JavaScript is disabled in your browser. Please enable JavaScript to view this website.
AB243912

Anti-VEGF Receptor 2 antibody [SP123] - BSA and Azide free

Be the first to review this product! Submit a review

|

(0 Publication)

Rabbit Recombinant Monoclonal VEGF Receptor 2 antibody. Carrier free. Suitable for IHC-P and reacts with Human samples.

View Alternative Names

CD309, FLK1, VEGFR2, KDR, Vascular endothelial growth factor receptor 2, VEGFR-2, Fetal liver kinase 1, Kinase insert domain receptor, Protein-tyrosine kinase receptor flk-1, FLK-1

2 Images
Immunohistochemistry (Formalin/PFA-fixed paraffin-embedded sections) - Anti-VEGF Receptor 2 antibody [SP123] - BSA and Azide free (AB243912)
  • IHC-P

Unknown

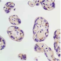
Immunohistochemistry (Formalin/PFA-fixed paraffin-embedded sections) - Anti-VEGF Receptor 2 antibody [SP123] - BSA and Azide free (AB243912)

Staining of Human VEGF Receptor 2 in a Formalin/PFA-fixed paraffin-embedded section of Human Placenta using ab115805 at a dilution of 1/100.

This data was developed using the same antibody clone in a different buffer formulation containing PBS, BSA, and sodium azide (ab115805).

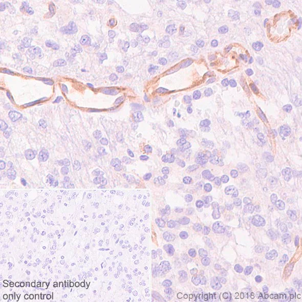
Immunohistochemistry (Formalin/PFA-fixed paraffin-embedded sections) - Anti-VEGF Receptor 2 antibody [SP123] - BSA and Azide free (AB243912)
  • IHC-P

Unknown

Immunohistochemistry (Formalin/PFA-fixed paraffin-embedded sections) - Anti-VEGF Receptor 2 antibody [SP123] - BSA and Azide free (AB243912)

Immunohistochemistry (Formalin/PFA-fixed paraffin-embedded sections) analysis of Human glioma tissue sections labeling VEGF Receptor 2 with ab115805 at 1/100 dilution (1.72 µg/ml). Heat mediated antigen retrieval was performed Heat mediated antigen retrieval with sodium citrate buffer (pH 6.0, epitope retrieval solution 1) for 10 mins. Rabbit specific IHC polymer detection kit HRP/DAB (ab209101) was used as the secondary antibody. Negative control : PBS instead of the primary antibody. Hematoxylin was used as a counterstain.
This data was developed using the same antibody clone in a different buffer formulation containing PBS, BSA, glycerol, and sodium azide (ab115805)

  • Unconjugated

    Anti-VEGF Receptor 2 antibody [SP123]

  • 519 Alexa Fluor® 488

    Alexa Fluor® 488 Anti-VEGF Receptor 2 antibody [SP123]

  • 665 Alexa Fluor® 647

    Alexa Fluor® 647 Anti-VEGF Receptor 2 antibody [SP123]

  • 565 Alexa Fluor® 555

    Alexa Fluor® 555 Anti-VEGF Receptor 2 antibody [SP123]

  • 617 Alexa Fluor® 594

    Alexa Fluor® 594 Anti-VEGF Receptor 2 antibody [SP123]

  • 578 PE

    PE Anti-VEGF Receptor 2 antibody [SP123]

  • 660 APC

    APC Anti-VEGF Receptor 2 antibody [SP123]

  • 775 Alexa Fluor® 750

    Alexa Fluor® 750 Anti-VEGF Receptor 2 antibody [SP123]

Key facts

Host species

Rabbit

Clonality

Monoclonal

Clone number

SP123

Isotype

IgG

Carrier free

Yes

Reacts with

Human

Applications

IHC-P

applications

Immunogen

The exact immunogen used to generate this antibody is proprietary information.

Reactivity data

{ "title": "Reactivity Data", "filters": { "stats": ["", "Species", "Dilution Info", "Notes"], "tabs": { "all-applications": {"fullname" : "All Applications", "shortname": "All Applications"}, "IHCP" : {"fullname" : "Immunohistochemistry (Formalin/PFA-fixed paraffin-embedded sections)", "shortname":"IHC-P"} }, "product-promise": { "all": "all", "testedAndGuaranteed": "tested", "guaranteed": "expected", "predicted": "predicted", "notRecommended": "not-recommended" } }, "values": { "Human": { "IHCP-species-checked": "testedAndGuaranteed", "IHCP-species-dilution-info": "", "IHCP-species-notes": "<p></p>" }, "Mouse": { "IHCP-species-checked": "predicted", "IHCP-species-dilution-info": "", "IHCP-species-notes": "" } } }

You may be interested in:

AB213476

Human VEGF Receptor 2 ELISA Kit

0

0 Reviews

View product

We recommend this product because it’s often used in the same experiment or related research.

We advise that you always check the datasheet to ensure it fits your experiments, or contact ourtechnical teamfor help.

Product details

Properties and storage information

Form
Liquid
Purification technique
Affinity purification Protein A/G
Purification notes
Purified from TCS by protein A/G.
Storage buffer
pH: 7.2 - 7.4 Constituents: PBS
Shipped at conditions
Blue Ice
Appropriate short-term storage conditions
+4°C
Appropriate long-term storage conditions
+4°C
Storage information
Do Not Freeze

Supplementary information

This supplementary information is collated from multiple sources and compiled automatically.

