JavaScript is disabled in your browser. Please enable JavaScript to view this website.
AB51874

Anti-VEGF Receptor 3 antibody [RM0003-5F63]

Be the first to review this product! Submit a review

|

(5 Publications)

Rat Monoclonal VEGF Receptor 3 antibody. Suitable for IHC-P and reacts with Mouse samples. Cited in 5 publications. Immunogen corresponding to Recombinant Full Length Protein corresponding to Mouse Flt4.

View Alternative Names

Flt-4, Vegfr3, Flt4, Vascular endothelial growth factor receptor 3, VEGFR-3, Fms-like tyrosine kinase 4, Tyrosine-protein kinase receptor FLT4, FLT-4

1 Images
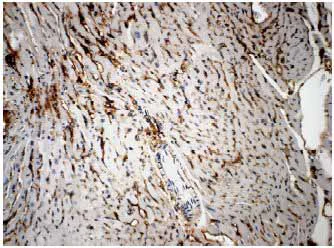
Immunohistochemistry paraffin embedded sections - Anti-VEGF Receptor 3 antibody [RM0003-5F63] (AB51874)
  • IHC-P

Unknown

Immunohistochemistry paraffin embedded sections - Anti-VEGF Receptor 3 antibody [RM0003-5F63] (AB51874)

ab51874 at 1/500 dilution, staining VEGF Receptor 3 in mouse heart tissue section by Immunohistochemistry (paraffin-embedded sections).

Key facts

Host species

Rat

Clonality

Monoclonal

Clone number

RM0003-5F63

Isotype

IgG2

Carrier free

No

Reacts with

Mouse

Applications

IHC-P

applications

Immunogen

Recombinant Full Length Protein corresponding to Mouse Flt4.

P35917

Specificity

No cross reactivity to mouse VEGFR1 and VEGFR2.

Reactivity data

{ "title": "Reactivity Data", "filters": { "stats": ["", "Species", "Dilution Info", "Notes"], "tabs": { "all-applications": {"fullname" : "All Applications", "shortname": "All Applications"}, "IHCP" : {"fullname" : "Immunohistochemistry paraffin embedded sections", "shortname":"IHC-P"} }, "product-promise": { "all": "all", "testedAndGuaranteed": "tested", "guaranteed": "expected", "predicted": "predicted", "notRecommended": "not-recommended" } }, "values": { "Mouse": { "IHCP-species-checked": "testedAndGuaranteed", "IHCP-species-dilution-info": "", "IHCP-species-notes": "<p>Use at 1/100-1/500 dilution</p>" } } }

Properties and storage information

Form
Liquid
Purification technique
Affinity purification Protein G
Storage buffer
Constituents: PBS
Shipped at conditions
Blue Ice
Appropriate short-term storage conditions
+4°C
Appropriate long-term storage conditions
-20°C
Aliquoting information
Upon delivery aliquot
Storage information
Avoid freeze / thaw cycle

Supplementary information

This supplementary information is collated from multiple sources and compiled automatically.

VEGF Receptor 3 also known as FLT-4 is a protein essential for lymphatic development and is expressed mainly in lymphatic endothelial cells. This receptor has a molecular mass of approximately 195 kDa. VEGF Receptor 3 belongs to the tyrosine kinase family and binds with high affinity to its ligands VEGF-C and VEGF-D. These interactions lead to the activation of intracellular signaling cascades that promote cell proliferation migration and survival.
Biological function summary

The VEGF Receptor 3 acts as an important regulator of lymphangiogenesis which is the growth of new lymphatic vessels from pre-existing ones. It is not typically part of larger protein complexes but it works closely with its ligands to facilitate the processes associated with lymph vessel formation and function. Proper activity of VEGF Receptor 3 is necessary for maintaining normal lymphatic vessel remodeling and function during development and in some adult tissues.

Pathways

The receptor is involved in the VEGF signaling pathway which plays an important role in vascular and lymphatic development. This pathway intersects with others like the PI3K/AKT pathway a critical mediator of cell growth and survival. VEGF Receptor 3 interacts with related receptors such as VEGF Receptor 2 in these pathways to regulate complex and essential physiological processes.

