JavaScript is disabled in your browser. Please enable JavaScript to view this website.
AB38473

Anti-VEGF Receptor 2 (phospho Y951) antibody

4

(2 Reviews)

|

(12 Publications)

Rabbit Polyclonal VEGF Receptor 2 phospho Y951 antibody. Suitable for ELISA, WB, IHC-P, ICC/IF and reacts with Mouse, Human samples. Cited in 12 publications.

View Alternative Names

CD309, FLK1, VEGFR2, KDR, Vascular endothelial growth factor receptor 2, VEGFR-2, Fetal liver kinase 1, Kinase insert domain receptor, Protein-tyrosine kinase receptor flk-1, FLK-1

2 Images
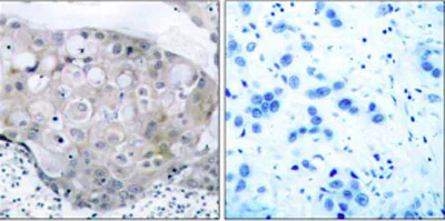
Immunohistochemistry (Formalin/PFA-fixed paraffin-embedded sections) - Anti-VEGF Receptor 2 (phospho Y951) antibody (AB38473)
  • IHC-P

Unknown

Immunohistochemistry (Formalin/PFA-fixed paraffin-embedded sections) - Anti-VEGF Receptor 2 (phospho Y951) antibody (AB38473)

ab38473 at a 1 : 50 dilution staining VEGF Receptor 2 in Human breast carcinoma tissue using Immunohistochemistry, Paraffin Embedded Tissue.

Left image : untreated.

Right image : treated with phosphopeptide.

Western blot - Anti-VEGF Receptor 2 (phospho Y951) antibody (AB38473)
  • WB

Supplier Data

Western blot - Anti-VEGF Receptor 2 (phospho Y951) antibody (AB38473)

VEGFR2 is translated into a 150 kDa protein. Glycosylation of the extracellular domain results in the mature form at the cell surface which migrates at 230 kDa via western blot.

All lanes:

Western blot - Anti-VEGF Receptor 2 (phospho Y951) antibody (ab38473)

Lane 1:

SK-OV-3 (Human ovarian cancer cell line) cell lysate. Treated with phosphopeptide

Lane 2:

SK-OV-3 (Human ovarian cancer cell line) cell lysate

Predicted band size: 151 kDa

Observed band size: 230 kDa

false

Key facts

Host species

Rabbit

Clonality

Polyclonal

Isotype

IgG

Carrier free

No

Reacts with

Human, Mouse

Applications

IHC-P, ICC/IF, WB, ELISA

applications

Immunogen

The exact immunogen used to generate this antibody is proprietary information.

Reactivity data

{ "title": "Reactivity Data", "filters": { "stats": ["", "Species", "Dilution Info", "Notes"], "tabs": { "all-applications": {"fullname" : "All Applications", "shortname": "All Applications"}, "ELISA" : {"fullname" : "ELISA", "shortname":"ELISA"}, "WB" : {"fullname" : "Western blot", "shortname":"WB"}, "IHCP" : {"fullname" : "Immunohistochemistry (Formalin/PFA-fixed paraffin-embedded sections)", "shortname":"IHC-P"}, "ICCIF" : {"fullname" : "Immunocytochemistry/ Immunofluorescence", "shortname":"ICC/IF"} }, "product-promise": { "all": "all", "testedAndGuaranteed": "tested", "guaranteed": "expected", "predicted": "predicted", "notRecommended": "not-recommended" } }, "values": { "Human": { "ELISA-species-checked": "guaranteed", "ELISA-species-dilution-info": "", "ELISA-species-notes": "<p></p>", "WB-species-checked": "testedAndGuaranteed", "WB-species-dilution-info": "1/500 - 1/1000", "WB-species-notes": "<p></p>", "IHCP-species-checked": "testedAndGuaranteed", "IHCP-species-dilution-info": "1/50 - 1/100", "IHCP-species-notes": "<p></p>", "ICCIF-species-checked": "guaranteed", "ICCIF-species-dilution-info": "", "ICCIF-species-notes": "<p></p>" }, "Mouse": { "ELISA-species-checked": "guaranteed", "ELISA-species-dilution-info": "", "ELISA-species-notes": "<p></p>", "WB-species-checked": "predicted", "WB-species-dilution-info": "", "WB-species-notes": "", "IHCP-species-checked": "predicted", "IHCP-species-dilution-info": "", "IHCP-species-notes": "", "ICCIF-species-checked": "guaranteed", "ICCIF-species-dilution-info": "", "ICCIF-species-notes": "<p></p>" }, "Rat": { "ELISA-species-checked": "predicted", "ELISA-species-dilution-info": "", "ELISA-species-notes": "", "WB-species-checked": "predicted", "WB-species-dilution-info": "", "WB-species-notes": "", "IHCP-species-checked": "predicted", "IHCP-species-dilution-info": "", "IHCP-species-notes": "", "ICCIF-species-checked": "predicted", "ICCIF-species-dilution-info": "", "ICCIF-species-notes": "" } } }

