary antibody for 30 minutes.

Key facts

Host species

Rabbit

Clonality

Polyclonal

Isotype

IgG

Carrier free

No

Reacts with

Human, Mouse

Applications

ICC/IF, IHC-P, WB

applications

Immunogen

Synthetic Peptide within Mouse Flt1 aa 800-900. The exact immunogen used to generate this antibody is proprietary information.

P35969

Specificity

This antibody is specific for VEGFR 1 with significant cross-reactivity with the VEGFR 2 protein.

Reactivity data

{ "title": "Reactivity Data", "filters": { "stats": ["", "Species", "Dilution Info", "Notes"], "tabs": { "all-applications": {"fullname" : "All Applications", "shortname": "All Applications"}, "WB" : {"fullname" : "Western blot", "shortname":"WB"}, "IHCP" : {"fullname" : "Immunohistochemistry (Formalin/PFA-fixed paraffin-embedded sections)", "shortname":"IHC-P"}, "ICCIF" : {"fullname" : "Immunocytochemistry/ Immunofluorescence", "shortname":"ICC/IF"} }, "product-promise": { "all": "all", "testedAndGuaranteed": "tested", "guaranteed": "expected", "predicted": "predicted", "notRecommended": "not-recommended" } }, "values": { "Human": { "WB-species-checked": "guaranteed", "WB-species-dilution-info": "", "WB-species-notes": "<p></p>", "IHCP-species-checked": "testedAndGuaranteed", "IHCP-species-dilution-info": "1/250 - 1/500", "IHCP-species-notes": "<p></p>", "ICCIF-species-checked": "guaranteed", "ICCIF-species-dilution-info": "", "ICCIF-species-notes": "<p></p>" }, "Mouse": { "WB-species-checked": "guaranteed", "WB-species-dilution-info": "", "WB-species-notes": "<p></p>", "IHCP-species-checked": "predicted", "IHCP-species-dilution-info": "", "IHCP-species-notes": "", "ICCIF-species-checked": "guaranteed", "ICCIF-species-dilution-info": "", "ICCIF-species-notes": "<p></p>" } } }

Properties and storage information

Form
Liquid
Purification technique
Affinity purification Protein A
Purification notes
ab36844 is an affinity purified IgG.
Storage buffer
pH: 7.4 Preservative: 0.05% Sodium azide
Shipped at conditions
Blue Ice
Appropriate short-term storage conditions
+4°C
Appropriate long-term storage conditions
-20°C
Aliquoting information
Upon delivery aliquot
Storage information
Avoid freeze / thaw cycle

Supplementary information

This supplementary information is collated from multiple sources and compiled automatically.

The VEGF Receptor 1 (known as Flt-1) and VEGF Receptor 2 (known as KDR/Flk-1) are important receptors that mediate angiogenesis. Flt-1 and KDR have masses of approximately 180 kDa and 210 kDa respectively. They express mainly on endothelial cells and are also present in some hematopoietic cells pericytes and specific tumor cells. Both receptors bind vascular endothelial growth factor (VEGF) a signal protein produced by cells that stimulates the formation of blood vessels.
Biological function summary

Flt-1 and KDR are part of receptor tyrosine kinase families and form complexes essential to regulating endothelial cell function. When VEGF binds to these receptors it leads to their dimerization and activation of their intrinsic kinase domain. This activation triggers multiple downstream signaling cascades that govern cell proliferation migration and survival. VEGF binding to KDR especially plays a significant role in vascular permeability and endothelial cell growth.

Pathways

VEGF Receptor 1 and 2 engage primarily in the VEGF signaling pathway impacting angiogenesis and vasculogenesis. The signal transduction cascade involves multiple proteins including PI3K and PLCγ leading to different cellular responses. The receptors' activity also interlinks with the MAPK/ERK pathway connecting with other proteins such as Raf-1 important for cell division and differentiation.

Aberrant signaling through VEGF Receptors 1 and 2 associates with cancer and age-related macular degeneration (AMD). Overexpression or excessive activation of these receptors contributes to tumor angiogenesis supporting cancerous cell growth and metastasis in various cancers. In AMD abnormal angiogenesis in the retina leads to vision loss where both Flt-1 and KDR play roles in pathological neovascularization. Pharmacological inhibition of these receptors such as with anti-VEGF therapies shows effectiveness in treating these conditions.

Product protocols

For this product, it's our understanding that no specific protocols are required. You can visit:

Target data

Tyrosine-protein kinase that acts as a cell-surface receptor for VEGFA, VEGFB and PGF, and plays an essential role in the development of embryonic vasculature, the regulation of angiogenesis, cell survival, cell migration, macrophage function, chemotaxis, and cancer cell invasion. Acts as a positive regulator of postnatal retinal hyaloid vessel regression (By similarity). May play an essential role as a negative regulator of embryonic angiogenesis by inhibiting excessive proliferation of endothelial cells. Can promote endothelial cell proliferation, survival and angiogenesis in adulthood. Its function in promoting cell proliferation seems to be cell-type specific. Promotes PGF-mediated proliferation of endothelial cells, proliferation of some types of cancer cells, but does not promote proliferation of normal fibroblasts (in vitro). Has very high affinity for VEGFA and relatively low protein kinase activity; may function as a negative regulator of VEGFA signaling by limiting the amount of free VEGFA and preventing its binding to KDR. Modulates KDR signaling by forming heterodimers with KDR. Ligand binding leads to the activation of several signaling cascades. Activation of PLCG leads to the production of the cellular signaling molecules diacylglycerol and inositol 1,4,5-trisphosphate and the activation of protein kinase C. Mediates phosphorylation of PIK3R1, the regulatory subunit of phosphatidylinositol 3-kinase, leading to activation of phosphatidylinositol kinase and the downstream signaling pathway. Mediates activation of MAPK1/ERK2, MAPK3/ERK1 and the MAP kinase signaling pathway, as well as of the AKT1 signaling pathway. Phosphorylates SRC and YES1, and may also phosphorylate CBL. Promotes phosphorylation of AKT1 at 'Ser-473'. Promotes phosphorylation of PTK2/FAK1 (PubMed : 16685275).. Isoform 1. Phosphorylates PLCG.. Isoform 2. May function as decoy receptor for VEGFA.. Isoform 3. May function as decoy receptor for VEGFA.. Isoform 4. May function as decoy receptor for VEGFA.. Isoform 7. Has a truncated kinase domain; it increases phosphorylation of SRC at 'Tyr-418' by unknown means and promotes tumor cell invasion.
See full target information FLT1

