JavaScript is disabled in your browser. Please enable JavaScript to view this website.
AB315238

Anti-VEGF Receptor 2 antibody [EPR28328-80]

  • BOND RX™ Validated
  • 20ul selling size
  • RabMAb
  • Recombinant
  • What is this?

5

(1 Review)

|

(8 Publications)

Anti-VEGF Receptor 2 antibody [EPR28328-80] (ab315238) is a rabbit monoclonal antibody detecting VEGF Receptor 2 in Western Blot, IP, IHC-P. Suitable for Human, Mouse, Rat.

- Biophysical QC for unrivalled batch-batch consistency

View Alternative Names

CD309, FLK1, VEGFR2, KDR, Vascular endothelial growth factor receptor 2, VEGFR-2, Fetal liver kinase 1, Kinase insert domain receptor, Protein-tyrosine kinase receptor flk-1, FLK-1

10 Images
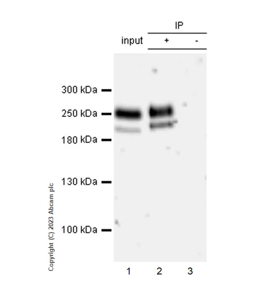
Immunoprecipitation - Anti-VEGF Receptor 2 antibody [EPR28328-80] (AB315238)
  • IP

Supplier Data

Immunoprecipitation - Anti-VEGF Receptor 2 antibody [EPR28328-80] (AB315238)

VEGF Receptor 2 was immunoprecipitated from 0.35 mg HUVEC (human umbilical vein endothelial cell) whole cell lysate with ab315238 at 1/30 dilution (2ug in 0.35mg lysates). Western blot was performed on the immunoprecipitate using ab315238 at 1/1000 dilution. VeriBlot for IP secondary antibody(HRP)(ab131366) was used at 1/5000 dilution.

Lane 1 : HUVEC (human umbilical vein endothelial cell) whole cell lysate

Lane 2 : ab315238 IP in HUVEC (human umbilical vein endothelial cell) whole cell lysate

Lane 3 : Rabbit monoclonal IgG (ab172730) instead of ab315238 in HUVEC whole cell lysate

Blocking and dilution buffer and concentration : 5% NFDM/TBST.

All lanes:

Immunoprecipitation - Anti-VEGF Receptor 2 antibody [EPR28328-80] (ab315238) at 1/30 dilution

All lanes:

HUVEC (human umbilical vein endothelial cell) whole cell lysate

Secondary

All lanes:

Immunoprecipitation - VeriBlot for IP Detection Reagent (HRP) (<a href='/en-us/products/reagents/veriblot-for-ip-detection-reagent-hrp-ab131366'>ab131366</a>) at 1/5000 dilution

false

Exposure time: 180s

Immunohistochemistry (Formalin/PFA-fixed paraffin-embedded sections) - Anti-VEGF Receptor 2 antibody [EPR28328-80] (AB315238)
  • IHC-P

Supplier Data

Immunohistochemistry (Formalin/PFA-fixed paraffin-embedded sections) - Anti-VEGF Receptor 2 antibody [EPR28328-80] (AB315238)

Immunohistochemical analysis of paraffin-embedded Mouse placenta tissue labeling VEGF Receptor 2 with ab315238 at 1/1000 (0.505 ug/ml) dilution, followed by a ready to use LeicaDS9800 (Bond™ Polymer Refine Detection).

Positive staining on endothelial cells of mouse placenta. The section was incubated with ab315238 for 30 mins at room temperature. The immunostaining was performed on a Leica Biosystems BOND® RX instrument Counterstained with Hematoxylin.

Secondary antibody only control : Secondary antibody is a ready to use LeicaDS9800 (Bond™ Polymer Refine Detection).