VEGF Receptor 2 also known as KDR or Flk-1 is a receptor tyrosine kinase important for mediating the effects of vascular endothelial growth factor (VEGF). This protein has a mass of approximately 150 kDa. It mostly expresses in vascular endothelial cells playing a primary role in the formation of blood vessels. The receptor can also be found in various non-endothelial tissues though in smaller amounts indicating its broad functional roles outside of the vascular system.
Biological function summary

VEGF Receptor 2 is important for angiogenesis and vascular permeability. It is part of the VEGF receptor family which also includes VEGF Receptors 1 and 3 forming a complex interaction network. Upon binding with VEGF it phosphorylates key proteins to initiate signals that regulate endothelial cell migration proliferation and survival. The receptor's function is critical for normal developmental processes and wound healing as well.

Pathways

VEGF Receptor 2 is especially important within the angiogenesis and vascular permeability pathways. It plays a central role in the VEGF signaling pathway alongside proteins like VEGF A which is the primary ligand for the receptor. The signaling through this receptor modulates various downstream proteins through phosphorylation linking it to pathways that control cellular responses essential for blood vessel formation and maintenance.

VEGF Receptor 2 is significantly linked with cancer and age-related macular degeneration. In the context of cancer the overexpression or dysregulation of VEGF and its receptors including VEGF Receptor 2 often leads to enhanced tumor angiogenesis promoting tumor growth and metastasis. Additionally the receptor interacts with other proteins in pathological states such as CD309 in endothelial cell-based assays which are used for research like flow cytometry and ELISA to monitor VEGF Receptor 2 activity and its impact on diseases.

Product protocols

For this product, it's our understanding that no specific protocols are required. You can visit:

Target data

Tyrosine-protein kinase that acts as a cell-surface receptor for VEGFA, VEGFC and VEGFD. Plays an essential role in the regulation of angiogenesis, vascular development, vascular permeability, and embryonic hematopoiesis. Promotes proliferation, survival, migration and differentiation of endothelial cells. Promotes reorganization of the actin cytoskeleton. Isoforms lacking a transmembrane domain, such as isoform 2 and isoform 3, may function as decoy receptors for VEGFA, VEGFC and/or VEGFD. Isoform 2 plays an important role as negative regulator of VEGFA- and VEGFC-mediated lymphangiogenesis by limiting the amount of free VEGFA and/or VEGFC and preventing their binding to FLT4. Modulates FLT1 and FLT4 signaling by forming heterodimers. Binding of vascular growth factors to isoform 1 leads to the activation of several signaling cascades. Activation of PLCG1 leads to the production of the cellular signaling molecules diacylglycerol and inositol 1,4,5-trisphosphate and the activation of protein kinase C. Mediates activation of MAPK1/ERK2, MAPK3/ERK1 and the MAP kinase signaling pathway, as well as of the AKT1 signaling pathway. Mediates phosphorylation of PIK3R1, the regulatory subunit of phosphatidylinositol 3-kinase, reorganization of the actin cytoskeleton and activation of PTK2/FAK1. Required for VEGFA-mediated induction of NOS2 and NOS3, leading to the production of the signaling molecule nitric oxide (NO) by endothelial cells. Phosphorylates PLCG1. Promotes phosphorylation of FYN, NCK1, NOS3, PIK3R1, PTK2/FAK1 and SRC.
See full target information KDR

Product promise

We are committed to supporting your work with high-quality reagents, and we're here for you every step of the way. In the unlikely event that one of our products does not perform as expected, you're protected by our Product Promise.
For full details, please see our Terms & Conditions

Associated Products

Select an associated product type
Alternative Product
Primary Antibodies

AB237634

Anti-VEGF Receptor 2 antibody [EPR21233]

primary-antibodies

vegf-receptor-2-antibody-epr21233-ab237634

0

(0 reviews)

Alternative Product
Primary Antibodies

AB134191

Anti-VEGF Receptor 2 antibody [EPRER16Y]

primary-antibodies

vegf-receptor-2-antibody-eprer16y-ab134191

0

(0 reviews)

Alternative Product
Primary Antibodies

AB234106

Anti-VEGF Receptor 2 antibody [EPR21884-236] - BSA and Azide free

primary-antibodies

vegf-receptor-2-antibody-epr21884-236-bsa-and-azide-free-ab234106

0

(0 reviews)

Alternative Product
Primary Antibodies

AB233693

Anti-VEGF Receptor 2 antibody [EPR21884-236]

primary-antibodies

vegf-receptor-2-antibody-epr21884-236-ab233693

0

(0 reviews)

Alternative Product
Primary Antibodies

AB221679

Anti-VEGF Receptor 2 antibody [EPR21884-290]

primary-antibodies

vegf-receptor-2-antibody-epr21884-290-ab221679

0

(0 reviews)

Alternative Product
Primary Antibodies

AB234110

Anti-VEGF Receptor 2 antibody [EPR21231]

primary-antibodies

vegf-receptor-2-antibody-epr21231-ab234110

3

(1 reviews)

Alternative Product
Primary Antibodies

AB226160

Anti-VEGF Receptor 2 antibody [EPRER16Y] - BSA and Azide free

primary-antibodies

vegf-receptor-2-antibody-eprer16y-bsa-and-azide-free-ab226160

0

(0 reviews)

Please note: All products are 'FOR RESEARCH USE ONLY. NOT FOR USE IN DIAGNOSTIC OR THERAPEUTIC PROCEDURES'.

For licensing inquiries, please contact partnerships@abcam.com