Additional targets

KDR

Publications (13)

Recent publications for all applications. Explore the full list and refine your search

Scientific reports 15:28627 PubMed40764760

2025

Molecular mechanisms of cryoablation-mediated lung cancer suppression unveiled by non-coding RNA regulatory network profiling.

Applications

Unspecified application

Species

Unspecified reactive species

Xiaofan Wang,Mohan Zhang,Dianna Liu,Shicheng Lin,Yuxin Zhang,Quanwang Li

Cell reports. Medicine 5:101757 PubMed39368483

2024

Clinical-proteomic classification and precision treatment strategy of chordoma.

Applications

Unspecified application

Species

Unspecified reactive species

Huabin Yin,Jinbo Hu,Jianxuan Gao,Tong Su,Jiali Jin,Cong Jiang,Wenxuan Yin,Xiaowen Xu,Zhengyan Chang,Wei Sun,Zhengdong Cai,Wang Zhou,Ping Wang,Jun Lin,Dianwen Song,Tong Meng

Journal of biochemical and molecular toxicology 38:e23688 PubMed38511888

2024

CD93 regulates breast cancer growth and vasculogenic mimicry through the PI3K/AKT/SP2 signaling pathway activated by integrin β1.

Applications

Unspecified application

Species

Unspecified reactive species

Hong Liu,Jianhui Zhang,Yanjun Zhao,Zhixiong Fan,Yongheng Yang,Yuanyuan Mao,Jingyuan Yang,Shungao Ma

Analytical cellular pathology (Amsterdam) 2022:6042518 PubMed35837295

2022

Sunitinib Reduced the Migration of Ectopic Endometrial Cells via p-VEGFR-PI3K-AKT-YBX1-Snail Signaling Pathway.

Applications

Unspecified application

Species

Unspecified reactive species

Xiaodan Fan,Yanyan Tong,Yiting Chen,Yichen Chen

JCI insight 5: PubMed32453715

2020

Myocardial protection by nanomaterials formulated with CHIR99021 and FGF1.

Applications

Unspecified application

Species

Unspecified reactive species

Chengming Fan,Yasin Oduk,Meng Zhao,Xi Lou,Yawen Tang,Danielle Pretorius,Mani T Valarmathi,Gregory P Walcott,Jinfu Yang,Philippe Menasche,Prasanna Krishnamurthy,Wuqiang Zhu,Jianyi Zhang

Drug design, development and therapy 14:1609-1620 PubMed32425506

2020

Anisodamine Suppressed the Growth of Hepatocellular Carcinoma Cells, Induced Apoptosis and Regulated the Levels of Inflammatory Factors by Inhibiting NLRP3 Inflammasome Activation.

Applications

Unspecified application

Species

Unspecified reactive species

Ping Li,Yu Liu,Qiang He

Experimental and therapeutic medicine 19:762-770 PubMed31853327

2019

Dexamethasone and lenvatinib inhibit migration and invasion of non-small cell lung cancer by regulating EKR/AKT and VEGF signal pathways.

Applications

Unspecified application

Species

Unspecified reactive species

Daye Zhang,Yongxiang Zhang,Zeyuan Cai,Ying Tu,Zhansong Hu

Journal of cellular and molecular medicine 24:588-604 PubMed31724333

2019

Pancreatic cancer cell-derived exosomal microRNA-27a promotes angiogenesis of human microvascular endothelial cells in pancreatic cancer via BTG2.

Applications

Unspecified application

Species

Unspecified reactive species

Dan Shang,Chao Xie,Jin Hu,Jinru Tan,Yufeng Yuan,Zhisu Liu,Zhiyong Yang

Oncology letters 16:6573-6581 PubMed30405797

2018

Therapeutic effects of lenvatinib in combination with rAd-p53 for the treatment of non-small cell lung cancer.

Applications

Unspecified application

Species

Unspecified reactive species

Renzhi Yu,Minghuan Wang,Xiuli Zhu,Zhe Sun,Aiying Jiang,Huixin Yao

Oncology letters 14:3343-3348 PubMed28927086

2017

Quercetin inhibits angiogenesis-mediated human retinoblastoma growth by targeting vascular endothelial growth factor receptor.

Applications

Unspecified application

Species

Unspecified reactive species

Wei Song,Xiaofei Zhao,Jiarui Xu,Han Zhang
View all publications

Product promise

We are committed to supporting your work with high-quality reagents, and we're here for you every step of the way. In the unlikely event that one of our products does not perform as expected, you're protected by our Product Promise.
For full details, please see our Terms & Conditions

Please note: All products are 'FOR RESEARCH USE ONLY. NOT FOR USE IN DIAGNOSTIC OR THERAPEUTIC PROCEDURES'.

For licensing inquiries, please contact partnerships@abcam.com