Heat mediated antigen retrieval was performed with Tris-EDTA buffer (pH 9.0, Epitope Retrieval Solution2) for 20 mins

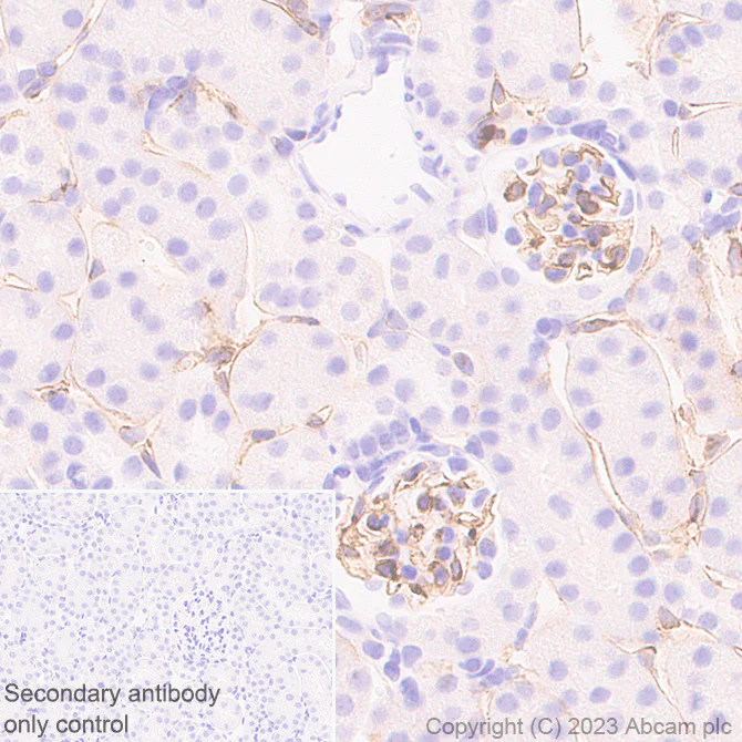
Immunohistochemistry (Formalin/PFA-fixed paraffin-embedded sections) - Anti-VEGF Receptor 2 antibody [EPR28328-80] (AB315238)
  • IHC-P

Supplier Data

Immunohistochemistry (Formalin/PFA-fixed paraffin-embedded sections) - Anti-VEGF Receptor 2 antibody [EPR28328-80] (AB315238)

Immunohistochemical analysis of paraffin-embedded Mouse kidney tissue labeling VEGF Receptor 2 with ab315238 at 1/1000 (0.505 ug/ml) dilution, followed by a ready to use LeicaDS9800 (Bond™ Polymer Refine Detection).

Positive staining on endothelial cells of mouse kidney. The section was incubated with ab315238 for 30 mins at room temperature. The immunostaining was performed on a Leica Biosystems BOND® RX instrument Counterstained with Hematoxylin.

Secondary antibody only control : Secondary antibody is a ready to use LeicaDS9800 (Bond™ Polymer Refine Detection).

Heat mediated antigen retrieval was performed with Tris-EDTA buffer (pH 9.0, Epitope Retrieval Solution2) for 20 mins

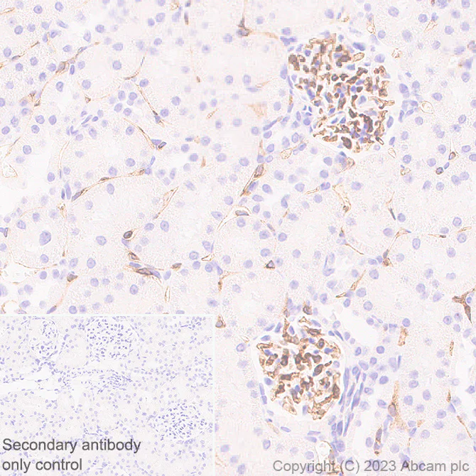
Immunohistochemistry (Formalin/PFA-fixed paraffin-embedded sections) - Anti-VEGF Receptor 2 antibody [EPR28328-80] (AB315238)
  • IHC-P

Supplier Data

Immunohistochemistry (Formalin/PFA-fixed paraffin-embedded sections) - Anti-VEGF Receptor 2 antibody [EPR28328-80] (AB315238)

Immunohistochemical analysis of paraffin-embedded Rat liver tissue labeling VEGF Receptor 2 with ab315238 at 1/1000 (0.505 ug/ml) dilution, followed by a ready to use LeicaDS9800 (Bond™ Polymer Refine Detection).

