JavaScript is disabled in your browser. Please enable JavaScript to view this website.
AB300415

Anti-VEGF Receptor 3 antibody [EPR24718-58] (BSA and Azide free)

Be the first to review this product! Submit a review

|

(0 Publication)

Rabbit Recombinant Monoclonal VEGF Receptor 3 antibody. Carrier free. Suitable for WB and reacts with Mouse samples.

View Alternative Names

Flt-4, Vegfr3, Flt4, Vascular endothelial growth factor receptor 3, VEGFR-3, Fms-like tyrosine kinase 4, Tyrosine-protein kinase receptor FLT4, FLT-4

2 Images
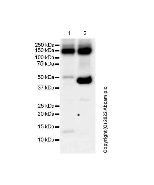
Western blot - Anti-VEGF Receptor 3 antibody [EPR24718-58] (BSA and Azide free) (AB300415)
  • WB

Supplier Data

Western blot - Anti-VEGF Receptor 3 antibody [EPR24718-58] (BSA and Azide free) (AB300415)

All lanes:

Western blot - Anti-VEGF Receptor 3 antibody [EPR24718-58] (<a href='/en-us/products/primary-antibodies/vegf-receptor-3-antibody-epr24718-58-ab300403'>ab300403</a>) at 1/1000 dilution

Lane 1:

Mouse lu tissue lysate 20 at 20 µg

Lane 2:

Mouse liver tissue lysate at 20 µg

Secondary

All lanes:

Goat Anti-Rabbit IgG (HRP) with minimal cross-reactivity with human IgG (Merck DC03L) at 1/2000 dilution

false

Western blot - Anti-VEGF Receptor 3 antibody [EPR24718-58] (BSA and Azide free) (AB300415)
  • WB

Supplier Data

Western blot - Anti-VEGF Receptor 3 antibody [EPR24718-58] (BSA and Azide free) (AB300415)

All lanes:

Western blot - Anti-VEGF Receptor 3 antibody [EPR24718-58] (<a href='/en-us/products/primary-antibodies/vegf-receptor-3-antibody-epr24718-58-ab300403'>ab300403</a>) at 1/1000 dilution

Lane 1:

bEnd.3 (Mouse brain endothelioma) whole cell lysate at 20 µg

Lane 2:

NIH/3T3 (Mouse embryonic fibroblast) whole cell lysate at 20 µg

Secondary

All lanes:

Western blot - Goat Anti-Rabbit IgG H&L (HRP) (<a href='/en-us/products/secondary-antibodies/goat-rabbit-igg-h-l-hrp-ab97051'>ab97051</a>) at 1/50000 dilution

false

Key facts

Host species

Rabbit

Clonality

Monoclonal

Clone number

EPR24718-58

Isotype

IgG

Carrier free

Yes

Reacts with

Mouse

Applications

WB

applications

Immunogen

The exact immunogen used to generate this antibody is proprietary information.

Reactivity data

{ "title": "Reactivity Data", "filters": { "stats": ["", "Species", "Dilution Info", "Notes"], "tabs": { "all-applications": {"fullname" : "All Applications", "shortname": "All Applications"}, "IP" : {"fullname" : "Immunoprecipitation", "shortname":"IP"}, "ICCIF" : {"fullname" : "Immunocytochemistry/ Immunofluorescence", "shortname":"ICC/IF"}, "IHCP" : {"fullname" : "Immunohistochemistry (Formalin/PFA-fixed paraffin-embedded sections)", "shortname":"IHC-P"}, "WB" : {"fullname" : "Western blot", "shortname":"WB"}, "FlowCyt" : {"fullname" : "Flow Cytometry", "shortname":"Flow Cyt"} }, "product-promise": { "all": "all", "testedAndGuaranteed": "tested", "guaranteed": "expected", "predicted": "predicted", "notRecommended": "not-recommended" } }, "values": { "Human": { "IP-species-checked": "notRecommended", "IP-species-dilution-info": "", "IP-species-notes": "<p></p>", "ICCIF-species-checked": "notRecommended", "ICCIF-species-dilution-info": "", "ICCIF-species-notes": "<p></p>", "IHCP-species-checked": "notRecommended", "IHCP-species-dilution-info": "", "IHCP-species-notes": "<p></p>", "WB-species-checked": "notRecommended", "WB-species-dilution-info": "", "WB-species-notes": "<p></p>", "FlowCyt-species-checked": "notRecommended", "FlowCyt-species-dilution-info": "", "FlowCyt-species-notes": "<p></p>" }, "Mouse": { "IP-species-checked": "notRecommended", "IP-species-dilution-info": "", "IP-species-notes": "<p></p>", "ICCIF-species-checked": "notRecommended", "ICCIF-species-dilution-info": "", "ICCIF-species-notes": "<p></p>", "IHCP-species-checked": "notRecommended", "IHCP-species-dilution-info": "", "IHCP-species-notes": "<p></p>", "WB-species-checked": "testedAndGuaranteed", "WB-species-dilution-info": "", "WB-species-notes": "<p></p>", "FlowCyt-species-checked": "notRecommended", "FlowCyt-species-dilution-info": "", "FlowCyt-species-notes": "<p></p>" }, "Rat": { "IP-species-checked": "notRecommended", "IP-species-dilution-info": "", "IP-species-notes": "", "ICCIF-species-checked": "notRecommended", "ICCIF-species-dilution-info": "", "ICCIF-species-notes": "", "IHCP-species-checked": "notRecommended", "IHCP-species-dilution-info": "", "IHCP-species-notes": "<p></p>", "WB-species-checked": "notRecommended", "WB-species-dilution-info": "", "WB-species-notes": "<p></p>", "FlowCyt-species-checked": "notRecommended", "FlowCyt-species-dilution-info": "", "FlowCyt-species-notes": "" } } }

Product details

Patented technology
Our RabMAb® technology is a patented hybridoma-based technology for making rabbit monoclonal antibodies. For details on our patents, please refer to RabMAb® patents.