Properties and storage information

Form
Liquid
Purification technique
Affinity purification Immunogen
Purification notes
The antibody was affinity purified from rabbit antiserum by affinity chromatography using epitope-specific phosphopeptide. The antibody against non-phosphopeptide was removed by chromatography using non-phosphopeptide corresponding to the phosphorylation site.
Storage buffer
pH: 7.4 Preservative: 0.02% Sodium azide Constituents: PBS, 50% Glycerol (glycerin, glycerine), 0.87% Sodium chloride
Shipped at conditions
Blue Ice
Appropriate short-term storage conditions
+4°C
Appropriate long-term storage conditions
-20°C
Aliquoting information
Upon delivery aliquot
Storage information
Avoid freeze / thaw cycle

Supplementary information

This supplementary information is collated from multiple sources and compiled automatically.

VEGF Receptor 2 also known as KDR or Flk-1 is a receptor tyrosine kinase important for mediating the effects of vascular endothelial growth factor (VEGF). This protein has a mass of approximately 150 kDa. It mostly expresses in vascular endothelial cells playing a primary role in the formation of blood vessels. The receptor can also be found in various non-endothelial tissues though in smaller amounts indicating its broad functional roles outside of the vascular system.
Biological function summary

VEGF Receptor 2 is important for angiogenesis and vascular permeability. It is part of the VEGF receptor family which also includes VEGF Receptors 1 and 3 forming a complex interaction network. Upon binding with VEGF it phosphorylates key proteins to initiate signals that regulate endothelial cell migration proliferation and survival. The receptor's function is critical for normal developmental processes and wound healing as well.

Pathways

VEGF Receptor 2 is especially important within the angiogenesis and vascular permeability pathways. It plays a central role in the VEGF signaling pathway alongside proteins like VEGF A which is the primary ligand for the receptor. The signaling through this receptor modulates various downstream proteins through phosphorylation linking it to pathways that control cellular responses essential for blood vessel formation and maintenance.

VEGF Receptor 2 is significantly linked with cancer and age-related macular degeneration. In the context of cancer the overexpression or dysregulation of VEGF and its receptors including VEGF Receptor 2 often leads to enhanced tumor angiogenesis promoting tumor growth and metastasis. Additionally the receptor interacts with other proteins in pathological states such as CD309 in endothelial cell-based assays which are used for research like flow cytometry and ELISA to monitor VEGF Receptor 2 activity and its impact on diseases.

Product protocols

For this product, it's our understanding that no specific protocols are required. You can visit:

Target data

Tyrosine-protein kinase that acts as a cell-surface receptor for VEGFA, VEGFC and VEGFD. Plays an essential role in the regulation of angiogenesis, vascular development, vascular permeability, and embryonic hematopoiesis. Promotes proliferation, survival, migration and differentiation of endothelial cells. Promotes reorganization of the actin cytoskeleton. Isoforms lacking a transmembrane domain, such as isoform 2 and isoform 3, may function as decoy receptors for VEGFA, VEGFC and/or VEGFD. Isoform 2 plays an important role as negative regulator of VEGFA- and VEGFC-mediated lymphangiogenesis by limiting the amount of free VEGFA and/or VEGFC and preventing their binding to FLT4. Modulates FLT1 and FLT4 signaling by forming heterodimers. Binding of vascular growth factors to isoform 1 leads to the activation of several signaling cascades. Activation of PLCG1 leads to the production of the cellular signaling molecules diacylglycerol and inositol 1,4,5-trisphosphate and the activation of protein kinase C. Mediates activation of MAPK1/ERK2, MAPK3/ERK1 and the MAP kinase signaling pathway, as well as of the AKT1 signaling pathway. Mediates phosphorylation of PIK3R1, the regulatory subunit of phosphatidylinositol 3-kinase, reorganization of the actin cytoskeleton and activation of PTK2/FAK1. Required for VEGFA-mediated induction of NOS2 and NOS3, leading to the production of the signaling molecule nitric oxide (NO) by endothelial cells. Phosphorylates PLCG1. Promotes phosphorylation of FYN, NCK1, NOS3, PIK3R1, PTK2/FAK1 and SRC.
See full target information KDR phospho Y951

Publications (12)

Recent publications for all applications. Explore the full list and refine your search

Dose-response : a publication of International Hormesis Society 21:15593258231187348 PubMed37424703

2023

Radioactive I Seed Inhibits Cell Migration and Invasion and Promotes Apoptosis by Inactivating the VEGFR2 Signaling Pathway in Cholangiocarcinoma.