Positive staining on endothelial cells of rat liver. The section was incubated with ab315238 for 30 mins at room temperature. The immunostaining was performed on a Leica Biosystems BOND® RX instrument Counterstained with Hematoxylin.

Secondary antibody only control : Secondary antibody is a ready to use LeicaDS9800 (Bond™ Polymer Refine Detection).

Heat mediated antigen retrieval was performed with Tris-EDTA buffer (pH 9.0, Epitope Retrieval Solution2) for 20 mins

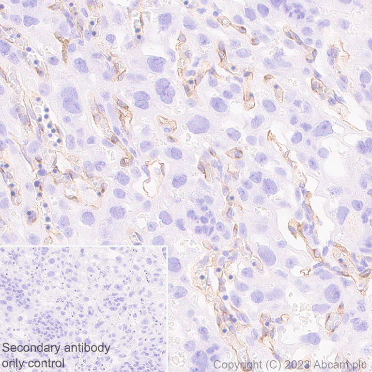
Immunohistochemistry (Formalin/PFA-fixed paraffin-embedded sections) - Anti-VEGF Receptor 2 antibody [EPR28328-80] (AB315238)
  • IHC-P

Supplier Data

Immunohistochemistry (Formalin/PFA-fixed paraffin-embedded sections) - Anti-VEGF Receptor 2 antibody [EPR28328-80] (AB315238)

Immunohistochemical analysis of paraffin-embedded Mouse liver tissue labeling VEGF Receptor 2 with ab315238 at 1/1000 (0.505 ug/ml) dilution, followed by a ready to use LeicaDS9800 (Bond™ Polymer Refine Detection).

Positive staining on endothelial cells of mouse liver. The section was incubated with ab315238 for 30 mins at room temperature. The immunostaining was performed on a Leica Biosystems BOND® RX instrument Counterstained with Hematoxylin.

Secondary antibody only control : Secondary antibody is a ready to use LeicaDS9800 (Bond™ Polymer Refine Detection).

Heat mediated antigen retrieval was performed with Tris-EDTA buffer (pH 9.0, Epitope Retrieval Solution2) for 20 mins

Immunohistochemistry (Formalin/PFA-fixed paraffin-embedded sections) - Anti-VEGF Receptor 2 antibody [EPR28328-80] (AB315238)
  • IHC-P

Supplier Data

Immunohistochemistry (Formalin/PFA-fixed paraffin-embedded sections) - Anti-VEGF Receptor 2 antibody [EPR28328-80] (AB315238)

Immunohistochemical analysis of paraffin-embedded Rat kidney tissue labeling VEGF Receptor 2 with ab315238 at 1/1000 (0.505 ug/ml) dilution, followed by a ready to use LeicaDS9800 (Bond™ Polymer Refine Detection).

Positive staining on endothelial cells of rat kidney. The section was incubated with ab315238 for 30 mins at room temperature. The immunostaining was performed on a Leica Biosystems BOND® RX instrument Counterstained with Hematoxylin.

Secondary antibody only control : Secondary antibody is a ready to use LeicaDS9800 (Bond™ Polymer Refine Detection).

Heat mediated antigen retrieval was performed with Tris-EDTA buffer (pH 9.0, Epitope Retrieval Solution2) for 20 mins

Western blot - Anti-VEGF Receptor 2 antibody [EPR28328-80] (AB315238)
  • WB

Supplier Data

Western blot - Anti-VEGF Receptor 2 antibody [EPR28328-80] (AB315238)

Blocking and diluting buffer and concentration : 5% NFDM/TBST.