What are the advantages of a recombinant monoclonal antibody?
This product is a recombinant monoclonal antibody, which offers several advantages including:

  • - High batch-to-batch consistency and reproducibility
  • - Improved sensitivity and specificity
  • - Long-term security of supply
  • - Animal-free batch production

For more information, read more on recombinant antibodies.

Conjugation ready
Our carrier-free antibodies are typically supplied in a PBS-only formulation, purified and free of BSA, sodium azide and glycerol. This conjugation-ready format is designed for use with fluorochromes, metal isotopes, oligonucleotides, and enzymes, which makes them ideal for antibody labelling, functional and cell-based assays, flow-based assays (e.g. mass cytometry) and Multiplex Imaging applications.

Use our conjugation kits for antibody conjugates that are ready-to-use in as little as 20 minutes with 1 minute hands-on-time and 100% antibody recovery: available for fluorescent dyes, HRP, biotin and gold.

Compatibility
This product is compatible with the Maxpar® Antibody Labeling Kit from Fluidigm, without the need for antibody preparation. Maxpar® is a trademark of Fluidigm Canada Inc.

Properties and storage information

Form
Liquid
Purification technique
Affinity purification Protein A
Storage buffer
pH: 7.2 - 7.4 Constituents: 100% PBS
Shipped at conditions
Blue Ice
Appropriate short-term storage conditions
+4°C
Appropriate long-term storage conditions
+4°C
Storage information
Do Not Freeze

Supplementary information

This supplementary information is collated from multiple sources and compiled automatically.

VEGF Receptor 3 also known as FLT-4 is a protein essential for lymphatic development and is expressed mainly in lymphatic endothelial cells. This receptor has a molecular mass of approximately 195 kDa. VEGF Receptor 3 belongs to the tyrosine kinase family and binds with high affinity to its ligands VEGF-C and VEGF-D. These interactions lead to the activation of intracellular signaling cascades that promote cell proliferation migration and survival.
Biological function summary

The VEGF Receptor 3 acts as an important regulator of lymphangiogenesis which is the growth of new lymphatic vessels from pre-existing ones. It is not typically part of larger protein complexes but it works closely with its ligands to facilitate the processes associated with lymph vessel formation and function. Proper activity of VEGF Receptor 3 is necessary for maintaining normal lymphatic vessel remodeling and function during development and in some adult tissues.

Pathways

The receptor is involved in the VEGF signaling pathway which plays an important role in vascular and lymphatic development. This pathway intersects with others like the PI3K/AKT pathway a critical mediator of cell growth and survival. VEGF Receptor 3 interacts with related receptors such as VEGF Receptor 2 in these pathways to regulate complex and essential physiological processes.

VEGF Receptor 3 has been linked to lymphedema which is swelling due to lymphatic system dysfunction and certain cancers where excessive angiogenesis occurs. Mutations or dysregulations in the receptor's signaling can lead to these conditions. In cancer for instance VEGF Receptor 3 along with its associated protein VEGF-C can promote tumor lymphangiogenesis facilitating metastasis. Antagonists like anti-VEGF therapies target these receptors to inhibit tumor progression and manage these disorders.

Product protocols

For this product, it's our understanding that no specific protocols are required. You can visit:

Target data

Tyrosine-protein kinase that acts as a cell-surface receptor for VEGFC and VEGFD, and plays an essential role in adult lymphangiogenesis and in the development of the vascular network and the cardiovascular system during embryonic development. Promotes proliferation, survival and migration of endothelial cells, and regulates angiogenic sprouting. Signaling by activated FLT4 leads to enhanced production of VEGFC, and to a lesser degree VEGFA, thereby creating a positive feedback loop that enhances FLT4 signaling. Modulates KDR signaling by forming heterodimers. Mediates activation of the MAPK1/ERK2, MAPK3/ERK1 signaling pathway, of MAPK8 and the JUN signaling pathway, and of the AKT1 signaling pathway. Phosphorylates SHC1. Mediates phosphorylation of PIK3R1, the regulatory subunit of phosphatidylinositol 3-kinase. Promotes phosphorylation of MAPK8 at 'Thr-183' and 'Tyr-185', and of AKT1 at 'Ser-473'.
See full target information Flt4

Product promise

We are committed to supporting your work with high-quality reagents, and we're here for you every step of the way. In the unlikely event that one of our products does not perform as expected, you're protected by our Product Promise.
For full details, please see our Terms & Conditions

Please note: All products are 'FOR RESEARCH USE ONLY. NOT FOR USE IN DIAGNOSTIC OR THERAPEUTIC PROCEDURES'.

For licensing inquiries, please contact partnerships@abcam.com