VEGF Receptor 3 has been linked to lymphedema which is swelling due to lymphatic system dysfunction and certain cancers where excessive angiogenesis occurs. Mutations or dysregulations in the receptor's signaling can lead to these conditions. In cancer for instance VEGF Receptor 3 along with its associated protein VEGF-C can promote tumor lymphangiogenesis facilitating metastasis. Antagonists like anti-VEGF therapies target these receptors to inhibit tumor progression and manage these disorders.

Product protocols

For this product, it's our understanding that no specific protocols are required. You can visit:

Target data

Tyrosine-protein kinase that acts as a cell-surface receptor for VEGFC and VEGFD, and plays an essential role in adult lymphangiogenesis and in the development of the vascular network and the cardiovascular system during embryonic development. Promotes proliferation, survival and migration of endothelial cells, and regulates angiogenic sprouting. Signaling by activated FLT4 leads to enhanced production of VEGFC, and to a lesser degree VEGFA, thereby creating a positive feedback loop that enhances FLT4 signaling. Modulates KDR signaling by forming heterodimers. Mediates activation of the MAPK1/ERK2, MAPK3/ERK1 signaling pathway, of MAPK8 and the JUN signaling pathway, and of the AKT1 signaling pathway. Phosphorylates SHC1. Mediates phosphorylation of PIK3R1, the regulatory subunit of phosphatidylinositol 3-kinase. Promotes phosphorylation of MAPK8 at 'Thr-183' and 'Tyr-185', and of AKT1 at 'Ser-473'.
See full target information Flt4

Publications (5)

Recent publications for all applications. Explore the full list and refine your search

Experimental and therapeutic medicine 22:1102 PubMed34504556

2021

Sema4C modulates the migration of primary tumor-associated lymphatic endothelial cells via an ERK-mediated pathway.

Applications

Unspecified application

Species

Unspecified reactive species

Jin Peng,Xijiang Liu,Chengcheng Li,Min Gao,Hongyan Wang

Scientific reports 11:13144 PubMed34162963

2021

Impairing flow-mediated endothelial remodeling reduces extravasation of tumor cells.

Applications

Unspecified application

Species

Unspecified reactive species

Gautier Follain,Naël Osmani,Valentin Gensbittel,Nandini Asokan,Annabel Larnicol,Luc Mercier,Maria Jesus Garcia-Leon,Ignacio Busnelli,Angelique Pichot,Nicodème Paul,Raphaël Carapito,Seiamak Bahram,Olivier Lefebvre,Jacky G Goetz

Oncotarget 7:47536-47555 PubMed27286457

2016

Downregulation of long non-coding RNA ANRIL suppresses lymphangiogenesis and lymphatic metastasis in colorectal cancer.

Applications

Unspecified application

Species

Unspecified reactive species

Zhenqiang Sun,Chunlin Ou,Weiguo Ren,Xiang Xie,Xiayu Li,Guiyuan Li

Circulation 133:1484-97; discussion 1497 PubMed26933083

2016

Selective Stimulation of Cardiac Lymphangiogenesis Reduces Myocardial Edema and Fibrosis Leading to Improved Cardiac Function Following Myocardial Infarction.

Applications

Unspecified application

Species

Unspecified reactive species

Orianne Henri,Chris Pouehe,Mahmoud Houssari,Ludovic Galas,Lionel Nicol,Florence Edwards-Lévy,Jean-Paul Henry,Anais Dumesnil,Inès Boukhalfa,Sébastien Banquet,Damien Schapman,Christian Thuillez,Vincent Richard,Paul Mulder,Ebba Brakenhielm

PLoS genetics 11:e1005324 PubMed26147525

2015

Endothelial Snail Regulates Capillary Branching Morphogenesis via Vascular Endothelial Growth Factor Receptor 3 Expression.

Applications

Unspecified application

Species

Unspecified reactive species

Jeong Ae Park,Dong Young Kim,Young-Myeong Kim,In-Kyu Lee,Young-Guen Kwon
View all publications

Product promise

We are committed to supporting your work with high-quality reagents, and we're here for you every step of the way. In the unlikely event that one of our products does not perform as expected, you're protected by our Product Promise.
For full details, please see our Terms & Conditions

Please note: All products are 'FOR RESEARCH USE ONLY. NOT FOR USE IN DIAGNOSTIC OR THERAPEUTIC PROCEDURES'.

For licensing inquiries, please contact partnerships@abcam.com