Exposure time : Lane 1 : 10 seconds; Lanes 2-3 : 180 seconds.

All lanes:

Western blot - Anti-VEGF Receptor 2 antibody [EPR28328-80] (ab315238) at 1/1000 dilution

Lane 1:

Human placenta tissue lysate at 20 µg

Lane 2:

Human lung tissue lysate at 20 µg

Lane 3:

EA.hy926 (human somatic cell hybrid endothelial cell) whole cell lysate at 20 µg

Secondary

All lanes:

Goat Anti-Rabbit IgG (HRP) with minimal cross-reactivity with human IgG at 1/2000 dilution

Observed band size: 230 kDa,200 kDa

false

Western blot - Anti-VEGF Receptor 2 antibody [EPR28328-80] (AB315238)
  • WB

Supplier Data

Western blot - Anti-VEGF Receptor 2 antibody [EPR28328-80] (AB315238)

Blocking and diluting buffer and concentration : 5% NFDM/TBST.

Negative control : HeLa, A549 (PMID : 22514712), K-562 (PMID : 10953026).

Lysates were freshly made and used for Western blotting immediately to minimize protein degradation.

In Western blot, Anti-Vinculin antibody [EPR8185] (ab129002) staining at 1/10000 dilution.

All lanes:

Western blot - Anti-VEGF Receptor 2 antibody [EPR28328-80] (ab315238) at 1/1000 dilution

Lane 1:

HUVEC (human umbilical vein endothelial cell) whole cell lysate at 20 µg

Lane 2:

HeLa (human cervical adenocarcinoma epithelial cell) whole cell lysate at 20 µg

Lane 3:

K-562 (human chronic myelogenous leukemia lymphoblast) whole cell lysate at 20 µg

Lane 4:

A549 (human lung carcinoma epithelial cell) whole cell lysate at 20 µg

Secondary

All lanes:

Western blot - Goat Anti-Rabbit IgG H&L (HRP) (<a href='/en-us/products/secondary-antibodies/goat-rabbit-igg-h-l-hrp-ab97051'>ab97051</a>) at 1/20000 dilution

Observed band size: 230 kDa,200 kDa,124 kDa

false

Exposure time: 10s

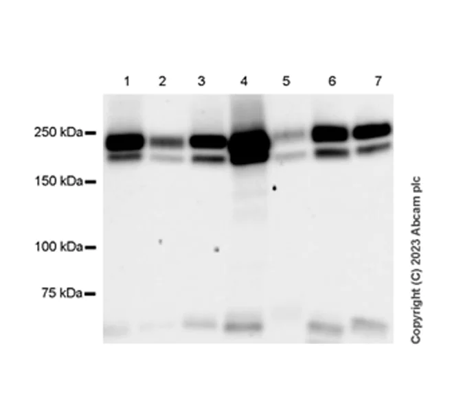
Western blot - Anti-VEGF Receptor 2 antibody [EPR28328-80] (AB315238)
  • WB

Supplier Data

Western blot - Anti-VEGF Receptor 2 antibody [EPR28328-80] (AB315238)

Blocking and diluting buffer and concentration : 5% NFDM/TBST.