Applications

Unspecified application

Species

Unspecified reactive species

Jun Luo,Jiaping Zheng,Hongxiang Yao,Binbing Wang,Zhewei Zhang,Guoliang Shao

International journal of molecular sciences 24: PubMed37240047

2023

Activin A Limits VEGF-Induced Permeability via VE-PTP.

Applications

Unspecified application

Species

Unspecified reactive species

Basma Baccouche,Lina Lietuvninkas,Andrius Kazlauskas

Frontiers in pharmacology 13:1044115 PubMed36467048

2022

Curcumol repressed cell proliferation and angiogenesis SP1/mir-125b-5p/VEGFA axis in non-small cell lung cancer.

Applications

Unspecified application

Species

Unspecified reactive species

Changju Ma,Xiaojuan Tang,Qing Tang,Shiyan Wang,Junhong Zhang,Yue Lu,Jingjing Wu,Ling Han

Journal of hematology & oncology 14:148 PubMed34530889

2021

KAI1(CD82) is a key molecule to control angiogenesis and switch angiogenic milieu to quiescent state.

Applications

Unspecified application

Species

Unspecified reactive species

Jin-Woo Lee,Jin Hur,Yoo-Wook Kwon,Cheong-Whan Chae,Jae-Il Choi,Injoo Hwang,Ji-Yeon Yun,Jin-A Kang,Young-Eun Choi,Young Hyun Kim,Sang Eun Lee,Cheol Lee,Dong Hyun Jo,Heeyoung Seok,Byong Seung Cho,Sung Hee Baek,Hyo-Soo Kim

Frontiers in cell and developmental biology 9:679906 PubMed34124069

2021

Tyrosine-Protein Phosphatase Non-receptor Type 9 (PTPN9) Negatively Regulates the Paracrine Vasoprotective Activity of Bone-Marrow Derived Pro-angiogenic Cells: Impact on Vascular Degeneration in Oxygen-Induced Retinopathy.

Applications

Unspecified application

Species

Unspecified reactive species

Michel Desjarlais,Pakiza Ruknudin,Maëlle Wirth,Isabelle Lahaie,Rabah Dabouz,José Carlos Rivera,Tiffany Habelrih,Samy Omri,Pierre Hardy,Alain Rivard,Sylvain Chemtob

Phytotherapy research : PTR 33:798-807 PubMed30653763

2019

HIF-1α/VEGF signaling-mediated epithelial-mesenchymal transition and angiogenesis is critically involved in anti-metastasis effect of luteolin in melanoma cells.

Applications

Unspecified application

Species

Unspecified reactive species

Chunyu Li,Qi Wang,Shen Shen,Xiaolu Wei,Guoxia Li

BMC gastroenterology 18:169 PubMed30400838

2018

Apatinib affect VEGF-mediated cell proliferation, migration, invasion via blocking VEGFR2/RAF/MEK/ERK and PI3K/AKT pathways in cholangiocarcinoma cell.

Applications

Unspecified application

Species

Unspecified reactive species

Manping Huang,Bin Huang,Guowen Li,Sainan Zeng

Oncology letters 14:5409-5417 PubMed29142602

2017

Combined aspirin and apatinib treatment suppresses gastric cancer cell proliferation.

Applications

Unspecified application

Species

Unspecified reactive species

Wei Zhang,Yongsheng Tan,Heping Ma

Aging and disease 8:287-300 PubMed28580185

2017

The Soluble VEGF Receptor sFlt-1 Contributes to Impaired Neovascularization in Aged Mice.

Applications

Unspecified application

Species

Unspecified reactive species

Guangxian Zhao,Xian W Cheng,Limei Piao,Lina Hu,Yanna Lei,Guang Yang,Aiko Inoue,Shinyu Ogasawara,Hongxian Wu,Chang-Ning Hao,Kenji Okumura,Masafumi Kuzuya

Bioengineering & translational medicine 2:81-91 PubMed28516164

2017

Engineered ligand-based VEGFR antagonists with increased receptor binding affinity more effectively inhibit angiogenesis.

Applications

WB

Species

Unspecified reactive species

Shiven Kapur,Adam P Silverman,Anne Z Ye,Niv Papo,Darren Jindal,Mark S Blumenkranz,Jennifer R Cochran
View all publications

Product promise

We are committed to supporting your work with high-quality reagents, and we're here for you every step of the way. In the unlikely event that one of our products does not perform as expected, you're protected by our Product Promise.
For full details, please see our Terms & Conditions

Please note: All products are 'FOR RESEARCH USE ONLY. NOT FOR USE IN DIAGNOSTIC OR THERAPEUTIC PROCEDURES'.

For licensing inquiries, please contact partnerships@abcam.com