All lanes:

Western blot - Anti-VEGF Receptor 2 antibody [EPR28328-80] (ab315238) at 1/1000 dilution

Lane 1:

Mouse placenta tissue lysate at 20 µg

Lane 2:

Mouse spleen tissue lysate at 20 µg

Lane 3:

Mouse liver tissue lysate at 20 µg

Lane 4:

Mouse lung tissue lysate at 20 µg

Lane 5:

Rat placenta tissue lysate at 20 µg

Lane 6:

Rat spleen tissue lysate at 20 µg

Lane 7:

Rat liver tissue lysate at 20 µg

Secondary

All lanes:

Western blot - Goat Anti-Rabbit IgG H&L (HRP) (<a href='/en-us/products/secondary-antibodies/goat-rabbit-igg-h-l-hrp-ab97051'>ab97051</a>) at 1/20000 dilution

Observed band size: 230 kDa,200 kDa

false

Exposure time: 92s

Western blot - Anti-VEGF Receptor 2 antibody [EPR28328-80] (AB315238)
  • WB

Supplier Data

Western blot - Anti-VEGF Receptor 2 antibody [EPR28328-80] (AB315238)

Blocking and diluting buffer and concentration : 5% NFDM/TBST.

This antibody does not cross-react with human VEGF Receptor 1 & VEGF Receptor 3.

In Western blot, Anti-6X His tag® antibody [EPR20547] - ChIP Grade (ab213204) staining at 1/5000 dilution.

All lanes:

Western blot - Anti-VEGF Receptor 2 antibody [EPR28328-80] (ab315238) at 1/1000 dilution

Lane 1:

His-tagged human VEGF Receptor 1 fragment at 10 ng

Lane 2:

His-tagged human VEGF Receptor 2 fragment at 10 ng

Lane 3:

His-tagged human VEGF Receptor 3 fragment at 10 ng

Secondary

All lanes:

Western blot - Goat Anti-Rabbit IgG H&L (HRP) (<a href='/en-us/products/secondary-antibodies/goat-rabbit-igg-h-l-hrp-ab97051'>ab97051</a>) at 1/20000 dilution

Observed band size: 30 kDa

false

Exposure time: 10s

  • 665 Alexa Fluor® 647

    Alexa Fluor® 647 Anti-VEGF Receptor 2 antibody [EPR28328-80]

  • Carrier free

    Anti-VEGF Receptor 2 antibody [EPR28328-80] - BSA and Azide free

Key facts

Host species

Rabbit

Clonality

Monoclonal

Clone number

EPR28328-80

Isotype

IgG

Carrier free

No

Reacts with

Mouse, Rat, Human

Applications

IHC-P, IP, WB

applications

Immunogen

The exact immunogen used to generate this antibody is proprietary information.

Specificity

Unsuitable for human IHC.

Reactivity data

{ "title": "Reactivity Data", "filters": { "stats": ["", "Species", "Dilution Info", "Notes"], "tabs": { "all-applications": {"fullname" : "All Applications", "shortname": "All Applications"}, "IHCP" : {"fullname" : "Immunohistochemistry (Formalin/PFA-fixed paraffin-embedded sections)", "shortname":"IHC-P"}, "WB" : {"fullname" : "Western blot", "shortname":"WB"}, "IP" : {"fullname" : "Immunoprecipitation", "shortname":"IP"}, "IHCFr" : {"fullname" : "Immunohistochemistry (Frozen sections)", "shortname":"IHC-Fr"}, "ICCIF" : {"fullname" : "Immunocytochemistry/ Immunofluorescence", "shortname":"ICC/IF"} }, "product-promise": { "all": "all", "testedAndGuaranteed": "tested", "guaranteed": "expected", "predicted": "predicted", "notRecommended": "not-recommended" } }, "values": { "Human": { "IHCP-species-checked": "notRecommended", "IHCP-species-dilution-info": "", "IHCP-species-notes": "<p></p>", "WB-species-checked": "testedAndGuaranteed", "WB-species-dilution-info": "1/1000", "WB-species-notes": "<p></p>", "IP-species-checked": "testedAndGuaranteed", "IP-species-dilution-info": "1/30", "IP-species-notes": "<p></p>", "IHCFr-species-checked": "notRecommended", "IHCFr-species-dilution-info": "", "IHCFr-species-notes": "", "ICCIF-species-checked": "notRecommended", "ICCIF-species-dilution-info": "", "ICCIF-species-notes": "<p></p>" }, "Mouse": { "IHCP-species-checked": "testedAndGuaranteed", "IHCP-species-dilution-info": "1/1000", "IHCP-species-notes": "<p></p> Perform heat-mediated antigen retrieval with Tris/EDTA buffer pH 9.0 before commencing with IHC staining protocol.", "WB-species-checked": "testedAndGuaranteed", "WB-species-dilution-info": "1/1000", "WB-species-notes": "<p></p>", "IP-species-checked": "guaranteed", "IP-species-dilution-info": "", "IP-species-notes": "", "IHCFr-species-checked": "notRecommended", "IHCFr-species-dilution-info": "", "IHCFr-species-notes": "<p></p>", "ICCIF-species-checked": "notRecommended", "ICCIF-species-dilution-info": "", "ICCIF-species-notes": "" }, "Rat": { "IHCP-species-checked": "testedAndGuaranteed", "IHCP-species-dilution-info": "1/1000", "IHCP-species-notes": "<p></p> Perform heat-mediated antigen retrieval with Tris/EDTA buffer pH 9.0 before commencing with IHC staining protocol.", "WB-species-checked": "testedAndGuaranteed", "WB-species-dilution-info": "1/1000", "WB-species-notes": "<p></p>", "IP-species-checked": "guaranteed", "IP-species-dilution-info": "", "IP-species-notes": "", "IHCFr-species-checked": "notRecommended", "IHCFr-species-dilution-info": "", "IHCFr-species-notes": "<p></p>", "ICCIF-species-checked": "notRecommended", "ICCIF-species-dilution-info": "", "ICCIF-species-notes": "" }, "Recombinant fragment - Human": { "IHCP-species-checked": "notRecommended", "IHCP-species-dilution-info": "", "IHCP-species-notes": "", "WB-species-checked": "testedAndGuaranteed", "WB-species-dilution-info": "1/1000", "WB-species-notes": "<p></p>", "IP-species-checked": "notRecommended", "IP-species-dilution-info": "", "IP-species-notes": "", "IHCFr-species-checked": "notRecommended", "IHCFr-species-dilution-info": "", "IHCFr-species-notes": "", "ICCIF-species-checked": "notRecommended", "ICCIF-species-dilution-info": "", "ICCIF-species-notes": "" } } }

Product details

What is this antibody validated in?
Anti-VEGF Receptor 2 antibody [EPR28328-80] (ab315238) is a rabbit recombinant monoclonal antibody and is validated for use in Western Blot (WB), Immunoprecipitation (IP), Immunohistochemistry (IHC-P) in Human, Mouse, Rat samples.

What is the molecular weight of VEGF Receptor 2?
Anti-VEGF Receptor 2 [EPR28328-80] (ab315238) specifically detects a band for VEGF Receptor 2 (UniProt: P35968) at a molecular weight of 151kDa.

Trial sizes available!
Test your antibody or perform pre-screening before committing to a larger quantity. Sold in 10µl. Discover our selection of trial-size antibodies.

Other related products
We have a range of other formats of antibody clone [EPR28328-80] also available for your convenience: ab315238, Carrier free - ab315239, Alexa Fluor® 647 - ab322322

Patented technology
Our RabMAb® technology is a patented hybridoma-based technology for making rabbit monoclonal antibodies. For details on our patents, please refer to RabMAb® patents.

What are the advantages of a recombinant monoclonal antibody?
This product is a recombinant monoclonal antibody, which offers several advantages including:

  • - High batch-to-batch consistency and reproducibility
  • - Improved sensitivity and specificity
  • - Long-term security of supply
  • - Animal-free batch production

For more information, read more on recombinant antibodies.

Properties and storage information

Form
Liquid
Purification technique
Affinity purification Protein A
Storage buffer
pH: 7.2 - 7.4 Preservative: 0.01% Sodium azide Constituents: PBS, 40% Glycerol (glycerin, glycerine), 0.05% BSA
Shipped at conditions
Blue Ice
Appropriate short-term storage duration
1-2 weeks
Appropriate short-term storage conditions
+4°C
Appropriate long-term storage conditions
-20°C
Aliquoting information
Upon delivery aliquot
Storage information
Avoid freeze / thaw cycle

Supplementary information

This supplementary information is collated from multiple sources and compiled automatically.

VEGF Receptor 2 also known as KDR or Flk-1 is a receptor tyrosine kinase important for mediating the effects of vascular endothelial growth factor (VEGF). This protein has a mass of approximately 150 kDa. It mostly expresses in vascular endothelial cells playing a primary role in the formation of blood vessels. The receptor can also be found in various non-endothelial tissues though in smaller amounts indicating its broad functional roles outside of the vascular system.
Biological function summary

VEGF Receptor 2 is important for angiogenesis and vascular permeability. It is part of the VEGF receptor family which also includes VEGF Receptors 1 and 3 forming a complex interaction network. Upon binding with VEGF it phosphorylates key proteins to initiate signals that regulate endothelial cell migration proliferation and survival. The receptor's function is critical for normal developmental processes and wound healing as well.

Pathways

VEGF Receptor 2 is especially important within the angiogenesis and vascular permeability pathways. It plays a central role in the VEGF signaling pathway alongside proteins like VEGF A which is the primary ligand for the receptor. The signaling through this receptor modulates various downstream proteins through phosphorylation linking it to pathways that control cellular responses essential for blood vessel formation and maintenance.

VEGF Receptor 2 is significantly linked with cancer and age-related macular degeneration. In the context of cancer the overexpression or dysregulation of VEGF and its receptors including VEGF Receptor 2 often leads to enhanced tumor angiogenesis promoting tumor growth and metastasis. Additionally the receptor interacts with other proteins in pathological states such as CD309 in endothelial cell-based assays which are used for research like flow cytometry and ELISA to monitor VEGF Receptor 2 activity and its impact on diseases.

Product protocols

For this product, it's our understanding that no specific protocols are required. You can visit:

Target data

Tyrosine-protein kinase that acts as a cell-surface receptor for VEGFA, VEGFC and VEGFD. Plays an essential role in the regulation of angiogenesis, vascular development, vascular permeability, and embryonic hematopoiesis. Promotes proliferation, survival, migration and differentiation of endothelial cells. Promotes reorganization of the actin cytoskeleton. Isoforms lacking a transmembrane domain, such as isoform 2 and isoform 3, may function as decoy receptors for VEGFA, VEGFC and/or VEGFD. Isoform 2 plays an important role as negative regulator of VEGFA- and VEGFC-mediated lymphangiogenesis by limiting the amount of free VEGFA and/or VEGFC and preventing their binding to FLT4. Modulates FLT1 and FLT4 signaling by forming heterodimers. Binding of vascular growth factors to isoform 1 leads to the activation of several signaling cascades. Activation of PLCG1 leads to the production of the cellular signaling molecules diacylglycerol and inositol 1,4,5-trisphosphate and the activation of protein kinase C. Mediates activation of MAPK1/ERK2, MAPK3/ERK1 and the MAP kinase signaling pathway, as well as of the AKT1 signaling pathway. Mediates phosphorylation of PIK3R1, the regulatory subunit of phosphatidylinositol 3-kinase, reorganization of the actin cytoskeleton and activation of PTK2/FAK1. Required for VEGFA-mediated induction of NOS2 and NOS3, leading to the production of the signaling molecule nitric oxide (NO) by endothelial cells. Phosphorylates PLCG1. Promotes phosphorylation of FYN, NCK1, NOS3, PIK3R1, PTK2/FAK1 and SRC.
See full target information KDR

Publications (8)

Recent publications for all applications. Explore the full list and refine your search

PloS one 20:e0332673 PubMed40956826

2025

Effect of intermittent extracellular low-pH environment on human umbilical vein endothelial cell activity.

Applications

Unspecified application

Species

Unspecified reactive species

Ryota Nishida,Tomoaki Fukui,Kenichi Sawauchi,Yohei Kumabe,Hyuma Kondo,Yuya Yamamoto,Kyohei Takase,Ryo Yoshikawa,Takahiro Niikura,Ryosuke Kuroda,Keisuke Oe

Journal of cellular and molecular medicine 29:e70732 PubMed40682486

2025

Ginsenoside Rb1 Alleviated the AKI to CKD Transition by Targeting VEGFR2.

Applications

Unspecified application

Species

Unspecified reactive species

Keying Zhang,Yuwei Ji,Zhangning Fu,Xiaochen Wang,Yifan Zhang,Yan Yang,Ran Liu,Xiangmei Chen,Guangyan Cai,Quan Hong

The Journal of biological chemistry 301:110447 PubMed40615043

2025

Vacuole protein sorting 18 (Vps18) suppresses epithelial growth factor receptor (EGFR) expression and lung tumorigenesis.

Applications

Unspecified application

Species

Unspecified reactive species

Wuhou Dai,Shujing Zhang,Shunfei Yan,Hao Zhang,Sha Zou,Tonglu Yu,Wufan Tao,Hengning Ke,Xingrong Du

PloS one 20:e0325936 PubMed40601668

2025

PLZF promotes compensatory lung growth by increasing HPMEC proliferation and angiogenesis.

Applications

Unspecified application

Species

Unspecified reactive species

Jing Peng,Liang Ma,Zhonghui Wang,Yaxi Du,Qunfen Tao,Qiongchuan Wang,Li Zhao

Scientific reports 15:21768 PubMed40596517

2025

Diminished angiogenic capacity in the hippocampus compared to the cortex indicates regional vulnerability.

Applications

Unspecified application

Species

Unspecified reactive species

Xiaojie Li,Nanjing Li,Yao He,Jingyang Zu,Qixing Zhong,Zhihui Zhong

iScience 28:112473 PubMed40469100

2025

PDCL3 promotes the vasculogenic mimicry of glioma-associated mesenchymal stem cells through VEGFR-2 in glioma environment.

Applications

Unspecified application

Species

Unspecified reactive species

Yihao Wang,Zhen Liu,Dongye Yi,Sujie Gu,Zesheng Peng,Haofei Wang,Peng Lv,Wei Xiang,Xiaobing Jiang,Peng Fu

Communications biology 7:1700 PubMed39725699

2024

MSC-derived exosomal circMYO9B accelerates diabetic wound healing by promoting angiogenesis through the hnRNPU/CBL/KDM1A/VEGFA axis.

Applications

Unspecified application

Species

Unspecified reactive species

Zheng Wang,Hongbo Xu,Bichen Xue,Lian Liu,Yulin Tang,Zhichao Wang,Kai Yao

iScience 27:108955 PubMed38322996

2024

Exosomal miR-3174 induced by hypoxia promotes angiogenesis and metastasis of hepatocellular carcinoma by inhibiting HIPK3.

Applications

Unspecified application

Species

Unspecified reactive species

Xiao Yang,Mingyu Wu,Xiangxu Kong,Yun Wang,Chunyang Hu,Deming Zhu,Lianbao Kong,Fei Qiu,Wangjie Jiang
View all publications

Product promise

We are committed to supporting your work with high-quality reagents, and we're here for you every step of the way. In the unlikely event that one of our products does not perform as expected, you're protected by our Product Promise.
For full details, please see our Terms & Conditions

Please note: All products are 'FOR RESEARCH USE ONLY. NOT FOR USE IN DIAGNOSTIC OR THERAPEUTIC PROCEDURES'.

For licensing inquiries, please contact partnerships@abcam.com